INTRODUCCIÓN
Los quistes odontogénicos son lesiones patológicas que forman una cavidad, de contenido líquido, semifluido o gaseoso y que no es creada por la acumulación de pus. Su agente causal son estímulos inflamatorios o trastornos del desarrollo y provienen a partir de componentes epiteliales del aparato odontogénico o de restos celulares que quedan atrapados durante la organogénesis. Estos quistes suelen ser de crecimiento lento y asintomáticos, sin embargo, pueden ser también de crecimiento rápido, desplazando e incluso dañando las estructuras circundantes, con la consiguiente infección, reabsorción radicular, lesiones nerviosas o fracturas óseas (1).
Las lesiones quísticas son una de las patologías más comunes en el área de cirugía bucal y maxilofacial. Estas lesiones se observan con más frecuencia en los maxilares superior e inferior que en otros huesos del cuerpo humano, dado su origen remanente celular del neuroectodermo embrionario, pudiendo desencadenar la patogénesis (2,3).
Las técnicas radiológicas más utilizadas en el estudio de las lesiones quísticas de la cavidad oral son la ortopantomografía, la tomografía computarizada (TC) y la tomografía computarizada de haz cónico o Cone Beam. La ortopantomografía es útil en la evaluación preliminar ya que la radiografía panorámica sirve como herramienta de orientación, pero al ser una representación plana de los maxilares y presentar de esta forma distorsión en la imagen y superposiciones, se requiere de un instrumento radiográfico que brinde imágenes tridimensionales como lo es la TC (2).
Los tratamientos de las lesiones quísticas van desde descompresión simple, marsupialización, enucleación y resección ósea, e incluso, una combinación de estos. Si bien no existe un consenso sobre el tratamiento óptimo, se deben evitar las complicaciones y la morbilidad adicional. Esto representa un reto para la escogencia terapéutica más efectiva que brinde la menor tasa de recidivas y que proporcione además una buena calidad de vida del paciente (1,3).
Anteriormente el método que se consideraba más seguro era la resección quirúrgica, siendo de elección en lesiones de gran tamaño, sin embargo, en la actualidad se han descrito mayor cantidad de complicaciones que van desde una infección postoperatoria, recidiva de la lesión y mayor morbilidad; además este tratamiento no brinda ningún tipo de cicatrización, por lo cual la descompresión ha ganado terreno (4).
La descompresión se basa en técnicas para aliviar la presión intraquística que provoca la expansión del quiste y se realiza mediante la abertura de la pared del quiste utilizando un drenaje para mantener la cavidad quística abierta. Actualmente la descompresión va acompañada de un tratamiento quirúrgico posterior como la enucleación. La descompresión solo es aplicada para disminuir el tamaño de la lesión y evitar el compromiso de estructuras anatómicas vecinas (3).
La descompresión se realiza principalmente para evitar la morbilidad, como procedimiento completo único o combinado con la enucleación posterior junto con solución de Carnoy, dado que ofrece menores porcentajes de recurrencia (10,6 % de media), dependiendo principalmente de los hallazgos histopatológicos (4).
La enucleación por su parte, consiste en la extirpación de una lesión despegándola del hueso. Esta eliminación completa del quiste permite el examen histopatológico de la lesión en su totalidad. En general, esta técnica quirúrgica va asociada a una alta tasa de recurrencia. Al aplicarse después de la compresión, es muy recomendable para los queratoquistes odontogénicos (5, 6).
DESCRIPCIÓN DEL CASO CLÍNICO
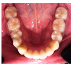
Se presenta el caso clínico de paciente masculino de 27 años de edad que acudió al postgrado de cirugía bucal de la Universidad Latinoamericana y del Caribe con sede en Instituto docente López Arévalo de la ciudad de Valencia (Edo. Carabobo, R.B. Venezuela), sin antecedentes personales ni familiares contributorios, que asistió a consulta asintomático, refiriendo secreción blanco-amarillenta en mucosa de trígono retromolar inferior izquierdo, desde julio de 2021 sin tratamiento previo. En el examen clínico no se evidencia aumento de volumen ni asimetría facial, paciente niega fiebre, tumefacción y dolor en la zona (Figura 1).

