INTRODUCCIÓN
El mieloma múltiple es un cáncer de células plasmáticas que producen una inmunoglobulina monoclonal e invaden y destruyen el tejido óseo subyacente, sus manifestaciones clínicas más frecuentes son lesiones líticas en huesos que causan dolor y fracturas, insuficiencia renal hipercalcemia, anemia e infecciones frecuentes1. Es un cáncer relativamente poco común, representa 1 a 2% de todos los canceres y el 10% de los cenceres hematológicos; además es el segundo cáncer hematológico más frecuente, pero es considerado una enfermedad rara.1
El dolor óseo, la insuficiencia renal y las infecciones recurrentes son los problemas más frecuentes en el momento de presentación1. El diagnostico se hace con hemograma, frotis de sangre periférica, química sanguínea, electroforesis de proteínas en suero y orina, radiografías, evaluación de medula ósea. Se sospecha mieloma múltiple en pacientes > 40 años con dolor óseo sin causa reconocida, en particular durante la noche o en reposo, otros síntomas característicos o alteraciones de laboratorio inexplicables (como aumento de proteínas en sangre o en orina, hipercalcemia, insuficiencia renal o anemia) o radiografías que muestran una fractura patológica o lesiones líticas2. La evaluación de laboratorio incluye pruebas habituales en sangre, LDH, beta-2 microglobulina sérica, inmunoelectroforesis y electroforesis de proteínas en suero y orina, concentración sérica de cadenas ligeras libres. Los pacientes también deben someterse a una evaluación esquelética y, dado que son más sensible a la enfermedad ósea que las radiografías, a una PET-TC o una RM de cuerpo entero. También se requiere un examen de médula ósea junto con estudios citogenéticos convencionales y FISH3.
La inmunoelectroforesis y la electroforesis de proteínas se realiza en una muestra de suero y en una muestra de orina concentrada de una recolección de 24 horas para cuantificar la concentración urinaria de proteína M. La electroforesis sérica identifica la proteína M en alrededor del 80 al 90% de los pacientes. El 10- 20% restante suelen ser pacientes que sólo presentan cadenas livianas monoclonales, libres (proteína de Bence Jones) o IgD3. En ellos, casi siempre se detecta proteína M por electroforesis de proteínas en orina.
La electroforesis con inmunofijación puede identificar la clase de inmunoglobulina de la proteína M (IgG, IgA o pocas veces IgD, IgM o IgE) y, a menudo, puede detectar proteína de cadenas livianas si la inmunoelectroforesis en suero es falso- negativa; se realiza la electroforesis con inmunofijación aunque la prueba sérica sea negativa si hay una firme sospecha de mieloma múltiple3.
El análisis de cadenas livianas libres en suero con identificación de las relaciones kappa y lambda o las diferencias entre las cadenas livianas involucradas y no comprometidas ayuda a confirmar el diagnóstico y también se puede utilizar para controlar la eficacia de la terapia y proporcionar datos pronósticos4.
Si se confirma el diagnóstico o este es muy probable se mide la concentración de beta-2-microglobulina en suero y junto con la albúmina sérica se utiliza para estadificar a los pacientes como parte del sistema de estadificación internacional.
La enfermedad es progresiva e incurable, pero la mediana de la supervivencia ha mejorado recientemente a > 5 años como resultado de los avances terapéuticos. Los signos pronósticos desfavorables en el momento del diagnóstico son las concentraciones séricas más bajas de albúmina, las concentraciones más altas de beta-2 microglobulina, los niveles elevados de LDH y alteraciones citogenéticas específicas en las células tumorales1. Los pacientes que presentan al inicio insuficiencia renal también tienen mala evolución, a menos que la función renal mejore con el tratamiento (lo que generalmente sucede con las opciones terapéuticas actuales).
El tratamiento del mieloma ha mejorado en las 2 últimas décadas, y la supervivencia a largo plazo es un objetivo terapéutico razonable. Consiste en el tratamiento directo de las células malignas en pacientes sintomáticos o aquellos con disfunción orgánica relacionada con el mieloma (anemia, disfunción renal, hipercalcemia o enfermedad ósea)4.
Los factores de riesgo para el requerimiento de tratamiento rápido del mieloma en pacientes que presentan en un principio disfunción de órganos incluyen > 60% de células plasmáticas en la médula ósea, > 1 lesión en la RM, y niveles de cadenas ligeras libres en suero > 100 mg/L. Se considera que estos pacientes tienen mieloma activo y requieren tratamiento inmediato, incluso aunque casi todos los ensayos clínicos aleatorizados sobre tratamiento temprano de estos pacientes aún no hayan demostrado un aumento de la supervivencia global5. Es probable que los pacientes sin estos factores de riesgo ni disfunción de órganos terminales no se beneficien con la terapia inmediata, que suele diferirse hasta que aparecen síntomas o complicaciones.
Presentación del caso
Se trata de una paciente femenina de 48 años con un cuadro clínico de siete meses de evolución caracterizado por dolor en región lumbar irradiado a región sacra, el cual fue exacerbándose en el transcurso de los meses y recibió tratamiento con corticoides y analgésicos antiinflamatorios no esteroideos, catalogada como lumbalgia crónica.
Dolor incrementa posterior a una caída con golpe en región sacra, se hace más intenso que requiere evaluación por neurología neurocirugía y terapia del dolor requiriendo opioides débiles para su mejora.
El día previo a su internación paciente no podía caminar de manera adecuada por dolor pese a analgesia instaurada, con labilidad emocional importante por cuadro de larga data sin resolución del dolor por lo que se decide su internación.
Al examen físico: piel y mucosas hidratadas, signos vitales estables, cardiopulmonar sin alteraciones, abdomen blando doloroso distendido a expensas de TCSC, al examen neurológico lenguaje coherente obedece comandos, gnosias y praxias conservadas, pares craneales conservados, a nivel motor fuerza 5/5 sin embargo es limitado al realizar movimiento en bloque por dolor, Lasegue (+) bilateral Bragard (-), control de esfínteres adecuado, no datos de irritación meníngea, columna lumbosacra muy dolorosa a la palpación en apófisis espinosas, en región paravertebral puntos dolorosos resistencia y contractura muscular.
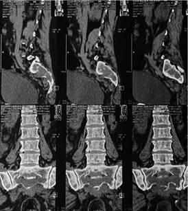
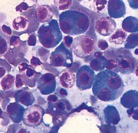
Contamos con los siguientes estudios de gabinete: tomografía de columna lumbar (Figura 1) que reporta discopatías regresivas lumbares asociadas a espondiloartrosis, lesión expansiva osteolítica en el sacro y que estrecha los neuroforamenes S2 - S3 y S3 - S4. Hallazgo por el cual se decide hacer biopsia guiada por TAC, la cual es exitosa, encontrándose tejido friable, se envía muestras a anatomía patológica e inmunohistoquímico el cual reporta plasmocitoma óseo (Figura 2).

