SciELO - Scientific Electronic Library Online

 
vol.8 número23Modelos ótimos de construção hospitalar para reduzir infecções em piura e castilla: revisão sistemáticaComparação da dor com epicite Hydro e cicatrização convencional em queimaduras profundas de segundo grau índice de autoresíndice de assuntospesquisa de artigos
Home Pagelista alfabética de periódicos  

Serviços Personalizados

Journal

Artigo

Indicadores

Links relacionados

  • Não possue artigos similaresSimilares em SciELO

Compartilhar


Vive Revista de Salud

versão impressa ISSN 2664-3243

Vive Rev. Salud vol.8 no.23 La Paz ago. 2025  Epub 01-Maio-2025

https://doi.org/10.33996/revistavive.v8i23.411 

CASO DE ESTUDIO

Anomalía de Ebstein: a propósito de un caso

Ebstein anomaly: a case report

Anomalia de Ebstein: relato de caso

Noemí Rocío Andrade Alban1 
http://orcid.org/0000-0003-4891-2183

José Enrique Bombón Chico1 
http://orcid.org/0000-0002-8911-4586

Sophia Beatriz Cárdenas Verdezoto1 
http://orcid.org/0009-0008-7332-925X

Diana Sofía Iglesias Espín1 
http://orcid.org/0000-0003-4187-6984

Cristian Santiago Chuquimarca Salazar1 
http://orcid.org/0000-0001-7806-0941

Marco Antonio Curicama Gualli1 
http://orcid.org/0000-0002-4871-6150

1Universidad Técnica de Ambato. Ambato, Ecuador


RESUMEN

La anomalía de Ebstein es un defecto congénito complejo e infrecuente que incluye malformaciones morfofisiológicas de la válvula tricúspide y del ventrículo derecho, ocurre en 1 de cada 200 000 nacidos vivos y representa 1% de las cardiopatías congénitas, con frecuencia se relaciona con otros defectos como: tabique interauricular, estenosis o atresia pulmonar, comunicación interventricular, coartación aórtica y la tetralogía de Fallot. Paciente de 49 años con antecedente de anomalía de Ebstein e insuficiencia cardíaca congestiva refiere desde edad escolar presentar disnea de grandes esfuerzos, sin otra sintomatología acompañante, hace 15 días aproximadamente el cuadro se exacerba a disnea de medianos esfuerzos que se acompaña de palpitaciones, dolor torácico atípico y astenia, motivo por el cual se decide su ingreso. Ecocardiograma evidenció válvula tricúspide de implantación baja en el ventrículo derecho. Electrocardiograma reportó fibrilación auricular, bloqueo completo de rama derecha, trastorno de la repolarización ventricular. Paciente evoluciona favorablemente, no obstante, dadas las complicaciones propias de anomalía de Ebstein se decide tratamiento farmacológico expectante y paliativo. La anomalía de Ebstein representa una malformación cardíaca con una tasa de incidencia baja. La ecocardiografía se considera la modalidad preferida para detectar la patología debido a su capacidad para proporcionar una confirmación visual de la anomalía de la válvula tricúspide.

Palabras clave: Anomalía de Ebstein; Cardiopatías Congénitas; Válvula Tricúspide

ABSTRACT

Ebstein's anomaly is a complex and rare congenital defect that includes morphophysiological malformations of the tricuspid valve and right ventricle. It occurs in 1 in 200,000 live births and represents 1% of congenital heart diseases. It is frequently associated with other defects such as: interatrial septum, pulmonary stenosis or atresia, ventricular septal defect, aortic coarctation, and tetralogy of Fallot. A 49-year-old patient with a history of Ebstein's anomaly and congestive heart failure reports dyspnea on heavy exertion since school age, without other accompanying symptoms. Approximately 15 days ago, the condition worsened to dyspnea on moderate exertion accompanied by palpitations, atypical chest pain, and asthenia, which is why the decision was made to admit him. An echocardiogram showed a low-set tricuspid valve in the right ventricle. An electrocardiogram revealed atrial fibrillation, complete right bundle branch block, and ventricular repolarization disorder. The patient is progressing favorably; however, given the complications associated with Ebstein's anomaly, expectant and palliative pharmacological treatment was decided upon. Ebstein's anomaly represents a cardiac malformation with a low incidence rate. Echocardiography is considered the preferred modality for detecting the disease due to its ability to provide visual confirmation of tricuspid valve abnormality.

