Introducción
Las fracturas frecuentes de tibia, peroné en perros, gatos ocurren como consecuencia de traumatismos, siendo sus causas traumas por accidente de tránsito, lesiones por juego brusco, deportes y disparos1, suelen ser cerradas, abiertas, de alta o baja energía. Sin embargo, las fracturas tibiales (FT) abiertas tienen mayor repercusión en relación con otros huesos por la escasa cobertura de tejido blando1,2.
El tratamiento quirúrgico de la fractura se decide después de considerar, factores mecánicos, biológicos, cumplimiento por parte del propietario frente al paciente. Con mayor frecuencia se consideran como objetivo principal la estabilización de la FT, en cuanto a la fractura de peroné rara vez se repara. La razón fundamental de utilizar la reparación de fracturas mínimamente invasiva (RFMI) es por su resultado en la preservación superior del suministro vascular del perióstico alrededor del lugar de la fractura, con tiempos quirúrgicos reducidos, conduciendo a un riesgo menor de infecciones secundarias1-4.
La osteosíntesis de placa mínimamente invasiva (OPMI), es una técnica de estabilización de hueso fracturado con placa ósea y tornillos corticales o bloqueados, se aplica sin realizar un abordaje quirúrgico abierto, extenso para exponer y estabilizar directamente la fractura, también existen abordajes quirúrgicos abiertos invasivos necesarios para la reconstrucción de la fractura anatómica, que interrumpen el hematoma de la fractura, así como el riego sanguíneo regional extraóseo2,3,5,6.
Anatomía de la tibia y peroné. La diáfisis de la tibia es triangular en la mitad proximal y cilíndrica en la mitad distal, su superficie medial es relativamente plana a lo largo de toda su longitud siendo una ubicación ideal para la aplicación de implantes óseos. Se accede por lo general por la superficie medial del hueso por su escasa cobertura de tejido blando a largo de esta región1,6.
La cara medial de la tibia se extiende más distal al borde lateral denominado maléolo medial, y en la cara caudal de la tibia distal se encuentra el surco para el tendón del musculo flexor largo, no existe adherencia de musculo a nivel de la mitad distal de la tibia zona denominada corredores seguros1,5.
El peroné es largo y delgado uniéndose lateralmente a las caras proximal y distal de la tibia, su cabeza es aplanada, más ancha que el eje, y en el extremo distal, se conoce como maléolo lateral1,2.
La arteria y la vena safena atraviesan a lo largo de la cara medial de la tibia, tienen una rama craneal y caudal. El nervio ciático se divide en los nervios tibial, peroneo común. El nervio tibial atraviesa caudalmente a la tibia entre los músculos semimembranoso y bíceps femoral. El nervio peroneo común se divide en una rama superficial y una profunda ligeramente distal a la rodilla, que deben ser preservados en la intervención quirúrgica1,2.
Indicación y selección de caso. La selección de casos es fundamental para el éxito de la OPMI, una técnica útil en la mayoría de las fracturas diafisarias, transversales o fracturas oblicuas cortas de la tibia, fémur, radio y humero. Las excepciones son cuando en la fractura existe compromiso con un componente articular o en una fractura conminuta u oblicua larga, debe estabilizarse con reducción anatómica directa y estabilización rígida. Por otro lado, si la fractura es articular, la reducción anatómica es directa, de exposición abierta, la estabilización rígida de la superficie articular son fundamentales para un resultado óptimo a largo plazo2,7-10.
