<?xml version="1.0" encoding="ISO-8859-1"?><article xmlns:mml="http://www.w3.org/1998/Math/MathML" xmlns:xlink="http://www.w3.org/1999/xlink" xmlns:xsi="http://www.w3.org/2001/XMLSchema-instance">
<front>
<journal-meta>
<journal-id>1652-6776</journal-id>
<journal-title><![CDATA[Cuadernos Hospital de Clínicas]]></journal-title>
<abbrev-journal-title><![CDATA[Cuad. - Hosp. Clín.]]></abbrev-journal-title>
<issn>1652-6776</issn>
<publisher>
<publisher-name><![CDATA[Universidad Mayor de San Andrés, Facultad de Medicina]]></publisher-name>
</publisher>
</journal-meta>
<article-meta>
<article-id>S1652-67762007000200010</article-id>
<title-group>
<article-title xml:lang="es"><![CDATA[Plasmocitoma extramedular en cavidad oral Reporte de un caso]]></article-title>
</title-group>
<contrib-group>
<contrib contrib-type="author">
<name>
<surname><![CDATA[Cruz Villca]]></surname>
<given-names><![CDATA[Marcia B]]></given-names>
</name>
<xref ref-type="aff" rid="A01"/>
</contrib>
<contrib contrib-type="author">
<name>
<surname><![CDATA[Aillón López]]></surname>
<given-names><![CDATA[Huáscar]]></given-names>
</name>
<xref ref-type="aff" rid="A01"/>
</contrib>
<contrib contrib-type="author">
<name>
<surname><![CDATA[Flores Ramos]]></surname>
<given-names><![CDATA[Janeth L]]></given-names>
</name>
<xref ref-type="aff" rid="A01"/>
</contrib>
<contrib contrib-type="author">
<name>
<surname><![CDATA[Trujillo Morales]]></surname>
<given-names><![CDATA[Carlos]]></given-names>
</name>
<xref ref-type="aff" rid="A02"/>
</contrib>
</contrib-group>
<aff id="A01">
<institution><![CDATA[,Hospital de Clínicas Cirugía Bucomaxilofacial ]]></institution>
<addr-line><![CDATA[ ]]></addr-line>
</aff>
<aff id="A02">
<institution><![CDATA[,IGBJ  ]]></institution>
<addr-line><![CDATA[ ]]></addr-line>
</aff>
<pub-date pub-type="pub">
<day>00</day>
<month>07</month>
<year>2007</year>
</pub-date>
<pub-date pub-type="epub">
<day>00</day>
<month>07</month>
<year>2007</year>
</pub-date>
<volume>52</volume>
<numero>2</numero>
<fpage>62</fpage>
<lpage>65</lpage>
<copyright-statement/>
<copyright-year/>
<self-uri xlink:href="http://www.scielo.org.bo/scielo.php?script=sci_arttext&amp;pid=S1652-67762007000200010&amp;lng=en&amp;nrm=iso"></self-uri><self-uri xlink:href="http://www.scielo.org.bo/scielo.php?script=sci_abstract&amp;pid=S1652-67762007000200010&amp;lng=en&amp;nrm=iso"></self-uri><self-uri xlink:href="http://www.scielo.org.bo/scielo.php?script=sci_pdf&amp;pid=S1652-67762007000200010&amp;lng=en&amp;nrm=iso"></self-uri><abstract abstract-type="short" xml:lang="es"><p><![CDATA[Se presenta el caso clínico de una paciente que acudió a la Unidad de Estomatología y Cirugía Bucomaxilofacial del Hospital de Clínicas de La Paz, por presentar múltiples lesiones tumorales en regiones gingivodentarias de arcadas dentarias superior e inferior, ocasionándole asimetría facial. Cuadro clínico de 3 años de evolución aproximadamente; recibiendo tratamiento quirúrgico en dos oportunidades para exéresis del tumor y estudio histopatológico, reportándose FIBROMAS DE IRRITACIÓN; el mismo recidivo en corto tiempo. Acude a nuestra Unidad donde se realiza biopsia excisional bajo anestesia general y estudio histopatológico, mismo que reporta PLASMOCITOMA EXTRAMEDULAR. La baja frecuencia de esta entidad tumoral motiva su presentación y revisión bibliográfica.]]></p></abstract>
