INTRODUCCIÓN
El MTX-HD es el fármaco más empleado para patologías de origen oncológico, siendo fundamental el empleo en enfermedades oncohematológicas como la leucemia linfoblástica aguda LLA o el linfoma de Hodgkin LH, su administración a dosis altas (> 1,5 g/m2 ) intratecal o por vía intravenosa (IV) mayores a 5g/m2 para pasar en 24h, son fundamentales con el riesgo de producir complicaciones neurológicas agudas, subagudas o crónicas, más cuando se sospecha de un paciente metabolizador lento, lo que aumenta el riesgo de un accidente cerebrovascular AVC o convulsiones evidenciado por TAC o RMN 1,2,3. La neurotoxicidad secundaria de MTX puede generar déficits focales como hemiplejia, alteración de la consciencia, labilidad emocional, cefalea, convulsiones, hemorragia subdural y trastornos del habla, entre otros 4,5,6. Lo más difícil abarca cuando estamos frente a un hematoma subdural, como consecuencia directa de la acumulación de un fármaco con elevado potencial de producir neurotoxicidad como lo es el MTX, este cuadro de hematoma subdural se caracteriza por una acumulación de sangre entre la duramadre y la superficie del cerebro y ocurre generalmente por la ruptura de venas que se extienden entre la duramadre y el cerebro. Los hematomas subdurales pueden ser agudos, subagudos o crónicos dependiendo del tiempo de evolución frente a la exposición del fármaco. Muchos medicamentos incluyendo al MTX cuando suelen acumularse en tejido adiposo suelen pasar a cerebro debido a su coeficiente de partición y su lipofilia elevada, y suelen desencadenar una disminución de la resistencia vascular, aumentando el riesgo de sangrado a nivel cerebral y otros órganos, influenciados por el aumento de presión arterial. Por otra parte no está por demás señalar que MTX también producirá mucositis generalmente entre 3 a 7 días después de su administración en dosis elevadas, seguido unos días después de leucopenia, trombocitopenia, mielosupresión y trastornos hematopoyeticos que son revertidos entre 14 a 28 días después. Es debido a estas complicaciones que surge la necesidad de cualificar y cuantificar biomarcadores de lesión cerebral que serían de gran utilidad para descartar dichas lesiones a causa de MTX cuyos síntomas podrían aparecer 1 a 2 semanas luego de la infusión intratecal o intravenosa pudiendo ser respaldadas por imágenes típicas en la (RMN), angiorresonancia o (TAC) y estudios de electroencefalografía (EEG)7,8. Análisis de actividad y expresión enzimática que podrían mostrar la capacidad metabólica de los pacientes y podrían orientar la velocidad de depuración. Las manifestaciones clínicas pueden fluctuar y ser resueltas en menos de 30 días si el manejo es el adecuado y de pronta intervención 9,10.
CASO CLÍNICO
Paciente de 23 años de edad sexo femenino con antecedente de obesidad grado I, Retraso madurativo, tiene diagnóstico de LLA de alto riesgo por la edad tipo B Phi negativo y un recuento de glóbulos blancos al debut de 2.9x103, la paciente tras su ingreso recibió quimioterapia de inducción según esquema BFM fase A con EMR detectable de 14% para células patológicas, Quimioterapia a base de MTX 8 g/m2 posteriormente LVO 50 mg cada 6/h x 10 dosis según su esquema; en el transcurso de la internación posterior a la quimioterapia cursó con neutropenia febril con una media de 0,3 x 103 WBC por más de 10 días por lo que requirió la administración de filgrastim 300 ug/ml cada 8/h SC, el mismo fue modificado a EV en mezcla de Dextrosa al 5% 97 ml, 2 ml de albúmina humana al 20% y 1 ml de filgrastim, con el fin de aumentar la potencia y eficacia del fármaco, el resultado mostro el no incremento de neutrófilos y la no evolución favorable de la paciente.