Figura 1 Imagen Oclusal inferior que evidencia simetría de las corticales vestibulares y linguales de ambas hemiarcadas. Fuente: Historia Clínica. Especialización Cirugía Bucal ULAC-IDOLA. 2022.
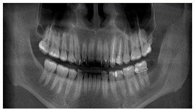
Se apreció en la ortopantomografía imagen pseudo radiolúcida localizada en el límite posterior del cuerpo mandibular, que se extendía desde las raíces de UD 37 hasta tercio medio de rama mandibular ipsilateral de bordes definidos, desplazando el conducto alveolar inferior y sin afectar la basal mandibular.

Figura 2 Detalle de Radiografía Panorámica que evidencia imagen pseudo radiolúcida unilocular de bordes corticalizados que se extiende en sentido cefálico caudal desde borde anterior de la rama y parte del reborde alveolar hasta la cortical del conducto mandibular izquierdo, se evidencia relación de la lesión con raíces de la UD 37. Fuente: Historia Clínica. Especialización Cirugía Bucal ULAC-IDOLA. 2022.
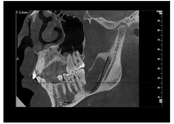
En la Tc Cone Beam en una vista oblicua se visualizó imagen unilocular hipodensa de bordes corticalizados compatible con lesión quística (Figura 3).

Figura 3 Corte de tomografía computarizada de haz cónico, en donde se evidencia en vista oblicua una imagen hipodensa compatible con la lesión, donde se observa desplazamiento del nervio dentario hacia la basal mandibular. Fuente: Historia Clínica. Especialización Cirugía Bucal ULAC-IDOLA. 2022.

Figura 4 Reconstrucciones multiplanares de tomografía computarizada de haz cónico, con vista oblicua (A) y medidas referenciales de 13.6 mm x 35.3 mm. Vista coronal (B) con imagen Hipodensa compatible con la lesión y una imagen hiperdensa compatible con la raíz distal de UD 37. En el corte axial (C) se evidencia ligera expansión de la cortical vestibular. Fuente: Historia Clínica. Especialización Cirugía Bucal ULAC-IDOLA. 2022.
En este caso, se realizó la descompresión (3,5) con una cánula personalizada autocurada, la cual, por el gran tamaño de la lesión y alto riesgo de recidiva fue realizada a través de un artefacto de drenaje elaborado con metil metacrilato (mmc). Realizándose de la siguiente manera; al momento que acude el paciente se realizó la toma impresión de la zona del trígono retromolar de la UD 37 para su consiguiente vaciado, obteniendo así el modelo de dicha zona. Se tomaron las medidas del modelo, se procedió a mezclar el mmc para realizar la base del artefacto de drenaje y se continuó con la realización del cilindro al que se le realizan aberturas para facilitar la descompresión de la lesión.

Figura 5 Realización del artefacto de drenaje autocurado (A) Modelo de la hemiarcada izquierda, (B) Materiales usados para la elaboración del mismo con Metil Metacrilato (mmc) (C) Finalización del aparato (Base, Cilindro). Fuente: Historia Clínica. Especialización Cirugía Bucal ULAC-IDOLA. 2022.
En boca del paciente se realizó PAAF (Punción por aspiración de aguja fina) obteniendo secreción hemática, de aproximadamente 1 CC, luego de descartar una lesión vascular se procedió a la toma de muestra para biopsia incisional de hueso supracortical de la lesión, en región retromolar distal a UD 37 y fragmento de membrana quística. Al momento de realizar la incisión se evidenció gasto líquido de un color blanco amarillento.

Figura 6 Manejo quirúrgico de la lesión (A) Realización del PAAF, (B) Levantamiento del colgajo. (C) Toma de muestra para biopsia incisional de hueso supracortical de la lesión en región retromolar. Fuente: Historia Clínica. Especialización Cirugía Bucal ULAC-IDOLA. 2022.
Posteriormente se comprobó si el artefacto contiene bordes filosos y se alivian, se adaptó y se fijó en boca con alambre de osteosíntesis 0.5 mm, y finalmente se proporcionaron las indicaciones postoperatorias al paciente
En cuanto a los resultados, el paciente acudió a consulta luego de 5 meses con el dispositivo, mostrando una reducción quística notable en la imagen por tomografía computarizada de haz cónico. En relación al conducto alveolar inferior, se notó una imagen hiperdensa compatible con hueso.

