Introducción
Mycobacterium tuberculosis continúa siendo el principal agente etiológico de la tuberculosis (TBC) humana, una enfermedad infecciosa de alta carga mundial que, a pesar de los avances terapéuticos y diagnósticos, persiste como una de las principales amenazas para la salud pública global. Si bien la forma pulmonar constituye la presentación más frecuente, la capacidad del bacilo para diseminarse por vía hematógena y comprometer prácticamente cualquier tejido del organismo subyace a la naturaleza multiforme de esta infección. En este contexto, la afectación del sistema nervioso central (SNC) representa una de las manifestaciones extrapulmonares más devastadoras y, a la vez, más infrecuentes de la TBC, asociándose con altas tasas de morbilidad y mortalidad, especialmente en contextos de diagnóstico tardío o inapropiado 1,2,3.
En países de ingresos bajos y medios, la carga de la tuberculosis continúa siendo desproporcionadamente alta. En Paraguay, según datos de la Dirección General de Vigilancia de la Salud, durante el año 2023 se notificaron 4054 casos de tuberculosis en todas sus formas clínicas, incluyendo nuevos diagnósticos y retratamientos, lo que equivale a una incidencia de 48,8 por cada 100,000 habitantes. En el mismo periodo, se registraron 326 defunciones atribuibles a TBC, reflejando una tasa de mortalidad de 4,3 por cada 100,000 habitantes 4). A nivel global, y de acuerdo con el informe mundial sobre tuberculosis 2024 de la Organización Mundial de la Salud (OMS), la TBC ha retomado su posición como la principal causa de muerte por enfermedades infecciosas, con un estimado de 10,8 millones de nuevos casos y 1,25 millones de muertes en el año 2023 5.
Entre las manifestaciones extrapulmonares de la tuberculosis, el tuberculoma cerebral constituye una entidad clínica infrecuente, caracterizada por la formación de granulomas focales intracraneales bien delimitados, cuyo diagnóstico suele ser un desafío debido a su presentación clínica inespecífica y la frecuente ausencia de signos sistémicos de infección activa. Aunque típicamente se asocia a pacientes inmunocomprometidos, como aquellos con infección por el virus de la inmunodeficiencia humana (VIH), neoplasias o bajo tratamiento inmunosupresor, su aparición en individuos aparentemente inmunocompetentes plantea importantes interrogantes clínicos y diagnósticos 6.
El presente reporte describe el caso de un paciente sin inmunosupresión conocida que desarrolló un tuberculoma cerebral como manifestación inicial de un síndrome mielodisplásico subyacente. A pesar de los estudios negativos para etiologías infecciosas convencionales, la persistencia de síntomas neurológicos progresivos y una alta sospecha clínica motivaron una evaluación más profunda, permitiendo establecer el diagnóstico etiológico. Este caso pone en relieve la importancia de mantener un enfoque diagnóstico amplio, considerando tanto infecciones inusuales como estados de inmunodeficiencia no aparentes. Asimismo, se revisa la literatura actual en torno al diagnóstico y manejo de la tuberculosis del SNC en pacientes inmunocomprometidos, destacando sus implicaciones clínicas y pronósticas.
Presentación del caso
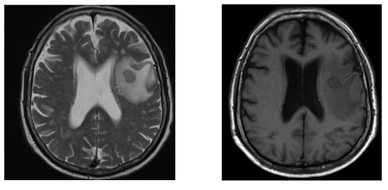
Se presenta el caso de un paciente de sexo masculino de 72 años con hipertensión arterial en tratamiento regular, sin otras patologías de base que acude por cuadro de 4 días de evolución de disartria y confusión leve de inicio brusco acompañado de desviación de la comisura labial más sialorrea. Refiere historia previa de meses de evolución de tos seca ocasional, leve pérdida de peso, más astenia y anorexia. Niega fiebre, cefalea, náuseas y vómitos. Al examen físico se constata parálisis facial derecha y mal estado de piezas dentarias sin otros datos de valor. Acude a centro asistencial donde solicitan tomografía axial computarizada (TAC) simple de cráneo donde se constata imagen hipodensa a nivel frontal izquierdo por lo que solicitan resonancia magnética nuclear (RMN) con contraste de encéfalo donde se observó lesión focal oval a nivel frontal izquierdo con signo de doble anillo y realce periférico en anillo en secuencia T2 (16x10x9,6 mm); volumen de 1ml, extenso edema perilesional. (Figura 1a; Figura 1b)

Figura 1a, b. Lesión focal oval bien delimitada a nivel frontal izquierdo con signo de doble anillo y con realce periférico en anillo en secuencia T2 y T1, con tamaño 16x10x9,6 mm volumen aproximado menor a 1ml, con extenso edema perilesional sin desviación de la línea media
Ante datos compatibles con absceso cerebral se solicitan serologías virales para VIH, VDRL, Toxoplasmosis IgG reactivo, IgM no reactivo y hepatitis B y C que retornaron no reactivas, se inició antibioticoterapia empírica con ceftriaxona más metronidazol y vancomicina a dosis meníngeas, previa toma de Hemocultivos que retornaron negativos.