Osteosíntesis en placa mínimamente invasiva. En el recubrimiento percutáneo la aplicación de una placa ósea, típicamente en forma de puente, es decir sin realizar un abordaje quirúrgico extenso para exponer el sitio de la fractura. Los segmentos óseos se reducen mediante técnicas de reducción indirecta. Se realizan pequeñas incisiones (llamados también portales) de 2 a 3 cm de largo, a nivel proximal y distal de la tibia a cada extremo del hueso fracturado, se crea un túnel epiperióstico que conecta las incisiones. La placa se inserta a través de una de las incisiones de inserción, se desliza a través del túnel a lo largo de la superficie perióstica del hueso, abarcando el sitio de la fractura. Los tornillos se aplican en los extremos proximal y distal a una posición neutra de 1 a 2 cm a cada lado del sitio de la fractura2,3,7. Existen ventajas y desventajas dado que el tiempo operatorio se reduce en comparación con la reconstrucción anatómica una vez que se adquiere familiaridad con el procedimiento a su vez conllevan un riesgo menor de infección bacteriana en comparación con los procedimientos de reconstrucción abierta, existe un traumatismo iatrogénico limitado de los tejidos blandos, la disminución del potencial de contaminación intraoperatoria del lugar de la fractura. Por otro lado, la técnica OPMI puede aumentar el riesgo de inducir una mala alineación iatrogénica de las extremidades o la colocación incorrecta de implantes, lo que podría afectar los resultados clínicos o requerir cirugía adicional2,9.
La planificación preoperatoria. Es fundamental para un resultado óptimo y reducir el estrés entre el equipo quirúrgico, los factores a considerar que incluyen, evaluación biológica, mecánica y clínica7. La planificación preoperatoria cuidadosa es para facilitar cualquier procedimiento quirúrgico como la OPMI. Las radiografías preferentemente deben ser a escala de tamaño real para la selección del implante, mientras que la aplicación de implantes muy rígidos puede generar estrés y retraso en la cicatrización. Por otro lado, el diámetro del tornillo no debe exceder el 40 % del diámetro de la diáfisis fracturada. Al realizar la técnica OPMI, la placa ósea se aplica en forma de puente en la mayoría de los casos. Se prefieren las placas largas por que abarcan la longitud del tamaño del hueso fracturado, dichas placas más largas proporcionan ventajas mecánicas como también permiten que las incisiones de inserción de la placa se realicen lejos del lugar de la fractura. Si se dispone de una tomografía computarizada de las extremidades afectadas, se puede utilizar una impresora 3D para fabricar modelos del hueso fracturado3,7.
El objetivo de este artículo, de caso clínico quirúrgico es describir la OPMI con sistema PRCL-M placa de reconstrucción y compresión en una fractura completa oblicua corta en tibia y peroné a nivel de la diáfisis proximal en un paciente canino y resaltar la posibilidad que brinda este método de tratamiento en combinación de la planificación pre quirúrgica virtual en el programa de vectores CorelDRAW versión X5 para el diseño digital, importante para corregir las posibles complicaciones que se presentaran durante la OPMI.
Descripción del caso clínico
Examen clínico físico
El paciente llego a consulta al Hospital de Pequeños Animales HOVET de práctica privada, después de sufrir un trauma vehicular por atropello de una motocicleta, un canino de raza American Bull, llamado BOB, de 6 meses de edad, sexo macho, con 15 kg de peso vivo. Proveniente de la ciudad Iberia a 229 km de Puerto Maldonado. Al examen del sistema músculo esquelético presenta dolor pronunciado y crepitación a la palpación en el miembro posterior derecho a nivel de la tibia y peroné, no apoya marcada claudicación. En el examen físico y las constantes fisiológicas, frecuencia respiratoria 32 rpm, frecuencia cardiaca 120 lpm, tiempo de retorno capilar 2 s, color de mucosas rosado, PAS 110 mmHg, PAD 70 mmHg, temperatura 38.9 °C. Constantes que estuvieron dentro los valores normales. El posible diagnóstico presuntivo, fractura completa a nivel de la diáfisis medial de la tibia y peroné.
Examen complementario
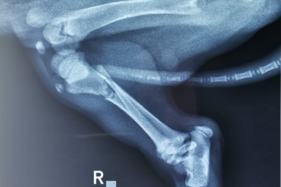
Antes de la intervención quirúrgica, se realizó los estudios complementarios, una radiografía convencional con vista lateral medial derecha de la extremidad fracturada (Figura 1). Previamente se realizó los exámenes pre quirúrgicos como, hemograma completo, perfil renal, perfil hepático para evaluar el riesgo, estando estos en los parámetros normales (Tabla 1 y 2).
