INTRODUCCIÓN
Las patologías gástricas son afecciones muy frecuentes En los diferentes estratos de la sociedad moderna. Los orígenes que motivan el inicio de una injuria gástrica no se conocen con exactitud, sin embargo se acepta a la influencia de factores como las preocupaciones, la ansiedad, la tensión emocional, los procesos infecciosos y la dieta alimenticia ejerciendo un acusado influjo tanto en la aparición de la enfermedad, como en la agudización de los síntomas 1.
Es pues la medicina alternativa y complementaria una opción de un nuevo tratamiento para sofocar ciertas dolencias sin tener que recurrir a los productos químicos farmacéuticos pocos accesibles por sus costos y en algunos casos causantes de enfermedades gástricas debido a su uso excesivo o a su composición de fabricación. Se estima que miles de productos farmacológicos cada año irrumpen en el mercado; existiendo poca información sobre las reacciones adversas en el cuerpo humano que ocasionan los AINES tales como el ibuprofeno, la indometacina, ibuprofeno y otros teniendo muchos de ellos elevado consumo por receta médica y/o por su automedicación 2. Los AINES constituyen uno de los agentes terapéuticos más utilizados en la práctica médica diaria, bien como tratamiento de afecciones reumáticas o como parte del tratamiento sintomático o etiológico del dolor; no obstante, éstos presentan evidentes manifestaciones adversas a nivel gástrico, siendo la gastrolesividad, una de ellas; atribuyéndose dicho efecto, entre otros, a la disminución de la síntesis de prostaglandinas, por inhibición de la Cox uno y la Cox dos. Las poblaciones nativas utilizan las plantas, usando técnicas sencillas, dependiendo del nivel técnico del curandero, de los medios disponibles y la tradición 3,4.
La indometacina junto al ibuprofeno, naproxeno 5,6 ketorolaco 7 y otros pertenece a la familia de los AINES, cuyo nombre químico es el ácido arilalcanoico 3-(5-Nitrofurfuciliden) amino-2-oxazolidona. Es un fármaco inhibidor no selectivo de las ciclooxigenasas 1 y 2 y actúa bloqueando la síntesis de prostaglandinas e inhibe de manera reversible la agregación plaquetaria aumentando las hemorragias. Posee actividad analgésica y antiinflamatoria; se usa en el tratamiento de artritis reumatoide, osteoartritis, trastornos musculoesqueléticos, bursitis, tendinitis y sinovitis 8.
El Aloe vera L. “sábila” pertenece a las liliáceas, con más de doscientas especies descubiertas. Es oriunda de África Oriental y meridional, posee propiedades analgésicas, astringentes, antitóxicas, antifúngicas, antibacterianas, antivirales, antiinflamatorias, antioxidantes, antiulcerosas y es regeneradora de tejidos, pues posee polisacáridos y fenoles principales componentes activos del gel 9.
El gel, tiene principios activos, aminoácidos y hormonas que contribuyen a la regeneración celular y posee propiedades medicinales para sofocar ciertas dolencias tales como: acné, ulceras gastrointestinales, inflamaciones, pie de atleta, colitis, disentería, anemia, reumatismo, tuberculosis, cáncer y otros 10.
En la investigación fitoquímica y farmacológica se realizan extracciones que sean reproducibles, cuantitativas, estables y eficientes para el efecto que se desea demostrar 11. Entre ellas, destacan las extracciones hidroalcohólicas 12 a base de éter, cloroformo y hexano. Existen pocos trabajos experimentales con modelos animales que comprueben la efectividad que puede tener el uso de la sàbila sobre las lesiones gástricas y si sus efectos son comparables o no con los procedimientos convencionales 13,14. Con lo expuesto se planteó el objetivo de evaluar el efecto histoprotector de Aloe vera L. en ratas con daño gástrico inducido por indometacina.