Durante la internación se constató lesiones tipo herpes bucal por lo que se agrega aciclovir, se realizó radiografía de tórax de control posterior a colocación de via venosa central donde llamo la atención imagen radiopaca a nivel perihiliar izquierdo por lo que se solicitó TAC de tórax para mejor visualización donde se constató granuloma calcificado de 6 mm de espesor en lóbulo inferior izquierdo, así mismo durante la internación presento leve leucopenia persistente (3020 a 3900 cel/mm3) sumado a hipereosinofilia marcada (14%) por lo que se solicitó coproparasitológico simple donde no se observaron vermes ni protozoarios, con esporos mícoticos en abundante cantidad, y se solicitó barrido tomográfico con contraste en contexto de sospecha de síndrome paraneoplásico donde no se observaron hallazgos sospechosos de secundarismo, se realizó frotis de sangre periférica que informo 3600 glóbulos blancos/mm3, (46% neutrófilos, 18% linfocitos, 14% eosinófilos, 14% de monocitos y 4% de basófilos), anisocitosis, disgranulopoyesis, cromatina clamping más segregación irregular.
Por leucopenia persistente se solicita nuevamente ELISA de 4ta generación para VIH que retornó negativo, ANA que retorna negativo 1:80, y conteo de CD4 201 cel/mm3 (valor normal desde 540 cel/mm3), por lo que se solicita evaluación por hematología quienes realizan biopsia de medula ósea, ante este hallazgo se solicitó TB-LAM Ag en orina (positivo), antígeno galactomanano en orina para Histoplasma capsulatum (negativo) y antígeno capsular en plasma para criptococo neoformans (negativo).
A las 4 semanas de antibioticoterapia empírica se realiza resonancia magnética de encéfalo de control y se constata escasa mejoría de la lesión, además de la aparición de dos imágenes tipo lesiones hijas (Figura 2), por nula mejoría de la lesión se plantea biopsia de la lesión por estereotáxica y se envía muestra para anatomía patológica, genexpert, frotis y cultivo para gérmenes comunes, no comunes, BAAR y hongos.

Figura 2. Escasa mejoría de la lesión con tamaño de 16x7,5x8 mm además de la aparición de dos imágenes de características similares (lesiones hijas) que miden 6,7x4,8 y 3,5x5,5mm
Posterior a 8 semanas de antibioticoterapia empírica, Ginexpert positivo de la biopsia de lesión más TB-LAM positivo y sospecha de inmunosupresión, se inician antibacilares, y el paciente fue dado de alta.
Posteriormente retorna resultados de anatomía patológica con fragmentos de tejido glial con edema y focos de infiltrado inflamatorio crónico (linfocitos) de disposición perivascular en vasos sanguíneos pequeños y con paredes engrosadas, así como gliosis reactiva. No se observan granulomas, microorganismos en coloraciones de rutina ni proceso neoplásico maligno. Y resultado de mielograma que informa celularidad normal, serie eritroide en cantidad normal y diseritropoyesis con aspecto megaloblástico, serie granulocítica en cantidad normal y disgranulopoyesis con eosinofilia, serie megacariocítica presentes con displasia en más del 10%, concluyendo cambios compatibles con síndrome mielodisplásico.
Discusión
El compromiso del sistema nervioso central (SNC) por Mycobacterium tuberculosis es una entidad poco frecuente, representando aproximadamente el 5% de los casos de tuberculosis. Entre estos, solo el 10% desarrolla tuberculomas, Los pacientes con inmunosupresión son el principal grupo de riesgo. Se incluyen dentro de este grupo: VIH, alcoholismo, desnutrición, diabetes, enfermedad renal crónica, neoplasias, uso de quimioterapia, corticoides, inmunosupresores y bloqueo del factor de necrosis tumoral alfa 8,9,10,11.