Key words: Ebstein's anomaly; Congenital heart disease; Tricuspid valve

RESUMO

A anomalia de Ebstein é um defeito congênito complexo e raro que inclui malformações morfofisiológicas da valva tricúspide e do ventrículo direito. Ocorre em 1 em cada 200.000 nascidos vivos e representa 1% das cardiopatias congênitas. É frequentemente associada a outros defeitos, como: septo interatrial, estenose ou atresia pulmonar, comunicação interventricular, coarctação aórtica e tetralogia de Fallot. Um paciente de 49 anos com histórico de anomalia de Ebstein e insuficiência cardíaca congestiva relata dispneia aos grandes esforços desde a idade escolar, sem outros sintomas associados. Há aproximadamente 15 dias, o quadro piorou para dispneia aos esforços moderados, acompanhada de palpitações, dor torácica atípica e astenia, razão pela qual foi tomada a decisão de interná-lo. Um ecocardiograma mostrou uma valva tricúspide de configuração baixa no ventrículo direito. Um eletrocardiograma revelou fibrilação atrial, bloqueio completo do ramo direito e distúrbio de repolarização ventricular. O paciente evolui favoravelmente; no entanto, dadas as complicações associadas à anomalia de Ebstein, optou-se por tratamento farmacológico expectante e paliativo. A anomalia de Ebstein representa uma malformação cardíaca com baixa taxa de incidência. A ecocardiografia é considerada a modalidade de escolha para a detecção da doença devido à sua capacidade de fornecer confirmação visual da anormalidade da valva tricúspide.

Palavras-chave: Anomalia de Ebstein; Cardiopatia congénita; Valva tricúspide

INTRODUCCIÓN

La anomalía de Ebstein es un defecto congénito complejo e infrecuente que incluye malformaciones morfofisiológicas de la válvula tricúspide y del ventrículo derecho como resultado de una inadecuada deslaminización del tejido valvular tricuspídeo (1). El defecto anatómico radica en que las valvas de la tricúspide no se unen normalmente y más bien se encuentran desplazadas hacia la cavidad ventricular derecha (2). Epidemiológicamente ocurre en 1 de cada 200 000 nacidos vivos y representa 1% de las enfermedades cardíacas congénitas (3).

La anomalía fue descrita por primera vez por Wilhelm Ebstein en 1866, después de practicar una autopsia en un joven de 19 años con cianosis, palpitaciones y disnea de esfuerzo que falleció de un paro cardíaco súbito (4). La anomalía de Ebstein se define por la presencia de las siguientes características: fenestraciones, redundancia y anclaje de la valva tricúspide anterior, dilatación de la porción atrializada del ventrículo derecho, desplazamiento apical de la válvula tricúspide y dilatación del anillo tricúspide, además de adherencia de las valvas tricúspide septal y posterior al miocardio (5).

La presentación de la anomalía de Ebstein no es un hecho aislado, frecuentemente se asocia con una comunicación interauricular secundaria y con una obstrucción del tracto de salida del ventrículo derecho (6). Las taquicardias auriculares, que incluye la fibrilación auricular, aleteo auricular o taquicardia auricular ectópica puede ocurrir en un 25 a 65% de los pacientes con anomalía de Ebstein, así también entre el 10% y 25% de los pacientes tiene una o más vías accesorias, lo cual es riesgoso ya que puede dar lugar a la presencia de arritmias prolongadas con potencial riesgo de producir insuficiencia cardíaca y en el peor escenario muerte súbita cardíaca (5). Según Bautista W., (7) las cardiopatías congénitas relacionadas con la anomalía de Ebstein abarcan los defectos del tabique interauricular (80%), la estenosis o atresia pulmonar (30%), la comunicación interventricular (4,3%), la coartación aórtica y la tetralogía de Fallot

DESCRIPCIÓN

Paciente femenina de 49 años de edad, casada, de etnia mestiza, procedente y residente de Ambato. Refiere desde edad escolar presentar disnea de grandes esfuerzos, sin otra sintomatología acompañante, hace 15 días aproximadamente el cuadro se exacerba a disnea de medianos esfuerzos que se acompaña de palpitaciones, dolor torácico atípico y astenia. Paciente declara no consumir tabaco o alcohol. Con antecedente de anomalía de Ebstein, insuficiencia cardíaca congestiva e insuficiencia venosa en miembros inferiores ingresa al servicio de Cardiología por descompensación de su enfermedad de base.

