SciELO - Scientific Electronic Library Online

 
vol.12 número1MIOMECTOMÍA DURANTE EL EMBARAZOSÍNDROME DE POEMS HOSPITAL OBRERO Nº 2, COCHABAMBA-BOLIVIA índice de autoresíndice de materiabúsqueda de artículos
Home Pagelista alfabética de revistas  

Servicios Personalizados

Revista

Articulo

Indicadores

Links relacionados

  • No hay articulos similaresSimilares en SciELO

Compartir


Revista Científica Ciencia Médica

versión impresa ISSN 1817-7433versión On-line ISSN 2220-2234

Rev Cient Cienc Méd v.12 n.1 Cochabamba  2009

 

CASO CLÍNICO

 

FÍSTULA COLECISTO-UMBILICAL ESPONTÁNEA SECUNDARIA A COLECISTOLITIASIS

 

 

AUTORES: Freddy Miguel Ortiz Aparicio, John Marcelo Guzman Díaz y Juan Victor Guzman Gonzales
Estudiantes de 3er año de la carrera de Medicina de la Universidad Mayor de San Simón

ASESOR: Dra. Nancy Otero
Cirujana general Instituto Gastroenterológico Boliviano-Japonés

 

 


RESUMEN

La apertura externa de una fístula colecistocutánea la mayoría de las veces ocurre en el hipocondrio derecho. Sin embargo, otros sitios pueden estar implicados, como el hipocondrio izquierdo (45 %), el ombligo ( 27 %), la región lumbar derecha, la fosa iliaca derecha y región glútea. Por tanto, el objetivo es exponer el caso de una paciente con fístula colecisto-umbilical espontánea, secundaria a colecistolitiasis, atendida en el Instituto Gastroenterológico Boliviano-Japonés. Paciente sexo femenino, 47 años de edad, presentó con cuadro clínico de dolor abdominal de 25 años de evolución, localizado en hipocondrio derecho, con salida de material purulento de color amarillo-verdoso a través de un orificio de aproximadamente 3mm, situado a nivel de la cicatriz umbilical. Se realizó fistulografía a través del orificio umbilical visualizándose trayecto fistuloso de o la vesícula biliar al ombligo; el conducto cístico y el colédoco estaban permeables. Se trató quirúrgicamente, mediante colecistectomía convencional con resección del trayecto fistuloso.

PALABRAS CLAVE: Fístula colecisto-umbilical espontánea, colecistolitiasis.


ABSTRACT

The external opening of Spontaneous cholecysto-cutaneous fístula is generally in the right (straight) hypochondrium. Nevertheless, other sites(places) can be implied as the left hypochondrium (45 %), the navel (27 %),the right lumbar region, the right iliac fossa and the region glútea. So the target: to present a case is a introduce of a patient with Spontaneous cholecysto-umbilcal fístula, secondary to cholecystolithiasis.Attented in the Instituto Gastroenterológico Boliviano-Japonés. Patient female of 47 year old Woman of age with clinical picture of abdominal pain of twenty-two years of evolution, located in right(straight) hypochondrium, with exit of purulent material of yellow - greenish color across an orífice of approximately 3 mm, placed in the umbilical region. It was realized fistulography across the umbilical orifice and distance was visualized fístula from the navel to the biliary bladder;the cystic conduit and the choledocho were permeable. It's treated itself surgically, was realized cholecystetomy by resection of the distance fístula.

KEY WORDS: Spontaneous cholecysto-cutaneous fístula, cholecystolithiasis.


 

 

Se entiende por fístula la comunicación anómala patológica o artificial que comunica dos superficies epitelizadas1,2. La fístula colecisto-cutánea espontánea (FCCE) es una forma poco frecuente debido a que se realiza un diagnóstico y tratamiento temprano de la enfermedad vesicular.

En los últimos 50 años se han publicado en la literatura mundial a nuestro alcance, 16 casos de FCCE.

En 1670, Thilesus realizó el primer informe sobre fístulas biliares externas espontáneas. Una fístula es una comunicación transmural anormal entre dos superficies epitelizadas3. El factor común para la formación de una fístula es un proceso inflamatorio o neoplásico que produce erosión a las estructuras circunvecinas4.

