Introducción
La enfermedad de Creutzfeldt-Jakob (ECJ) es un trastorno neurodegenerativo raro y fatal que afecta al cerebro humano y al sistema nervioso; las células cerebrales se ven afectadas por el plegamiento anormal de una proteína típica llamada prión, lo que lleva a esta condición; es una enfermedad poco común, con alrededor de un caso por millón de personas cada año; sin embargo, es una enfermedad mortal con un curso rápido, y actualmente no hay pronóstico funcional ni cura 1.
En la ECJ, estos cambios patológicos se manifiestan como una progresión fulminante, grave y fatal de los síntomas neurológicos, incluido el deterioro cognitivo rápidamente progresivo, la demencia, los trastornos del comportamiento, el deterioro de las funciones corticales superiores y mioclonías; en las etapas terminales, el mutismo acinético prevalece; la Organización Mundial de la Salud (OMS) ha establecido criterios diagnósticos rigurosos para la enfermedad esporádica de Creutzfeldt-Jakob, categorizados en diferentes niveles de certeza diagnóstica 2.
Los subtipos incluyen ECJ esporádica, genética, iatrogénica y variante con 85 al 90 % de los casos esporádicos 2,6,7; se puede dividir además en subtipos que incluyen MM/(MV)1, MM2, VV1, VV2 y MV2 en función de las características de la proteína priónica relacionadas con la enfermedad y el genotipo de la proteína de prión en el huésped en el codón polimórfico de metionina (M) y valina (V) 3.
Se han desarrollado una variedad de herramientas de diagnóstico recientes que permiten un diagnóstico ante mortem más confiable de la enfermedad por priones, como la resonancia magnética del cerebro (RM), los biomarcadores incluyen la detección de la proteína 14-3-3 en el LCR , el ensayo de conversión inducida por temblor en tiempo real (RT-QuIC); la proteína 14-3-3 es un marcador indicativo de daño neuronal , mientras que el ensayo RT-QuIC es una técnica que amplifica las proteínas priónicas anormales, que han permitido un mejor manejo de los casos diagnosticados a pesar de la letalidad de la enfermedad, siendo pruebas importantes que se deben utilizar al evaluar a pacientes con sospecha de ECJ 4.
El presente reporte de caso tiene una importancia a nivel educativo y clínico, ya que al ser un caso inédito brinda información para el desarrollo académico a la par de un correcto diagnóstico y manejo; de manera que se priorice la atención segura del paciente, basándose en un tratamiento aleatorio.
Presentación del caso
Paciente de 35 años, sexo masculino, de ocupación médico, procedente y residente de Santa Cruz, Bolivia, antecedentes clínicos: hace dos meses con internación por parkinsonismo medicamentoso, síndrome de meniere y crisis de ansiedad; no refiere antecedentes quirúrgicos.
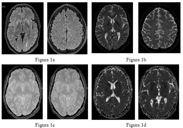
En julio del 2024 acude a clínica privada por cuadro clínico de dos meses de evolución caracterizado por síndrome vertiginoso, mioclonías, disartria, disminución de la agudeza visual, cuadro se exacerba con mioclonías generalizadas, mayor desorientación temporo espacial y cognitivo. Se realiza estudios complementarios de resonancia magnética nuclear de encéfalo con gadolinio mismo reporta hiperintensidad en T2 y flair de ganglios de base, en corteza frontal bilateral, además hiperintensidad parasagital probable proceso inmunomediado (Figura 1a-d).

Figura 1: Resonancia magnética nuclear de encéfalo con gadolinio. (FLAIR) A nivel subcortical temporo occipito parietal bilateral y periférico a los cuernos posteriores de los ventrículos laterales se observa muy tenue imagen isointensa (1a); imágenes ponderadas por difusión (DWI); hiperintensidad de ganglios de base bilateral (1b); Ax t2 FGRE: hiperintensidad lóbulo frontal (1c); ADC: imagen isointensa en T1 y T2 (1d). FLAIR: Fluid-Attenuated Inversion Recovery. DWI (Driving While Intoxicated).
Paciente es transferido a nuestra unidad de terapia intensiva de la Caja Nacional de Salud hospital Obrero Nro. 3 con diagnostico presuntivo encefalitis inmunomediada espongiforme, ingresa a nuestra unidad en mal estado general, por lo que se procede a la protección de la vía aérea con la intubación oro traqueal, inicio de analgo sedación, asistencia ventilatoria mecánica, hemodinamia inestable en uso de vasoactivos (noradrenalina 0,14mcg/kg/min), signos vitales: Presión Arterial: 133/78 mmHg, frecuencia cardiaca: 87/min, frecuencia respiratoria: 20/min, SatO2: 98 % .Temperatura 36°C. S.
