SciELO - Scientific Electronic Library Online

 
vol.19 número47Discinesia maxilofacial: reporte de casoLaringitis crónica: hallazgo en disección cadavérica índice de autoresíndice de assuntospesquisa de artigos
Home Pagelista alfabética de periódicos  

Serviços Personalizados

Journal

Artigo

Indicadores

Links relacionados

  • Não possue artigos similaresSimilares em SciELO

Compartilhar


Revista de Investigacion e Informacion en Salud

versão impressa ISSN 2075-6194versão On-line ISSN 2075-7208

Rev. Inv. Inf. Sal. vol.19 no.47 Cochabamba  2024  Epub 30-Dez-2024

https://doi.org/10.52428/20756208.v19i47.1136 

REPORTE DE CASO

Caso inusual de incisivo lateral suplementario: una revisión detallada de los dientes supernumerarios

Unusual case of supplementary lateral incisor: a detailed review of supernumerary teeth

Judith Mollo Lopez1  * 
http://orcid.org/0000-0002-5972-1844

Manfred Strauss Quintela2 
http://orcid.org/0000-0003-3243-5925

Amparo Márquez Aliaga3  a
http://orcid.org/0009-0004-9468-5983

Sofía López Iturri3  b
http://orcid.org/0009-0001-0581-3268

Jaime Gabriel Parrado Bazán3  c
http://orcid.org/0009-0005-3344-5545

Luciana Patiño Saunero3  d
http://orcid.org/0009-0009-8920-976X

1Docente de ortodoncia. Universidad Privada del Valle. La Paz. Bolivia. jmollol@univalle.edu

2Director departamento académico de la carrera de odontología. Universidad Privada del Valle. La Paz. Bolivia. mstraussq@univalle.edu

3Interno de la carrera de odontología. Universidad Privada del Valle. La Paz. Bolivia.


Resumen:

Los dientes suplementarios son dientes supernumerarios eumórficos, que se asemejan a los dientes normales, son menos comunes que los dientes supernumerarios dismórficos y a menudo pasan por alto debido a su forma y tamaño normales; estos dientes pueden erupcionar normalmente, permanecer impactados, erupcionar invertidos o presentar una erupción anormal, aunque el fracaso en la erupción es el evento más frecuente; las complicaciones que ocasionan son: problemas estéticos, retraso en la erupción y apiñamiento; por lo cual requieren un diagnóstico y tratamiento tempranos. El tratamiento consiste en la extracción del diente suplementario para corregir las alteraciones que pueden haber ocasionado. El objetivo del presente trabajo es dar a conocer el caso de un niño, en cuya radiografía panorámica se realiza un hallazgo radiográfico de un diente suplementario, mismo que es extraído para dar solución al problema de malposición dentaria que había producido mediante un tratamiento interceptivo.

Palabras Clave: Diente supernumerarios; extracción; eumorfico; impactado

Abstract:

Supplementary teeth are eumorphic supernumerary teeth, which resemble normal teeth, are less common than dysmorphic supernumerary teeth, and are often overlooked due to their normal shape and size. These teeth may erupt normally, remain impacted, erupt inverted, or erupt abnormally, although failure to erupt is the most common event. The complications they cause are: aesthetic problems, delayed eruption and crowding; therefore, they require early diagnosis and treatment. The treatment consists of extracting the supplementary tooth to correct the alterations that may have caused. The objective of this work is to present the case of a child, in whose panoramic radiograph a radiographic finding of an additional tooth is made, which is extracted to solve the problem of dental malposition that had occurred through interceptive treatment.

Keywords: eumorphic; extraction; impacted; supernumerary tooth

Introducción

Los dientes supernumerarios son aquellos que exceden el número normal de dientes y se presentan en diversas ubicaciones y formas; pueden ser únicos o múltiples, en uno o ambos maxilares; su identificación es importante porque pueden obstruir la erupción y alineación de los dientes adyacentes 1. Cuando son múltiples suelen estar asociados a síndromes como el de Gardner, la disostosis cleidocraneal y el labio y paladar hendido; la verificación de antecedentes familiares de hiperdoncia podría indicar la presencia de un síndrome determinado genéticamente 2.

Primosch clasifica los dientes supernumerarios en dos tipos según su forma: eumorficos de forma y tamaño normales denominados suplementarios o incisiformes y dismórficos, dientes de forma anormal y tamaño más pequeño, denominados rudimentarios, donde se incluyen dientes cónicos, tuberculados y molariformes 3) (4) (5. En la dentición permanente el incisivo lateral maxilar suplementario es poco frecuente, en un rango del 2,8 %; siendo difícil distinguir la morfología entre un diente normal y su homólogo suplementario, sin embargo, son más pequeños 4.