Hallazgos clínicos: al examen físico, tensión arterial 130/70 mmHg, saturación de oxígeno: 89% con fracción inspirada de oxígeno: 21%, frecuencia cardíaca: 75 - 120 lpm, frecuencia respiratoria: 22 rpm.

Corazón: ruidos cardíacos arrítmicos, soplo holosistólico en foco tricuspídeo de intensidad IV/VI respecto a la escala de Levine. Tórax: uso moderado de musculatura accesoria. Campos pulmonares: murmullo vesicular conservado sin ruidos sobreañadidos. Clasificación funcional III de acuerdo a la NYHA. Edema en miembros inferiores ++/++++.

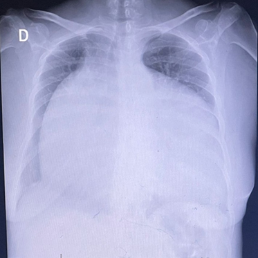
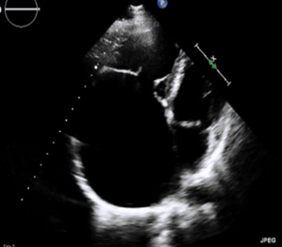
Exámenes complementarios: Electrocardiograma, evidencia fibrilación auricular, bloqueo completo de rama derecha, trastorno de la repolarización ventricular, Figura 1. Ecocardiograma reporta FEVI: 39%, rectificación del septo interventricular por sobrecarga de cámaras derechas, aumento del volumen atrial derecho, discreta estenosis mitral, válvula tricúspide de implantación baja, anomalía de Ebstein, reflujo tricúspide importante, hipertensión pulmonar moderada, formen oval patente, Figura 2. Radiografía con proyección posteroanterior de tórax reveló cardiomegalia grado IV, Figura 3. Ecografía de Abdomen, concluye dilatación de las venas hepáticas secundario a falla cardíaca congestiva, asociado a leves cambios en la eco textura del parénquima hepático por lo que se debería considerar hepatopatía congestiva, además de colelitiasis, Figura 4.

Figura 1 Electrocardiograma, archivo de la paciente. Se evidencia fibrilación auricular, bloqueo completo de rama derecha, trastorno de la repolarización ventricular. 

Figura 2 Ecocardiograma, archivo de la paciente. Se observa válvula tricúspide de implantación baja en el ventrículo derecho, lo cual produce aumento del diámetro de la aurícula derecha a expensas del ventrículo derecho (atrialización ventricular derecha). 

Figura 3 Radiografía de tórax. archivo de la paciente. Cardiomegalia Grado IV 

Figura 4 Ecografía de Abdomen, archivo de la paciente, se observa hepatopatía congestiva secundaria a falla cardíaca 

Dado que esta afección suele manifestarse en las primeras etapas de la vida, el diagnóstico diferencial se centra principalmente en distinguirla de otras patologías neonatales, como la atresia de la válvula tricúspide. No obstante, en pacientes adultos, las alternativas de diagnóstico son más limitadas. La evaluación mediante estudios complementarios y la observación ecocardiográfica con Doppler color permiten identificar la implantación baja de la válvula tricúspide y la falla de coaptación, lo que genera un reflujo central significativo, características de la anomalía de Ebstein. Paciente evoluciona favorablemente en el contexto cardiológico ya detallado, por lo que se decide alta con indicaciones, la intervención terapéutica incluyó medidas no farmacológicas y farmacológicas como: furosemida 40 mg vía oral QD, espironolactona 25 mg vía oral QD, bisoprolol 1.25 mg vía oral QD, vericiguat 5 mg vía oral QD y anticoagulante.

Discusión

La anomalía de Ebstein es una patología congénita con baja incidencia, sus manifestaciones son mínimas al nacimiento, puede ser un trastorno que pase desapercibido hasta la edad adulta en la cual la clínica sugiere el diagnostico de esta enfermedad, como en el presente caso (8).

La fisiopatología de esta anomalía está dada por la disfunción de la válvula tricúspide lo cual desencadena una falla ventricular derecha con signos de sobrecarga de presión o volumen en presencia de valvas estructuralmente anormales (9), en nuestro caso se aprecia sobrecarga de cámaras derechas, aumento del volumen atrial derecho, tricúspide de implantación baja, y el importante reflujo tricúspide lo cual se ajusta a las características típicas de la anomalía y los eventos fisiopatológicos que reporta la literatura.