MATERIALES Y MÉTODOS
La experiencia se realizó en la Universidad Toribio Rodrìguez de Mendoza, ubicado en la ciudad Chachapoyas, Perú. Se utilizaron 50 ratas hembras de la especie Rattus rattus var. albinus, de 4 meses de edad y 250 gramos de peso promedio; provenientes de la Facultad de Medicina de la Universidad Nacional de Trujillo. Los animales fueron acondicionados en el laboratorio durante 07 días como periodo de adaptación donde se mantuvieron en grupos de 10 ratas en jaulas metálicas incluyendo ciclos de luz-oscuridad; recibiendo agua y alimento ad libitum (30 gramos por animal de alimento comercial) con cambio diario de cama (viruta). En este periodo no se administró ninguna sustancia ni se realizó ningún tipo de procedimiento. El octavo día se consideró como día uno; luego se realizó el pesado de todos los animales y las observaciones necesarias que fueron asignadas en la ficha de observación 15 de cada espécimen. La inducción de úlceras en ratas se hizo con indometacina a una concentración de 20 mg/Kg por vía hipodérmica según el sistema Sidney 16. Los animales fueron manipulados según las Normas de Ética de Experimentación Animal 17.
Concentración óptima del gel de Aloe vera L.
Las hojas de A. vera L. (sábila) se colectaron de una planta de dos años de edad. . En el laboratorio las hojas fueron lavadas con agua y una solución de hipoclorito de sodio para evitar la contaminación bacteriana. Luego fueron colocadas en agua destilada en depósitos plásticos por 24 horas (con cambio de agua cada 12 horas) para eliminar las antraquinonas y toda impureza, previa eliminación de las espinas con un cuchillo. Se realizó cortes manuales a las hojas realizando un fileteado el gel con un cuchillo a partir de aproximadamente 2.5 cm desde la base de la hoja abarcando su extremo superior y las partes laterales 18, Se pesó 50 g de gel y se licuó con 150 mL de agua destilada conjuntamente con el exocarpio 19. Luego se hirvió por 10 minutos. Se concluye filtrando el producto y se colocó en un frasco de vidrio ámbar y estéril, para posteriormente refrigerarlo a 10°C 20.
Cuantificación y dosificación del extracto de Aloe vera L.
En base a un trabajo piloto se determinó la dosis efectiva cincuenta (DE50) del extracto de A. vera L. “sábila”, el que fue diluido en agua destilada y administrado a los animales de experimentación según cada grupo de tratamiento correspondiente en dosis diarias por tres días. El trabajo piloto fue realizado con el 10% del número total de los animales de experimentación, a los cuáles se les administró vía hipodérmica diferentes concentraciones del extracto de A. vera L. donde se obtuvo la (DE50) que fue de 50mg/Kg de peso vivo.
Diseño Experimental para evaluar el efecto histoprotector de A. vera L.
Se utilizaron 5 agrupaciones de 10 ratas cada uno, distribuidos al azar asignados de una rotulación para su identificación.
Agrupación 1: Control
Agrupación 2: Se aplicó una dosis de indometacina.
Agrupación 3: Se ministró una dosis de A. vera L. y después de una hora se administró indometacina.
Agrupación 4: Se aplicó dos dosis de A.vera L. a sucesiones de 4 horas e indometacina a una hora de la primera dosis.
Agrupación 5: Se concedió tres dosis de A. vera L. a sucesiones de 4 horas e indometacina a una hora de la primera dosis.
Repeticiones. Se trabajó con 5 grupos de 10 animales cada uno.
Antes de los experimentos los animales estuvieron en ayuno por 24 horas, dejándolos únicamente con agua ad libitum. La indometacina se inyectó vía hipodérmica (diluída en agua destilada) en dosis de 15 mg/kg p.v. Los procedimientos con A. vera L. fueron aplicados con una cánula intragástrica y por vía oral en cantidad de 50 mg/kg p.v. (1.25%). Al segundo día del experimento, se anestesiaron a los animales con pentobarbital sódico (halatal) vía intraperitoneal y se procedió a una laparotomía exploratoria Se aisló el antropíloro del estómago para la determinación de las lesiones. Los animales se sacrificaron por eutanasia, luego de tomada la muestra. Se analizaron los tejidos con observaciones macroscópicas y microscópicas. Luego las muestras fueron mantenidas en formol al 10% y trasladadas en frascos rotulados con su código individual, para el posterior análisis histopatológico.