FUENTE: Elaboración propia.
Figura 1: Tomografía de columna lumbar que reporta discopatías regresivas lumbares asociadas a espondiloartrosis, lesión expansiva osteolítica en el sacro y que estrecha los neuroforamenes S2 - S3 y S3 - S4

FUENTE: Elaboración propia.
Figura 2 Tinción Panoptico. Estudio de médula osea, vista objetivo 100x donde se observan células plasmáticas displásicas.
Se realizan radiografías simples de cráneo frontal y perfil las cuales muestran lesiones líticas (Figura 3).

FUENTE: Elaboración propia.
Figura 3 Se observa placa simple de cráneo en proyección anteroposterior y lateral con evidencia de múltiples lesiones líticas en aspecto de cráneo apolillado (flechas).
Laboratorios: hemograma con presencia de anemia leve química sanguínea calcio sérico 7,9 mg/dl, fosfatasa alcalina, colesterol y ácido úrico dentro de parámetros normales, creatinina 0,7 mg/dl (normal), ferritina 269 μg/L.
En base a las normas de diagnósticos y tratamiento de la ASSUS se estratifica a la paciente con el diagnóstico de mieloma múltiple EC IIA *Durie y Salmon/IPS
En función a la presentación de MM en paciente elegible para trasplante antólogo de células madre hematopoyéticas, por el grupo etario se inicia protocolo CYBORD (Bortezomib, ciclofosfamida, dexametasona) y radioterapia coadyuvante para las lesiones más representativas.
Actualmente paciente ha cumplido 5to ciclo alcanzando una muy buena respuesta parcial, a la espera del trasplante autológo.
DISCUSIÓN
La lumbalgia aguda se presenta en 5-25% de la población general, 90% de ellas remite en 90% y sólo 10% restante se vuelve crónica. En el caso de la lumbalgia crónica, diversos estudios revelan una prevalencia de 15 a 36%, considerando que la frecuencia de mieloma múltiple como etiología de lumbalgia es baja muchas veces condiciona retraso en el diagnóstico y esto se ha asociado a un impacto negativo en el curso de la enfermedad.
El dolor óseo en los pacientes con MM es causado por el aumento en la presión intraósea, una actividad osteoclástica aumentada e incremento en la hipoxia dentro del tejido óseo. Las lesiones líticas que presentan los pacientes con MM pueden ocasionar fracturas patológicas o por compresión. Siendo fuente de un intenso dolor, que podría ser incapacitante6,7.
El dolor óseo tiene un dramático impacto perjudicial en la capacidad física del paciente, y por ende, en la calidad de vida. El hueso esquelético se encuentra inervado por neuronas sensitivas, permitiendo que la detección de ciertos estímulos se aprecie como dolor; así, el periostio es sensible a la deformación mecánica, mientras que la medula ósea responde a incrementos nocivos de presión. Si alguna de estas vías se activa, el paciente lo experimentara como dolor. La experiencia de dolor de un individuo claramente no se encuentra limitada a las vías ascendentes neuronales, el sistema inhibitorio descendente que modula las entradas aferentes a nivel central y medular ahora es mejor entendido, lo cual abre el panorama a cómo se reconoce y percibe el dolor óseo en este caso clínico definido como lumbalgia 7,8.
En el caso presentado, la paciente padecía de una lumbalgia crónica que ameritó diversos manejos médicos/ quirúrgicos; sin embargo, al no tener un abordaje clínico del dolor referido, se retrasa el diagnóstico de MM hasta encontrarse en un estadio IIA Durie Salmon. El uso de AINEs en pacientes con MM se encuentra contraindicado por el riesgo de nefrotoxicidad. Finalmente se concluyó el diagnostico de MM al cumplir con los criterios previamente establecidos. En el MM de cadenas ligeras la identificación de proteína M es compleja, por lo que la biopsia fue la clave para llegar al diagnóstico7,9.
En la literatura médica existen pocos reportes en cuanto a la asociación entre lumbalgia como síntoma sospechoso de MM y el de cadenas ligeras es de hecho un desafío diagnóstico10. Por ende, este caso ejemplifica la subestimación de un síntoma atípico de presentación de MM, en una paciente que no está considerada el grupo epidemiológico de riesgo, ni por su sexo ni por su edad.