La presentación clínica de las fístulas biliares es variable, depende de su curso anatómico y del proceso nocivo de base; pueden ser externas o internas, espontáneas o postoperatorias.5 Las fístulas externas drenan más frecuentemente al cuadrante superior y flanco derecho o al ombligo. Más del 90% de las fístulas espontáneas se asocian a colecisto-litiasis.

El objetivo de este trabajo es informar el caso de una paciente con fístula colecisto-cutánea espontánea, secundaria a colecisto-litiasis.

 

Presentación del caso

Paciente de sexo femenino de 47 años de edad, procedente de un área rural de la ciudad de Cochabamba, acude al servicio de urgencias del Instituto Gastroenterológico Boliviano-Japonés el 18 de marzo de 2008; por presentar un cuadro clínico de mas o menos dos semanas de evolución, caracterizado por dolor abdominal al principio en epigastrio con sensación de masa, que posteriormente se localiza en hipocondrio derecho, de tipo espasmódico, intermitente, no irradiado acompañado de picos febriles no cuantificados, distensión abdominal, estado nauseoso sin llegar al vómito, astenia y adinamia.

Refiere desde hace dos meses, salida de secreción amarillenta inicialmente líquida y después de unos días de aspecto más espeso y maloliente por región umbilical.

Entre los antecedentes patológicos relevantes están múltiples cólicos vesiculares desde los 22 años que los alivió con medios naturales.

Examen físico

Se evidencia abdomen ligeramente distendido con salida espontánea de secreción amarillo-verdosa, espesa y mal oliente en región umbilical, que con la compresión de la zona aumentaba su debito, ruidos hidroaéreos (+) hiperactivos, abdomen blando depresible, doloroso a la palpación profunda en hipocondrio derecho.

Métodos diagnósticos

Pruebas de función hepática: Llama la atención la elevación de las Transaminasas TGO 656 y TGP 563, Fosfatasa Alcalina 1040 y GGT 564

Endoscopia digestiva alta: Reporta gastritis nodular de antro.

Ecografía abdominal: El reporte muestra una dilatación de vía biliar principal (¿coledocolitiasis?), vesícula escleroatrófica litiásica, foco hiperecogénico en lóbulo hepático derecho y quiste de aspecto complejo en lóbulo hepático derecho

ERCP: Reporta pancreatografía normal y estudio insatisfactorio.

TAC de abdomen: Masa heterogénea que podría corresponder a proceso expansivo de duodeno, no obstructivo, con compromiso de cabeza de páncreas y fosa vesicular, no descartándose mets. A nivel de segmento 1 y 2 hepático. Uraco permeable (Fig. 1).

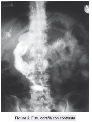
Fistulografía: Reporta fístula colecisto entero-cutánea, colelitiasis y ¿síndrome de Mirizzi? (Fig. 2).

Conducta

Se programa cirugía, se realiza colecistectomía abierta mediante insición de Kocher, colocación de sonda en T de Kher, fistulectomía y biopsia hepática (Fig. 3, 4 y 5).

 

 

Cultivo de secreción umbilical y antibiograma: Enterobacter sp. sensible a Ciprofloxacina, Gentamicina y Trimetroprim-sulfametoxazol.

Estudio Histopatológico: Trayecto fistuloso con: tejido fibroconectivo de granulación, infiltrado inflamatorio crónico. Hígado con: hepatitis reactiva focal peilosis (secundaria). Diagnóstico patológico: Colecistitis crónica activa severa, hipertrofia de filetes nerviosos.

Evolución

La paciente tiene una evolución postquirúrgica satisfactoria, siendo egresada al sexto día post operatorio.

 

Conclusiones

La fístula colecisto-cutánea espontánea debe sospecharse por las características del cuadro clínico y la presencia de un orificio en la región del hipocondrio derecho, hiponcondrio izquierdo o la región umbilical.

El diagnóstico se confirma con un fistulograma. El tratamiento quirúrgico es obligatorio, lo que reduce las complicaciones de esta enfermedad.

 

Discusión y comentario

La fístula colecisto-cutánea espontánea es una presentación atípica de colecisto-litiasis, en el cual el proceso inflamatorio crónico de la vesícula biliar se adhiere a la pared abdominal anterior, lo que permite la formación de un trayecto fistuloso con drenaje de bilis o litos, generalmente en el hipocondrio derecho y asociado a obstrucción de los elementos naturales de salida de la vía biliar extrahepática6,7.