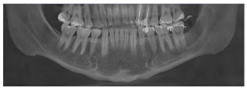
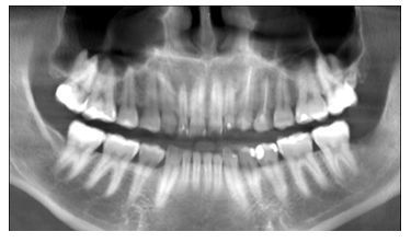
Figura 8 Tomografía computarizada de haz cónico corte panorámico que evidencia imagen pseudo radiolúcida unilocular de bordes corticalizados que se extiende en sentido cefálico caudal desde borde anterior de la rama, se evidencia relación de la lesión con la raíz distal de la UD 37. Fuente: Historia Clínica. Especialización Cirugía Bucal ULAC-IDOLA. 2022
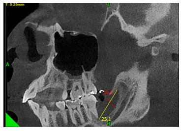
En el corte oblicuo, también se observó una imagen hiperdensa compatible con crecimiento óseo en unidades métricas desde el borde anterior de la mandíbula hacia la basal mandibular de 10.5 mm y en sentido postero-anterior de 25.1 mm, con lo cual se obtuvieron medidas más exactas el crecimiento óseo ganado y en una imagen hiperdensa se aprecia el techo del conducto dentario inferior.

Figura 9 Corte de tomografía computarizada de haz cónico, en donde se evidencia en vista oblicua una imagen hiperdensa compatible con crecimiento óseo. Medidas referenciales 10.5 mm x 25.1 mm. Fuente: Historia Clínica. Especialización Cirugía Bucal ULAC-IDOLA. 2022
En corte transaxial se aprecia en una imagen hipodensa una cavidad quística de menos diámetro, siendo la compensación ósea mayor.

Figura 10 En una vista transaxial se observa una imagen hiperdensa compatible con crecimiento óseo en todo el hemisferio de la raíz mesial de la U.D 37. Fuente: Historia Clínica. Especialización Cirugía Bucal ULAC-IDOLA. 2022
En un primer control post instalación del dispositivo de descompresión se realizó el lavado profuso de la cavidad quística con solución yodada, retiro del dispositivo el cual se recortó, se pulió y se instaló nuevamente.

Figura 11 (A) Lavado profuso con solución yodada. (B) Dispositivo instalado nuevamente recortado y pulido Fuente: Historia Clínica. Especialización Cirugía Bucal ULAC-IDOLA. 2022
En un nuevo control radiográfico posterior a 7 meses de descompresión, en un corte panorámico de tomografía de haz cónico, se notó una imagen hiperdensa compatible con una ganancia ósea aun mayor al pasado control radiográfico en sentido céfalo-caudal en la rama ascendente de la mandíbula izquierda.

Figura 12 Tomografía computarizada de haz cónico corte panorámico que evidencia imagen pseudo radiopaca compatible con el crecimiento óseo ganado y una imagen radiolúcida de menor tamaño. Fuente: Historia Clínica. Especialización Cirugía Bucal ULAC-IDOLA. 2022
En el corte oblicuo se observó una imagen hiperdensa compatible con crecimiento óseo siendo en unidades métricas desde el borde anterior de la mandíbula hacia la basal mandibular de 8.2 mm y en sentido postero-anterior de 19.3 mm. Siendo evidente la ganancia ósea en relación con el primer control radiográfico.

Figura 13 Corte de tomografía computarizada de haz cónico, en donde se evidencia en vista oblicua una imagen hiperdensa compatible con crecimiento óseo. medidas referenciales 8.2 mm x 19.3 mm. Fuente: Historia Clínica. Especialización Cirugía Bucal ULAC-IDOLA. 2022
Se realizó en un segundo tiempo quirúrgico la enucleación de la membrana quística completa de la cavidad. Se presentó la biopsia excisional, se aplicó solución carnoy en la cavidad durante 3 minutos para la eliminación de células epiteliales residuales del queratoquiste odontogénico.

Figura 14 (A) Enucleación de la membrana quística, (B) Se presenta la cavidad con la eliminación total de la membrana, (C) Biopsia Excisional, (D) Aplicación de solución carnoy. Fuente: Historia Clínica. Especialización Cirugía Bucal ULAC-IDOLA. 2022
Se tomó una muestra de sangre al paciente para obtener el PRF y se inició la regeneración ósea con hueso sintético. Se empleó aproximadamente 1 CC para la totalidad de la cavidad. Se llevó a cabo la colocación de la membrana de pericardio en la regeneración ósea y se procedió a la síntesis de tejidos planos con Vycril con puntos simples.