El tiempo transcurrido desde que sufrió la fractura hasta la estabilización quirúrgica inicial oscilo 2 días. Recibió aplicaciones intermitentes de Ketoprofeno (0.25 mg/kg/iv) cada 24 h y Tramadol a (2 mg/kg/sc) cada 12 h para controlar el dolor antes de la osteosíntesis.
En la imagen radiográfica se observó una fractura cerrada completa oblicua corta o bisel cortó en tibia y peroné en la diáfisis proximal (Figura 1), fractura de baja energía descripción y codificación que corresponde según el sistema de clasificación AO VET morfológico y alfanumérico de la clasificación de fracturas (AO Cirugía Veterinaria de referencia) es de clasificación de tipo 41-A211.
Tabla 1 Parámetros hematológicos
| Parámetros | Resultados | Unidades | Valor de referencia |
|---|---|---|---|
| Hematíes | 5 880 000 | Eri/uL | 550 000 - 8 200 000 |
| Hematocrito | 36.8 | % | 39.2 - 58.8 |
| Hemoglobina | 12.26 | g/dL | 12.7 - 16.3 |
| Leucocitos | 9700 | Leu/uL | 6000 - 15000 |
| Neutrófilos | 64 | % | 55 - 75 |
| Eosinófilo | 7.8 | % | 1 - 10 |
| Linfocitos | 14 | % | 12 - 30 |
| Plaquetas | 159 000 | Plt/uL | 160 000 - 461 000 |
Pre-Planificación virtual
Para la OPMI se optó un implante que abarco la longitud del hueso, se requirió de una placa de bloqueo que se extendió desde la región de la metáfisis proximal hasta la región de la metáfisis distal7. Con la placa radiográfica de la vista lateral medial del miembro posterior derecho, se digitalizo y realizó la planificación pre operatoria de forma virtual. Esta imagen se llevó al programa de vectores CorelDRAW versión X5 para el diseño digital.
En la opción recortar imágenes nos permitió quitar y girar partes para formar la imagen, se alineo el eje central de la tibia tomando en cuenta desde la parte proximal hasta distal seguida del ángulo que forma 90° en la parte proximal se trazó una línea transversal desde la superficie del tubérculo hacia la área intercondilar caudal de la tibia y en su parte distal se trazó una línea transversal desde el borde de la cóclea de la tibia hacia maléolo lateral formando un ángulo de 90° (Figura 2) tomamos de referencia el centro de rotación de la angulación (CORA) para realizar estos trazos del eje central y ángulos.
El implante que se optó, fue del sistema PRCL-M de placa de bloqueo de 9 mm (BlueSAO). La plantilla digital nos ayudó a nivel virtual a definir el tamaño de longitud que abarcara en la tibia fracturada y el implante de bloqueo que se seleccionó para soportar la carga, se consideró el peso y nivel de actividad del paciente. Por otro lado, las placas de bloqueo actuaron como fijadores internos y, por lo tanto, no desplazaron los segmentos óseos de la fractura. Se aplicó 6 tornillos de bloqueo 3 en cada extremo de la fractura parte proximal y distal. La planificación virtual tomo mucha importancia en esta etapa, nos prevé las posibles complicaciones y ajustes a realizar previo al procedimiento de la intervención quirúrgica de OPMI (Figura 3).
Tratamiento quirúrgico
Pre medicación. En el pre quirúrgico se administró al paciente Ringer lactato (40 mL/kg iv) para una mejor homeostasis de líquidos y electrolitos, Ketoprofeno (2 mg/kg iv, c/24 h), Tramadol (2 mg/kg iv c/8 h) para manejo del dolor, Cefalexina (20 mg/kg im, c/12 h) para evitar infecciones secundarias12.
