INTRODUCCIÓN
Se define como quiste a una cavidad patológica de contenido líquido, semilíquido o gaseoso, el cual puede tener o no un revestimiento epitelial1),(3. Su crecimiento es lento y expansivo, no infiltrante, por aumento de presión en su interior y no por proliferación tisular; los quistes son formaciones benignas, aunque excepcionalmente pueden malignizar1),(3. La clasificación de la Organización Mundial de la Salud (OMS) del 2022 ya no divide los quistes en inflamatorios y del desarrollo, utiliza el término general de “quistes de los maxilares” sin ninguna subdivisión2),(4. Los quistes radiculares son de origen epitelial odontogénico y se producen por causa inflamatoria, como resultado de una necrosis pulpar2),(4),(7),(9),(10. Representan la mayoría de los quistes en la cavidad bucal y del macizo maxilofacial, aproximadamente el 60 % de todos los quistes odontogénicos1),(4),(9. La localización más frecuente de esta lesión es la región anterior maxilar, seguida de la región posterior mandibular; con un patrón de crecimiento lento, asintomático, siendo el género masculino el más afectado entre la tercera y la sexta década de vida4),(6),(10.
El tratamiento del quiste radicular inflamatorio se puede abordar desde varias perspectivas: desde el tratamiento endodóntico, como el manejo más conservador para lesiones pequeñas, cirugía apical (apicectomía), hasta la exodoncia con regeneración ósea, marsupialización o descompresión en combinación con enucleación para casos en donde los quistes son extensos5),(6. La marsupialización y la descompresión han sido utilizadas como métodos de tratamiento quirúrgico conservador en grandes quistes para minimizar el tamaño de estos con el objeto de reducir la presión intraquística, hay una disminución en el tamaño y el hueso alrededor de la lesión se regenera, por lo cual puede efectuarse la posterior enucleación de manera más simple y con menores riesgos para las estructuras vitales adyacentes1),(8),(11),(12.
La descompresión es una técnica que consiste en la liberación de la presión intramural del quiste y hace que disminuya su tamaño por el crecimiento gradual de tejido óseo desde la periferia, conservando un mayor tejido para el cierre final del defecto. Se ha encontrado que esta técnica cambia el entorno del quiste, disminuye la presión osmótica y la cantidad de interleucinas liberadas, manteniendo abierta la lesión, lo que garantiza un drenaje permanente del contenido quístico deteniendo su crecimiento13. Este principio físico aplicado, fue la razón de que el profesor polaco Partsch, la utilizó para introducir el concepto de quistectomía11),(13; ampliando el concepto de Partsch, Thomas describió la descompresión en 194713),(14; aunque la presión intraquística ha sido postulada durante mucho tiempo como una razón para la expansión del quiste, solo recientemente se han descubierto pistas sobre los posibles mecanismos para esto. Investigaciones recientes sugieren que la expresión IL-1 alfa podría estar parcialmente regulada por la presión intraquística; la IL-1 alfa tiene funciones que incluyen la inducción de la formación de osteoclastos y la estimulación de la producción de prostaglandinas y colagenasas. Por lo tanto, es muy probable que la reducción de la presión intraquística y la reducción de la concentración de mediadores inflamatorios por irrigación constante de la cavidad en el proceso de descompresión puede reducir la proliferación epitelial y revertir la reabsorción ósea, lo que conduce a la contracción de la lesión13.
PRESENTACIÓN DEL CASO
Paciente masculino de 24 años de edad, sin antecedentes patológicos de relevancia, acude a consulta privada indicando que le detectaron un quiste en maxilar superior sectante anterior, mediante control radiográfico en 2019. No presenta sintomatología al momento de la evaluación clínica, al examen intraoral se observa discromía en pieza 1,2 y obturación provisional por palatino (Figura 1).
A la Tomografía computarizada de haz cónico (CBCT) se observó una imagen hipodensa que se extendía desde la pieza 1.1, 1.2, 1.3 hasta la pieza 1.4 extendiéndose principalmente hacia el paladar, en el cual se observa perdida de continuidad, las dimensiones de la lesión fueron de 14,38 mm en sentido longitudinal y 15,32 mm en sentido transversal (Figura 2a, b).

