Introducción
El quiste paradental inflamatorio (QPI) es una lesión odontogénica rara, con una prevalencia estimada entre el 1% y el 5%. Generalmente, está asociado a procesos inflamatorios alrededor de dientes parcialmente erupcionados o impactados, siendo más comúnmente observado en la región del tercer molar mandibular 1. Los QPI son más frecuentes en adultos jóvenes, especialmente entre los 20 y 30 años, aunque casos también han sido reportados en pacientes pediátricos 13. A pesar de ello, su ocurrencia es menos común en comparación con otros quistes odontogénicos, como los quistes dentígeros y radiculares 2.
El QPI está frecuentemente relacionado con la pericoronaritis crónica. Radiográficamente, estas lesiones suelen manifestarse como áreas radiolúcidas bien delimitadas, superpuestas a la superficie vestibular de la raíz, de forma redondeada, unilocular y bien definida, generalmente localizada en la región distal o distovestibular de los terceros molares, con un diámetro medio entre 10 y 15 mm 4,5,6. Sin embargo, la lámina dura alrededor de las raíces permanece intacta, sin signos de ensanchamiento del espacio del ligamento periodontal 3.
Los criterios diagnósticos sugeridos por Philipsen et al. Incluyen la asociación frecuente del QPI con la erupción del tercer molar mandibular, generalmente localizado en la región vestibular y/o distal de la raíz, y no en la corona 4. Además, para su diagnóstico, el diente involucrado debe estar parcial o totalmente erupcionado. Los dientes completamente incluidos o impactados con una lesión quística pericoronaria son descartados. Asimismo, si la prueba de vitalidad pulpar indica una pulpa no vital, se debe considerar el diagnóstico diferencial con un quiste radicular lateral, en lugar de un QPI.
El origen del revestimiento epitelial del QPI aún es incierto y sigue siendo motivo de discusión en la literatura. La asociación con molares mandibulares parece ser una característica clínica bien establecida. En relación con el tercer molar mandibular, la extracción del diente asociada a la enucleación del quiste es el tratamiento de elección. A pesar de que su patogénesis no está completamente dilucidada, se cree que los procesos inflamatorios, como la periodontitis o la pericoronaritis, desempeñan un papel importante en su desarrollo 4,5.
La verdadera incidencia del QPI puede estar subestimada, ya que sus características clínicas poco específicas pueden llevar a diagnósticos incorrectos. Hasta el momento, muchos clínicos aún no reconocen esta condición de forma adecuada 2,6.
Este trabajo tiene como objetivo reportar un caso de quiste paradental inflamatorio (QPI) asociado al tercer molar mandibular, enfatizando la importancia del diagnóstico diferencial y del manejo clínico adecuado de esta rara lesión.
Presentación del caso
Paciente de sexo femenino, de 18 años, acudió a la consulta odontológica con queja de dolor en la región inferior derecha, en el área posterior. En el examen clínico intraoral, se observó un tercer molar mandibular (48) parcialmente erupcionado, localizado en la región retromolar y asociado a la corona del diente. No se identificaron alteraciones extraorales significativas. La historia médica, quirúrgica y odontológica de la paciente no presentó hallazgos relevantes. Los tejidos blandos pericoronarios se encontraban inflamados, con sangrado al sondaje, la prueba de vitalidad pulpar fue positiva (Tabla 1).
