INTRODUCCIÓN
El íleo biliar es una obstrucción mecánica del tracto gastrointestinal causada por la impactación de uno o más litos en la luz intestinal, provenientes de la vesícula biliar, a través de una fístula bilioentérica (más frecuente fístula colecistoduodenal)1),(2. Tiende a ser una complicación rara de la colelitiasis3; aparece descrito por primera vez en 1654 por el medico danés Thomas Bartholin4. Representa del 2 a 4 % de todas las causas de obstrucción intestinal5; la incidencia aproximada es de 0,3 a 0,5 % en pacientes con colelitiasis y se presenta en 30 a 35 pacientes por cada 1 000 000 casos a nivel mundial6.
La clínica es compatible con una obstrucción intestinal, y su presentación dependerá al sitio en el cual el cálculo se impactó; como ser náuseas, vómitos, distención abdominal y falta de canalización de gases7. El diagnóstico suele ser imagenológico, de preferencia por tomografía8. El tratamiento inicial es la hidratación y reposición electrolítica, para posteriormente realizar el tratamiento quirúrgico ya sea por laparoscopia o vía abierta7),(8
PRESENTACIÓN DEL CASO
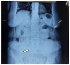
Paciente femenino de 68 años de edad, dentro sus antecedentes patológicos quirúrgicos, refiere apendicectomía convencional hace 40 años y clínicos una diabetes mellitus en tratamiento; cuadro clínico de 1 semana de evolución caracterizado por presentar, dolor abdominal tipo cólico generalizado, nauseas que llegan al vomito en varias oportunidades tipo bilioso, distensión abdominal; por lo que acude a una clínica particular donde es internado por 4 días y manejado con medicamentos que no refiere; en forma posterior solicita el alta hospitalaria, por lo que acude a nuestra institución. Al momento de su evaluación presentaba vómitos fecaloideos en varias oportunidades; signos vitales estables. Al examen físico segmentario; cardiopulmonar clínicamente estable; abdomen con leve distensión a expensas de gases, ruidos hidroaéreos positivos pero hipoactivos, dolor a la palpación profunda en epigastrio e hipogastrio, resto de examen sin particular. Se realizaron los exámenes complementarios correspondientes: Laboratorios. GB:18 160 109/L, segmentados 88 %, TP 12 segundos, INR 1,17, hemoglobina 13.2 gr/ dl, Plaquetas 463 000 109/L. Rayos X de abdomen (Figura 1), se puede observar imagen radiolucida en fosa iliaca derecha.

Figura 1 Rayos X de abdomen donde se evidencia imagen radiolucida (lito) en fosa iliaca derecha (flecha blanca indica el lito).
Una ecografía abdominal (Figura 2a), indica distensión de asas intestinales, compatible con una obstrucción intestinal; la tomografía de abdomen simple (Figura 2b), muestra un lito de más o menos 5 cm en intestino delgado, compatible con probable íleo biliar.

Figura 2b Tomografía de abdomen en la cual la flecha blanda indica presencia de lito, indicada por la flecha blanca.
Después de la evaluación completa, además de una valoración pre operatoria, se decide ingresar a quirófano, con los posibles diagnósticos de obstrucción intestinal alta, íleo biliar, síndrome de mirizzi grado V.
El procedimiento se realiza bajo anestesia general, paciente en posición decúbito dorsal, se decide realizar una incisión en línea media supra e infraumbilical, se procede a explorar cavidad, se localiza sitio de obstrucción a 50 cm de ángulo de Treizt; los hallazgos demuestran un cálculo de más o menos 4 x 5 cm impactado en yeyuno, a 50 cm de ángulo de Treizt, asas intestinales dilatadas a proximal; se realiza una laparotomía exploradora, enterotomía, extracción de cálculo, enterorrafia, lavado y drenaje de cavidad. Diagnostico post operatorio de obstrucción intestinal alta, Ileo biliar, Síndrome de Mirizzi grado Vb (Figura 3a, b, c d).
Durante su posoperatorio la paciente cursa una evolución favorable, se inicia dieta al tercer día con buena tolerancia oral, es dado de alta al quinto día posoperatorio; posteriormente se retira puntos de herida operatoria a las 2 semanas y continua bajo controles periódicos por consulta externa asintomático.
DISCUSIÓN
El íleo biliar representa el 0,5 % de las complicaciones de la colelitiasis, es rara y potencialmente grave; se presenta con mayor frecuencia en mujeres de edad avanzada9. Por otro lado, abarca entre el 1 y 4 % del total de las obstrucciones intestinales en el adulto mayor de 65 años, lo que implica un alto riesgo de complicaciones, con una mortalidad del 12 al 27 %10. Para que ocurra un íleo biliar, debe existir una fístula bilioentérica, en su mayoría colecistoduodenal (68 al 95 %), misma que aparece por episodios recurrentes de colecistitis aguda, generando inflamación y adhesiones entre la vesícula biliar y el tracto digestive2),(8. Según Mancilla Ulloa F. et al él lito debe tener un diámetro ≥ 2-2,5 cm para causar obstrucción6; en nuestro caso el hallazgo fue de un lito de 4 x 5 cm, suficiente para producir un cuadro de obstrucción intestinal.
Para el diagnóstico se solicitan estudios de imagen, como una radiografía de abdomen y en los hallazgos se busca la famosa tríada de Rigler, que consiste en la presencia de cálculos radiopacos (presentándose en menos del 10 % de los casos), neumobilia (signo de Gotta-Mentschler), y distensión de las asas intestinales; la presencia de 2 de los 3 signos establece el diagnóstico11; en nuestro caso se puede evidenciar claramente 2 criterios que son, presencia de lito y datos de distención intestinal. El estudio de preferencia es la tomografía de abdomen, la cual puede confirmar el diagnóstico, permitir localizar el sitio de obstrucción, determinar presencia de neumobilia, y planificar el tratamiento12; en el caso de nuestro paciente este examen claramente reflejo el diagnostico en mención.
El tratamiento inicial es la hidratación y reposición electrolítica, para posteriormente realizar el tratamiento quirúrgico ya sea por laparoscopia o vía abierta; el abordaje quirúrgico laparoscópico ofrece más ventajas en comparación con la cirugía abierta y la recuperación requiere menor tiempo; sin embargo, representa un reto técnico y más cuando las asas intestinales se encuentran edematosas y dilatadas13. En nuestro caso, preferimos el abordaje abierto por el antecedente quirúrgico previo de apendicectomia convencional y edad de la paciente.
Existe una controversia en cuanto al manejo de la fístula bilioentérica; en un primer tiempo o dos tiempos14. Por un lado, se prefiere sólo la enterotomía, extracción del lito y cierre primario, y por otro, además de lo anterior, se realiza desmantelamiento de la fístula y colecistectomía13),(15. En nuestro caso, decidimos realizar únicamente enterotomía, extracción del lito y cierre primario debido a las condiciones de la paciente.
En conclusión, el íleo biliar es una patología muy rara, siendo una complicación de la colelitiasis, su presentación es de predominio en mujeres y su resolución netamente quirúrgica, la cual puede ser por vía convencional o laparoscópica, misma que se aplicó en nuestra paciente, felizmente con buena evolución.



