<abstract abstract-type="short" xml:lang="en"><p><![CDATA[We present the case of a patient who consulted with the Unit of Stomatology and Bucomaxilofacial Surgery of the Hospital de Clínicas in La Paz. The patient refrred multiple tumors lesions in regions gingivodentarias in jaws, of approximately 3 years evolution; it was subjected to surgery in two opportunities reporting "Irritation of fibromas". The patient was submitted to an excision biopsy under general anaesthesia for the respective histopathological examination. The result show ed EXTREMEDULLARY PLASMOCYTOMA. Given the low frecuencig of this malignant tumor.]]></p></abstract>
<kwd-group>
<kwd lng="es"><![CDATA[Plasmocitoma Extramedular]]></kwd>
<kwd lng="es"><![CDATA[Mieloma Múltiple]]></kwd>
<kwd lng="en"><![CDATA[Plasmocitoma Extramedular]]></kwd>
<kwd lng="en"><![CDATA[Multiple Myeloma]]></kwd>
</kwd-group>
</article-meta>
</front><body><![CDATA[ <P align="right"><font size="2" face="Verdana, Arial, Helvetica, sans-serif"><b>CASO CL&Iacute;NICO </b></font></P>     <div align="center"><font size="4"><b><font face="Verdana, Arial, Helvetica, sans-serif"> Plasmocitoma extramedular en cavidad oral Reporte de un caso </font> </b></font></div>     <P align="center"><b><font size="2" face="Verdana, Arial, Helvetica, sans-serif"> Dra. Marcia B. Cruz Villca* Dr. Hu&aacute;scar Aill&oacute;n L&oacute;pez**, Dra. Janeth L. Flores Ramos*** Dr. Carlos Trujillo Morales**** </font></b></P>     <P align="justify"><font size="1" face="Verdana, Arial, Helvetica, sans-serif">* Residente III de Cirug&iacute;a Bucomaxilofacial Hospital de Cl&iacute;nicas. www.m_cruz_v@htmail.com     <br>   ** Cirujano Bucomaxilofacial Hospital de Cl&iacute;nicas.     <br>   *** Pat&oacute;loga Bucomaxilofacial.     <br>   **** An&aacute;tomo Patol&oacute;go del IGBJ.</font></P> <hr width="100%"> <font size="2" face="Verdana, Arial, Helvetica, sans-serif"><b>RESUMEN </b> </font>     <P align="justify"><font size="2" face="Verdana, Arial, Helvetica, sans-serif"> Se presenta el caso cl&iacute;nico de una paciente que acudi&oacute; a la Unidad de Estomatolog&iacute;a y Cirug&iacute;a Bucomaxilofacial del Hospital de Cl&iacute;nicas de La Paz, por presentar m&uacute;ltiples lesiones tumorales en regiones gingivodentarias de arcadas dentarias superior e inferior, ocasion&aacute;ndole asimetr&iacute;a facial. Cuadro cl&iacute;nico de 3 a&ntilde;os de </font><font size="2" face="Verdana, Arial, Helvetica, sans-serif">evoluci&oacute;n aproximadamente; recibiendo tratamiento quir&uacute;rgico en </font><font size="2" face="Verdana, Arial, Helvetica, sans-serif">dos oportunidades para ex&eacute;resis del tumor y estudio histopatol&oacute;gico, </font><font size="2" face="Verdana, Arial, Helvetica, sans-serif">report&aacute;ndose FIBROMAS DE IRRITACI&Oacute;N; el mismo recidivo en </font><font size="2" face="Verdana, Arial, Helvetica, sans-serif">corto tiempo. Acude a nuestra Unidad donde se realiza biopsia excisional bajo anestesia general y estudio histopatol&oacute;gico, mismo que reporta PLASMOCITOMA EXTRAMEDULAR. La baja frecuencia de esta entidad tumoral motiva su presentaci&oacute;n y revisi&oacute;n </font><font size="2" face="Verdana, Arial, Helvetica, sans-serif">bibliogr&aacute;fica. </font></P> <font size="2" face="Verdana, Arial, Helvetica, sans-serif"><b>PALABRAS CLAVE </b></font><font face="Verdana, Arial, Helvetica, sans-serif"></font><font face="Verdana, Arial, Helvetica, sans-serif">     <P align="justify"><font size="2"> Rev. Cuadernos 2007: 52 (2) 62 - 65 / Plasmocitoma Extramedular, Mieloma M&uacute;ltiple. </font></P> </font> <hr width="100%"> <font size="2" face="Verdana, Arial, Helvetica, sans-serif"><b>SUMMARY </b> </font><font face="Verdana, Arial, Helvetica, sans-serif">     <P align="justify"><font size="2" face="Verdana, Arial, Helvetica, sans-serif">We present the case of a patient who consulted with the Unit of Stomatology and Bucomaxilofacial Surgery of the Hospital de Cl&iacute;nicas in La Paz. The patient refrred multiple tumors lesions in regions gingivodentarias in jaws, of approximately 3 years evolution; it was subjected to surgery in two opportunities reporting &quot;Irritation of fi bromas&quot;. The patient was submitted to an excision biopsy under general anaesthesia for the respective histopathological examination. The result show ed EXTREMEDULLARY PLASMOCYTOMA. Given the low frecuencig of this malignant tumor.</font></P> </font>     ]]></body>
<body><![CDATA[<P align="justify"><font size="2" face="Verdana, Arial, Helvetica, sans-serif"> <b>KEYWORD</b> </font></P>     <P align="justify"><font size="2" face="Verdana, Arial, Helvetica, sans-serif"> Plasmocitoma Extramedular, Multiple Myeloma. </font></P> <hr width="100%"> <font size="2"><b>INTRODUCCI&Oacute;N </b></font><font face="Verdana, Arial, Helvetica, sans-serif">     <P align="justify"><font size="2">Los plasmocitomas son tumores no Hodgkin que ocurren con una incidencia de 4/100.000. Las c&eacute;lulas plasm&aacute;ticas malignas en m&eacute;dula &oacute;sea producen anticuerpos monoclonales que son t&iacute;picamente encontradas en muestras de sangre y orina. Estos tumores se subclasifi can a la vez en: Plasmocitoma solitario de hueso, Mieloma m&uacute;ltiple y Plasmocitoma extramedular.<Sup>(1)</Sup> Este tipo de Plasmocitoma extramedular es defi nido como una proliferaci&oacute;n neopl&aacute;sica de c&eacute;lulas plasm&aacute;ticas en tejido blando. Aproximadamente el 90% de los plasmocitomas extramedulares son encontrados en la regi&oacute;n de cabeza y cuello, com&uacute;nmente afectan la cavidad nasal, senos paranasales, fosa tonsilar y cavidad oral, en algunos casos los &oacute;rganos viscerales son el sitio afectado.<Sup>(2) </Sup> Se presenta sin que se encuentre una lesi&oacute;n primaria aparente del hueso. Las lesiones se describen como masa s&eacute;siles o polipoidea, </font><font size="2">de color rojizo localizadas en las mucosas, se pueden hacer lobulados cuando se agrandan, pero no tienden a ulcerarse. Se pueden presentar met&aacute;tasis en los ganglios linf&aacute;ticos regionales, los huesos y otros sitios. </font><font size="2"><sup>(3)</sup> </font></P>     <P align="justify"><font size="2"> Los hallazgos de laboratorio son interesantes debido a que en pocos pacientes est&aacute;n presentes las Proteinas Bence Jones en la orina. Adem&aacute;s, las caracter&iacute;sticas de hiperglobulinemia y anemia estan presentes en el Mieloma m&uacute;ltiple y ausentes en el Mieloma Solitario y en el Plasmocitoma extramedular. <Sup>(4,5)</Sup>. </font></P>     <P align="justify"><font size="2">El tratamiento del Plasmocitoma extramedular es la cirug&iacute;a con radiaci&oacute;n para evitar su progreso a Mieloma m&uacute;ltiple. </font></P>     <P align="justify"><font size="2">A continuaci&oacute;n reportamos un caso cl&iacute;nico de plasmocitoma extramedular en la enc&iacute;a. </font></P>     <P align="justify"><font size="2"> <b>CASO CL&Iacute;NICO </b></font></P>     <P align="justify"><font size="2">Mujer de 21 a&ntilde;os de edad, natural de la Provincia Ingavi y residente de la ciudad de El Alto, que acude a la Unidad de Estomatolog&iacute;a y Cirug&iacute;a Bucomaxilofacial del