Figura 2a Tomografia 03/07/2022; corte coronal. Lesión hipodensa de altura 14,38 mm asociada a la pieza 1.2 en la cual observamos un tratamiento endodóntico inconcluso.

Figura 2b Tomografia corte coronal 03/07/2022. Imagen hipodensa de ancho 15,32 mm con pérdida de continuidad en la pared palatina a nivel de las piezas 1,1, 1,2, 13, y 14.
Obteniendo como diagnóstico presuntivo un quiste radicular asociado a la pieza 1.2; se le solicitó al paciente una biometría hemática, con todos los valores dentro de parámetros normales; se realizó el procedimiento quirúrgico de descompresión, por medio de una incisión lineal, el levantamiento del colgajo mucoperiostico y posterior osteotomía a nivel del ápice de la pieza 1.2, hasta descubrir la membrana del quiste (figura 3a), se extiende la ventana con un diámetro de aproximadamente 5 mm compatible con el diámetro del dren que colocaríamos, se realizó una incisión a nivel de la membrana del quiste y se drenó líquido seropurulento, se realiza el lavado mediante el orificio, con suero fisiológico y yodopovidona (Figura 3b).

Figura 3a Se observa ventana de 5 mm de diámetro que se realizó mediante osteotomía a nivel del ápice de la pieza 1.2; observamos la membrana del quiste.

Figura 3b Se retiro la membrana del quiste a nivel de la ventana ósea y se realizó el drenaje del líquido seropurulento, lavamos a través del orificio con suero fisiológico y yodopovidona.
En forma posterior se obtuvo el dispositivo tubular de una sonda foley recortada de 5 mm de diámetro y 5 mm de alto, se la fijó con 4 puntos de sutura simples donati; uno superior, uno inferior, uno mesial y uno distal. Se le indicó al paciente realizar instilaciones diarias dentro de la cavidad quística posterior a la ingesta de alimentos con 10 ml los primeros 7 días con Clorhexidina al 0,12 % y posteriormente con suero fisiológico. Se le prescribió como medicación pre operatoria amoxicilina de 1 gr cada 12 horas y luego completo por 7 días, se indicó analgésica postoperatoria inmediata con ketorolaco sublingual 30 mg y posteriormente diclofenaco de 75 mg con paracetamol de 500 mg cada 12 horas por 3 días (Figura 4a). En los controles postoperatorios, a los 15 días y los posteriores realizados mensualmente encontramos al dren permeable (Figura 4b); en el primer control tomográfico en fecha 27 de junio de 2023, se observa el tamaño del quiste en un sentido longitudinal 13,28 mm y en sentido transversal de 9,12 mm.

Figura 4a Se obtuvo el dispositivo tubular de una sonda vesical foley de 5 mm de diámetro y 5 mm de alto y lo fijamos a la mucosa con 4 puntos de sutura.

Figura 4b Uno de los controles postoperatorios donde se realizó la regularización del tejido alrededor del dren, recambio de puntos de sutura y verificación de la permeabilidad del tubo.
Se realiza el segundo control tomográfico en fecha 11 de noviembre de 2023 donde el tamaño del quiste en sentido longitudinal es de 10,35 mm y en sentido transversal de 7,95 mm (Figura 5a y 5b), observando una reducción considerable del quiste se decide realizar la segunda intervención quirúrgica, donde se hizo la enucleación del quiste y extracción de la pieza 1.2, esta presentaba dos perforaciones laterales y fue valorada previamente por endodoncia, que indico la extracción de la pieza y realizaron las endodoncias de las piezas 1,1 y 1,3 por la cercanía a la lesión quística.

Figura 5a Tomografía 11/11/2023, se observa neoformación ósea alrededor de la lesión y una disminución en la altura a 10,35 mm.