Evaluación del daño gástrico
Para la evaluación de la injuria gástrica, la muestra resultante fue abierta linealmente por el lado de la curvatura mayor del epigastrio, separando la parte correspondiente del cuerpo y el antropíloro del estómago. Las lesiones gástricas se evaluaron utilizando la jerarquía de Marhuenda 20.
Análisis estadístico
En la valoración estadística los datos fueron procesados mediante la prueba T-Student, utilizándose el programa estadístico SSPS versión 21,0. Los datos fueron expresados como los promedios aritméticos ± el error estándar del promedio aritmético, donde se aceptó un valor significativo de p< 0,05. La comparación de grupos se realizó mediante la prueba no paramétrica de Kruskall Wallis.
RESULTADOS
Se propuso un modelo de gastritis erosiva inducida por indometacina, con un esquema similar al presente estudio, en ratas de la especie Rattus rattus var. albinus, logrando lesiones en todos los animales, comprobándose que tales lesiones fueron inducidas en el duodeno y estómago respectivamente. En el presente estudio se pudo inducir las mismas lesiones en el lado antropilórico del estómago (es el sitio donde mayormente se origina la lesión ulcerosa en los mamíferos) y en aquellas áreas donde había presencia de vasos sanguíneos 21.
Tabla 1 Injurias gástricas macroscópicas (cuerpo y antropíloro) en 10 R. rattus var. albinus por agrupación provocadas por indometacina y procesadas con A. vera L.
| Exploración | Agrupación de roedores con injuria | Conjunto de lesionados a | ||||
|---|---|---|---|---|---|---|
| I b | II | III | IV | V | ||
| Tumefacción de la cavidad gástrica | 0 | 5 | 3 | 2 | 2 | 7 |
| Ampliación de la cavidad gástrica | 0 | 8 | 3 | 2 | 3 | 8 |
| Mucosa dañada | 0 | 3 | 2 | 1 | 0 | 3 |
| Hiperemia | 0 | 7 | 4 | 1 | 1 | 6 |
| Secreción mucilaginosa . ambarina . bermeja | 0 0 | 5 6 | 2 1 | 0 0 | 0 0 | 2 1 |
| Ulceraciones . singular y numerosas . longitudinales . carencia | 0 0 10 | 7 8 0 | 1 0 8 | 1 0 10 | 0 0 10 | 2 0 28 |
aA un máximo de 30 (agrupaciones III, IV y V)
bAgrupación I: Control; II: Indometacina (I); III: I más una dosis de Aloe vera L; IV: I más 2 dosis de A. vera L; V: I más 3 dosis de Aloe vera L.
Los resultados microscópicos nos indican que las lesiones inflamatorias no están presentes en la mayoría de los animales, visualizándose la tumefacción de la cavidad gástrica e hiperemia como las cualidades más resaltantes en las agrupaciones III y V (Tabla 1). Es importante resaltar la ausencia de secreción mucilaginosa en las tres agrupaciones de animales tratados con Aloe vera L. así como la carencia de ulceraciones (Tabla 1).