Hospital de Cl&iacute;nicas La Paz, por presentar molestias en ambas arcadas dentarias a la masticaci&oacute;n, adem&aacute;s </font><font size="2">de aumentos de volumen en mucosa gingival de las mismas. Antecedente de dos anteriores intervenciones quir&uacute;rgicas, mismas que recidivaron. </font></P>     <P align="justify"><font size="2"> Al examen f&iacute;sico general, paciente de regular a buen estado general, l&uacute;cida, orientada en tiempo, espacio y persona, piel y mucosas hidratadas, normocoloreadas, signos vitales estables. (<a href="#f1">Fig. 1</a>) Al examen intraoral importante presencia de lesiones tumorales abarcando toda la regi&oacute;n gingivodentaria de ambos maxilares, de color rosado p&aacute;lido, blandos, no sangrantes, de base pediculada, con leve dolor a la palpaci&oacute;n, mucosa palatina, yugal, lingual y de piso de boca exentos de lesiones, desdentada parcial, piezas dentarias presentes en mal estado de conservaci&oacute;n, con movilidad patol&oacute;gica. (<a href="#f2">Fig. 2</a> y <a href="#f3">3</a>) Cuello sin adenopat&iacute;as. Resto sin alteraciones. </font></P>     <P align="center"><a name="f1"></a><img src="/img/revistas/chc/v52n2/fig_10_1.jpg" width="283" height="252"><font size="2"> </font></P> </font>     ]]></body>
<body><![CDATA[<P align="center"><a name="f2"></a><img src="/img/revistas/chc/v52n2/fig_10_2.jpg" width="284" height="233"><font size="2" face="Verdana, Arial, Helvetica, sans-serif"> </font></P>     <P align="center"><a name="f3"></a><img src="/img/revistas/chc/v52n2/fig_10_3.jpg" width="288" height="195"></P> <font face="Verdana, Arial, Helvetica, sans-serif"></font>    <P align="justify"><font size="2" face="Verdana, Arial, Helvetica, sans-serif"> La paciente es valorada en nuestra Unidad y se solicita ex&aacute;menes complementarios presumiendo diagn&oacute;stico de Fibromatosis gingival cr&oacute;nica Idiop&aacute;tica recidivante; contaba con estudio histopatol&oacute;gico reportando: </font></P>     <P align="center"><font face="Verdana, Arial, Helvetica, sans-serif" align="justify"><font size="2">&quot;Fibromas por irritaci&oacute;n&quot;, </font></font></P> <font face="Verdana, Arial, Helvetica, sans-serif"> </font>     <P align="justify"><font size="2" face="Verdana, Arial, Helvetica, sans-serif"> Adem&aacute;s de Ortopantomograf&iacute;a con el siguiente informe:</font></P> <ul>       <li>     <font size="2" face="Verdana, Arial, Helvetica, sans-serif" align="justify">Maxilar superior: reabsorci&oacute;n &oacute;sea marginal marcada con remanente &oacute;seo, oste&iacute;tis de furca pieza 16, atrofia &oacute;sea marcada en regi&oacute;n anterosuperior. Maxilar inferior: reabsorci&oacute;n &oacute;sea marginal aplanamiento de la superficie articular de condilo derecho. </font></li>     </ul> <font face="Verdana, Arial, Helvetica, sans-serif">     <P align="center"><a name="f4"></a><img src="/img/revistas/chc/v52n2/fig_10_4.jpg" width="287" height="195"><font size="2"> </font></P> </font>     <P align="justify"><font size="2" face="Verdana, Arial, Helvetica, sans-serif"> Con los resultados de ex&aacute;menes solicitados se decide su internaci&oacute;n para tratamiento quir&uacute;rgico. Por otro lado se solicita estudio hormonal: impresionando TSH 0.09 UI/ml(<img src="/img/revistas/chc/v52n2/arrow.gif" width="7" height="13">)</font></P> <font face="Verdana, Arial, Helvetica, sans-serif">     <P align="justify"><font size="2">Luego de lo anterior se realiza biopsia excisional bajo </font><font size="2">anestesia general, evidenci&aacute;ndose tejido fibroso, </font><font size="2">muy vascularizado, con aparente compromiso de tejido &oacute;seo alveolar superior de lado derecho. En su postoperatorio inmediato paciente recibe transfusi&oacute;n sangu&iacute;nea de un paquete globular, debido a sangrado transoperatorio importante. (<a href="#f5">Fig. 5</a>) </font></P>     ]]></body>
