SciELO - Scientific Electronic Library Online

 
vol.29 issue1EARLY BIOMARKER IN DIABETIC NEPHROPATHYMANAGEMENT AND TREATMENT OF PEPTIC ULCER author indexsubject indexarticles search
Home Pagealphabetic serial listing  

Services on Demand

Journal

Article

Indicators

Related links

  • Have no similar articlesSimilars in SciELO

Share


Revista Médica La Paz

On-line version ISSN 1726-8958

Rev. Méd. La Paz vol.29 no.1 La Paz  2023  Epub June 30, 2023

 

ACTUALIZACIONES

NUEVOS CONCEPTOS DE LA LARINGOTRAQUEÍTIS EN NIÑOS (CRUP VIRAL)

NEW CONCEPTS OF LARYNGOTRACHEITIS IN CHILDREN (VIRAL CROUP)

Dr. Ademar Jaime Rada Cuentas1 

1Pediatra-Infectólogo-Epidemiólogo. Médico de Planta del Servicio de Infectología del Hospital del Niño “Ovidio Aliaga Uría”


RESUMEN

El propósito de este artículo de actualización es brindar información de la epidemiología, etiología manifestaciones clínicas para un diagnóstico preciso, recomendaciones para solicitar exámenes de laboratorio y gabinete y finalmente el tratamiento sintomático con corticoides y cuando hacer uso de epinefrina o adrenalina. La laringotraqueítis es una infección respiratoria aguda desencadenada por una infección viral de la vía aérea superior que afecta al 3% de los niños de seis meses a tres años. Es responsable del 7% de las hospitalizaciones anuales por fiebre y/o enfermedad respiratoria aguda en niños (as) menores de 5 años. Es la causa más frecuente de obstrucción de la vía aérea superior, secundaria a la inflamación de la laringe, la tráquea y los bronquios que genera estridor respiratorio y tos perruna o de foca. En la mayoría de los casos, el agente causal de la enfermedad es el virus parainfluenza. Si bien, muchos niños experimentan fiebre de bajo grado, su presencia no es necesaria para el diagnóstico, el cual es esencialmente clínico y rara vez se necesitan exámenes de laboratorio y gabinete para este propósito. El cultivo viral y la prueba rápida para identificar antígenos, tienen mínimo impacto en el tratamiento y no se recomiendan de rutina. La radiografía y la laringoscopia deben reservarse cuando se sospechan diagnósticos alternativos. El tratamiento es sintomático con el uso habitual de corticoides y en ocasiones epinefrina o adrenalina. Una sola dosis de dexametasona oral, intramuscular o endovenosa mejora los síntomas y disminuye las visitas de retorno, readmisiones y la duración de hospitalización en niños con LT de cualquier gravedad. La adición de epinefrina nebulizada mejora los síntomas en niños con LT moderada o severa, disminuye el porcentaje de intubación y evita la insuficiencia respiratoria. La intervención oportuna al inicio de la enfermedad, disminuye la severidad de los síntomas, la atención médica en servicios de urgencia pediátrica y la internación hospitalaria.

Palabras clave: Rev Soc Bol Ped 2018; Crup; laringotraqueítis; laringotraqueobronquitis

ABSTRACT

The purpose of this update article is to provide information on the epidemiology, etiology, clinical manifestations for an accurate diagnosis, recommendations for requesting laboratory and cabinet tests, and finally symptomatic treatment with corticosteroids and when to use epinephrine or adrenaline. Laryngotracheitis (LT) is an acute respiratory infection triggered by a viral infection of the upper airway that affects 3% of children from six months to three years. It is responsible for 7% of annual hospitalizations for fever and / or acute respiratory illness in children under 5 years. It is the most frequent cause of obstruction of the upper airway, secondary to inflammation of the larynx, trachea and bronchi that causes respiratory stridor and barking cough. In most cases, the causative agent of the disease is the parainfluenza virus. While many children experience low-grade fever, their presence is not necessary for diagnosis, which is essentially clinical and laboratory and cabinet tests are rarely needed for this purpose. Viral culture and rapid test to identify antigens have minimal impact on treatment and are not recommended routinely. Radiography and laryngoscopy should be reserved when alternative diagnoses are suspected. The treatment is symptomatic with the usual use of corticosteroids and sometimes epinephrine or adrenaline. A single dose of oral, intramuscular or intravenous dexamethasone improves symptoms and decreases return visits, readmissions and length of hospitalization in children with LT of any severity. The addition of nebulized epinephrine improves symptoms in children with moderate or severe LT, decreases the percentage of intubation and prevents respiratory failure. Timely intervention at the onset of the disease, decreases the severity of symptoms, medical attention in pediatric emergency services and hospitalization.

Keywords: RevSocBolPed2018; Croup; laryngotracheitis; laryngotracheobronchitis

INTRODUCCIÓN

El crup es un síndrome que incluye al crup espasmódico, (crup recurrente), laringotraqueítis (crup viral), La laringotraqueobronquitis (LTB) y la la ringotraqueobronconeumonitis.1 La laringotraqueítis es una infección aguda, progresiva, autolimitada, desencadenada por una infección viral aguda de la vía aérea superior que presenta disfonía (tos y voz), tos perruna o de foca y estridor inspiratorio, secundario a inflamación y edema de la vía aérea superior que provoca un estrechamiento de la región subglótica.2-3

A pesar de ser una infección benigna y autolimitada, en ocasiones puede causar dificultad respiratoria significativa que requiera intubación.3 La LT tiene una evolución favorable con una mortalidad menor al 0.5%, incluyendo a pacientes intubados.4

¿Qué es importante comentar de la epidemiología de la laringotraqueítis?