El plan anestésico utilizado consistió en el uso de Midazolam (benzodiacepina) (0.1 mg/kg iv) como tranquilizante y relajante muscular, como analgésico se utilizó Fentanilo (opioide) (0.04 mg/kg iv), Nalbufina (opioide sintético con propiedades agonistas y antagonistas) (2 mg/kg iv) y como inducción disociativa Ketamina (0.5 mg/kg iv) y mantenimiento Propofol (0.51 mg/kg/min iv). Infusión continúa diluido en glucosa al 5%. Anestesia total intravenosa (TIVA) acompañado anestesia epidural L7S1, se tomó en cuenta el inicio del efecto y duración para el manejo del dolor intraoperatorio: Lidocaína 2 %: 5 min/1-2 h, volumen de inyección perro (kg): 1 mL/10 kg: bloqueo perineo12.
Procedimiento quirúrgico. El procedimiento que se optó es la técnica OPMI, se utilizó para la reparación de la fractura de la tibia en donde existe muy poco riesgo de alterar las estructuras musculares y neurovasculares.
El animal se colocó decúbito lateral derecho, para una visión medial de la extremidad posterior derecha, la incisión cutánea se le practico siguiendo una trayectoria desde la zona tercio proximal de la tibia. Identificando la porción caudal del músculo sartorio y se hizo una incisión en la fascia a lo largo del borde craneal del músculo sartorio. Esta incisión se continuó distalmente para seccionar los tendones del músculo sartorio, gracilis y semitendinoso2,13.
La retracción de la porción caudal del músculo sartorio permitió identificar el tendón rotuliano, ligamento colateral medial y músculo poplíteo. Estas estructuras son como puntos de referencia importantes para la posterior colocación de la placa ósea, se separó el periostio del hueso con el elevador de periostio1,2.
Después de la incisión de la piel y los tejidos subcutáneos en el lado medial de la tibia, inmediatamente proximal al maléolo medial, con ayuda de retractores musculares Weitlaner y Gelpi (Figura 4 A, B) y con la tijera de Metzenbaum curva de tejidos blandos se creó un túnel epiperióstico en el lado medial de la tibia. El túnel conecto las incisión proximal y distal y paso profundamente por debajo de la arteria y la vena safena interna, acto seguido se procedió fijar la alienación con fijador esquelético externo, se usó de dos agujas de Kirschner de 2.0 mm conectados a una barra de unión mediante dos rotulas modulares temporalmente hasta colocar la placa ósea de bloqueo13.
La placa se insertó a través de la incisión llamada, portal desde la distal, se deslizo a través del túnel de tejido blando adyacente a la superficie del hueso y sobre el sitio de la fractura (Figura 4 C) hasta que el extremo de la placa sea visible en la segunda incisión proximal de la tibia1,2,4.
Antes de la perforación, la placa se fijó provisionalmente al hueso con pinzas de reducción. Esto permitió evaluar la posición de la placa a lo largo del centro del hueso. La inmovilización de la placa durante el proceso de perforación evito la traslación de los fragmentos, el implante que se opto fue de bloqueo PRCL-M del sistema de placa de bloqueo de 9 mm (BlueSAO) de 11 agujeros, tuvo ventaja en el punto de contacto, reconstrucción, compresión y bloqueo. Una vez que la placa entro en contacto con el hueso, con la guía de broca neutra se realizó el orificio para aplicar los dos tornillos corticales en cada extremo de la placa de bloqueo, se colocó los tornillos corticales en el orden que se planifico en los segmentos óseos, distal y proximal para atraer el hueso a la placa. Después de estabilizar la fractura con los 2 tornillos corticales, seguidamente se evaluó la alineación del segmento de la extremidad2.