Tabla 2 Niveles de injuria macroscópica del estómago (cuerpo y antropíloro) en 10 R. rattus var. albinus por agrupación provocada por indometacina y procesadas con A. vera L. 20.
| Nivel c | Ratas estimadas | |||||
|---|---|---|---|---|---|---|
| Agrupación I b | Agrupación II | Agrupación III | Agrupación IV | Agrupación V | Agrupación de Lesionados a | |
| A | 10 | 1 | 3 | 3 | 4 | 10 |
| B | 0 | 1 | 4 | 1 | 1 | 6 |
| C | 0 | 0 | 2 | 2 | 1 | 5 |
| D | 0 | 0 | 3 | 1 | 1 | 5 |
| E | 0 | 7(2) | 1 | 2 | 1 | 4 |
a A un máximo de 30 (agrupaciones III, IV y V)
b Agrupación I: control; II: indometacina; III: indometacina más una dosis de Aloe vera L; IV: indometacina más dos dosis de A. vera L; V: indometacina más tres dosis de A. vera L.
c Nivel A (normal): Mucosa y serosa saludable
Nivel B: (leve): hiperemia y/o hemorragia con pequeñas áreas sanguinolentas (petequias)
Nivel C: (moderado): mucosa escoriada o ulcerada
Nivel D: (severo): mucosa escoriada o ulcerada con injurias y sangrado.
Nivel E: (muy severo): numerosas llagas o úlceras
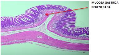
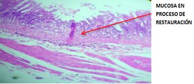
Respecto a las lesiones macroscópicas, según la jerarquía de Marhuenda 20, se observó la escaza presencia de injurias numerosas o ulceras (nivel E) (Tabla 2) excepto la agrupacíon II; sin embargo se percibió una ligera mucosa erosionada con sangrado de nivel D (Tabla 2). Tal como se muestra en la figura 4, las células epiteliales de la mucosa sana están migrando hacia la zona de injuria, proliferando en ella, para restaurar la lesión de la mucosa.
Tabla 3 Niveles de injuria microscópica del estómago (cuerpo y antropíloro) en10 Rattus rattus var. albinus por agrupación provocada por indometacina y procesadas con A. vera L. (20)
| Nivel c | Ratas estimadas | |||||
| Agrupación Ib | Agrupación II | Agrupación III | Agrupación IV | Agrupación V | Agrupación de lesionados a | |
| Sin lesión | 10 | 0 | 2 | 4 | 4 | 10 |
| Ligero | 0 | 2 | 3 | 3 | 0 | 6 |
| Regular | 0 | 1 | 1 | 2 | 5 | 8 |
| Grave | 0 | 7 | 3 | 2 | 1 | 6 |
a A un máximo de 30 (agrupaciones III, IV y V)
b Agrupación I: control; II: indometacina; III: indometacina más una dosis de Aloe vera L.; IV: indometacina más dos dosis de Aloe vera L.; V: indometacina más tres dosis de A. vera L.
c Nivel Ligero: Involucra ausencia de daño tisular, exiguas pruebas de deterioro de vasos sanguíneos (hiperemia e hinchazon) y poca secreción.
Nivel Regular: El efecto siempre involucra un fragmento tisular y descubrimientos evidentes de consecuencias inflamatorias al daño, comprobada
por la aglomeración de glóbulos blancos y acontecimientos en los vasos sanguíneos.
Nivel Grave: Abarca la ampliación del efecto moderado en la cual se percibe un intenso deterioro tisular con alta prolongación y mucha secreción y/o exudación.
Respecto a la tabla 3, lo hallado microscópicamente según la jerarquía de Marhuenda (20) existen entre tres y dos animales por grupo que presentaron lesiones graves, lo cual representa más del 50% del total de animales tratados con Aloe vera L.; y por lo menos dos de ellos no presentaron algún tipo de injuria. Debe recalcarse también que los animales de los agrupaciones III y IV (una dosis, dos dosis) presentaron más lesiones ligeras que la agrupación V que recibió tres dosis de Aloe vera L.

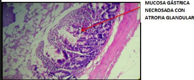
Figura 1 Zona antropilórica del estómago (agrupación 2) donde se observa una mucosa necrosada con atrofia glándular

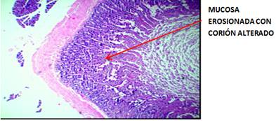
Figura 2 Zona corporal del estómago (agrupación 3) donde se observa la erosión de la mucosa y el corión alterado.