Si bien, la LT es la causa más frecuente de estridor que afecta al 3% de los niños entre los 6 meses y 3 años, alcanzando su mayor incidencia en el segundo año de vida, suele presentarse rara vez en mayores de 6 años y menores de 6 meses (casos atípicos). Los varones son más afectados que las mujeres con una relación de 1.5:1.5-9 A los 2 años, el 5% de todos los niños ha presentado LT.10 Es una enfermedad autolimitada que se presenta en niños inmunocompetentes. Tiene una distribución estacional (figura 1), usualmente la infección se presenta en los meses de otoño (virus parainfluenza) e invierno (virus sincicial respiratorio).5-9,11

Modificado de la referencia 11.

Figura 1. Distribución estacional de los casos de crup relacionada con la actividad epidemiológica de los virus en Bolivia 

La enfermedad se transmite por contacto directo de una persona a otra a través de las gotitas de saliva que contienen secreciones nasofaríngeas contaminadas y mediante fómites.12

Aproximadamente el 85% de los casos de LT son leves, y un porcentaje menor al 5% son hospitalizados, de los cuales sólo del 1% a 3% requieren intubación.1,4,13 Los estudios realizados con broncoscopía señalan que los pacientes con LT recurrente (más de dos episodios por año), se hallan asociados con factores de riesgo que incluyen: intubación previa, prematuridad, infección por papilomavirus humano y edad menor a 3 años.2,14 Aunque, la enfermedad por reflujo gastroesofágico y el asma son altamente prevalentes en pacientes con LT recurrente, ninguno se asocia con alteraciones a la broncoscopía.14 Asimismo, debemos aclarar que la LT solo se manifiesta en un pequeño porcentaje de los expuestos.15

El período de incubación de la infección por virus parainfluenza varía de dos a seis días, siendo capaz de producir infecciones esporádicas y brotes epidémicos. Si bien, el virus parainfluenza tipo 1 produce brotes de enfermedad respiratoria -en general LT- durante el otoño cada 2 años, el tipo 2, tiene similar comportamiento, aunque con menor frecuencia y menor gravedad. El virus parainfluenza tipo 3, en climas templados, usualmente ataca durante la primavera, verano y puede continuar en el otoño. Las infecciones por parainfluenza tipo 4 son reconocidas con menor frecuencia y asociadas con un rango de gravedad de leve a severa. La edad de la infección primaria varía de acuerdo al serotipo: el tipo 3 se presenta a menudo en lactantes y capaz de producir infecciones respiratorias bajas. La enfermedad que surge entre los 12 meses y 5 años tiene como responsables al tipo 2 y con menor frecuencia al tipo 1. La edad en que se adquiere la infección por el tipo 4 aún no está bien definida. Los niños inmunocompetentes con infección primaria por virus parainfluenza pueden diseminar el virus - inclusive - una semana antes de que se inicien los signos y síntomas clínicos, hasta una a tres semanas después de su desaparición.12

¿Cuáles son los virus que con mayor frecuencia producen laringotraqueítis?

La LT -en general- es una enfermedad causada por virus, los cuales son identificados hasta en un 80% de los pacientes.10 Entre los agentes que con mayor frecuencia producen LT, podemos mencionar al virus parainfluenza (tipos 1, 2, 3) que causa el 75% de las infecciones, siendo el tipo 1 el que infecta con mayor asiduidad al humano. Otros agentes virales que producen LT son: el virus influenza A y B, adenovirus, sincicial respiratorio, rinovirus, enterovirus y en ocasiones el virus del sarampión y al herpes simple (cuadro 1).4-6, El virus influenza es el responsable de los casos más severos y puede provocar una enfermedad del tracto respiratorio inferior muy grave.15 Si bien, rinovirus, enterovirus, virus herpes simple y reovirus pueden causar LT, no son motivo de gran preocupación. En la actualidad se ha asociado al coronavirus NL63, bocavirus y metapneumovirus humano como agentes causales de LT.2

En general, las infecciones bacterianas son complicaciones secundarias a LT por virus parainfluenza o influenza, donde el agente infeccioso más frecuente es el S aureus; sin embargo, otras bacterias como el Streptococcus pyogenes, Streptococcus pneumoniae, H influenzae y Moraxella catarrhalis pueden constituirse en patógenos.16

Muy rara vez se presenta una LT bacteriana y puede ser secundaria a infecciones por Mycoplasma pneumoniae y Corynebacterium diphtheriae en pacientes no inmunizados; sin embargo, suele manifestarse como laringotraqueobronquitis o laringotraqu eobronconeumonitis.2,10

Cuadro 1 Virus responsables de laringotraqueítis viral 

Muy frecuentes Frecuentes Ocasionales Raros
- Parainfluenza tipo 1 - Influenza tipo A

- Parainfluenza tipo 2 y 3

- Virus sincicial respiratorio

- Metapneumovirus humano

- Coronavirus

- Adenovirus tipos 1,2,3,5,6,7 y no especificados

- Influenza tipo B

- Bocavirus humano

- Coxsackievirus tipo A9 B4 y B5

- Ecovirus tipo 4,11 y 21

- Herpes simple

- Reovirus

- Papilomavirus humano

Modificado de la referencia 2

¿Qué debemos saber respecto a la patología y patogenia de la enfermedad?