Las teorías acerca del desarrollo de un supernumerario son: trauma, factores ambientales, teoría filogenética (regresión a los antropoides cuya fórmula dental tenía más dientes), atavismo (reversión a un tipo de dentición más primitivo) 6; dicotomía del germen dental (germen dentario se divide en dos partes iguales o de diferente tamaño) 7, hiperactividad de la lámina dental (proliferación excesiva de células, debido a fallas en la muerte celular programada, por defectos en la señalización entre el epitelio y el mesénquima) 4 y herencia autosómica recesiva ligada al cromosoma X 8.

La hiperdoncia tiene una base genética sugerida por su alta incidencia familiar, aunque no sigue un patrón mendeliano simple; estudios indican genes y vías de señalización como Wnt, FGF, BMP y Shh en la morfogénesis dental, pero los mecanismos moleculares aún no están claros 8) (9.

La prevalencia de los dientes supernumerarios (DS) oscila entre un 0,4 % al 3,8 % en la población mundial; en la dentición permanente, oscila entre el 0,15 al 5,3% 1) (2) (3) (8) (9) (10) (11) (12; mientras que en la dentición temporaria esta entre el rango de 0,1 al 1,9 % 2) (5) (12) (13. Se presentan con mayor proporción de manera unilateral 6. La ubicación más frecuente es el maxilar superior principalmente en la premaxila del 90 al 98 %, a menudo se encuentran impactados 88,7 % 7) (8) (9; son más frecuentes en hombres que en mujeres, con una proporción de 2:1 7) (8) (12.

Según Türkkahraman et al, la frecuencia de dientes supernumerarios en orden descendente de aparición están el mesiodens, cuartos molares superiores, paramolares superiores, premolares mandibulares, incisivos laterales superiores, cuartos molares mandibulares y premolares superiores 6. Los caninos e incisivos laterales supernumerarios son raros (2,8 %), siendo el incisivo lateral maxilar el diente suplementario más común en la dentición permanente 4.

El diagnóstico, requiere un examen clínico y radiográfico, aunque en muchos casos suele ser el resultado de un hallazgo casual durante estudios de radiográficos 9. Las situaciones clínicas que indican la presencia de dientes supernumerarios incluyen ausencia de dientes permanentes, maloclusión, diastema amplio, reabsorción radicular con pérdida de vitalidad y tumefacción vestibular o palatina/lingual 2) (8.

Los dientes supernumeraries pueden causar diastemas, reabsorción radicular, dilaceración, pérdida de la vitalidad de los dientes adyacentes, apiñamiento, quistes dentigeros 2) (7) (8; Seddon et al. informaron que los dientes supernumerarios, como el mesiodens, pueden causar erupción tardía en el 26 al 52 % de los casos y desplazamiento o rotación de dientes adyacentes en el 28 al 63 % de los casos 9.

El tratamiento de dientes supernumerarios depende de su posición y manifestación clínica; un diagnóstico temprano es crucial para decidir entre extracción, tratamiento ortodóncico o monitorización; casos complejos pueden necesitar un equipo multidisciplinario para manejo quirúrgico y ortodóncico 8. Yagüe-García et al enfatizan en la extracción temprana como tratamiento de elección para prevenir complicaciones 9. El objetivo del presente trabajo es describir el caso de un incisivo lateral suplementario, mismo que fue un hallazgo radiográfico en un paciente masculino de 8 años.

Presentación del caso

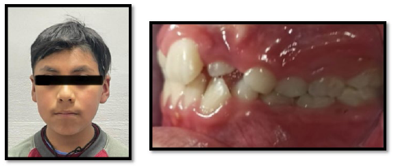
Paciente de 8 años de edad de sexo masculino, acude a la clínica odontológica acompañado de su mamá, solicitando tratamiento de ortodoncia. Al examen clínico extraoral se evidencia en una vista frontal simétrico sin alteraciones; en el examen clínico intraoral se evidencia un aumento de volumen entre las piezas 2,2 y 6,3, el mismo que mide aproximadamente 2 mm de ancho por 3 mm de largo, a la palpación de consistencia dura, mucosa adelgazada, color blanquecino y asintomático (Figura 1).

Figura 1: Fotografía extraoral e intraoral se observa la mucosa adelgazada y blanquecina por la presencia del incisivo suplementario. 

Como protocolo de diagnóstico se solicita radiografía panorámica, donde se observa a nivel intraóseo entre las piezas 2,2 y 6,3 una estructura dentaria de forma cónica, imagen compatible con un diente supernumerario de tipo conoide, el mismo está localizado por debajo del canino permanente lo cual a la larga iba a impedir su erupción (Figura 2).