Clínicamente, en la edad adulta la anomalía de Ebstein se caracteriza por síntomas que incluyen: palpitaciones, disnea, fatiga, arritmias y edema en las extremidades inferiores (10). Además, es frecuente la aparición de antecedentes médicos de tolerancia limitada al ejercicio atribuidos a una función ventricular derecha comprometida y a una regurgitación tricúspidea significativa (10). Con respecto al caso la paciente presentó síntomas comunes como: disnea progresiva que se acompaña de palpitaciones, dolor torácico atípico y astenia.

Para establecer el diagnóstico de esta afección, es imprescindible realizar una historia clínica detallada que permita estimar el estado funcional del paciente, así como identificar las comorbilidades concomitantes, como insuficiencia cardíaca, taquiarritmias o embolia paradójica (11). Tras la sospecha de esta afección, su confirmación requiere la utilización de procedimientos de diagnóstico adicionales, como la electrocardiografía, la radiografía de tórax, el ecocardiograma transtorácico y la resonancia magnética cardíaca, de acuerdo al caso se practicaron los exámenes que sugiere la evidencia disponible a excepción de la resonancia magnética cardíaca (12).

Los hallazgos electrocardiográficos predominantes en las personas diagnosticadas con una anomalía de Ebstein suelen abarcar un eje QRS caracterizado por una orientación inferior y hacia la derecha, ondas P elevadas atribuidas al agrandamiento de la aurícula derecha en un tercio de los pacientes, bloqueo auriculoventricular de primer grado en el 42% de los casos, bloqueo atípico de la rama del haz derecho en aproximadamente el 60% de los casos, prolongación del QRS derivada de la activación prolongada del ventrículo derecho atrializado y la aparición de arritmias como taquicardia supraventricular paroxística, fibrilación auricular o taquicardia ventricular en aproximadamente el 30% de las personas afectadas (13). En relación con el caso el electrocardiograma reportó bloqueo completo de rama derecha fibrilación auricular y alteración de la repolarización ventricular. Este tipo de anomalías congénitas tienen la capacidad de desencadenar arritmias auriculares o ventriculares, encontrándose con mayor frecuencia el síndrome de Wolff-Parkinson-White y la fibrilación auricular como en nuestro paciente, lo que representa un grave riesgo por compromiso hemodinámico, síncope y muerte súbita (14).

El ecocardiograma es la prueba diagnóstica, que puede complementarse con una resonancia magnética cardíaca para mejorar la visualización de la valva posterior de la válvula tricúspide y, por lo tanto, conducir a una evaluación más precisa de las dimensiones y el rendimiento del ventrículo derecho (15).

Los criterios ecocardiográficos utilizados para identificar una anomalía de Ebstein abarcan el desplazamiento apical observado en las inserciones valvulares septal y posterior de la válvula tricúspide, junto con el desplazamiento del anillo tricúspide funcional en dirección anterior y descendente, lo que lleva a la atrialización del ventrículo derecho. Además, cabe destacar que la anomalía cardíaca predominante relacionada con esta afección en los pacientes recién nacidos es la comunicación interauricular (16). En nuestro caso, desde la perspectiva ecocardiográfica la paciente presentó sobrecarga de cámaras derechas, aumento del volumen atrial derecho, discreta estenosis mitral, válvula tricúspide de implantación baja e importante reflujo tricuspídeo lo que a su vez generó una hipertensión pulmonar moderada, no obstante, en la paciente también se practicó un eco de abdomen en el cual se reportó hepatopatía congestiva secundaria a una falla cardíaca intrínseca atribuida a la anomalía de Ebstein.

Es imperativo realizar un abordaje integral del paciente tomando en consideración aspectos como las comorbilidades, examen físico y exámenes complementarios que permitan definir un adecuado abordaje terapéutico, pudiendo ser farmacológico con terapia expectante y vigilancia periódica, lo cual podría ser recomendable en aquellos pacientes asintomáticos (17). No obstante, existe evidencia que sugiere un tratamiento quirúrgico temprano antes de que el cuadro se exacerbe y agrave el pronóstico del paciente (18). Con respecto a nuestro caso la paciente desarrolló complicaciones como una insuficiencia cardíaca congestiva, con una cardiomegalia grado IV por radiografía de tórax además de congestion vascular a nivel pulmonar y hepático.

