SciELO - Scientific Electronic Library Online

 
vol.26 issue1PATENT DUCTUS ARTERIOSUS: MOLECULAR MECHANISMS OF CLOSURE AND THEIR RELATIONSHIP WITH THE TREATMENTPOLYGLANDULAR AUTOIMMUNE SYNDROME TYPE III-C ASSOCIATED WITH VITILIGO; CASE REPORT IN HONDURAS author indexsubject indexarticles search
Home Pagealphabetic serial listing  

Services on Demand

Journal

Article

Indicators

Related links

  • Have no similar articlesSimilars in SciELO

Share


Revista Científica Ciencia Médica

Print version ISSN 1817-7433On-line version ISSN 2220-2234

Rev Cient Cienc Méd vol.26 no.1 Cochabamba  2023  Epub June 31, 2023

 

CASOS CLÍNICOS

IDENTIFICACIÓN DE MANIFESTACIONES TEMPRANAS DE ENFERMEDAD DE ADDISON EN CONSULTA ODONTOLÓGICA. REPORTE DE CASO

IDENTIFICATION OF EARLY MANIFESTATIONS OF ADDISON'S DISEASE IN DENTAL PRACTICE. CASE REPORT

Richard Fernando Dávila Torres1 

Johana Elizabeth Pacheco Ludeña2 

1Odontólogo en Hospital del día "Nova Clínica El Recreo" Servicio de Odontología

2Médico General en Centro Médico de la U. E. FF. AA. Colegio Militar N°1 Eloy Alfaro


RESUMEN

La enfermedad de Addison es un trastorno raro que afecta progresivamente a las glándulas suprarrenales. La etiología es variada siendo su principal causa autoinmune, el diagnóstico se obtiene mediante valores de laboratorio y exploración clínica. Se expone el caso de paciente femenino que en consulta presentó un evento sincopal, en la revisión clínica se observó pigmentación de mucosas orales y uñas de manos y pies; los valores de laboratorio mostraron: ACTH elevada, cortisol disminuido y alteraciones de electrolitos, confirmándose Enfermedad de Addison. Un diagnóstico oportuno evita complicaciones mortales en quien la padece.

Palabras clave: Enfermedad de Addison; Pigmentación; Encía; Síncope; Hormona Liberadora de Corticotropina

ABSTRACT

Addison's disease is a rare disorder that progressively affects the adrenal glands. The etiology is varied, being its main autoimmune cause, the diagnosis is obtained through laboratory values and clinical examination. The case of a female patient who presented a syncopal event in the consultation is exposed. In the clinical review, pigmentation of the oral mucosa and fingernails and toenails was observed; Laboratory values showed: elevated ACTH, decreased cortisol and electrolyte disturbances, confirming Addison's disease. A timely diagnosis prevents fatal complications in those who suffer from it.

Keywords: Addison Disease; Pigmentation; Gingiva; Syncope; Corticotropin-Releasing Hormone

INTRODUCCIÓN

La cavidad oral es espejo de múltiples patologías sistémicas. Todas las estructuras bucales pueden presentar alteraciones morfológicas, cambios de color o neoformaciones que son el resultado de procesos fisiopatológicos tanto locales como sistémicos. Las pigmentaciones en la mucosa oral tienen una etiología fisiológica y resulta de un aumento en la producción de pigmento de melanina por parte de los melanocitos. Las personas de piel más oscura se ven más comúnmente afectadas. La pigmentación fisiológica aumenta con la edad y la intensidad del color puede verse influenciada por el tabaquismo, las hormonas y los medicamentos sistémicos, el cambio de coloración está a cargo de los melanocitos presentes en la capa basal de la mucosa oral1.

Cuando existe una pigmentación localizada o generalizada, probablemente, sea una respuesta del cuerpo frente a enfermedades sistémicas; ante tal sospecha se debe indagar antecedentes patológicos personales y heredofamiliares, toxicomanías, cirugías previas, uso de fármacos y antecedentes sociodemográficos. La revisión por órganos y sistemas es fundamental para llegar a un diagnóstico preciso, sin embargo, los exámenes de imagen y laboratorio son determinantes en enfermedades sistémicas2. Dentro de las enfermedades con manifestaciones pigmentarias en la mucosa oral se encuentra la enfermedad de Addison o también conocida como Insuficiencia Suprarenal Primaria. En el siglo XIX, Thomas Addison describió un grupo de personas con anemia las cuales presentaban alteraciones en las glándulas adrenales, lo que actualmente se conoce como Insuficiencia Adrenal Primaria3.