Figura 2: Radiografía panorámica (Circulo, lugar de la pieza supernumeraria). 

Se decidió extraer la pieza supernumeraria ubicada por vestibular; el tratamiento incluyó anestesia local con lidocaína al 2 %, colgajo semilunar, exodoncia y sutura. El postoperatorio fue satisfactorio y sin complicaciones; una vez realizada la extracción se pudo evidenciar que el diente supernumerario presentaba una morfología similar al incisivo lateral por lo cual el diagnostico final fue incisivo lateral suplementario (Figura 3).

Figura 3: Fotografías del procedimiento quirúrgico y el incisivo lateral suplementario.  

Para el tratamiento ortodóncico se planifica realizar expansión mediante placa Shwars, realizado los controles cada dos semanas, después de 6 meses de tratamiento se puede observar la pieza 2.2, que estaba palatinizada por la presencia del diente suplementario, en correcta posición; la evolución posterior fue favorable.

Discusión

Los dientes suplementarios son dientes duplicados, que forman parte de la serie normal de la dentición; estos pueden presentarse en la región anterior del maxilar superior; en la dentición permanente suelen manifestarse como incisivos laterales adicionales 14. En el caso reportado, como la dimensión de la corona y la morfología, coinciden con las del incisivo lateral permanente, se considera un diente suplementario, aunque en una primera instancia debido a la imagen radiográfica que evidenciaba, el diagnóstico presuntivo inicial fue diente supernumerario de tipo cónico.

Dentro de la clasificación según el proceso de erupción, es relevante identificar si un diente supernumerario está retenido, impactado o erupcionado 3. La literatura indica, que la mayoría de los dientes suplementarios permanecen sin erupcionar y pueden causar numerosas complicaciones 4. El tratamiento debe basarse en exámenes clínicos y radiográficos, para su planificación quirúrgica se debe considerar la localización anatómica, morfología del diente supernumerario, angulación, relación con estructuras adyacentes, estado de erupción, edad del paciente, estado sistémico y presencia de quistes 4) (5. El caso presentado es un diente retenido, con una ubicación superficial por vestibular y radiográficamente no había compromiso con estructuras adyacentes, por lo cual se determinó realizar la extracción simple, procedimiento que no presento dificultad, con un postoperatorio satisfactorio y sin complicaciones.

En el contexto clínico, los dientes supernumerarios retenidos pueden interrumpir el proceso natural de erupción de los dientes permanentes adyacentes, lo que puede resultar en retrasos en la erupción o incluso desviaciones en la oclusión; debido a estas complicaciones se recomienda la extracción del diente suplementario 3) (15. La presencia del diente suplementario retenido, en este caso, era responsable de la palatoversión de la pieza 2,2, misma que fue resolviéndose, coadyuvada por el tratamiento ortodóntico realizado con un expansor.

La detección temprana de dientes supernumerarios durante el examen clínico intraoral es crucial para identificar anomalías dentales; se recomienda una radiografía panorámica, ya que permite una visualización completa y precisa de los maxilares, revelando dientes supernumerarios ocultos. La evaluación radiográfica minuciosa y la planificación cuidadosa de los procedimientos quirúrgicos son esenciales para garantizar resultados exitosos y prevenir complicaciones. Es imperativo conocer la ubicación, morfología y relación de los dientes supernumerarios con las estructuras adyacentes para evitar daños a los tejidos circundantes y lograr una extracción precisa.

Referencias bibliográficas

1. Levano Loayza S, Perea Peaz M, Múltiples Dientes supernumerarios en un paciente pediátrico no sindrómico: una condición rara, Rev Estomatol Herediana. 2020 abr-Jun;30(2):120-125. Disponible en: https://doi.org/10.20453/Links ]

2. Indira M, Dhull KS, R S, Kumar Ps P, Devi Bm G. Molariform mesiodens in primary dentition: a case report. J Clin Diagn Res. 2014 May;8(5): ZD33-5. doi: 10.7860/JCDR/2014/8837.4400 [ Links ]

3. Delvis Paez Delgado, Ledis Sabina Díaz Sánchez, Maria Isabel Jiménez Castellanos, Marvis Lisy Leyva Lara, Vivian Sarabia Báez. Dientes supernumerarios en el maxilar superior. MEDISAN [Internet]. 2013 jul [citado 2024 Feb 02]; 17(7): 2059-2064. Disponible en: http://scielo.sld.cu/scielo.php?script=sci_arttext& pid=S1029-30192013000700017& lng=es . [ Links ]