La infección inicial es similar al de otra enfermedad respiratoria viral superior, comprometiendo las superficies epiteliales nasales y faríngeas.2 El sitio final de los cambios anatomopatológicos clínicamente importantes en la LT se encuentra dentro de la laringe y la tráquea, donde quizá se limite o continúe comprometiendo el árbol respiratorio inferior.2,17

Luego de la transmisión viral, se produce la infección del epitelio respiratorio de la nasofaringe, comprometiendo luego la laringe, la tráquea y en ocasiones bronquios.11,17 Los síntomas iniciales de obstrucción nasal e irritación de la faringe reflejan el sitio primario anatómico comprometido. El proceso infeccioso, inhibe la función ciliar de la tráquea y en ocasiones, inclusive puede provocar una destrucción importante del epitelio, infiltrando la lámina propia, submucosa y adventicia. Por ello, se produce una inflamación difusa con eritema y edema de la laringe y tráquea que conduce a una gran producción de moco y obstrucción de la vía respiratoria.2,17-18 La LT no complicada, produce una alteración en el intercambio gaseoso pulmonar, lo que provoca un desequilibrio en la ventilación/perfusión que conlleva en un inicio a una hipoxia secundaria a la obstrucción traqueal subglótica.5,19

A medida que el proceso inflamatorio compromete la permeabilidad de la vía aérea, el espacio subglótico a menudo se reduce a 1 ó 2 mm de diámetro.2,5 La obstrucción es mayor en la tráquea subglótica que es la porción menos distensible y la más angosta de la vía aérea superior al estar rodeada por el cartílago cricoides, con un anillo anterior estrecho y la lámina cuadrangular posterior de mayor tamaño.11 Cuando el flujo de aire pasa con dificultad por esta área estrecha, se producen los sonidos vibratorios agudos clásicos, o estridor, siendo más evidente durante la inspiración, porque en una vía respiratoria estrecha, la velocidad lineal alta del aire, crea una presión intraluminal negativa que disminuye aún más el lumen de las vías respiratorias extratorácicas, similar a cuando se absorbe a través de una bombilla o pajita parcialmente obstruida, que se colapsa por dentro. El colapso de las vías respiratorias se incrementa en los niños pequeños porque: las paredes de sus vías respiratorias se distienden con mayor facilidad, el cartílago cricoides es menos rígido, la mucosa es más laxa y posee mayor vascularización.5,11,17 La aparición de tos perruna o en ladrido de foca es secundaria a la inflamación de la laringe y tráquea.5

La obstrucción nasal y el llanto pueden agravar este estrechamiento dinámico de las vías respiratorias.5,11,17 A medida que progresa la enfermedad, la luz traqueal se halla obstruida pseudomembranas de exudado fibrinoso. Las cuerdas vocales con frecuencia presentan edema, lo cual altera su movilidad y conduce a la disfonía del niño.1-2

Si bien, en un inicio la obstrucción subglótica disminuye el volumen tidal (inspiración y expiración) del infante, se compensa aumentando la frecuencia respiratoria para mantener una ventilación alveolar adecuada. Cuando la obstrucción empeora, aumenta el trabajo respiratorio hasta que el niño se cansa y no puede mantener una respiración adecuada; el volumen tidal se reduce aún más y como la frecuencia respiratoria disminuye se produce hipoxemia e hipercarbia secundarias.11

Si la enfermedad obstructiva progresa, las pseudomembranas de exudado fibrinoso se extienden hacia el tracto respiratorio inferior (bronquios y bronquiolos), y se suscita una sobreinfección bacteriana secundaria, dando lugar a la laringotraqueobronquitis o laringotraqueoneumonitis. En el crup bacteriano la pared de la tráquea se halla ulcerada e infiltrada por células inflamatorias y con formación de microabscesos.2

Varios estudios sugieren que ciertos factores alérgicos juegan un rol protagónico en el crup recurrente, y cierta disposición atópica podría estar asociada a su desarrollo.12,20 De otra parte, los niños con LT causada por virus parainfluenza poseen títulos de anticuerpos IgE específicos (3,6 veces más) y liberación de histamina en las secreciones nasofaríngeas en relación a los infecciones respiratorias superiores causadas por el mismo virus. Los niños con crup recurrente tienen varias características en común con los infantes atópicos, por ejemplo, pruebas dérmicas positivas a alergenos del ambiente y es usual que desarrollen asma cuando crecen.21 En resumen, algunos niños con historia de LT viral recurrente presentan estridor con liberación de histamina.12

¿Cuándo debemos sospechar de laringotraqueítis?

Comencemos señalando que el diagnóstico de LT es sencillo y se lo realiza de manera confiable y segura con el empleo de la historia clínica y el examen físico.8 El inicio de la LT es gradual en un niño (a) sin apariencia tóxica17 y va precedida de un cuadro catarral (rinorrea, faringitis y fiebre leve) de 12 a 72 horas de duración.5,11,17, A medida que la enfermedad progresa, aparecen los signos y síntomas clásicos, con un inicio abrupto de la tos perruna o en ladrido de foca (no productiva) y disfonía, seguidas de estridor inspiratorio en actividad, de preferente inicio nocturno con evolución súbita o paulatina.8,19,22, Debemos enfatizar que la mayoría de los niños presentan disfonía y tos perruna sin evidencia de obstrucción respiratoria.17