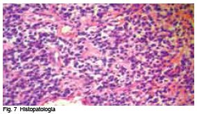
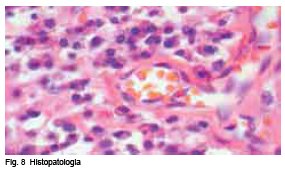
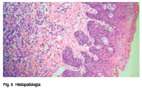
<body><![CDATA[<P align="center"><a name="f5"></a><img src="/img/revistas/chc/v52n2/fig_10_5.jpg" width="286" height="366"><font size="2"> </font></P>     <P align="justify"><font size="2"> El estudio histopatol&oacute;gico, concluye en Plasmocitoma Extramedular. (<a href="#f6">Fig. 6</a>, <a href="#f7">7</a> y <a href="#f8">8</a>) Dicho diagn&oacute;stico obliga al equipo quir&uacute;rgico a profundizar el estudio del caso cl&iacute;nico, solicitando m&aacute;s ex&aacute;menes complementarios para descartar en este caso un Mieloma m&uacute;ltiple.</font></P> </font>     <P align="center"><a name="f6"></a><img src="/img/revistas/chc/v52n2/fig_10_6.jpg" width="287" height="180"></P>     <P align="center"><a name="f7"></a><img src="/img/revistas/chc/v52n2/fig_10_7.jpg" width="284" height="165"></P>     <P align="center"><a name="f8"></a><img src="/img/revistas/chc/v52n2/fig_10_8.jpg" width="285" height="170"><font size="2" face="Verdana, Arial, Helvetica, sans-serif"> </font></P>     <P align="justify"><font size="2" face="Verdana, Arial, Helvetica, sans-serif"> Los resultados obtenidos son los siguientes: </font></P>    <ul>         <li> <font size="2" face="Verdana, Arial, Helvetica, sans-serif">Hemograma: GR: 4.090.000, Hto: 38%, Hb: 12.1g%, GB: 5700. </font></li>         <li><font size="2" face="Verdana, Arial, Helvetica, sans-serif">Proteinas Totales: 7,7 g/dl, </font></li>         <blockquote>           <p><font size="2" face="Verdana, Arial, Helvetica, sans-serif"> Alb&uacute;mina: 3,5 g/dl,     ]]></body>
<body><![CDATA[<br>         Globulinas 4,2 g/dl     <br>       </font><font size="2" face="Verdana, Arial, Helvetica, sans-serif">Relaci&oacute;n Albunima/Globulina; 0.83, </font></p>     </blockquote>         <li><font size="2" face="Verdana, Arial, Helvetica, sans-serif" align="justify"> Calcio: 9,2, Creatinina: 1.5 mg/dl. </font></li>         <li><font size="2" face="Verdana, Arial, Helvetica, sans-serif">Proteinas Bence Jones: negativo. </font></li>       <li><font size="2" face="Verdana, Arial, Helvetica, sans-serif">Rx A-P y lateral del cr&aacute;neo, cervical y del pelvis normal. </font></li>       </ul>       <p align="center"><a name="f9"></a><img src="/img/revistas/chc/v52n2/fig_10_9.jpg" width="285" height="146"></p>       <p><font size="2" face="Verdana, Arial, Helvetica, sans-serif">Para determinar el diagn&oacute;stico exacto se realiza valoraci&oacute;n por Hematolog&iacute;a cuyos especialistas solicitan: electroforesis de prote&iacute;nas, biopsia de m&eacute;dula &oacute;sea, no son efectivizados por falta de recursos econ&oacute;micos de paciente. </font></p>     <P align="justify"><font size="2" face="Verdana, Arial, Helvetica, sans-serif"> <b>DISCUSI&Oacute;N </b></font></P>     <P align="justify"><font size="2" face="Verdana, Arial, Helvetica, sans-serif">El Mieloma o Plasmocitoma es una proliferaci&oacute;n neopl&aacute;sica de c&eacute;lulas plasm&aacute;ticas de la m&eacute;dula &oacute;sea.</font></P>     ]]></body>