Figura 5b Tomografía corte axial 11/11/2023, se observa neoformación ósea alrededor de la lesión y disminución del ancho de la misma a 7,95 mm.
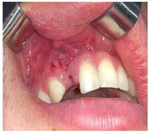
En el segundo tiempo quirúrgico se utilizó A - PRF (Advancet - platelet rich fibrin), se realizó una incisión Neumann modificada, levantamiento del colgajo mucoperiostico, se extrajo cuidadosamente la pieza 1.2, se realizó el curetaje de la cavidad quística retirando en su totalidad la membrana verificando que el hueso quede totalmente limpio (Figura 6a), posteriormente rellenamos la cavidad con el A-PRF y un injerto óseo compuesto por una membrana de colágeno hemostático bovino con hidroxiapatita porosa absorbible (Figura 6b). Se realizó la reposición del colgajo con 9 puntos de sutura simples discontinuos. Se le prescribió como medicación pre operatoria amoxicilina de 1 gr cada 12 horas por 7 días comenzando el día anterior a la intervención, se indicó medicación analgésica postoperatoria inmediata con ketorolaco sublingual 30 mg y posteriormente ketoprofeno 100 mg cada 12 horas por 3 días.

Figura 6b Cavidad rellena con A-PRF en conjunto con el injerto óseo de membrana de colágeno hemostático bovino e hidroxiapatita porosa reabsorbible.
Se le realizó el control postoperatorio a los 7 días, donde se observó cicatrización satisfactoria, se retiraron los puntos de sutura y se realizó una rehabilitación provisional; posteriormente está planificada la rehabilitación con implantes (Figura 7a y 7b).
DISCUSIÓN
En la tomografía de nuestro caso no observamos bordes bien definidos, por lo que podemos considerar que se estaba cursando un proceso de reagudización y en cuanto a la presencia de la sintomatología en la historia de la enfermedad, el paciente indicó que se le había inflamado la zona del paladar del lado derecho en dos ocasiones. La descompresión produce una reducción considerable de la luz quística y un cambio histológico del epitelio delgado y frágil a un epitelio grueso y sólido sin adhesión a las estructuras adyacentes. La inflamación puede estar estrechamente relacionada con la transformación del revestimiento del quiste epitelial clásico y esto facilita la enucleación posterior; esta es una de las razones por las que la descompresión seguida enucleación es el tratamiento más eficaz (15). El hueso tiene una capacidad única para repararse y regenerarse a lo largo de la vida tras la extirpación quirúrgica por diversos motivos, como quistes, tumores u otras patologías maxilofaciales; la regeneración ósea es una serie bien armonizada de eventos biológicos que involucran varios tipos de células y vías de señalización molecular intracelular y extracelular, con una secuencia temporal y espacial definible, en un esfuerzo por optimizar la reparación esquelética y restaurar la función esquelética (16).
No obstante, no está exenta de desventajas: requiere dos intervenciones; mantenimiento de una cánula durante varios meses con sus irrigaciones correspondientes con digluconato de clorhexidina al 0,12 %, o suero fisiológico y la necesidad de un paciente colaborador para asegurar una buena higiene bucodental y que acuda a las revisiones periódicas para verificar constantemente que la cánula siga permeable1),(2),(8),(17.
En nuestro caso, observamos una lesión de gran tamaño, muy cercana a la fosa nasal derecha y conducto nasopalatino, con gran destrucción ósea del paladar duro, donde el tratamiento radical hubiera dejado un defecto óseo bastante grande, por lo cual fue considerada la descompresión como mejor opción de la primera fase del tratamiento; observamos que la descompresión quística y los lavados quirúrgicos llevados a cabo durante 9 meses determinaron una marcada reducción del tamaño de la lesión, pudiendo evidenciar a lo largo de los seguimientos radiográficos la neoformación ósea. Se concluye que es un proceso que conlleva tiempo y compromiso tanto del paciente como del profesional, se debe mantener una higiene bucodental optima, realizar instilaciones diarias con sustancias antisépticas, controles periódicos donde se verifica la permeabilidad del dren y controles tomográficos para cuantificar la reducción del tamaño de la lesión. Se realizó finalmente la enucleación, junto con la extracción de la pieza motivo de consulta, ya que esta no era candidata para el tratamiento endodóntico, por un previo acceso endodóntico errado, el cual produjo dos perforaciones de la pared vestibular de la raíz y se realizó el tratamiento endodóntico de las piezas aledañas para evitar la contaminación pulpar de las mismas. Se planificó realizar la regeneración ósea guiada para colocar un implante posteriormente dejando una rehabilitación provisional.


