Al examen físico, se observa a un niño que presenta disfonía, rinorrea con una faringe normal o levemente inflamada y ligero incremento de la frecuencia respiratoria.17 Cuando la obstrucción progresa, el estridor se hace evidente aún en reposo, se incrementa la frecuencia respiratoria (en general, sin superar las 50 respiraciones por minuto) y cardiaca, el estridor puede ser inspiratorio y espiratorio, agregándose retracciones de la pared torácica, más notables en las áreas supraclavicular y supraesternal, en ocasiones suelen acompañarse de una disminución del murmullo vesicular y signos de hipoxemia (palidez, sudoración, agitación o fatiga).11,17-18 En la fase tardía, es evidente el agotamiento con disminución del esfuerzo respiratorio, cianosis y somnolencia, signos premonitores de obstrucción completa que requiere intubación inmediata y ventilación mecánica para evitar el paro cardiorrespiratorio.18 Es habitual que el curso clínico típico de la LT remita rápidamente en menos de 3 ó 4 días, la tos se resuelve a los dos días, aunque suele persistir hasta la primera semana de iniciado el cuadro, de igual manera, en la mayoría de los niños el tono de ladrido del perro o foca característico se resuelve en 2 días.11,18,22 En general, no cursa con fiebre alta ni apariencia toxica o síntomas como sibilancias espiratorias, babeo, pérdida de la voz o dificultad para deglutir.11

¿Como se diagnóstica laringotraqueítis?

Para realizar los estudios de investigación de LT, se han utilizado escalas que permiten evaluar la severidad, la progresión y la respuesta terapéutica de la enfermedad; la más utilizada y popular es la publicada por Westley (Tabla 1). Sin embargo, al ser de escaso valor el empleo de escalas en la práctica clínica, el diagnóstico de la LT se basa en hallazgos clínicos, considerando -en especial- el grado de obstrucción.23-24

Tabla 1. Sistema de puntuación clínica de Westley 

Smith DK, McDermott AJ, Sullivan JF. Croup: diagnosis and management Am Fam Physician 2018; 97(9):575-80.

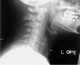
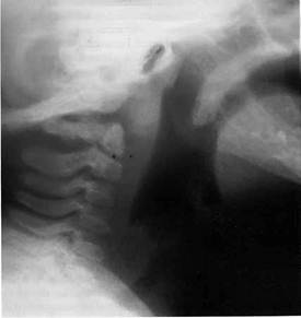
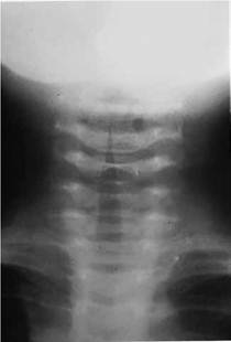
En la LT no complicada no es aconsejable realizar estudios de laboratorio y gabinete por ser su diagnóstico básicamente clínico.6,17 Por ello, la evaluación radiológica no es necesaria y solo debe ser considerada en situaciones específicas: a) en un niño con síntomas atípicos; b) si el diagnóstico no es claro; c) ante la sospecha de aspiración de cuerpo extraño; y d) cuando la respuesta al tratamiento usual no es satisfactoria.22 Cuando se realiza una radiografía anteroposterior de cuello, la imagen característica de la LT es una sombra o estrechamiento de la tráquea en el área subglótica (signo de “la aguja, en reloj de arena o del campanario”) de 5 a 10 mm que confirma el diagnóstico (figura 2). En la proyección lateral o de perfil del cuello puede observarse una sobre distensión de la hipofaringe y un estrechamiento por debajo de las cuerdas vocales que ayuda a descartar epiglotitis, absceso retrofaríngeo y aspiración de cuerpo extraño (figura 3). Cuando se realizan los estudios radiológicos, el niño debe ser monitorizado de cerca por un personal con habilidades y experiencia en el manejo de vías aérea difícil. Sin embargo, su realización se halla contraindicada cuando hay signos de obstrucción inminente.11,25 El valor diagnóstico de estos hallazgos radiográficos es cuestionable, porque no se observan en todos los casos de LT viral y se ha demostrado que su sensibilidad y especificidad son muy bajas para confirmar o descartar esta enfermedad.11

Figura2. El clásico signo de “la aguja” 

Figura 3. Sobredistensión de la hipofaringe 

La tomografía computarizada del cuello es una prueba imagenológica más sensible que los estudios radiológicos para definir la causa de la enfermedad obstructiva y debe considerarse en pacientes con sospecha de absceso, tumor o aspiración de cuerpo extraño.7,22

El cultivo de secreciones nasofaríngeas, permite el aislamiento viral, el virus parainfluenza puede ser identificado entre los cuatro y siete días o inclusive antes.12

Las pruebas rápidas para la detección de antígenos virales en las secreciones nasofaríngeas, incluyendo la de inmunofluorescencia, pueden ser útiles para identificar al virus en las secreciones nasofaríngeas; sin embargo, siempre debemos considerar la variable sensibilidad de cada una de ellas. En la actualidad se dispone de la reacción en cadena de polimerasa-transcriptasa inversa con alta sensibilidad y especificidad para detectar y diferenciar los virus parainfluenza.12

La mayoría de los niños con LT viral presenta una oximetría de pulso normal. La hipoxia y la baja saturación de oxígeno sólo se manifiestan al incrementarse la severidad de la enfermedad.22

El hemograma puede mostrar un recuento leucocitario normal o revelar datos inespecíficos (vg. leucopenia o leucocitos por encima de 10.000 mm3 con más del 70% de polimorfonucleares y eritrosedimentación acelerada).10,17 Sin embargo, puede ayudar a distinguir la LT de las infecciones bacterianas que cursan con estridor (vg. traqueítis, epiglotitis, absceso periamigdalino y absceso retrofaríngeo).7-8 Un recuento elevado de leucocitos mayor a 20.000 mm3 con presencia de bandas sugiere sobreinfección bacteriana o epiglotitis.17