<body><![CDATA[<p align="justify"><font size="2" face="Verdana, Arial, Helvetica, sans-serif">Los tumores de c&eacute;lulas plasm&aacute;ticas se subdividen:    <br>   Plasmocitoma &oacute;seo solitario, Mieloma m&uacute;ltiple y Plasmocitoma extramedular. Los Plasmocitomas extramedulares en un 80% de los casos aparecen en los tejidos blandos del tracto respiratorio superior y raramente en las cavidad oral, su evoluci&oacute;n a Mieloma m&uacute;ltiple es excepcional.<sup>(6)</sup></font></p>     <p align="justify"><font size="2" face="Verdana, Arial, Helvetica, sans-serif">Seg&uacute;n la bibliograf&iacute;a revisada se encontraron dos articulos publicados por los autores: P&eacute;rez Herrero- Rafael Mart&iacute;n Granizo y Fischer D, B&auml;rmann M, Stasche N, relacionados con Plasmocitoma extramedular en enc&iacute;a que coinciden con nuestro caso cl&iacute;nico.</font></p>     <p align="center"><font size="2" face="Verdana, Arial, Helvetica, sans-serif">Se realizaron los siguientes ex&aacute;menes:    <br> </font><img src="/img/revistas/chc/v52n2/tabla_10_x.gif" width="281" height="143"></p>     <p align="justify"><font size="2" face="Verdana, Arial, Helvetica, sans-serif">Dichos resultados nos llevan a un diagnostico de Plasmocitoma extramedular. Lamentablemente no se completaron en su totalidad dichos ex&aacute;menes por motivos econ&oacute;micos de parte del paciente.</font></p>     <p align="justify"><font size="2" face="Verdana, Arial, Helvetica, sans-serif">Se consider&oacute; como uno de los principales diagn&oacute;sticos diferenciales a la Reacci&oacute;n Plasmocitaria, por el hecho de que la imagen histopatol&oacute;gica es muy similar.</font></p>     <p align="justify"><font size="2" face="Verdana, Arial, Helvetica, sans-serif">Esta se diferenciar&iacute;a complementando con estudios de t&eacute;cnicas de Inmunohistoquimica para obtener un diagnostico definitivo, actualmente dichos estudios en nuestro hospital no son realizados.</font></p>     <P align="justify"><b><font size="2" face="Verdana, Arial, Helvetica, sans-serif"> REFERENCIAS </font></b></P>     <!-- ref --><P align="justify"><font size="2" face="Verdana, Arial, Helvetica, sans-serif"> 1. Fischer D, B&auml;rmann M, Stasche N. Extramedullary Manifestation of Plasmocytoma in ENT. Laryngorhinootologie, 2007, Jan; 86 (1); 48-50</font>&nbsp;&nbsp;&nbsp;&nbsp;&nbsp;&nbsp;&nbsp;&nbsp;[&#160;<a href="javascript:void(0);" onclick="javascript: window.open('/scielo.php?script=sci_nlinks&ref=1174941&pid=S1652-6776200700020001000001&lng=','','width=640,height=500,resizable=yes,scrollbars=1,menubar=yes,');">Links</a>&#160;]<!-- end-ref --><!-- ref --><p><font size="2" face="Verdana, Arial, Helvetica, sans-serif">2. Moshref M, Mashhadi-Abbass F, Nafarzadeh S. Extramedullary plasmocytoma of the gingiva. Arch Iran Med, 2007 Jan, 10 (1): 91-3</font>&nbsp;&nbsp;&nbsp;&nbsp;&nbsp;&nbsp;&nbsp;&nbsp;[&#160;<a href="javascript:void(0);" onclick="javascript: window.open('/scielo.php?script=sci_nlinks&ref=1174942&pid=S1652-6776200700020001000002&lng=','','width=640,height=500,resizable=yes,scrollbars=1,menubar=yes,');">Links</a>&#160;]<!-- end-ref --><!-- ref --><p><font size="2" face="Verdana, Arial, Helvetica, sans-serif">3. Shafer W., Levy B. Tumores benignos y malignos. Saber W, Hine M, Levy B, Edit. Shafer W. Levy B. Tratado de Patolog&iacute;a Bucal. 4&ordm; edici&oacute;n, Mexico D.F. Interamericana S. A. 2001. 192-196.