Se realiza punción lumbar y se envía estudio de LCR al país de España para la detección de anticuerpos para priones. Durante su internación presento complicaciones de cuadros convulsivos a pesar de anticomiciales, se solicita electroencefalograma reporta lenificación difusa e hipovoltado de los ritmos y descargas epileptogenicas, se decide inducción a coma barbitúrico con tiopental, además de neumonía grave por Klebsiella Pneumoniae tratamiento sensible a carbapenémicos (meropenem) durante 14 días y por intubación prolongada se realiza traqueostomía.
Se realiza sesiones de vacaciones intermitentes de analgo sedacion para valoración del estado neurológico ultimo Glasgow 6/15 (Ocular:4 Verbal:1 Motora:1) pupilas isocóricas foto reactivas, nueva resonancia de encéfalo y tomografías de cráneo, mismo reporta sin cambios a estudios previos.
Se obtiene reporte de laboratorio de ByGENS-España posterior a tres semanas, el cual indica que se ha realizado el estudio de anticuerpos neuronales relacionados con Encefalitis Autoinmune con detección de proteína 14-3-3 en la muestra de LCR con un valor superior al límite de normalidad (límite:1450 UA/mL; valor detectado 53 100 UA/ml) positivo confirmando nuestro diagnostico inicia de patología autoinmune para Enfermedad de Creutzfeldt-Jakob (Enfermedad de Priones) (Tabla 1).
Durante su internación de 30 días con manejo multidisciplinario de neurología, reumatología, terapia intensiva, se plantean diagnósticos diferenciales de encefalitis inmunomediada espongiforme versus encefalitis autoinmune, se decide en junta médica instauración de tratamiento con pulsos de corticoides metilprednisolona además de inmunoglobulinas por cinco días, sin mejoría clínica, se inicia plasmaféresis por el mismo periodo , además de solicitar perfil inmunológico, marcadores tumorales, perfil tiroideo (mismos reportan negativos) (Tabla 1).
Tabla 1: Pruebas diagnósticas diferenciales solicitados durante su internación (Serologías e inmunología)

ENA: perfil de anticuerpos contra antígenos nucleares extraíbles. ANTI-SSA/RO (anticuerpos anti-síndrome de Sjögren A), ANTI SSB/LA, (Anticuerpos anti-síndrome de Sjögren B), ANTI-SM (Anticuerpos Smith) ANTI SM/RNP (Anti-ribo nucleoproteína) ANTI SCL-70 (Anticuerpos de la esclerodermia, anti-topoisomerasa) ANTI JO-1 (Anticuerpos anti-histidil de t-ARN sintetasa) ANCA C (Anticuerpos anticitoplasma de Neutrófilos) PR-3 (proteinasa 3)
El manejo en unidad cerrada critica fue durante 30 días con evolución estacionaria neurológica, con ventilación espontanea se logra desvincular de ventilación mecánica cumpliendo metas y criterios, hemodinamia estable sin falla renal por lo que el paciente es dado de alta a sala con manejo multidisciplinario para continuar tratamiento y recuperación. (Tabla 2)
Tabla 2: Evolución laboratorial del paciente
| Evolución laboratorial en terapia intensiva | ||||
|---|---|---|---|---|
| Prueba | Ingreso | 1ra Semana | 2da Semana | Alta de UTI |
| Leucocitos | 20,8mm3 | 12,400mm3 | 8,800mm3 | 10.0mm3 |
| Hemoglobina | 13,2gr/dl | 12.8gr/dl | 10.6gr/dl | 12.2gr/dl |
| Plaquetas | 259000mm3 | 390000mm3 | 310000mm3 | 43400mm3 |
| Urea | 26mg/dl | 36mg/dl | 18mg/dl | 27mg/dl |
| Creatinina | 0.75mg/dl | 0.40mg/dl | 0.52mg/dl | 0.5mg/dl |
| TP INR | 13,3/1,3 | 11.8/1.0 | 10.6/0.9 | 12.6/1.0 |
| Sodio/Potasio | 142/4,3mmEq | 135/3.5mmE | 128/3.4mmE | 136.5/3.9mmE |
| ALT/AST | 34/35U/L | 28/40U/L | 29/42U/L | 40/38U/L |
| Albumina | 2,8mg/dl | 2,5mg/dl | 2.7mg/dl | 2.9mg/dl |
| Procalcitonina | 0,5ng/ml | 0.22ng/ml | 0.14ng/ml | 0.10ng/ml |
TP:Tiempo de Protrombina, INR:Indice Internacional Normalizado, ALT:Alanina aminotransferasa , AST:Aspartato aminotransferasa.
Discusión
Los resultados del presente caso clínico por enfermedad de Creutzfeldt-Jakob muestran un paciente de sexo masculino con una edad menor a la de otros estudios realizados que fijan una edad promedio de 65 años y otros que la sitúan entre los 57 y 66 años 5; en cuanto al sexo, diversos estudios señalan que se presentan en porcentajes similares tanto para hombres como para mujeres; por otro lado, al igual que muchos otros casos presentados en diversos estudios el deterioro cognitivo es un síntoma inicial 4,5,6.