Los tuberculomas se caracterizan por la presencia de lesiones granulomatosas con centro necrótico rodeado por células epiteliales gigantes y linfocitos. Estas lesiones se localizan principalmente en regiones supratentoriales del cerebro, siendo múltiples solo en un tercio de los casos. Su presentación clínica suele estar dominada por síntomas de masa ocupante de espacio, como cefalea, convulsiones y signos neurológicos focales, sin necesidad de afectación meníngea asociada 12.
En ausencia de manifestaciones sistémicas claras, el diagnóstico de tuberculomas del SNC puede ser un reto, ya que las manifestaciones clínicas dependen de su localización. En adultos, predominan en las regiones supratentoriales, particularmente en los lóbulos frontal y parietal, y pueden generar fiebre baja, cefalea, vómitos, convulsiones, pérdida neurológica focal y papiledema. La sospecha diagnóstica se basa en la presencia de una lesión expansiva cerebral en pacientes con factores epidemiológicos sugestivos, tales como antecedentes de tuberculosis previa, exposición a individuos infectados o residencia en regiones endémicas 13.
En cuanto al estudio por imágenes, la radiografía de tórax resulta negativa para signos de tuberculosis pulmonar en un 20% a 70% de los casos como ocurrió en nuestro paciente 14. De hecho, solo el 30% de los pacientes con tuberculoma cerebral presentan una radiografía de tórax positiva. Por ello, la ausencia de hallazgos sugestivos de tuberculosis en la radiografía torácica no excluye la posibilidad de compromiso cerebral por esta enfermedad 15. Las imágenes diagnósticas con TAC y RMN cerebral muestran lesiones con realce anular y edema circundante intenso. Si bien hasta un tercio de los pacientes con tuberculoma pueden presentar múltiples lesiones, el paciente de este caso presentaba una lesión cerebral solitaria 16.
En este contexto, es relevante considerar que Paraguay es un país con alta incidencia de tuberculosis, lo que refuerza la necesidad de incluir los tuberculomas dentro de los diagnósticos diferenciales en pacientes con lesiones expansivas intracraneales 17.
El mecanismo fisiopatológico del tuberculoma cerebral implica la diseminación hematógena del bacilo desde el foco primario pulmonar, especialmente hacia áreas altamente oxigenadas como el cerebro. La mayoría de estas lesiones se localizan en la región de unión cortico-subcortical debido a la reducción del calibre vascular en las arteriolas cerebrales al ingresar a la sustancia blanca. Esto explica la ubicación supratentorial predominante en adultos 18. En nuestro paciente, el hallazgo incidental de un granuloma calcificado pulmonar refuerza la hipótesis de una tuberculosis primaria previa con posterior diseminación hematógena.
El diagnóstico de tuberculoma cerebral es complejo y requiere una correlación entre la clínica, las pruebas de imagen y los antecedentes epidemiológicos. Los bacilos tuberculosos no siempre se pueden detectar en el líquido cefalorraquídeo (LCR) e incluso en la masa extirpada, lo que significa que los hallazgos de laboratorio de infección pueden estar ausentes. Por lo tanto, la posibilidad de infección no se puede descartar a partir de los resultados negativos del cultivo bacteriano 7,11.
En el presente caso, la evolución clínica y radiológica desfavorable pese a una antibioterapia empírica prolongada, junto con un TB-LAM positivo en orina e imagen de granuloma calcificado en pulmón, sugirió fuertemente la etiología tuberculosa, lo que justificó el inicio del esquema antibacilar a pesar de la ausencia de granulomas en el análisis anatomopatológico de la biopsia cerebral.
El régimen terapéutico habitual incluye isoniazida, debido a su buena penetración en el sistema nervioso central siguiendo la combinación (isoniazida, rifampicina, pirazinamida y etambutol) durante al menos 12 meses. No obstante, el inicio del tratamiento requiere un alto índice de sospecha clínica que justifique la administración de quimioterapia. Algunos autores, como Krivoy et al., apoyan su utilización ante la mera sospecha diagnóstica, sin necesidad de confirmación microbiológica, especialmente en regiones donde la tuberculosis es endémica como se presenta en el caso.
A pesar de la respuesta favorable en la mayoría de los casos, las secuelas neurológicas pueden ser devastadoras según el área cerebral afectada, lo que refuerza la necesidad de un abordaje multidisciplinario en el manejo de estos pacientes 18.