Respecto al diagnóstico serológico debemos conocer que si bien, la respuesta homotípica es usual durante la infección primaria y se considera significativo el incremento del título de anticuerpos entre muestras de suero obtenidas en la fase aguda de la infección y la convalecencia, puede ser desorientador, porque con frecuencia se incrementan las concentraciones de anticuerpos heterotípicos (atribuibles a infecciones causadas por ejemplo por otros serotipos de virus parainfluenza y parotiditis). Además, la infección no siempre se acompaña de una respuesta homotípica y notable de anticuerpos. Poco se sabe de la respuesta de anticuerpos a la infección por el virus parainfluenza tipo 4.12

En general, los niños con LT viral no requieren visualización directa de la laringe; sin embargo, cuando existen síntomas sugestivos de epiglotitis o sí un paciente con presunta LT no responde al tratamiento médico o la evolución de la enfermedad es desfavorable, se aconseja solicitar una laringoscopía y broncoscopia directa para descartar traqueítis u otra patología de las vías respiratorias,22,26 de igual manera, cuando el niño presenta una respiración ruidosa o voz anormal durante los episodios de LT, en aquellos que cursan con procesos recurrentes y/o progresivamente más severos, si hay historia de estridor prolongado, en menores de 4 meses (descartar obstrucción anatómica), cuando existen antecedentes de enfermedad por reflujo gastroesofágico o si fueron intubados por cualquier razón en el período neonatal.22,26

¿Cuáles son las complicaciones de la laringotraqueítis?

Aproximadamente en el 15% de los pacientes con LT se presenta una complicación que incluye a la obstrucción laríngea, otitis media, deshidratación y en ocasiones neumonía intersticial y traqueítis bacteriana.18,22

El virus influenza A puede producir una LT severa que requiera traqueotomía o intubación en el 13% de los pacientes y se acompaña de una mortalidad asociada del 0% a 2.7%. Un pequeño porcentaje de niños con intubación prolongada o enfermedad severa puede desarrollar estenosis subglótica. Algunos estudios de seguimiento han demostrado un aumento de la hiperreactividad en vías respiratorias, en niños con antecedentes de LT.27

DIAGNOSTICO DIFERENCIAL

Si bien, menos del 1% de los niños con estridor de inicio agudo tienen otro diagnóstico, debemos pensar en una causa alternativa cuando el niño presenta un cuadro atípico -en especial- sino presenta tos en ladrido de perro o foca y disfonía, no responde a la terapia estándar o presenta mal estado general (cuadro 2).8

El antecedente de una evolución rápidamente progresiva, fiebre alta, ausencia de tos perruna o de foca, aspecto de enfermedad grave y babeo son propios de procesos bacterianos. Los niños con estos síntomas necesitan una evaluación y un tratamiento minucioso.11 Asimismo, existen varias alteraciones estructurales que pueden provocar obstrucción de vías aéreas superiores, las cuales son clasificadas de acuerdo al sitio anatómico comprometido.1

Cuadro 2 Diagnóstico diferencial de laringotraqueítis viral y condiciones clínicas asociadas 

Condición Rango edad típica Presentación Pruebas de diagnóstico
Laringotraqueítis 6 meses a 3 años Inicio agudo de tos perruna o en ladrido de foca, disfonía y estridor No se requieren
Traqueítis bacteriana 1 mes a 6 años Fiebre alta, tos perruna, dificultad respiratoria y rápido deterioro Radiografía de cuello (mucosa traqueal irregular) y hemograma
Epiglotitis 3 a 12 años Aparición aguda de disfagia, odinofagia, babeo, fiebre alta, ansiedad y voz apagada Radiografía de cuello (epiglotis engrosada) y hemograma
Aspiración de cuerpo extraño < 3 años Inicio agudo de asfixia o atragantamiento/ babeo Radiografía de cuello, tomografía de cuello y endoscopia de las vías respiratorias
Hemangioma < 6 meses Estridor que empeora con el llanto Endoscopia de las vías respiratorias
Lesiones importantes de vía aérea* Recién nacido a 4,5 años Episodios recurrentes de tos de foca o ladrido de perro y estridor Endoscopía de vía aérea
Neoplasia Sin predilección de edad Síntomas de vías respiratorias progresivos Radiografía lateral y tomografía de cuello
Absceso peritonsilar 6 meses a 3,5 años Odinofagia, fiebre, voz “papa caliente” Radiografía lateral y tomografía de cuello más hemograma
Absceso retrofaríngeo 2-6 años Fiebre, salivación, disfagia, odinofagia y dolor de cuello Radiografía lateral de cuello (prominencia en la pared posterior de la faringe), tomografía de cuello y hemograma
Crup espasmódico 3 meses a 3 años Recurrente, de corta duración, afebril, tos de foca o ladrido de perro No se requieren. Considerar broncoscopía y endoscopia en < 3 años
Lesión térmica/ inhalación de humo Sin predilección de edad Exposición al calor, humo o químico Faringoscopía directa

* Lesiones importantes de vías respiratorias incluyen: estenosis subglótica, hendidura laríngea, laringomalacia, traqueomalacia. Modificado de la referencia 1 y 28.