Esta rara enfermedad tiene una incidencia muy baja en todo el mundo, en Europa se reportaron hasta 70 casos por millón de habitantes en el año 19604. La etiología es variada, sin embargo las más frecuentes son: adrenalitis autoinmune, adrenalitis tuberculosa, otras infecciones (meningococo, histoplasmosis, micosis y VIH- SIDA), hemorragias, neoplasias (primarias o secundarias), enfermedades por depósito, yatrógenas, congénitas y otras5.

El diagnóstico se basa en las características clínicas y valores de laboratorio; pacientes con enfermedad crónica o aguda presentan fatiga general, debilidad muscular, deshidratación de etiología desconocida, hipotensión, fiebre, pérdida de peso, dolor abdominal, entre otros. En cuanto a los valores de laboratorios se reflejan hiponatremia, hiperpotasemia e hipoglucemia6.

El hallazgo físico más importante es la pérdida de peso, siendo el signo común a todos los pacientes, seguido en un muy alto porcentaje por la hiperpigmentación y la hipotensión arterial. La hiperpigmentación es más acentuada en áreas expuestas al sol y a la presión (pliegues palmares, codos, rodillas, dedos del pie, axilas, areolas, mucosa de cavidad oral y genitales externos)1.

El presente caso clínico tiene como finalidad, describir las manifestaciones tempranas de la enfermedad de Addison en cavidad oral, como son las pigmentaciones de color violáceo en la mucosa oral, observadas durante la inspección clínica rutinaria en consulta.

PRESENTACIÓN DEL CASO

Paciente de sexo femenino de 27 años de edad inicia padecimiento actual tras acudir a consulta odontológica de rutina; durante su estancia en la sala de espera, presenta un evento de síncope con pérdida de consciencia de aproximadamente 1 minuto. Posterior a la recuperación se evalúa signos vitales los cuales muestran una tensión arterial de 80/50 mmHg, medida con tensiómetro manual; saturación de oxígeno 93%; frecuencia cardíaca de 115 lpm; Glasgow 15/15 y pupilas normo reactivas, talla 160 cm y peso 43 Kg. Al interrogatorio indica, que desde hace aproximadamente 1 mes presenta cansancio y sensación de debilidad muscular de extremidades; la madre refiere que la paciente ha presentado episodios de irritabilidad, hiporexia y pérdida de peso.

Antecedentes patológicos personales: epilepsia diagnosticada a los 4 años de edad, en tratamiento actual con ácido valproico, levetiracetam y lamotrigina.

Antecedentes heredofamiliares: Abuela paterna con diabetes mellitus tipo II, madre con hipotiroidismo.

Antecedentes personales no patológicos: paciente nacida y residente en Quito, Ecuador, sector urbano, con acceso a todos los servicios básicos, soltera, sin hijos, biomasa, herbolaria, toxicomanías, traumatismos y quirúrgicos interrogados y negados, zoonosis positiva a razón de 1 perro intradomiciliario, esquema de vacunación completo acorde a la edad, vacunas contra COVID-19 2 dosis.

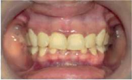
Examen físico: se realiza exploración de macizo facial y cuello donde se observa fascie terrosa con ligera pigmentación violácea perilabial; intraoralmente llama la atención pigmentación en ribete gingival inferior de color violáceo (Figura 1). Destaca además en palmas de manos, plantas de pies y uñas coloración azul oscuro e hiperpigmentación periungueal (Figura 2). Por las características clínicas, sitios anatómicos de pigmentación y signos y síntomas de la paciente, se presume enfermedad endocrino-metabólica, muy subjetiva a enfermedad de Addison, por lo que se remite a valoración por especialidad de Endocrinología.