Tabla 1. Línea de tiempo del caso clínico
| Data | Evento Clínico |
|---|---|
| Dia 1 | Paciente de 18 años acude a la consulta odontológica con queja de dolor en la región inferior derecha. |
| El examen clínico revela el tercer molar inferior derecho (48) parcialmente erupcionado, asociado a la corona dental y con tejidos pericoronarios inflamados. | |
| La radiografía muestra una imagen radiolúcida bien delimitada alrededor de la raíz distal del segundo molar inferior (47), con el diente 48 incluido en posición horizontal. Hipótesis diagnóstica: quiste dentígero. | |
| Dia 2 | Procedimiento quirúrgico realizado. |
| Se realiza biopsia excisional y el material es enviado para análisis histopatológico. | |
| 7 días | Recuperación postoperatoria inicial satisfactoria. |
| 15 días | El análisis histopatológico confirma el diagnóstico de quiste paradental inflamatorio (QPI). |
| 6 meses | La paciente permanece asintomática, sin signos de recidiva ni complicaciones postoperatorias. |
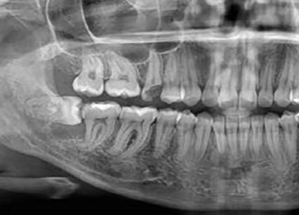
El examen radiológico reveló una imagen radiolúcida bien circunscrita alrededor de la raíz distal del segundo molar inferior (47), asociada al diente incluido en posición horizontal. Figura 1. Con base en los hallazgos clínicos y radiográficos, se estableció la hipótesis diagnóstica de quiste dentígero asociado al diente 48.
Se realizó la extracción del diente 48 bajo anestesia local, utilizando articaína con epinefrina al 4%. También se prescribieron antibióticos y analgésico, antiinflamatorio. Además, se llevó a cabo una biopsia excisional, y el material fue enviado al laboratorio de anatomía patológica e inmunohistoquímica de la Facultad de Odontología de la Universidad Federal de Pará para su análisis. Fue enviada una única muestra compuesta por múltiples fragmentos de tejido blando fijados en formol para su examen. Presentaba forma irregular, superficie irregular, consistencia elástica y coloración parda. El conjunto de los fragmentos medía aproximadamente 15 x 10 x 5 mm.

Figura 1: Radiografia panoramica evidenciando un área radiolúcida bien delimitada envolviendo a corona de diente (48), que se encontraba em posicion horizontal, em intima relacion com la raiz del diente (47).
El diagnóstico histopatológico fue de quiste paradental inflamatorio, descrito como un fragmento de cápsula quística compuesta por tejido conectivo denso con un infiltrado inflamatorio mixto intenso, compuesto principalmente por linfocitos, plasmocitos y neutrófilos. El revestimiento capsular consistía en epitelio escamoso estratificado con exocitosis. También se observó extravasación de hematíes y presencia de trabéculas óseas.
Correlacionando los hallazgos clínicos y radiológicos, la histopatología fue sugestiva de quiste paradental inflamatorio (QPI). Finalmente, la paciente vuelve a consulta y se observa cicatrización posoperatoria satisfactoria, y la paciente permaneció asintomática durante el seguimiento de 6 meses, al momento no se pudo hacer la radiografía de control por falta económica de la paciente y posteriormente se perdió comunicación con la paciente (Figura 2).

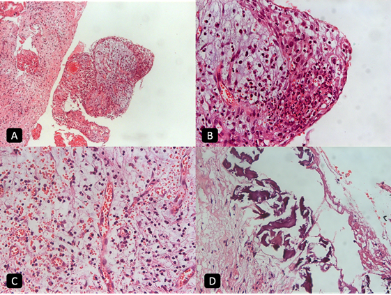
Figura 2. Imágenes microscópicas teñidas con hematoxilina y eosina (H&E), correspondientes a un quiste paradental inflamatorio: (A): Vista a bajo aumento (4×, escala: 500 μm), donde se observa la organización general del tejido. (B): Vista a mayor aumento (40×, escala: 50 μm); obsérvese el infiltrado inflamatorio invadiendo el epitelio (exocitosis). (C): Se observa un infiltrado inflamatorio compuesto predominantemente por linfocitos, plasmocitos y neutrófilos, además de extravasación de hematíes. Vista a 40× (escala: 50 μm). (D): Se evidencian trabéculas óseas circundando la cápsula. Vista a 40× (escala: 50 μm).