Según Singh et al. (5) el pronóstico dependerá del grado de disfunción que muestre el ventrículo derecho y no solo eso sino también del grado de desplazamiento valvular, en breve los pacientes no intervenidos quirúrgicamente mostrarán una supervivencia al año que es del 86% y en aquellos con 20 años de seguimiento es del 41%, en el contexto de nuestra paciente, ella presenta complicaciones marcadas atribuidas a la anomalía de Ebstein, por tanto la opción quirúrgica se descarta y más bien se recomienda un manejo paliativo y farmacológico basado en: diuréticos, betabloqueantes, anticoagulantes y el vericiguat que es un estimulador de la vía del óxido nítrico guanilato ciclasa soluble-GMPc, que contribuirá a evitar que caiga la fraccción de eyección ventricular izquierda que en el caso de la paciente es de FEVI: 39% (19).

Según González et al. (20), en la insuficiencia cardíaca con fracción de eyección reducida (IC-FEr) se ha evidenciado una disminución en los niveles de óxido nítrico, guanilato ciclasa soluble y monofosfato de guanosina cíclico (cGMP), lo que genera efectos adversos en los sistemas miocárdico, vascular y renal. En este contexto, vericiguat ha demostrado ser una intervención terapéutica segura y eficaz, especialmente en pacientes con IC-FEr que han presentado una descompensación reciente, grupo que representa una alta frecuencia de eventos en un corto período.

La anomalía de Ebstein representa una malformación cardíaca con una tasa de incidencia baja. En nuestro entorno particular, la detección de esta patología en pacientes adultos tiende a ser insuficiente, identificándose con frecuencia como un descubrimiento no intencionado en la mayoría de los casos.

La ecocardiografía se considera la modalidad preferida para detectar la anomalía de Ebstein debido a su capacidad para proporcionar una confirmación visual de la anomalía de la válvula tricúspide, es fundamental tomar en consideración esta anomalía como parte del diagnóstico diferencial en pacientes con deterioro clínico que pone de manifiesto una franca insuficiencia cardíaca congestiva.

REFERENCIAS BIBLIOGRÁFICAS

1. Inzunza-Cervantes G, Herrera-Gavilanes J, Espinoza-Escobar G, Zazueta-Armenta V, Cortés-García V, Ornelas-Aguirre J [Ebstein’s anomaly with ventricular preexcitation in an adult patient]. Rev Medica Inst Mex Seguro Soc 2022; 60(4):466-73. https://pubmed.ncbi.nlm.nih.gov/35819304/Links ]

2. Alves B, Lima S, Rasla S Ebstein’s Anomaly of the Tricuspid Valve. R I Med J 2013 2024; 107(5):21-4. https://pubmed.ncbi.nlm.nih.gov/38687264/Links ]

3. Umar H, Zagga U, Akintomide F, Maiyaki A, Umar M, Dankiri N, et al Ebstein’s Anomaly: An Unanticipated Differential Diagnosis of Egg-on-Stick Appearance and the Diagnostic Dilemma. Am J Case Rep 2021; 2:2. https://www.amjcaserep.com/abstract/index/idArt/924810Links ]

4. Braga De Souza E, Ramirez Vallejo E Reporte de caso clínico: Cardiopatía congénita cianótica con Anomalía de Ebstein, tipo B de Carpentier. Cienc E Investig Medico Estud Latinoam 2021; 2:6. [ Links ]

5. Singh D, Hussain K, Horenstein M, Mahajan K Ebstein Anomaly and Malformation. StatPearls Treasure Island (FL): StatPearls Publishing 2024; 53482:4. [ Links ]

6. Nartowicz S, Janus M, Ciepłucha A, Pyda M, Lesiak M, Trojnarska O Ebstein anomaly with severe tricuspid valve regurgitation: An unusual case of an 84-year natural course. Pol Heart J 2024; 82(3):343-4. https://pubmed.ncbi.nlm.nih.gov/37997836/Links ]

7. Bautista-Vargas W Anomalía de Ebstein y aneurisma del seno coronario. Rev Colomb Cardiol 2022; 28(2):6367. http://www.scielo.org.co/scielo.php?pid=S0120-56332021000200180&script=sci_abstract&tlng=esLinks ]