Figura 1: Hiperpigmentación en mucosa oral 

Figura 2: Hiperpigmentación Ungueal 

Haciendo seguimiento del paciente, se obtienen resultados de paraclínicos que reflejan electrolitos alterados, hormona adrenocorticotropina (ACTH) con valor muy elevado, cortisol AM disminuido además de un reporte de alteración de función renal y anemia (tabla 1).

Tabla 1. COMPLEMENTARY EXAMS 

Actualmente paciente bajo seguimiento por Endocrinología donde se confirmó diagnóstico de Enfermedad de Addison.

DISCUSIÓN

Se presenta caso clínico de mujer en la tercera década de la vida, con lesiones hiperpigmentadas en mucosa oral, manos y pies; como hallazgos clínicos de relevancia en el diagnóstico de enfermedad de Addison, que se presenta a la consulta odontológica de rutina.

Las manifestaciones de enfermedades sistémicas en la cavidad oral son variadas, una revisión clínica meticulosa puede revelar cambios en las estructuras bucales que guían a un diagnóstico oportuno. La hiperpigmentación es una característica de una multitud de condiciones clínicas, que van desde variaciones normales del color de la piel hasta síndromes adquiridos y hereditarios7.

Dentro de las enfermedades con capacidad de pigmentación se encuentra la enfermedad de Addison, Munir en el año 20238, describió a esta patología con capacidad de comprometer la vida de las personas que la padecen, en concordancia con el caso clínico aquí presentado, donde se observó alteraciones neurológicas y de signos vitales.

La insuficiencia suprarrenal primaria tiene una prevalencia de 0.6 por 100.000 habitantes, las edades de presentación mas frecuentes están comprendidas entre los 30 a 50 años con mayor afectación en el sexo femenino8.

La enfermedad de Addison se caracteriza por un conjunto de signos y síntomas característicos entre los que se incluye la hiperpigmentación tanto intraoral como extraoral pero su diagnóstico definitivo se basa en resultados bioquímicos de laboratorio: cortisol AM bajo y ACTH elevada; como lo decribe Chanson et. al. 20179 y que concuerda con los valores reportados en este caso clínico.

El hallazgo pigmentario de color violáceo de las uñas guía a un diagnóstico de enfermedad de Addison, como lo decribe Benner et, al. 201910, que se corresponde con los hallazgos presentados. La pigmentación hallada en la paciente tanto en la cavidad bucal y las uñas contrasta con el paralelismo pigmentario entre estas estructuras descrito en el 2020, por Dika E. et, al11. La insuficiencia adrenal es una enfermedad que si no se controla es fatal: la evaluación del estado de ánimo, fatiga, debilidad muscular, náusea, dolor abdominal, hipotensión, síncope, son indicativos de un posible daño metabólico agudo12.

Las manifestaciones clínicas y valores de laboratorio son base fundamental para llegar a un diagnóstico, sin embargo, es necesario reconocer y diferenciar las distintas enfermedades que potencialmente cambian la coloración normal las mucosas orales.

El presente caso clínico describe una patología sistémica endocrinológica la cual tiene repercusión en cavidad oral, hasta la fecha no existen reportes de un diagnóstico oportuno de este tipo de patologías en la consulta odontológica.

CONCLUSIÓN

Una correcta revisión clínica por parte del profesional puede orientar en el diagnóstico oportuno de enfermedades que comprometen la vida de las personas. Las enfermedades metabólicas pueden manifestarse en la cavidad bucal en estadios iniciales. El estomatólogo debe estar en la capacidad de realizar un diagnóstico diferencial entre patologías orgánicas y propias de la cavidad oral.

REFERENCIAS

1. Gondak RO, da Silva-Jorge R, Jorge J, Lopes MA, Vargas PA. Oral pigmented lesions: Clinicopathologic features and review of the literature. Med Oral Patol Oral Cir Bucal [Internet]. 2012 [citado el 21 de agosto de 2023];17(6):e919-24. Disponible en: https://pubmed.ncbi.nlm.nih.gov/22549672/Links ]

2. Lambertini M, Patrizi A, Ravaioli GM, Dika E. Oral pigmentation in physiologic conditions, postinflammatory affections and systemic diseases. G Ital Dermatol Venereol [Internet]. 2018 [citado el 21 de agosto de 2023];153(5). Disponible en: https://pubmed.ncbi.nlm.nih.gov/28421728/Links ]