Discusión
El QPI también es denominado quiste colateral inflamatorio o quiste bucal mandibular infectado. Generalmente, está asociado a un diente vital, y su etiología es ampliamente debatida. Algunas posibles explicaciones para su origen incluyen el epitelio sulcular o la proliferación de los restos epiteliales de Malassez 7. Según Ackermann, la formación del quiste ocurriría como resultado de una expansión unilateral del folículo dentario, secundaria a la destrucción periodontal 7,8. También puede formarse debido a la destrucción periodontal y la expansión unilateral del folículo dental.
El revestimiento epitelial del QPI puede estar adherido a la unión amelo-cementaria, imitando un quiste dentígero, y también puede continuar con el epitelio oral. Además, los quistes paradentales a veces se denominan quistes de bolsa de erupción, donde la oclusión de la abertura de la bolsa por acumulación de detritos lleva a la inflamación 6.
Los QPI se desarrollan debido a inflamación alrededor de un diente parcialmente erupcionado o impactado, con mayor frecuencia el tercer molar mandibular, donde el propio diente permanece vital. La inflamación afecta principalmente los tejidos periodontales alrededor del diente, y no la pulpa 9,10. Se ha sugerido que el impacto de restos alimenticios puede contribuir al desarrollo del quiste paradental, especialmente en terceros molares inferiores impactados 12. En los casos de dientes en posición horizontal, la retención de restos alimenticios y la inflamación pericoronaria crónica pueden llevar al cierre de la bolsa gingival, favoreciendo la acumulación de fluido y la expansión quística. Esto podría reforzar la relación entre la angulación del tercer molar inferior y la génesis del quiste paradental inflamatorio.
Aunque los datos epidemiológicos indican que el quiste paradental asociado al tercer molar suele ocurrir en pacientes de mayor edad que aquellos con quistes en primeros o segundos molares inferiores 4, el presente caso describe a una paciente de sexo femenino, de 18 años, lo que demuestra que esta lesión también puede manifestarse en individuos más jóvenes.
Según la Organización Mundial de la Salud (OMS), el término quiste paradental designa un quiste que se forma cerca del margen cervical de la cara lateral de la raíz, como consecuencia de un proceso inflamatorio dentro del saco periodontal 2. En los hallazgos radiográficos, se planteó la hipótesis diagnóstica de quiste dentígero debido a la radiolucidez alrededor de la corona, pero el análisis histopatológico confirmó el diagnóstico de QPI. Lesiones más agresivas, como el ameloblastoma, pueden presentarse como una radiolucidez única asociada a un diente, pero pueden descartarse con base en sus características histopatológicas clásicas 4,10,14.
Los quistes periodontales laterales pueden imitar al QPI, pero se distinguen mediante análisis histopatológico 11. El análisis microscópico es útil para diferenciar el quiste paradental del quiste dentígero 13 Las características histológicas descritas en la literatura especializada coinciden con los hallazgos del presente caso 15. El tratamiento recomendado para el QPI normalmente incluye la enucleación quirúrgica del quiste, frecuentemente acompañada de la extracción del diente asociado, si es necesario 6.
Este caso demuestra la importancia del diagnóstico y tratamiento inmediato para evitar infecciones secundarias, pérdida ósea y daño a los dientes adyacentes o a estructuras vitales. Estos hallazgos coinciden con lo reportado por Ackermann et al., quienes observaron que el tratamiento precoz del quiste paradental reduce significativamente el riesgo de complicaciones posoperatorias graves 8. Asimismo, Rajendran et al. Destacan que la falta de un abordaje temprano puede llevar a una destrucción ósea extensa, especialmente en molares inferiores impactados 9. El quiste paradental inflamatorio es una entidad clínica que, a pesar de su baja prevalencia, debe ser considerada dentro del diagnóstico diferencial de lesiones radiolúcidas asociadas a terceros molares. La combinación de evaluación clínica, radiográfica e histopatológica es fundamental para evitar diagnósticos erróneos y asegurar un tratamiento adecuado. El presente caso resalta la importancia del abordaje precoz y multidisciplinario en el manejo de estas lesiones.