La mayoría de las veces existe una obstrucción del conducto cístico o colédoco para la formación de la fístula, ya sea por cálculos, inflamación crónica y, con menor frecuencia, por un carcinoma8.

Una particularidad del presente caso es la procedencia rural de la paciente ademas de la salida evidente de secreción por formación de fístula colecisto-cutánea a través del orificio umbilical con un período de evolución de 2 meses, lo que demuestra que existe una serie de factores que influyen en la llegada del paciente al servicio de salud.

La presencia de una lesión en la pared abdominal anterior puede confundir al clínico, diagnosticando erróneamente un proceso infeccioso de la piel, un quiste de inclusión, un granuloma piógeno o metástasis de un carcinoma, retrasando el tratamiento definitivo9.

El diagnóstico se realiza apoyándose en estudios de imagen, a través de un fistulograma que demuestra el trayecto fistuloso entre la pared abdominal y la vesícula biliar.

El tratamiento quirúrgico consiste en colecistectomía y resección del trayecto fistuloso10. Si se tiene experiencia en las técnicas de cirugía laparoscópica avanzadas, se puede intentar un abordaje laparoscópico11.

En aquellos casos en que el fistulograma preoperatorio no demuestre permeabilidad del árbol biliar extra hepático, es necesario practicar colangiografía transoperatoria y con base en ésta decidir la necesidad de explorar la vía biliar.

 

Referencias

1. Rojas G, Gomez X, Wiesser F, Chousleb A. Cervantes J, Ochoa JR. Fistula colecistocutánea- reporte de un paciente. Asociación Mexicana Cirugía. Mexico. 2002. Disponible en www.medigraphic.com/pdfs/cirgen/cg-2002/cg021h.pdf        [ Links ]

2. Diccionario ilustrado de términos médicos. Disponible en: www.iqb.es/diccio/f/fi.htm        [ Links ]

3. Birch BR, Cox SJ. Spontaneous external biliary fístula uncomplicated by gallstones. Postgrad Med J 1991; 67: 391-2.        [ Links ]

4. Andley M, Biswas RS, Ashok S, Somshekar G, Gulati SM. Spontaneous cholecystocutaneous fístula secondary to calculous cholecystitis. Am J Gastroenterol 1996; 91: 1656-7.        [ Links ]

5. LeBlanc KA, Barr LH, Rush BM. Spontaneous biliary enteric fístulas. South Med J 1983; 76: 1249-52.        [ Links ]

6. Nicholson T, Born MW, Garber E. Spontaneous cholecystocutaneous fístula presenting in the gluteal region. J Clin Gastroenterol 1999; 28: 276-7.        [ Links ]

7. Lau MW, Halle CN, Brown TH. Biliary-cutaneous fístula: anun-common complication of retained gallstones following laparoscopic cholecystectomy. Surg Laparosc Endosc 1996;6: 150-1.        [ Links ]

8. Mymin, JS; Watkins, RM. Spontaneous cholecystcutaneous fistulae secondary to calculus cholecystitis. Br J Clin Pract. 1993;47(6):341-2. Disponible en: www.ncbi.nlm.nih.gov/pubmed/8117563        [ Links ]

9. Mymin JS, Watkins RM. Spontaneous cholecystocutaneous fistulae secondary to calculous cholecystitis. Br J Clin Pract 1993; 47: 341-2.

10. Gossage JA, Foshawe MJ, Sphenson J, Mason R. Spontaneous cholecysto cutaneous fístula. The New England Journal of Medicine. 2006; 52-53 Disponible en: www.journals.elsevierhealth.com/periodicals/thejos/article/PIIS1743919106600290/abstract        [ Links ]

11. Arshad H, Nadem M, Ockrim J. Complete laparoscopic management of cholecystocutaneous fístula. Pub Med Central. 2007;176-177. Disponible en: www.pubmedcentral.nih.gov/articlerender.fcgi?artid=2075592

 

Creative Commons License Todo el contenido de esta revista, excepto dónde está identificado, está bajo una Licencia Creative Commons