La epiglotitis bacteriana aguda es una infección severa, de inicio súbito que suele poner en riesgo la vida, es causada por el Haemophilus influenzae tipo b y afecta usualmente a niños de 3 a 12 años.1,28 Desde 1990 los casos de epiglotitis por H influenzae tipo b han disminuido ostensiblemente gracias al empleo de la vacuna pentavalente.17,29 Cursa con fiebre elevada, aspecto séptico, ansiedad, aprensión y dificultad para deglutir saliva (disfagia considerable) que produce un babeo; a la inspección se observa una epiglotis de color rojo cereza. El niño suele preferir quedarse sentado e inclinarse hacia adelante con el mentón hacia arriba y la boca abierta, para crear una vía aérea óptima (figura 4).17,28 La mayoría presenta dificultad respiratoria progresiva y a diferencia de la LT, el estridor inspiratorio y la disfonía son leves.28 La epiglotitis, es una indicación de tratamiento antibiótico inmediato e intubación en un entorno controlado, con el objetivo de establecer una vía respiratoria permeable.11

Figura N°4. Paciente inclinada hacia delante para crear una vía aérea óptima 

Como es de vuestro conocimiento la traqueítis bacteriana se presenta en niños de un mes a 6 años. Se inicia con síntomas prodrómicos de una infección respiratoria superior de pocos días de duración (temperatura leve y tos), seguidos de dificultad respiratoria progresiva, tos perruna con esputo purulento abundante, estridor y fiebre elevada. Los agentes causales más usuales son: S aureus, Moraxella catarrhalis, S pneumoniae y H influenzae tipo b.28 La radiografía lateral de cuello, muestra la presencia de membranas intraluminales e irregularidades en la mucosa traqueal (figura 5). Se diferencia de la LT viral porque cursa con fiebre elevada y un estado toxico-infeccioso severo y no responde al tratamiento con epinefrina nebulizada.28 La enfermedad puede progresar rápidamente hasta la obstrucción completa de las vías respiratorias.11

Figura N°5. Radiografía lateral de cuello que muestra La presencia de membranas intraluminales e Irregularidades en la pared traqueal 

El absceso retrofaríngeo (localizado entre la pared de la faringe posterior y fascia prevertebral), se presenta con mayor incidencia entre los 2 a 6 años. Se produce por inflamación supurativa de los nódulos linfoides de las cadenas paramediales que reciben drenaje de la nasofaringe, adenoides y senos paranasales posteriores.28 Los síntomas se inician después de una infección viral del tracto respiratorio superior, amigdalitis o faringitis, manifestando el niño fiebre alta, irritabilidad, la voz apagada, limitación para mover el cuello que se acompaña en ocasiones con hiperextensión y estado tóxico infeccioso que la distinguen de la LT. Al examen físico, la pared posterior de la faringe se encuentra visiblemente abombada, se aconseja evitar la palpación por el peligro de ruptura y drenaje de su contenido dentro la vía aérea superior.28,30 En general, no se manifiestan los signos característicos de las vías respiratorias superiores como disfonía y tos perruna.11 La radiografía lateral de cuello, muestra un aumento de volumen del espacio retrofaríngeo a la altura de la segunda vértebra cervical (normalmente de 3 a 6 mm) y una inversión de la lordosis normal de la columna cervical.28,30 La tomografía computarizada contrastada se constituye como la prueba imagenológica más precisa para mostrar las estructuras de la faringe posterior y la formación del absceso.30

Si bien, la difteria laríngea es una enfermedad rara en países industrializados, todavía, debe ser considerada en aquellos en vías de desarrollo con población pediátrica no inmunizada.11,31 En general, refleja la extensión de la infección faríngea y rara vez se manifiesta como una infección primaria. Los hallazgos son indistinguibles de los otros tipos de LT infecciosa con un inicio gradual, respiración ruidosa, estridor progresivo, disfonía y tos perruna; suele observarse retracción supraesternal, subcostal y supraclavicular que reflejan una obstrucción laríngea severa que puede ser fatal, a menos que sea tratada. En casos severos, la membrana puede extenderse hacia abajo e invadir todo el árbol traqueobronquial.32

El crup espasmódico se presenta en niños de 3 meses a 3 años. De inicio nocturno en un niño previamente sano o con signos de infección respiratoria superior. Los síntomas que lo acompañan comienzan de manera abrupta, continúan por varios días y predominan por la noche (tos perruna, estridor, pero sin fiebre). Los síntomas son el resultado de un súbito edema subglótico; el alivio se logra fácilmente con medidas generales y administración de aire húmedo. El crup espasmódico tiende a ser familiar con cuadros recurrentes en algunos niños.10,33 y con frecuencia se produce por una reacción alérgica a un antígeno viral.33

La aspiración de cuerpo extraño en vía aérea o esofágico, se presenta con frecuencia en el mismo grupo etario que la LT viral.8 Comienza con una repentina aparición de estridor, especialmente si hay antecedentes de ingestión o atragantamiento de un cuerpo extraño (perros calientes, cacahuetes, pan y monedas).5,8-9 A diferencia de la LT no cursa con un pródromos viral y la fiebre esta ausente a menos que curse con una infección secundaria.8 Cuando el cuerpo extraño se localiza en laringe o tráquea son patentes la: tos, disfonía o afonía, disnea y el estridor de inicio extremadamente rápido sin compromiso del estado general.5,33

La reacción de angioedema o alergia a menudo se asocia con un alérgeno agresor, tiene un inicio agudo y suele acompañarse de otros signos dermatológicos como edema facial, de labios, lengua, faringe y urticaria.5,31 En ocasiones se presenta compromiso de la vía aérea respiratoria superior con estridor y disnea que no se acompaña de fiebre.