MANEJO DEL PACIENTE POR EL EQUIPO MULTIDISCIPLINAR
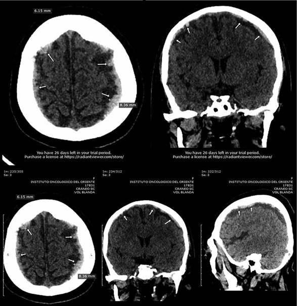
Tras la intercurrencia de dolor de cabeza intenso por más de 24 horas que manifestó la paciente y posterior hemorragia en el ojo derecho, genero una hipótesis a efectos tóxicos tardíos de MTX por lo que se solicitó una TAC de cráneo evidenciando un hematoma subdural agudo frontal bilateral , lo que orienta a una sospecha de MTX retenido tras 10 días posteriores a la finalización de la administración de MTX a dosis de 8 g/m2; este fármaco y sus metabolitos 7-OH- MTX, PG-MTX y Ac-4-N-metil MTX suelen ser retenidos hasta por 47 días post administración y podrían ser los responsables directos de dicho cuadro, por lo que se realizó la determinación de MTX por espectrofotometría UV/Vis empleando el espectrofotómetro T85+ PG Instrument con cubeta de Quarzo de doble haz de Tungsteno y Deuterio, permitió identificar a MTX en plasma humano mostrando una elevada [C] de 9,226 umol/L, motivo por el cual se prosigue rescates adicionales de LVO 50 mg C/6h; transcurrido 6 días más posteriores a las dosis adicionales de LVO; los niveles de MTX muestran una [C] de 7,154 umol/L reducción no significativa por lo que se determinó medir la actividad enzimática por el método CellTitterGlow, mediante fluorometría empleando el fluoroskan Ascent TM FL fluorímetro de placas Thermo Fisher; los resultados muostraron un 55,11% de actividad, siendo este uno más de los motivos por el cual la paciente retiene MTX y es posible responsable del hematoma subdural agudo, convulsiones y neutropenia prolongada, esto corroborado por TAC de cráneo sin contraste, en la que se realizaron múltiples cortes axiales volumétricos del cráneo sin la inyección de material de contraste iodado, y en un segundo tiempo se realizaron reconstrucciones sagitales y coronales. A nivel infratentorial, el cuarto ventrículo y el conjunto de espacios subaracnoideos basales son de morfología y topografía normal. A nivel supratentorial: No hay desplazamiento de la línea media, a nivel extra axial se evidencia colecciones hiperdensas subdural con grosor máximo de 6mm en región frontal derecha y 8 mm en región frontal izquierda, a nivel óseo no se observa lesiones patológicas en la calota craneal, se concluye con la presencia de un hematoma subdural agudo frontal bilateral, correlacionado con antecedentes clínicos, así como también el engrosamiento mucoso en paredes de ambos senos maxilares, celdillas etmoidales derechas en relación a sinusitis y desviación de tabique nasal hacia derecha.
Pasada las 72 horas posteriores a la última medición de niveles plasmáticos de MTX con una [C] de 7,154 umol/L , los resultados siguientes muestran que aun retiene MTX a una [C] de 7,001 umol/L, con escasa eliminación y con Actividad Enzimática del 52,23% y Expresión de 48,23%. Se solicita examen complementario de un EEG que concluye que se encuentra en estado de vigilia anormal por hipovoltado difuso sobre impuestos con ritmos rápidos de probable origen farmacológico a correlación con clínica y neuroimagen. Por tanto con el fin de evitar nuevos eventos a nivel cerebral, se solicitó determinar biomarcadores de lesión cerebral para manejar una alternativa terapéutica que favorezca el desplazamiento de MTX, los resultados de este análisis mostraron que: (CK-BB Isoenzima Creatinasa Cerebral en astrocitos 7,2 ug/L; NSE Enolasa Neuro Especifica en neuronas 18,6 ug/L; HCU-L1 Proteína Soluble Cerebral en neuronas 5 ng/ml y GFAP Proteína Acida Fibrilar de Glia 0,1 ug/L, se encuentran elevados en rangos patológicos), estos resultados corroboran la hipótesis de un hematoma subdural agudo compatible con una encefalopatía subaguda y neutropenia prolongada a causa de MTX.
Estos parámetros de cuantificación de biomarcadores de lesión cerebral, redujeron a: ( [C] de CK-BB 2,31 ug/L; NSE 9,61 ug/L; HCU-L1 0,86 ng/ml y GFAP 0,0103 ug/L niveles por debajo de los patológicos), tras la administración ambroxol empleado para una modulación fisicoquímica a una dosis de 34 mg V.O. C/8 horas por las primeras 24 horas para halogenar a MTX retenido por acción del dibromo benceno cuyo orientador NH2-R1 es un activador del anillo bencénico aromático que tiene afinidad por MTX, posterior a ello se realizó un desplazamiento competitivo con dextrometorfano V.O. a dosis de 18 mg C/8 horas x 48 horas con el fin de antagonizar los receptores de NMDA, con la finalidad desplazar a MTX y sus metabolitos de los receptores cerebrales para MTX.
Trascurrido las 48 horas de iniciado el tratamiento a base de dextrometorfano, los niveles de MTX reducen a una [C] 0,0632 umol/L; la actividad y expresión enzimática se mantuvieron reducidos 57,31% y 49,21% subsecuentemente, lo que respalda contar con una paciente depuradora lenta.
Tras conseguir el desplazamiento molecular de MTX a nivel cerebral, la neutropenia fue revertida evidenciando un incremento en el recuento de Neutrófilos que van desde 1.1 x 103 a 3.6 x 103 tras las primeras 24 horas de iniciado el ambroxol y posterior a la administración de dextrometorfano los Neutrófilos subieron a 4.4 x 103 ya para las 48 horas después subió a 5.7 x 103, estos resultados son contrastados con la mejoría clínica de la paciente y apoyados por una TAC de cráneo con contraste revelando que a nivel infratentorial, en el cuarto ventrículo no se identifica realces patológicos en el tejido nervioso infratentorial; mientras que a nivel supratentorial se persisten con algunas colecciones subdurales hiperdensas aisladas a nivel frontal bilateral con grosor máximo de 5mm en región frontal derecha y 7mm en región frontal izquierda asociada en este lado a higroma subdural cronico.