3. Michels A, Michels N. Addison disease: Early detection and treatment principles. afp [Internet]. 2014 [citado el 21 de agosto de 2023];89(7):563-8. Disponible en: https://www.aafp.org/afp/2014/0401/p563.htmlLinks ]

4. Stuart Mason A, Meade TW, Lee JAH, Morris JN. Epidemiological and clinical picture of Addison’s disease. Lancet [Internet]. 1968 [citado el 21 de agosto de 2023];292(7571):744-7. Disponible en: https://pubmed.ncbi.nlm.nih.gov/4175547/Links ]

5. Reyes-Justiniano A, Beltrán-Luna EC, Caballero-Chacón MA. Enfermedad de Addison e insuficiencia adrenal aguda: Presentación de un caso y revisión de la literatura. Cuad - Hosp Clín [Internet]. 2021 [citado el 21 de agosto de 2023];62(1):63-71. Disponible en: http://www.scielo.org.bo/scielo.php?pid=S1652-67762021000100010& script=sci_arttextLinks ]

6. Bornstein SR, Allolio B, Arlt W, Barthel A, Don-Wauchope A, Hammer GD, et al. Diagnosis and treatment of primary adrenal insufficiency: An endocrine society clinical practice guideline. J Clin Endocrinol Metab [Internet]. 2016 [citado el 21 de agosto de 2023];101(2):364-89. Disponible en: https://pubmed.ncbi.nlm.nih.gov/26760044/Links ]

7. Lapeere H, Boone B, De Schepper S, Verhaeghe E, Van Gele M, Ongenae K, et al. Hypomelanoses and hypermelanoses. En: Fitzpatrick’s dermatology in general medicine. Mc Graw Hill Medical; 2012. p. 804-26. [ Links ]

8. Davis SA, Narahari S, Feldman SR, Huang W, Pichardo-Geisinger RO, McMichael AJ. Top dermatologic conditions in patients of color: an analysis of nationally representative data. J Drugs Dermatol [Internet]. 2012 [citado el 21 de agosto de 2023];11(4). Disponible en: https://pubmed.ncbi.nlm.nih.gov/22453583/Links ]

9. Brandão Neto RA, Carvalho JF de. Diagnosis and classification of Addison’s disease (autoimmune adrenalitis). Autoimmun Rev [Internet]. 2014;13(4-5):408-11. Disponible en: https://www.sciencedirect.com/science/article/pii/S1568997214000378Links ]

10. Benner BJM, Alsma J, Felders RA. Hyponatraemia and hyperpigmentation in primary adrenal insufficiency. BMJ Case Rep [Internet]. 2019 [citado el 21 de agosto de 2023];12(3):e227200. Disponible en: http://dx.doi.org/10.1136/bcr-2018-227200Links ]

11. Dika E, Starace M, Lambertini M, Patrizi A, Veronesi G, Alessandrini A, et al. Oral and nail pigmentations: a useful parallelism for the clinician. J Dtsch Dermatol Ges [Internet]. 2020 [citado el 21 de agosto de 2023];18(1):7-14. Disponible en: https://pubmed.ncbi.nlm.nih.gov/31951106/Links ]

12. Rathbun KM, Nguyen M, Singhal M. Addisonian Crisis. 2023 [citado el 21 de agosto de 2023]; Disponible en: https://pubmed.ncbi.nlm.nih.gov/28722962/Links ]

Procedencia y arbitraje: no comisionado, sometido a arbitraje externo.

Citar como: Dávila Torres RF, Pacheco Ludeña JE. Identificación de manifestaciones tempranas de enfermedad de Addison en consulta odontológica Reporte de caso. Rev Cient Cienc Med. 2023; 26(1): 77-80

Recibido: 01 de Febrero de 2022; Aprobado: 27 de Abril de 2022

*Correspondencia a: Richard Fernando Dávila Torres Correo electrónico:richardfdavilat4@gmail.comTelf. y celular: 997742602

Creative Commons License Este es un artículo publicado en acceso abierto bajo una licencia Creative Commons