Una vez fijado con los tornillos corticales, el segundo orificio proximal y distal de la placa de bloqueo se insertó la guía de broca atornillada de 1.8 mm y broca de 1.8 mm en el orificio de la placa. Después de medir el orificio con el medidor de profundidad. A continuación, se insertó secuencialmente 3 tornillos de bloqueo en el segmento proximal y 3 tornillos en el segmento distal de la tibia (2 tornillos de 3.2 x 12 mm y 1 tornillo de 3.2 x 10 mm) en cada extremo en los orificios proximal y distal de la placa, estos tornillos de bloqueo se insertaron para un acoplamiento apropiado del tornillo de bloqueo. El tornillo se apretó lo suficiente para mantener la posición de la placa. Se concluyoe la intervención con sutura absorbible ácido poliglicolico de 3-0, 28” (70 cm) TC 30, 30 mm 3/8, del musculo y fascia. y a nivel de piel con sutura no absorbible de 2-0, 30” (75 cm) TC 35, 35 mm 3/8, nylon monofilamento3,13.
Resultados
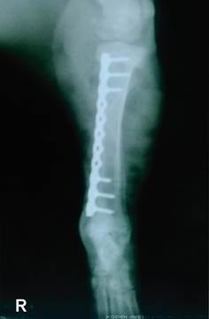
Se resolvió sin complicación intraoperatoria, en las radiografías posoperatorias inmediatas se observaron el implante en su posición (Figura 5 y 6), se recomendó realizar placas de rayos X de control a 20 y 40 días después de la cirugía hasta evidenciar radiográficamente la unión ósea, por otro lado, se indicó a los propietarios sobre caminatas reducidas y un espacio regular durante las primeras 2 semanas de intervención quirúrgica. El tratamiento antibiótico, antinflamatorio posoperatorio de administración Ketoprofeno (2 mg/kg iv, c/24 h), Tramadol por vía oral (2 mg/kg c/8 h) para manejo del dolor, Cefalexina (20 mg/kg im, c/12 h) para evitar infecciones secundarias por 3 días.
Las caminatas se aumentaron de 3 a 4 caminatas de 5 min después de retirar la sutura a los 15 días después de la cirugía. Se evitó estrictamente correr y saltar. Con respecto a los propietarios se les explicó la importancia del confinamiento en un área pequeña y la restricción del ejercicio para disminuir el riesgo de falla del implante. Las restricciones se mantuvieron hasta 5 semanas después de la cirugía. Las fracturas tienen una curación en 45 días, se pudo lograr un regreso lento a ejercicios normales durante las siguientes 6 a 8 semanas. Se observó la recuperación total y sin claudicación del miembro posterior derecho, también se observó la simetría en la caminata que se realizó en las evaluaciones físicas del paciente, la continuidad del seguimiento del caso clinico quirúrgico fue vía redes sociales, por la declaratoria de emergencia sanitaria del COVID-19, y con respecto a la toma de placas radiográficas posteriores de continuidad no se realizó debido a los propietarios manifestaron estar en un lugar donde no hay un centro radiológico cercano3,9.

Figura 5 alineaciones en el plano sagital en la proyección mediolateral, placa bloqueada de holes de 9 mm y tornillos de bloqueo de 3.2 mmx12 mm, 8 mm
Discusión
La técnica OPMI puede reducir el daño de tejidos blandos y al periostio en fracturas de diáfisis medial del humero, radio, fémur y tibia. Se ha reportado la curación temprana, fue más rápida en el grupo de OPMI que en el grupo, la reducción abierta, fijación interna (RAFI) en cuanto a la brecha de fractura. Por lo que concluyen la OPMI ofrece ventajas clínicas, mejor pronóstico que RAFI en perros con fracturas de diáfisis medial de radio. Por otro lado, el proceso de curación se verá afectado por la calidad de la reducción de la fractura más que por la selección de la placa14-16. Independientemente en otros casos la técnica utilizada OPMI en las fracturas diafisarias la cicatrización fueron en menos de 10 semanas2,3,10.
En combinación con lo anterior, inferimos que la extremidad intervenida de tibia y peroné del paciente que se realizó con la técnica OPMI se observó que, a las 8 semanas, utilizo el miembro posterior por completo, aunque con una ligera claudicación imperceptible a una observación.