</font>&nbsp;&nbsp;&nbsp;&nbsp;&nbsp;&nbsp;&nbsp;&nbsp;[&#160;<a href="javascript:void(0);" onclick="javascript: window.open('/scielo.php?script=sci_nlinks&ref=1174943&pid=S1652-6776200700020001000003&lng=','','width=640,height=500,resizable=yes,scrollbars=1,menubar=yes,');">Links</a>&#160;]<!-- end-ref --><!-- ref --><p><font size="2" face="Verdana, Arial, Helvetica, sans-serif">4. Saap P. Enfermedades Hematol&oacute;gicas. Philip S. Eversole L, Wysocki G. Edit. Patolog&iacute;a Oral y Maxilofacial Contempor&aacute;nea. Madrid Espa&ntilde;a. Editorial Harcourt Brace. 1998. 381-415.</font>&nbsp;&nbsp;&nbsp;&nbsp;&nbsp;&nbsp;&nbsp;&nbsp;[&#160;<a href="javascript:void(0);" onclick="javascript: window.open('/scielo.php?script=sci_nlinks&ref=1174944&pid=S1652-6776200700020001000004&lng=','','width=640,height=500,resizable=yes,scrollbars=1,menubar=yes,');">Links</a>&#160;]<!-- end-ref --><!-- ref --><p><font size="2" face="Verdana, Arial, Helvetica, sans-serif">5. Granizo Lopez Martin. Otros Tumores Maxilofaciales. Dr. Jaime Baladr&oacute;n Romero, Clavero A, Granizo R., Monje F, Morillo A. Edit. Cirug&iacute;a Oral y Maxilofacial. Espa&ntilde;a. Editorial LITOFINER. 1997. 1045-1075.</font>&nbsp;&nbsp;&nbsp;&nbsp;&nbsp;&nbsp;&nbsp;&nbsp;[&#160;<a href="javascript:void(0);" onclick="javascript: window.open('/scielo.php?script=sci_nlinks&ref=1174945&pid=S1652-6776200700020001000005&lng=','','width=640,height=500,resizable=yes,scrollbars=1,menubar=yes,');">Links</a>&#160;]<!-- end-ref --><!-- ref --><p><font size="2" face="Verdana, Arial, Helvetica, sans-serif">6. P&eacute;rez Herrero- Rafael Mart&iacute;n Granizo, Plasmocitoma gingival. Servicio de Cirug&iacute;a Oral y Maxilofacial, Hospital Cl&iacute;nico San Carlos Madrid. Madrid. Espa&ntilde;a. 2005.</font>&nbsp;&nbsp;&nbsp;&nbsp;&nbsp;&nbsp;&nbsp;&nbsp;[&#160;<a href="javascript:void(0);" onclick="javascript: window.open('/scielo.php?script=sci_nlinks&ref=1174946&pid=S1652-6776200700020001000006&lng=','','width=640,height=500,resizable=yes,scrollbars=1,menubar=yes,');">Links</a>&#160;]<!-- end-ref --> ]]></body><back>
<ref-list>
<ref id="B1">
<label>1</label><nlm-citation citation-type="journal">
<person-group person-group-type="author">
<name>
<surname><![CDATA[Fischer]]></surname>
<given-names><![CDATA[D]]></given-names>
</name>
<name>
<surname><![CDATA[Bärmann]]></surname>
<given-names><![CDATA[M]]></given-names>
</name>
<name>
<surname><![CDATA[Stasche]]></surname>
<given-names><![CDATA[N]]></given-names>
</name>
</person-group>
<article-title xml:lang="en"><![CDATA[Extramedullary Manifestation of Plasmocytoma in ENT]]></article-title>
<source><![CDATA[Laryngorhinootologie]]></source>
<year>2007</year>
<month> ,</month>
<day> J</day>
<volume>86</volume>
<numero>1</numero>
<issue>1</issue>
<page-range>48-50</page-range></nlm-citation>
</ref>
<ref id="B2">
<label>2</label><nlm-citation citation-type="journal">
<person-group person-group-type="author">
<name>
<surname><![CDATA[Moshref]]></surname>
<given-names><![CDATA[M]]></given-names>
</name>
<name>
<surname><![CDATA[Mashhadi-Abbass]]></surname>
<given-names><![CDATA[F]]></given-names>
</name>
<name>
<surname><![CDATA[Nafarzadeh]]></surname>
<given-names><![CDATA[S]]></given-names>
</name>
</person-group>
<article-title xml:lang="en"><![CDATA[Extramedullary plasmocytoma of the gingiva]]></article-title>
<source><![CDATA[Arch Iran Med]]></source>
<year>2007</year>
<month>, </month>
<day>Ja</day>
<volume>10</volume>
<numero>1</numero>
<issue>1</issue>
<page-range>91-3</page-range></nlm-citation>
</ref>
<ref id="B3">
<label>3</label><nlm-citation citation-type="book">
<person-group person-group-type="author">