En la parálisis de cuerdas vocales, el estridor es típicamente bifásico (inspiratorio y espiratorio). Cuando la parálisis es unilateral, el llanto del lactante es débil y no presenta dificultad respiratoria. Si es bilateral, la voz es de buena calidad, pero se observa una marcada dificultad para respirar.5 En un niño con historia de cirugía cervical o mediastino, incluyendo ligadura del conducto arterioso permeable, debe descartarse paresia de cuerda vocal.3

El diagnóstico diferencial con el estridor inspiratorio congénito incluye a: la laringomalacia que es la anomalía congénita más frecuente de la laringe y la causa congénita más común de estridor en infantes. Se produce por el prolapso de las estructuras supraglóticas dentro la vía aérea laríngea durante la inspiración y se manifiesta con un estridor principalmente inspiratorio en niños pequeños. A menudo, los síntomas no están presentes al nacer, el estridor sin disfonía se presenta en las primeras 2 semanas de la vida, cada vez más pronunciado en los primeros 2 a 4 meses, mejora en la posición prona y se hace manifiesto cuando el niño se alimenta, en posición supina y durante los períodos de agitación y llanto al aumentar el flujo de aire. Esta condición a menudo es autolimitada y típicamente se resuelve entre los 12 y 24 meses. Hasta un 80% de los niños con laringomalacia presentan reflujo esofágico y laringofaríngeo. En resumen, la presentación de un recién nacido con estridor progresivo que empeora durante la alimentación, en posición supina o cuando se halla agitado nos orientan al diagnóstico;3 b) la traqueomalacia que -en general- se presenta en el menor de dos años.6,18 Se trata de una anomalía del cartílago traqueal que permite el colapso dinámico de esta estructura durante la respiración. Puede deberse a un defecto intrínseco que debilita los anillos traqueales cartilaginosos típicamente rígidos (traqueomalacia primaria o tipo 1). Este defecto puede surgir de una fístula traqueoesofágica o policondritis del árbol traqueobronquial. El colapso de la vía aérea se observa durante la expiración cuando la presión intratorácica es positiva en relación con la luz traqueal. Suele mejorar con la edad del niño a medida que el diámetro de la vía respiratoria se incrementa. El diagnóstico definitivo se realiza durante la broncoscopia con el niño respirando espontáneamente. La traqueomalacia secundaria o de tipo 2 se produce por compresión extrínseca de la tráquea por vasos mediastínicos aberrantes, neoplasias o malformaciones linfáticas. En ocasiones, cuando la lesión extrínseca se encuentra en la tráquea cervical en lugar de ser intratorácica, los pacientes pueden presentar estridor inspiratorio o bifásico.3

La traqueomalacia tipo 3 se adquiere por inflamación prolongada o irritación. En general es secundaria a traqueotomía o intubación endotraqueal prolongada y en ocasiones por Irritación secundaria a reflujo laringofaríngeo o infección local.4

Los niños con traqueomalacia presentan estridor, sibilancias, tos perruna recurrente o infecciones respiratorias frecuentes.3

Finalmente, entre otras malformaciones congénitas que producen estridor congènito podemos mencionar: a la estenosis glótica, subglótica o traqueal, hemangioma subglótico (con o sin lesiones cutáneas) y los anillos vasculares; todas pueden producir estridor; sin embargo, nuevamente la persistencia de los síntomas orienta al diagnóstico.3

¿Cuándo debe internarse a un niño con laringotraqueítis?

Los criterios de hospitalización que deben ser considerados en un niño con LT se señalan en el cuadro 3.22

Cuadro 3. Indicaciones de hospitalización en niños con laringotraqueítis 

- Sospecha de epiglotitis

- Cianosis

- Depresión del sensorio

- Hipoxemia

- Palidez

- Estridor progresivo

- Dificultad para respirar

- Agitado o irritable

- Estridor en reposo

- Apariencia tóxica

Modificado de la referencia 23.

¿Como debemos abordar y tratar al niño con laringotraqueítis?

Todavía no se dispone de un tratamiento antiviral específico. La mayoría de las infecciones son autolimitadas y no requieren tratamiento.12 La terapia adecuada de la LT depende de la gravedad del niño (figura 6).11 Se aconseja monitorizar la hipoxia e hipercapnia en las infecciones más severas del tracto respiratorio inferior.12

Modificado de las referencias 1 y 8

Figura 6 Algoritmo del tratamiento apropiado de la laringotraqueítis en niños. 

Como en todos los pacientes, se debe priorizar el ABC (vía aérea, respiración, circulación). Un tratamiento oportuno disminuye la mortalidad y morbilidad asociadas a la LT. La terapéutica depende de la severidad de la enfermedad.6 En el niño hospitalizado se deben aplicar medidas de sostén ordenando reposo relativo o absoluto, si presenta fiebre suministrar antipiréticos, dejarlo en ayuno hasta su estabilización cardiopulmonar, brindando un aporte hídrico adecuado.5 Es importante mantener la calma y un ambiente de confianza para los padres y el niño. El infante debe estar cómodo y evitar que se altere o asuste, porque la ansiedad y el llanto pueden precipitar su agitación y aumentar la disnea, lo cual se logra sentando al niño en el regazo del padre o cuidador.8,11

Evite explorar la faringe con baja lenguas, porque podría provocar mayor obstrucción respiratoria. Administre oxígeno si la oximetría de pulso muestra una SaO2 < 90% o si la gasometría arterial informa una PaO2 es menor de 60 mmHg.5-6 Es importante observar y registrar en forma permanente los signos vitales.18 La severidad de la dificultad respiratoria puede ser usada para guiar u orientar el tratamiento de la LT en niños (figura 6). Los corticoides y la epinefrina racémica o L-epinefrina han demostrado ser eficaces.8