DISCUSIÓN
Conociendo el poder gastrolesivo de la indometacina 22 (Figura 1) en animales de experimentación, se aplicó periódicamente vía hipodérmica cada 4 horas a diferentes dosis de extracto de A. vera L. “sábila”. Se comprobó el efecto bioprotector de A. vera L. “sábila” en R. rattus var. albinus con daño gástrico inducido por indometacina; pues el extracto de “sábila” posee los 11 aminoácidos esenciales que fueron puestos a disposición de la maquinaria reparadora de las células mitóticas de la mucosa de la parte antropilórica del estómago evidenciándose (Tabla 1) esto en las agrupaciones 3, 4 y 5 donde no existió exudado mucoso (Figura 2) y se observó escasa presencia ulcerosa en la mayoría de animales tratados con A. vera L. 23.
Sabiendo que la formación ulcerosa se debe a la acción de la indometacina 24,25 la cual suprime a las enzimas llamadas ciclooxigenasas (Cox uno y Cox dos) y a las prostaglandinas I y E2 (PGI y PGE), estas biomoléculas confieren a la mucosa una función protectora estimulando la formación de mucus y bicarbonato para contrarrestar el efecto del ácido clorhídrico. Es aquí donde la sábila presenta sustancias estimuladoras para la formación de las ciclooxigenasas y prostaglandinas logrando proteger a la mucosa intestinal de la actividad del ácido clorhídrico. En la Tabla 1 se puede apreciar que de 30 animales inducidos con daño gástrico por la indometacina, 28 de ellos no presentaron ulceras gástricas; esto se atribuiría al extracto vegetal cuya propiedad fue activar, fortalecer y hacer más eficiente el sistema histoprotector de la mucosa erosionada asegurando una renovación conjunta de tejidos ante la injuria ocasionada por la indometacina. También nuestros resultados son similares a lo encontrado por Celestino y López 26 quienes indujeron ulceras gástricas en ratas al usar un extracto etanólico de Aloe vera L., los animales presentaron signos de mejoría por el efecto gastroprotector inducido con sábila.
El 90% de las ratas de las agrupaciones 4 y 5 a las que solo se les administró dos y tres dosis de A. vera L. se logró reducir el daño ulceroso en la mucosa gástrica encontrándose estadísticamente diferencias significativas (p<0,05) con la agrupación 2 que solo recibió indometacina (hallándose en ellos más del 80% de animales con daño de la mucosa gástrica). Estos resultados concuerdan con lo hallado por Salvatierra 27 quien un estudio similar al nuestro induciendo lesiones gástricas en ratas con indometacina, observó que la introducción de una dosis de sábila entre el grupo preventivo y el grupo curativo no se halló diferencias significativas. Se conjetura que la administración de sábila en el momento oportuno y exacto del experimento produjo a nivel de la mucosa la estimulación de ciertas prostaglandinas que favorecen y estimulan la producción de moco con bicarbonato de sodio produjo una intensa mitosis de las células epiteliales como se demuestra en la figura 3 y 4 mostrando una mucosa gástrica protegida y con menor presentación de lesiones erosivas y/o inflamatorias. Se demostró que la aplicación de gel de sábila sobre heridas pos-endodoncia en ratas, estas mostraron mejoría 28, o sea que a nivel bucal la cualidad desinflamatoria de la sábila está demostrada.
Discrepamos con Gutiérrez 29 con lo encontrado en su estudio quien utilizando indometacina como agente inductor gastrolesivo descubrió un moderado porcentaje (60%) de animales con petequias en el tratamiento donde solo se usó indometacina; mientras en nuestro análisis (Tabla 2), las agrupaciones 4 y 5 que recibieron dos y tres dosis de “sábila” se encontró un 60% y 90% que no exhibió petequias. El mencionado autor usando solo indometacina en la agrupación control halló que el 40% de los animales presentó lesiones moderadas mientras que en nuestra investigación tal agrupación control presentó solo el 20% de lesiones ligeras o moderadas quizá la dosis utilizada en nuestro estudio (20mg/Kg) influyó en los resultados y esto resalta en los resultados.