En cuanto al tamaño de inserciones proximal y distal de la tibia se expone después de realizar una incisión en los tendones de inserción del músculo semitendinoso, gracilis y sartorio. Se crea una incisión en la piel de 2 cm aproximadamente a 1 cm proximal al maléolo medial para el abordaje distal, se tiene mucho cuidado para preservar la arteria y la vena safena interna5.
Las inserciones realizadas a nivel proximal y distal de la tibia en nuestro caso clinico fueron de 2.5 cm, ya que fue necesario el tamaño para una mejor visualización del periostio para la aplicación del implante y a una distancia de la articulación de 0.5 cm de los extremos.
La OPMI puede lograr una cicatrización ósea temprana con un equilibrio entre la preservación de los procesos biológicos y la estabilidad adecuada de la estructura de fijación14. La reducción de la fractura se puede lograr utilizando una variedad de técnicas y dispositivos, que incluyen colgar la extremidad, tracción manual, mesa de distracción, fijadores externos y un distractor de fracturas4,17. Esta técnica requiere tiempos de preparación más cortos, proporciona acceso completo al hueso y permite la manipulación completa de la extremidad, que facilita la aplicación de la placa y evita el uso de tracción excesiva porque la fuerza de reducción se aplica únicamente al hueso y no a través de la zona proximal y distal10.
El paciente tenía fractura completa en diáfisis proximal, oblicua corta en tibia que se pudo resolver y reducir de manera efectiva e indirecta por la técnica OPMI en conjunto con el fijador esquelético lineal para alinear y estabilizar la fractura del segmento fracturado de la extremidad por via percutánea.
La planificación pre operatoria debe ser cuidadosa para facilitar cualquier procedimiento quirúrgico. Los autores de otros estudios concluyen que en cada caso se debe utilizar un enfoque específico para cada individuo a pesar de sus beneficios con un enfoque OPMI, por otro lado, la técnica es más utilizada en perros que en gatos según las encuestas realizadas7,18.
Hasta donde sabemos, existe poca información concerniente a una planificación virtual para OPMI, nos proporciona información desde esta perspectiva digital las posibles complicaciones o factores a tener en cuenta durante el proceso intraoperatorio. Concordamos que la técnica es mas en perros que gatos el nuestro caso quirúrgico también fue en un perro macho menos de 1 año.
En tres casos clínicos resueltos en el segundo caso las radiografías preoperatorias en una vista craneocaudal y mediolateral de la fractura completa diáfisis distal de tibia y peroné derecho, en la estabilización quirúrgica primaria usaron dos placas una de compresión de bloqueo de 2.7 mm de 12 orificios y una placa String of Pearls de 2.7 mm de 10 orificios6.
El caso que resolvimos fue con la placa de bloqueo del sistema PRCL-M placa de bloqueo de 9 mm (BlueSAO) de 11 orificios con 6 tornillos de bloqueo, tiene ventaja en punto de contacto y de reconstrucción, compresión y bloqueo.
En simulaciones observaron que existen limitaciones inherentes, ya que no pudieron reproducir con precisión las limitaciones regionales de los tejidos blandos que normalmente interfieren con la reducción de la fractura, se menciona que ninguna técnica de reducción restauró por completo la longitud anatómica normal, aunque la discrepancia media en la longitud de la extremidad fue inferior a 5 mm17.
En nuestro caso se observó esta limitación a pesar de ser una técnica OPMI existe un espacio de 3 mm aproximadamente detalle que se muestra en la (Figura 5) mediciones de aproximación entre los segmentos de fractura que se pudo obtener con las placas radiográficas de tamaño real.
La importancia de reporte de caso de osteosíntesis practicada con la técnica de OPMI en combinación con una pre-planificación virtual reduce la complicación intraoperatoria, sin recurrir a una impresión en 3D, al margen de ello reduce el tiempo quirúrgico y preserva el suministro vascular perióstico alrededor del sitio de la fractura el cual acelera la cicatrización pronta.











uBio 