4. Sojan M, Thakur S. An Unusual Case of Mesial Supplementary Lateral Incisor: A Case Report. Int J Clin Pediatr Dent. 2023May-Jun;16(3):518-521. doi: 10.5005/jp-journals-10005-2585 [ Links ]

5. Cordero-Ortiz P, Guerrero-Ortiz F, Aspiazu-Hinostroza K. Dientes supernumerarios: reporte de un caso. Av Odontoestomatol [Internet]. 2022 dic [citado 2024 Feb 02]; 38(4): 151-155. Disponible en: http://scielo.isciii.es/scielo.php?script=sci_arttext& pid=S0213-12852022000400004& lng=esLinks ]

6. Chalakkal P, Krishna R, De Souza N, Da Costa GC. A rare occurrence of supplementary maxillary lateral incisors and a detailed review on supernumerary teeth. J Oral Maxillofac Pathol. 2018 Jan-Apr;22(1):149. doi: 10.4103/jomfp.JOMFP_213_15 [ Links ]

7. Inchingolo F, Tatullo M, Abenavoli FM, Marrelli M, Inchingolo AD, Gentile M, Inchingolo AM, Dipalma G. Non-syndromic multiple supernumerary teeth in a family unit with a normal karyotype: case report. Int J Med Sci. 2010 Nov 5;7(6):378-84. doi: 10.7150/ijms.7.378 [ Links ]

8. Dhull KS, Dhull RS, Panda S, Acharya S, Yadav S, Mohanty G. Bilateral mandibular paramolars. Int J Clin Pediatr Dent. 2014 Jan;7(1):40-2. doi: 10.5005/jp-journals-10005-1231 [ Links ]

9. Meighani G, Pakdaman A. Diagnosis and management of supernumerary (mesiodens): a review of the literature. J Dent (Tehran). 2010 Winter ;7(1) :41-9. Disponible en: https://pubmed.ncbi.nlm.nih.gov/21998774/Links ]

10. Amini F, Rakhshan V, Jamalzadeh S. Prevalence and Pattern of Accessory Teeth (Hyperdontia) in Permanent Dentition of Iranian Orthodontic Patients. Iran J Public Health. 2013 Nov;42(11):1259-65. Disponible en: https://pubmed.ncbi.nlm.nih.gov/26171338/Links ]

11. Yadav RK, Rao J, Yadav L, Hasija M. Non-syndromic multiple supernumerary teeth in permanent dentition: a rare phenomenon. BMJ Case Rep. 2013 May 22 ;2013: bcr2013009026. doi: 10.1136/bcr-2013-009026 [ Links ]

12. Singhvi V, Nambiar S, Shetty S. Orthodontic management of non-syndromic multiple supernumerary teeth.Contemp Clin Dent. 2013 Oct;4(4):540-2. doi: 10.4103/0976-237X.123068 [ Links ]

13. Yildirim G, Bayrak S. Early diagnosis of bilateral supplemental primary and permanent maxillary lateral incisors: a case report. Eur J Dent. 2011 Apr ;5(2):215-9. Disponible en : https://pubmed.ncbi.nlm.nih.gov/21494392/Links ]

14. Yildirim, Gozde, and SuleBayrak. "Early diagnosis of bilateral supplemental primary and permanent maxillary lateral incisors: a case report." European Journal of Dentistry 5.02 (2011): 215-219. Disponible en: https://pubmed.ncbi.nlm.nih.gov/21494392/Links ]

15. Tomizawa, M., et al. "Bilateral maxillary fused primary incisors accompanied by succedaneous supernumerary teeth: report of a case." International Journal of Paediatric Dentistry 12.3 (2002): 223-227. [ Links ]

Citar como: Mollo Lopez, J., Strauss Quintela, M., Márquez Aliaga, A., Lopez Iturri, S., Parrado Bazán, J. G., & Patiño Saunero, L. Caso inusual de incisivo lateral suplementario: una revisión detallada de los dientes supernumerarios. Revista De Investigación E Información En Salud, 19(47). https://doi.org/10.52428/20756208.v19i47.1136

Fuentes de financiamiento: La investigación fue realizada con recursos propios.

Recibido: 01 de Mayo de 2024; Revisado: 09 de Mayo de 2024; Aprobado: 10 de Noviembre de 2024

*Autor para correspondencia: Judith Mollo Lopez . Email: jmollol@univalle.edu

Conflictos de interés:

Los autores declaran no tener conflicto de interés y se responsabilizan de contenido vertido.

Creative Commons License Este es un artículo publicado en acceso abierto bajo una licencia Creative Commons