INTRODUCCIÓN
La gastrosquisis es una herniación visceral, un defecto de la pared abdominal paraumbilical generalmente derecho, de espesor total y que no se encuentra cubierta por una membrana protectora. El diagnóstico se realiza observando asas intestinales libres, no cubiertas por peritoneo, flotando en el líquido amniótico, los hallazgos predictores de gastrosquisis compleja son el engrosamiento de la pared intestinal (mayor de 2.5 cm) dilatación de asas intestinales intraabdominales (mayor de 25 mm) en 3 mediciones seriadas o mayor a percentil 97.7 en 3 mediciones no seriadas.
La vía de nacimiento ideal es vía abdominal (cesárea), se recomienda llevar el embarazo lo más cercano al termino si las condiciones maternas y fetales lo permiten y manejo multidisciplinario en un centro que cuente con cirugía pediátrica para poder realizar en caso de gastrosquisis simple un cierre primario con una tasa de éxito del 70%, mientras que en la gastrosquisis compleja se realiza un cierre por etapas con un silo y cirugías escalonadas.
Se reporta el caso de un recién nacido con gastrosquisis que se manejó de forma multidisciplinaria con cierre de primera intención, con el objetivo de identificar los criterios ultrasonográficos y su relevancia en la predicción de gastrosquisis simple y compleja como criterios para realizar un cierre primario y/o secundario.
CASO CLÍNICO
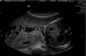
Paciente de 17 años de edad, primigesta, a quién se le realizó el diagnóstico de gastrosquisis fetal en el primer trimestre del embarazo. Acudió posteriormente con embarazo de 38 semanas de gestación con trabajo de parto en fase latente, al rastreo ecográfico se encontró Restricción de Crecimiento Intrauterino (RCIU) tipo 1, líquido amniótico con Bolsillo Vertical Máximo (BVM) de 5 cm, un defecto de pared abdominal de 20 mm en su diámetro transverso con protrusión únicamente de asas intestinales, con una distensión de 28 mm y un grosor de 2 mm de la pared intestinal. Figura 1.

Figura 1. Imagen por ecografía; donde se observa corte axial a nivel abdominal con presencia de defecto ventral con presencia de asas intestinales flotantes sin presencia de dilatación
Se realizó una cesárea tipo Kerr a las 38 semanas de gestación, donde se obtuvo un recién nacido vivo, al cual se inhibe el llanto, observándose la protrusión de asas intestinales, sin necrosis, las cuales se redujeron vigilando la presencia de circulación fetoplacentaria, con un defecto de pared abdominal de 2 cm de diámetro, al completar la reducción total y verificar ausencia de circulación fetoplacentaria se pinzó cordón umbilical, se pasó a cuna de calor radiante. Figura 2.

Figura 2. Se observa protrusión visceral, únicamente intestinal sin presencia de necrosis, aun conservada la circulación fetoplacentaria, previo a cierre de primera intención
Posteriormente se realizó cierre primario del defecto a los 2 minutos de vida con técnica SIMIL- EXIT, se realizó cierre de pared abdominal con una jareta con nylon 2-0 a nivel umbilical mientras se continuaba con la reanimación neonatal básica ameritando únicamente oxigeno suplementario, posteriormente paso al área de UCIN donde se mantuvo en ayuno durante 3 días. Después con adecuada tolerancia a la vía oral y buena evolución,se dio de alta a los 7 días de nacimiento sin complicaciones postquirurgicas. Figura 3.
DISCUSIÓN
La gastrosquisis consiste en un defecto de espesor total de la pared abdominal paraumbilical, comúnmente acompañado de evisceración de intestino y, a veces, de otros órganos abdominales, según Lilian Chuaire Noack1 existen 3 teorías para la formación del defecto de pared abdominal. En primer lugar, el defecto se debe a un pliegue anormal de la pared abdominal del cuerpo, que permite la protrusión del intestino, en segundo lugar, a una rotura del amnios de origen multifactorial y en tercer lugar a un efecto trombótico cerca al anillo umbilical, pero aún no se ha llegado a un consenso sobre su origen. Tiene una incidencia de 4.5 a 5 por cada 10, 000 nacidos vivos. 1 Dentro de los factores de riesgo asociados se encuentran la edad materna menor de 20 años, tabaquismo e infecciones de vías urinarias en el primer trimestre del embarazo.1
El diagnóstico puede realizarse por ecografía de primer trimestre, como fue realizado en este caso, en donde se encontró una imagen de un defecto paraumbilical derecho de 2 cm, con hernia visceral y un asa intestinal flotante sin membranas. 2 El seguimiento se realizó con ecografías seriadas, evaluando también el intestino cada 3 a 4 semanas y cada 2 semanas después de las 32 semanas acompañado de pruebas de bienestar fetal con evaluación del crecimiento fetal y líquido amniótico 3
Los criterios de complejidad descritos por Martilloti G 2 y Lap-Pistorius- Mulder 3 Dewberry, L. C. 4 son la presencia del diámetro de intestino intraabdominal mayor al percentil 97.7 en al menos 3 ocasiones no necesariamente sucesivas, dilatación intestinal extraabdominal, ausencia de luz intestinal, circulación mesentérica alterada y dilatación intestinal intraabdominal, siendo esta última predictora de gastrosquisis compleja con sensibilidad del 50% y especificidad de 91%, VPP de 47% y VPN 92%; los cuales no fueron encontrados en nuestra paciente, al tratarse de un embarazo de término y contar con trabajo de parto en fase latente se decidió interrupción del embarazo vía abdominal en manejo conjunto con cirugía pediátrica.5,6
En un estudio de casos y controles 7 se encontró que los datos de complejidad como lo son la dilatación de asas intestinales se relacionaron con resultados adversos ante un cierre primario como lo son mayor morbimortalidad, estancia hospitalaria más prolongada, uso prolongado de nutrición parenteral, más días de ventilación mecánica y necesidad de múltiples cirugías.
En nuestro caso clínico, se realizó cierre primario con éxito, lo cual se ha descrito por los autores S. Joharifard M. O. 8 que al realizar un cierre primario disminuye la necesidad de ventilación mecánica, Y según el autor Alfredo Van Griken 9 el cierre primario versus cierre secundario, se observó una disminución de las complicaciones como lo son menor mortalidad, menor tiempo de hospitalización e inicio de vía oral más temprana en la técnica SIMIL-EXIT la cual consiste en inhibición del llanto al nacer, verificar la presencia de circulación fetoplacentaria, y reducir las asas intestinales hasta lograr la reducción total, para posteriormente realizar jareta a nivel de aponeurosis y colocar apósito hidrocoloide, finalmente continuar con la reanimación neonatal básica.10
CONCLUSIONES
La gastroquisis es una patología con una incidencia no despreciable, realizar el diagnóstico prenatal ayuda a identificar los datos de complejidad, con lo que puede realizarse un seguimiento del embarazo lo más cercano al termino para disminuir las complicaciones neonatales por la prematurez, y así, poder realizar un cierre primario al no encontrar datos de complejidad, lo que mejora el pronóstico y disminuye la morbilidad neonatal.