Tras el manejo adecuado de la paciente se muestra un cuadro clínico resuelto con buena evolución por lo que la paciente fue trasladada de UTI a sala común de internación, para posterior alta médica.
DISCUSIÓN
El manejo oportuno y la pronta intervención al paciente tratado con MTX-HD, son de elemental importancia con el fin de evitar el agravamiento del cuadro clínico. El contar con los estudios de los niveles de MTX facilitaron a la toma de decisiones en bien del paciente para poder controlar factores biológicos y fisicoquímicos del fármaco con el objetivo de poder desplazar, modificar, eliminar o antagonizar los efectos de MTX retenido.
La neurotoxicidad de MTX evidenciado tras 10 días de haber recibido la quimioterapia, se debe a que MTX puede permanecer en el organismo hasta 47 días después de haber recibido dosis altas, además al ser un efecto adverso inusitado, no hay evidencia sólida de su incidencia, aunque se cree que podría ser de hasta un 3 %. El mecanismo de lesión es multifactorial, pero se estima que está relacionado con el aumento de metabolitos de la homocisteína, que pueden causar estimulación de receptores NMDA; como consecuencia de los niveles bajos de ácido folínico, vitamina B6 y vitamina B12. La encefalopatía subaguda reversible por metotrexato se caracteriza por presentar lesiones hiperintensas en tiempo de difusión de RMN, muchas veces indistinguibles de las lesiones isquémicas secundarias a un ACV11,12,13.
En el caso presentado, la TAC de cráneo realizada sin contraste al inicio, se puede evidenciar un hematoma subdural agudo frontal bilateral, correlacionado con antecedentes clínicos. Una vez descartadas otras etiologías, y en vista de la rápida resolución de los síntomas, se asumió dicho cuadro como hematoma subdural agudo por metotrexato. Hasta el momento, no están descritas recurrencias con la administración de nuevas dosis, por lo que el antecedente de dicha patología no contraindica su uso intratecal o intravenoso en ciclos posteriores.
Con este trabajo respaldamos el uso de dextrometorfano como tratamiento (antagonista de los receptores NMDA) con buenos resultados, contando como respaldo para posteriores ensayos clínicos placebo-control para recomendar su uso y aplicación frente a cuadros clínicos de neurotoxicidad por MTX. En síntesis, frente a un cuadro de afectación neurológica aguda con signos de foco como hemiparesia, disfasia, confusión o labilidad emocional en pacientes que recibieron metotrexato en dosis altas 1 o 2 semanas previas al inicio de los síntomas, se recomienda enfáticamente la realización de una TAC o RMN de cráneo o angiorresonancia. Una vez descartada la patología vascular, se debe considerar el diagnóstico de encefalopatía subaguda por metotrexato. Si bien se trata de una entidad poco frecuente, es valioso tener en cuenta esta alternativa terapéutica antagonista a MTX dado que MTX se utiliza en las patologías oncohematológicas frecuentes.
TC de cráneo sin contraste, que evidencia las lesiones hemorrágicas causado por el fármaco acumulado MTX, en el que se realizaron múltiples cortes axiales volumétricos del cráneo sin la inyección de material de contraste iodado, en un segundo tiempo se realizaron reconstrucciones sagitales y coronales. Se evidencia a nivel infratentorial: El cuarto ventrículo y el conjunto de espacios subaracnoideos basales son de morfología y topografía normal. Mientras que a nivel supratentorial: No hay desplazamiento de la línea media, a nivel extra axial se evidencia colecciones hiperdensas subdural con grosor máximo de 6mm en región frontal derecha y 8mm en región frontal izquierda; a nivel óseo no se observa lesiones patológicas en la calota craneal.
Se concluye: Hematoma subdural agudo frontal bilateral, correlacionar con antecedentes clínicos, post quimioterapia, engrosamiento mucoso en paredes de ambos senos maxilares, celdillas etmoidales derechas en relación a sinusitis y desviación de tabique nasal hacia derecha.
TC de cráneo con contraste que evidencia las lesiones hemorrágicas causadas por el fármaco MTX acumulado y desencadenante del hematoma subdural previo, mostrando a nivel infratentorial: El cuarto ventrículo y el conjunto de espacios subaracnoideos basales morfología y topografía normal, después de la administración de contraste no se identifica realces patológicos en el tejido nervioso infratentorial. Mientras que a nivel supratentorial: Persisten algunas colecciones subdurales hemorragias hiperdensas aisladas a nivel frontal bilateral con grosor máximo de 5mm en región frontal derecha y 7mm en región frontal izquierda asociada en este lado a higroma subdural cronico.
Se concluye: Hematoma subdural subagudo frontal bilateral asociado a higroma subdural frontal izquierdo, correlacionado con antecedentes y clínica de la paciente. Entre otros hallazgos: Muestran la persistencia de engrosamiento mucoso en paredes de ambos senos maxilares, celdillas etmoidales derechas en relación a sinusitis y desviación de tabique nasal hacia derecha.