8. Bessière F, Waldmann V, Combes N, Metton O, Dib N, Mondésert B, et al. Ventricular Arrhythmias in Adults With Congenital Heart Disease, Part II. J Am Coll Cardiol. septiembre de 2023;82(11):1121-30. Disponible en: https://pubmed.ncbi.nlm.nih.gov/37673513/Links ]

9. Yu S, Yang K, Chen X, Lu M, Zhao K, Yang S, et al Cardiac remodeling after tricuspid valve repair in Ebstein’s anomaly: a magnetic resonance study. Eur Radiol 2022; 33(3):2052-61. https://pubmed.ncbi.nlm.nih.gov/36284004/Links ]

10. Pasqualin G, Boccellino A, Chessa M, Ciconte G, Marcolin C, Micaglio E, et al Ebstein’s anomaly in children and adults: multidisciplinary insights into imaging and therapy. Heart 2024; 110(4):235-44. https://pubmed.ncbi.nlm.nih.gov/37487694/Links ]

11. Vaikunth S, Lui G Heart failure with reduced and preserved ejection fraction in adult congenital heart disease. Heart Fail Rev 2020; 25(4):569-81. https://pubmed.ncbi.nlm.nih.gov/31873841/Links ]

12. Buber J, Vatury O, Klempfner R, Tejman-Yarden S The impact of tricuspid valve regurgitation severity on exercise capacity and cardiac-related hospitalisations among adults with non-operated Ebstein’s anomaly. Cardiol Young 2019; 29(6):800-7. https://pubmed.ncbi.nlm.nih.gov/31159904/Links ]

13. Pérez‐Riera A, Barbosa‐Barros R, Daminello‐Raimundo R, De Abreu L, Nikus K Electro‐vectorcardiographic and electrophysiological aspects of Ebstein’s anomaly. Ann Noninvasive Electrocardiol 2019; 2:4. [ Links ]

14. Nguyen V, Nguyen X, Pham V, Pham L. Successful Radiofrequency Ablation of the Right Lateral Accessory Pathway with Modified Carpentier Reconstruction Surgery in a Patient with Ebstein Anomaly Concomitant of Secundum Atrial Septal Defect, Atrial Fibrillation, and Wolff-Parkinson-White Syndrome Nakajima H, editor. Case Rep Vasc Med 2022; 2022:1-6. https://www.ncbi.nlm.nih.gov/pmc/articles/PMC9001140/Links ]

15. Sainathan S, Silva D, Silva P. Ebstein’s anomaly: contemporary management strategies. J Thorac Dis. marzo de 2020;12(3):1161-73. https://pubmed.ncbi.nlm.nih.gov/32274197/Links ]

16. Chambergo-Michilot D, Espinoza-Gutiérrez G, Gómez J, Tenorio-Quispe A Válvula tricúspide displásica (Ebstein-like). Rev Colomb Cardiol 2020; 27(4):303-6. http://www.scielo.org.co/scielo.php?script=sci_arttext&pid=S0120-56332020000400303Links ]

17. Holst K, Connolly H, Dearani J Ebstein’s Anomaly. Methodist DeBakey Cardiovasc J 2019; 15(2):138. https://pubmed.ncbi.nlm.nih.gov/31384377/Links ]

18. Pacheco J, Torres I, Serrano W Adulto con anomalía de ebstein. Rev Fac Cienc Médicas Univ Cuenca 2020; 3:8. [ Links ]

19. Cepeda-Rodrigo J, Comín-Colet J, García-Quintana A, Sánchez M, Zamorano J, González-Juanatey J. Abordaje terapéutico del paciente con insuficiencia cardiaca, fracción de eyección reducida Papel del vericiguat. Rev Esp Cardiol Supl 2022; 22:23-9. https://www.revespcardiol.org/es-abordaje-terapeutico-del-paciente-con-articulo-S1131358722000048Links ]

20. González-Juanatey J, Anguita-Sánchez M, Bayes-Genís A, Comín-Colet J, García-Quintana A, Recio-Mayoral A, et al Vericiguat en insuficiencia cardíaca: de la evidencia científica a la práctica clínica. Rev Clínica Esp 2022; 222(6):359-69. https://www.sciencedirect.com/science/article/pii/S0014256522000030Links ]

Recibido: 12 de Marzo de 2025; Aprobado: 26 de Abril de 2025; Publicado: 01 de Mayo de 2025

Creative Commons License Este es un artículo publicado en acceso abierto bajo una licencia Creative Commons