<name>
<surname><![CDATA[Shafer]]></surname>
<given-names><![CDATA[W]]></given-names>
</name>
<name>
<surname><![CDATA[Levy]]></surname>
<given-names><![CDATA[B]]></given-names>
</name>
</person-group>
<article-title xml:lang="es"><![CDATA[Tumores benignos y malignos]]></article-title>
<person-group person-group-type="editor">
<name>
<surname><![CDATA[Saber]]></surname>
<given-names><![CDATA[W]]></given-names>
</name>
<name>
<surname><![CDATA[Hine]]></surname>
<given-names><![CDATA[M]]></given-names>
</name>
<name>
<surname><![CDATA[Levy]]></surname>
<given-names><![CDATA[B]]></given-names>
</name>
<name>
<surname><![CDATA[Shafer]]></surname>
<given-names><![CDATA[W]]></given-names>
</name>
<name>
<surname><![CDATA[Levy]]></surname>
<given-names><![CDATA[B]]></given-names>
</name>
</person-group>
<source><![CDATA[Tratado de Patología Bucal]]></source>
<year>2001</year>
<edition>4</edition>
<page-range>192-196</page-range><publisher-loc><![CDATA[Mexico D.F. ]]></publisher-loc>
<publisher-name><![CDATA[Interamericana S. A.]]></publisher-name>
</nlm-citation>
</ref>
<ref id="B4">
<label>4</label><nlm-citation citation-type="book">
<person-group person-group-type="author">
<name>
<surname><![CDATA[Saap]]></surname>
<given-names><![CDATA[P]]></given-names>
</name>
</person-group>
<article-title xml:lang="es"><![CDATA[Enfermedades Hematológicas]]></article-title>
<person-group person-group-type="editor">
<name>
<surname><![CDATA[Philip]]></surname>
<given-names><![CDATA[S]]></given-names>
</name>
<name>
<surname><![CDATA[Eversole]]></surname>
<given-names><![CDATA[L]]></given-names>
</name>
<name>
<surname><![CDATA[Wysocki]]></surname>
<given-names><![CDATA[G]]></given-names>
</name>
</person-group>
<source><![CDATA[Patología Oral y Maxilofacial Contemporánea]]></source>
<year>1998</year>
<page-range>381-415</page-range><publisher-loc><![CDATA[Madrid^eEspaña España]]></publisher-loc>
<publisher-name><![CDATA[Editorial Harcourt Brace]]></publisher-name>
</nlm-citation>
</ref>
<ref id="B5">
<label>5</label><nlm-citation citation-type="book">
<person-group person-group-type="author">
<name>
<surname><![CDATA[Granizo Lopez]]></surname>
<given-names><![CDATA[Martin]]></given-names>
</name>
</person-group>
<article-title xml:lang="es"><![CDATA[Otros Tumores Maxilofaciales]]></article-title>
<person-group person-group-type="editor">
<name>
<surname><![CDATA[Baladrón Romero]]></surname>
<given-names><![CDATA[Jaime]]></given-names>
</name>
<name>
<surname><![CDATA[Clavero]]></surname>
<given-names><![CDATA[A]]></given-names>
</name>
<name>
<surname><![CDATA[Granizo]]></surname>
<given-names><![CDATA[R]]></given-names>
</name>
<name>
<surname><![CDATA[Monje]]></surname>
<given-names><![CDATA[F]]></given-names>
</name>
<name>
<surname><![CDATA[Morillo]]></surname>
<given-names><![CDATA[A]]></given-names>
</name>
</person-group>
<source><![CDATA[Cirugía Oral y Maxilofacial]]></source>
<year>1997</year>
<page-range>1045-1075</page-range><publisher-loc><![CDATA[España ]]></publisher-loc>
<publisher-name><![CDATA[Editorial LITOFINER]]></publisher-name>
</nlm-citation>
</ref>
<ref id="B6">
<label>6</label><nlm-citation citation-type="">
<person-group person-group-type="author">
<name>
<surname><![CDATA[Pérez Herrero]]></surname>
<given-names><![CDATA[Rafael Martín Granizo]]></given-names>
</name>
</person-group>
<source><![CDATA[Plasmocitoma gingival]]></source>
<year>2005</year>
<publisher-loc><![CDATA[Madrid^eEspaña España]]></publisher-loc>
</nlm-citation>
</ref>
</ref-list>
</back>
</article>