Figura 15 Síntesis de tejidos por primera intención con vycril. Fuente: Historia Clínica. Especialización Cirugía Bucal ULAC-IDOLA. 2022
Posterior a 3 meses, se realizó un nuevo estudio radiográfico en el cual se demostrando el tratamiento finalizado, sin secuelas aparentes de una posible recidiva del queratoquiste odontogénica, visualizando la recuperación total de la U.D 37. Se le indicó Tratamiento endodóntico en la U.D 37.
DISCUSIÓN
Desde que la descompresión quística se utiliza en el tratamiento conservador de los quistes odontogénicos, se han encontrado casos exitosos acompañados con descompresión (3), tal como ocurrió en este caso clínico.
La descompresión en combinación con otra terapia como la posterior enucleación en caso de Queratoquiste odontogénico (7), resulta más eficaz para reducir el tamaño del quiste en todos los pacientes, en especial, cuando se trata de pacientes jóvenes con lesiones ubicadas en la zona posterior mandibular y cuando el tratamiento descompresivo se prolongaba en el tiempo (3).
En Venezuela no existe suficiente información acerca de la prevalencia de Quistes Odontogénicos, aunque se han realizado estudios sobre estas patologías en otros países, pero las características étnicas son diferentes, según Villarroel y cols. En su estudio evidenciaron que en Venezuela durante el período desde 2004 hasta 2018, se obtuvo que un 15% de las lesiones de cavidad oral representaban quistes odontogénicos, siendo el quiste con más prevalencia el radicular seguido por el dentígero y en tercer lugar el queratoquiste Odontogénico (8). La clasificación de los quistes odontogénicos ha sido ampliamente debatida y controversial, con respecto a la verdadera naturaleza de algunas de las lesiones (1,6,9).
En la última clasificación propuesta por la OMS en el año 2017 el Queratoquiste Odontogénico forma parte de los quistes dentro de la clasificación y no de los tumores como se había propuesto anteriormente, ya que no consiguieron pruebas sólidas de que representaban neoplasias verdaderas, es por esta razón que la descompresión debe considerarse como el tratamiento de primera línea (10). Por lo tanto, el método quirúrgico radical no puede considerarse como un enfoque a tomar en primera instancia y debe usarse en casos limitados (6).
Con la presentación de este caso clínico, se contribuye a determinar que los quistes mandibulares grandes e invasivos podrían tratarse en combinación con descompresión, seguida de enucleación, osteotomía periférica, lo que parece ser eficaz para el tratamiento de los queratoquistes odontogénicos al disminuir la recurrencia durante el período más crítico (11, 12).
El tratamiento de descompresión de lesiones quísticas de los maxilares juega un papel fundamental para evitar la morbilidad. Antiguamente existía un gran debate, ya que sobre todo en aquellas lesiones con alta tasa de recidiva o con potencial neoplásico se indicaba la resección en bloque. Hoy en día, estudios como el de Kwon y colaboradores (3) respaldan el uso en primer lugar de la descompresión para evitar daño a estructuras vecinas y un lecho quirúrgico más reducido. Este tratamiento se puede realizar de forma única o combinada con otras técnicas como la enucleación; esta última no es recomendada en primera instancia debido a su alta tasa de recidiva. La decisión de realizarlo de forma única o combinada va a depender de los hallazgos histopatológicos finales de la lesión.
Se concluye que el tratamiento conservador de lesiones quísticas de los maxilares juega un papel fundamental en la disminución de las secuelas por resección de grandes lesiones, en relación al queratoquiste, siempre que estén involucradas estructuras anatómicas que puedan ser afectadas durante la resección, se prefiere la descompresión para disminuir el tamaño de la lesión y luego resecar una lesión resultante de menor tamaño. En el caso presentando la descompresión demostró ser un tratamiento conservador efectivo el cual posteriormente se ve complementado por la enucleación de una membrana quística más gruesa y menos friable.
AGRADECIMIENTOS
Al personal académico y de servicios del Instituto Docente Odontológico López Arévalo (IDOLA).
CONFLICTO DE INTERESES.
Los autores declaran que no existe conflicto de intereses para la publicación del presente artículo científico.
FINANCIAMIENTO
Los autores declaran no haber recibido ningún tipo de financiamiento
