En el caso presentado la enfermedad avanzó de manera acelerada, resultado similar al de otros estudios como el de Villagra-Sancho D. et al, estableciendo que la enfermedad progresa rápidamente, y la mayoría de los pacientes fallecen dentro del primer año de aparición de los síntomas un tiempo de supervivencia medio de ocho meses 6; de manera similar a otros estudios las Resonancia Magnética con secuencias de tiempo de repetición largo FLAIR (Fluid-Attenuated Inversion Recovery) y DWI (Driving While Intoxicated) fueron patológicas, y el patrón de afectación cortical difusa y de los ganglios basales fue el más frecuente 5,6.
En nuestro reporte de caso se gestionó un gran trabajo multidisciplinario con tratamiento inicial de corticoides, anticomiciales, inmunoglobulinas por los diagnósticos diferenciales planteados, hasta el uso de plasmaféresis, el plan de intervención en nuestra unidad critica fue manejo ventilatorio, hemodinámico y neurológico cumpliendo metas según protocolos; se destaca el plan estratégico de resolución para las complicaciones y brindando cuidados paliativos para mejorar su calidad de vida. Recibió tratamiento empírico cinco dosis de 1000 mg de metilprednisolona por vía intravenosa diariamente, seguida de cinco rondas de intercambio de plasmaféresis además dosis de inmunoglobulinas 400mg/kg intravenoso no obteniendo ningún beneficio del tratamiento 6,8.
La prueba definitiva mostró positivo para la proteína 14.3.3.UA/ml en el líquido cefalorraquídeo; resultado que guarda relación con otros que establecen que el 65 % de los casos positivos presentaron proteína 14.3.3UA/ml en el líquido cefalorraquídeo 6. Es importante considerar que, si bien el diagnóstico definitivo se basa en los hallazgos clínicos e histopatológicos, el uso de estudios complementarios también permite su diagnós tico con cierto grado de confianza; así por ejemplo el uso de RM en pacien tes que presentan síntomas compatibles con la enfermedad aumenta la sensibilidad del diagnós tico hasta el 98 %; los hallazgos característicos en esta consisten en hiperintensidad de la corteza cerebral y/o núcleos de la base, especialmente caudado y putamen; en este sentido hay estudios que señalan que la RM con secuencias de DWI constituye una prueba especialmente sensible para el diagnóstico de la enfermedad, aunque su sensibilidad disminuye en estadios precoces, como lo indican García-Ortega YE et al 7. La alta especificidad y la alta sensibilidad de la RT-QuIC, junto con un diagnóstico clínico y patrón radiológico característico, se plantean como alternativa al diagnóstico de certeza anatomopatológico 7,10.
Diversos autores consideran de suma importancia brindar la información adecuada a los familiares dado que esta enfermedad es 100 % mortal; de igual manera hacen énfasis en el acompañamiento del personal sanitario, que brinda apoyo importante hacia el desenlace; por otro lado, no hay literatura reportada en Bolivia referida a la enfermedad de Creutzfeldt-Jakob, lo propio en el departamento de Santa Cruz. Si se considera que en este país habitan alrededor de 11 millones de habitantes, y que la literatura señala que se reportan un caso por cada millón de personas, el numero encontrado es bajo, lo que puede ser producto de la ausencia de equipos médicos y tecnología adecuada para la realización del diagnóstico, así como el insuficiente conocimiento de esta enfermedad 8.
En el presente caso se observa que el paciente tiene una edad menor que el promedio de otros casos reportados y que el porcentaje de esta enfermedad afecta ambos sexos; el deterioro cognitivo persistente siendo síntoma inicial común de esta enfermedad progresiva, con una supervivencia media de ocho meses. En el diagnóstico por imagen con RM muestran patrones típicos de hiperintensidad en ganglios basales principalmente, además presencia de la proteína 14.3.3 en el líquido cefalorraquídeo es un marcador principal para el diagnóstico. Por otra parte, es crucial brindar información de la patología y apoyo a los familiares debido a la alta mortalidad y secuelas posibles de la enfermedad, como en el caso presentado. En Bolivia no hay casos reportados y puede deberse a la falta de equipamiento médicos laboratorial y conocimiento sobre la enfermedad rara.
Es importante capacitar al personal médico para un diagnóstico temprano y uso de herramientas avanzadas; se debe invertir en tecnología avanzada para mejorar el diagnóstico y manejo; por otra parte, es necesario establecer un registro nacional de casos para establecer vigilancia y la investigación; finalmente se debe fomentar la colaboración de otras instituciones internacionales con mayor conocimiento y manejo de estos casos infrecuentes.