En la tabla 3 respecto a las lesiones macroscópicas según la escala de Marhuenda se apreció en todos los tratamientos la ausencia de ulceraciones mayores de 10mm. De las agrupaciones 3, 4 y 5, es decir, de los 30 animales tratados (100%) el 86,7% no presentó ulceraciones menores de 10 mm. Armonizamos con el estudio realizado por Gallardo y Ramos 30 quienes encontraron un 78% de eficiencia histoprotectora de A. vera L. en un modelo experimental en ratas. La presencia de estas erosiones ulcerosas podría deberse a la acción de los radicales libres producto de la presencia leucocitaria que tiene como objetivo la erosión y la necrosis de la mucosa que son componentes de la pared gástrica; sin embargo, ciertos agentes antioxidantes coma las vitaminas A y C presentes en A. vera L. contrarrestaron posiblemente el efecto de los radicales libres evitándose así el deterioro masivo de tejidos del estómago y, por ende, la formación ulcerosa. Otros autores 31,32 encontraron que polisacáridos aislados de A. vera L. denominados GAPS-1 (gel) y SAPS-1 (exocarpio) están compuestos de manosa:glucosa:galactosa los cuales tienen una fuerte acción antioxidante eliminando los iones superóxido y hidróxilo así como la peroxidación lipídica. Además, debemos destacar los flavonoides que contiene A. vera L. que complementaron la actividad antioxidante en el tejido dañado. Los datos obtenidos sugieren que la etapa de madurez de la sábila tiene un papel importante en la composición y en la actividad antioxidante de la misma; los resultados de este estudio corroboran que el tiempo de madurez de la sábila fue determinante.
En Tabla 3, los hallazgos microscópicos muestran que entre tres y dos animales (agrupaciones 3, 4 y 5) presentaron lesiones graves y/o severas, lo cual demuestra que el 80% del total de animales (30 animales igual a 100%) no presentaron estos efectos injuriosos deduciéndose que por efecto de las diferentes dosis de A. vera L. administrados a los animales, estos tejidos dañados lograron regenerarse como se aprecia en las figuras 3 y 4; habiendo un promedio de 3 animales que no presentó ninguna lesión (estado saludable). Este estudio coincide con los resultados obtenidos por Gonzales et al. 33 que en un estudio encontró que el efecto de un extracto de papa, uña de gato y muña en ratas fue del 96,2% de efectividad antiulcerosa. Superando inclusive al efecto antiulceroso de la ranitidina (usado como grupo comparativo) que mostro un efecto de 50,01%.
Conociendo que el efecto antiinflamatorio, analgésico y antifebril son comunes a los AINES y que, a su vez, estos presentan sus mayores efectos secundarios y gastrolesívos a nivel de la mucosa gástrica e intestinal; entonces estudio planteó estudiar el mismo principio para indagar el efecto que pudiera tener en el tratamiento experimental de ulceras gástricas inducidas por indometacina en ratas, habiendo comprobado lo que nos propusimos al encontrar que la dosis de A. vera L. de 50 mg/kg muestra un efecto regenerador al disminuir las lesiones gástricas. Esto probablemente se deba a los principios activos de las quinonas que posee A. vera L.
CONCLUSIONES
Se comprobó el alto efecto histoprotector de A. Vera L. “sábila” en ratas con daño gástrico por indometacina al aplicar una, dos y tres dosis de sábila por cada tratamiento.
El extracto de Aloe vera L. aplicado en una, dos y tres dosis a Rattus rattus var. albinus con daño gástrico posee un notable efecto histoprotector al presentar en su estómago una mucosa sana con ausencia de úlceras, escaza hiperemia y sin necrosis.
Las tres dosis del extracto de Aloe vera L. “sábila” aplicadas a los animales disminuyó en un 86,7% las lesiones ulcerosas inducidas por indometacina.
















