Servicios Personalizados
Revista
Articulo
Indicadores
-
Citado por SciELO -
Accesos
Links relacionados
-
Similares en
SciELO
Compartir
Revista Científica Ciencia Médica
versión impresa ISSN 1817-7433versión On-line ISSN 2220-2234
Rev Cient Cienc Méd v.17 n.2 Cochabamba 2014
IMÁGENES EN MEDICINA
Gemelas Monocigoticas Unidas
United Monozygotic Twins
Funes Fernández Dean Patrick1
1Facultad de Medicina "Dr. Aurelio Melean", Universidad Mayor de San Simón, Cochabamba, Bolivia.
Autor para correspondencia: Funes Fernández Dean Patrick
Correo Electrónico: dean_rocaygiro@hotmail.com
Recibido para publicación: 19 de abril de 2014
Aceptado para publicación: 9 de noviembre de 2014
Citar como: Rev Cient Med 2014; 17(2):74
Consentimiento del paciente: Obtenido.
Procedencia y arbitraje: No comisionado, sometido a arbitraje externo.
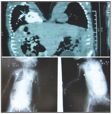
Neonatos Gemelos Monocigóticos Unidos (GMU), de sexo femenino, producto de 37 semanas obtenido por cesárea con peso de 5,620 Kg, APGAR de 7 al minuto y 8 a los 5 minutos. Madre de 24 años con controles prenatales incompletos y padre de 26 años. Ambos con antecedentes de malformaciones colaterales en familiares.
Inmediatamente los GMU ingresaron a cuidados intensivos debido a su condición, al examen físico se observa un puente tisular cutáneo entre las caras anteriores de la región torácica condición que recibe el nombre de GMU TORACOPAGOS, y síndrome de trasfusión leve. Los exámenes complementarios constataron múltiples anomalías: puentes tisulares hepático, pericárdico y vascular en la vena cava inferior, ambas se sometieron a múltiples cirugías con su respectiva separación, de la cual logro sobrevivir una de las siamesas pese a que presentaba comunicación interventricular, una hernia en el abdomen y escoliosis, con su solución, en cambio su gemela falleció por una complicación multifactorial, ya que presentaba el síndrome de Dandy-Walker, Cardiopatías severas y una peritonitis.
Los GMU toracopagos proceden de un solo cigoto que tuvo lugar a una división parcial o a una fusión secundaria de la masa celular interna, línea primitiva o nódulo primitivo entre la primera y segunda semana de desarrollo relacionado con la falta de expresión del gen Goosecoid, ambos son del mismo sexo, tienen características idénticas genotípicas y fenotípicas unidos en mayor proporción por el tórax y en una menor proporción por el abdomen por las que comparten viseras torácicas y abdominales. Se estima que la incidencia de gemelos homocigóticos es de 1 a 2 cada 100.000 nacimientos1,2.
En el diagnóstico prenatal se destaca la ecografía, imagen doppler en 3D y por ultrasonido, así mismo las pruebas de suero materno, amniocentesis y muestreo de vellosidades coriónicas3.


REFERENCIAS:
1. Sadler T.W. Langman: Embriología médica. 11va Ed. Barcelona: Lippincott williams and wilkins. Wolters kluwer health; 2009.
2. Moore K.L, Persaud T.V.N. Embriología clínica. 8va Ed. Barcelona: Elservier;2008.
3. Gutiérrez-Delgado I.L, Marroquín-Lozada P.A, Híjar-Sifuentes Y.A, Cabrera-Ramos S. Siameses: reporte de un caso. Rev. peru. ginecol. obstet 2011; 57(3): 203-
4. Acceso Abril del 2014. Disponible en: http://www.scielo.org.pe/pdf/rgo/v57n3/a10v57n3.pdf