Utilidad de los corticoides en la laringotraqueítis. El empleo de la dexametasona ha demostrado reducir en un 50% las visitas de retorno y readmisiones;6,22,34 su acción para disminuir la dificultad respiratoria se inicia a la hora,36 su efecto continúa incrementándose en las siguientes 10 horas y dura al menos 24 horas.34-36 Acorta 15 horas la estancia hospitalaria y sus efectos adversos graves son poco frecuentes.34

La vía de administración del corticoide (oral, nebulizado o intramuscular) ha sido muy estudiada. Tres ensayos clínicos aleatorizados, compararon budesonida nebulizada versus dexametasona por vía oral o intramuscular y no encontraron diferencias estadísticamente significativas, en relación a la duración de la estancia hospitalaria (13h para budesonida y 12h para dexametasona intramuscular);37 la tasa de admisión hospitalaria fue de 35% para budesonida versus 17% con dexametasona intramuscular, p = 0.18),36 la puntuación clínica de la LT a las 4 horas tuvo una p = 0,70.38 En conclusión la dexametasona es el corticoide de elección y la budesonida se constituye en una buena alternativa y el tratamiento con cualquiera de los dos disminuye la severidad, la duración de los síntomas y el tiempo de hospitalización.12 La evidencia para el empleo de otros corticoides es limitada.

LT leve u obstrucción leve de la vía aérea (figura 6). El niño se encuentra feliz y puede beber, comer, jugar y manifiesta interés de su entorno.6 Presenta en ocasiones tos perruna o de foca, disfonía (tos y voz), estridor inspiratorio cuando desarrolla alguna actividad (ej. llanto, agitación física), sin retracción de la pared torácica en reposo, rara vez se ausculta taquicardia leve.6,8 Su tratamiento es ambulatorio (previa educación de los padres para reconocer signos de dificultad respiratoria y cuando deben buscar ayuda médica) con reposo relativo, alimentación fraccionada y dexametasona a 0.6 mg/kg, por vía oral y en dosis única.6,22 Si la evolución es favorable, se recomienda control en 24 horas por consultorio externo.18

En la LT moderada u obstrucción moderada de la vía aérea (figura 6). El niño puede ser calmado y es interactivo con la gente y su entorno. Presenta tos perruna o de foca frecuente, disfonía (tos y voz) con estridor audible, taquicardia y retracción de la pared torácica (supraesternal y/o intercostal) en reposo. No se advierten signos de hipoxemia (agitación o fatiga).6,8,11 Para disminuir los síntomas administrar dexametasona a 0.6 mg/kg/ por vía endovenosa o intramuscular en dosis única. Otra alternativa terapéutica es la budesonida, se trata de un glucocorticoide sintético, cuyo efecto, se inicia a los 30 minutos, disminuye el edema subglótico y por ende la permeabilidad vascular, se aconseja suministrarlo -por nebulización- 2 mg (4 mL), dosis/día, máximo 3 días.19,39-40 En la LT moderada debe observarse al paciente, por lo menos durante 4 horas.6 No se recomienda administrar de rutina epinefrina racémica o L-epinefrina nebulizada;1 sin embargo, se recomienda su empleo, cuando el niño pese a la administración del glucocorticoide, continua presentando estridor inspiratorio en reposo y retracción severa de la pared torácica, puede indicarse epinefrina racémica (constituida por una mezcla de los isómeros “d” y “l” de la epinefrina en una relación 1:1) nebulizada (2,25%), 0,5 mL en 2,5 mL de suero salino con un flujo de 8 litros de oxígeno durante 10 minutos, repetir cada 20 a 30 minutos en casos severos o cada 3 a 4 horas de acuerdo a evolución clínica. Otra alternativa es el suministro de L-epinefrina (potencia, inocuidad y eficacia similar a la epinefrina racémica) por nebulización (dilución al 1:1000) a 0.5 mL/kg/dosis (máximo 5 mL) en 5 mL de suero salino, repetir si es necesario.6,18-19,22 Ambos fármacos poseen la propiedad de estimular a los receptores alfa (vasoconstricción de la mucosa y disminución del edema subglótico) y beta-adrenérgicos (relajación del músculo liso bronquial), disminuyen el estridor inspiratorio y las retracciones intercostales luego de 10 a 30 minutos de ser administradas, y su acción tiene una duración de dos horas. Sus efectos adversos incluyen: taquicardia, palidez circumoral e hipertensión y deben usarse con precaución en pacientes con arritmias cardiacas.22 Está contraindicado su empleo en niños con obstrucción del flujo de salida ventricular (vg. tetralogía de Fallot).6

El niño, requiere ser observado durante 4 horas en el servicio de urgencias, si presenta mejoría, puede continuar su tratamiento en forma ambulatoria con las recomendaciones pertinentes (figura 6).22 De lo contrario, debe determinarse su admisión hospitalaria, y si presenta evolución favorable en las siguientes 24 a 48 horas, puede ser dado de alta y continuar su tratamiento en domicilio.18,22

En la LT grave u obstrucción severa de la vía aérea (figura 6). El niño se halla con tos perruna o de foca frecuente, disfonía (tos y voz), estridor en reposo permanente y muy acentuado, cansado, exhausto por la taquicardia severa y taquipnea; presenta disminución del nivel de conciencia (somnolencia, letargia), hipotonía y cianosis, signos tardíos de evidente y peligrosa obstrucción de la vía aérea. Pueden hallarse signos de hipoxemia (inquietud, palidez, sudoración y polipnea) que se acompaña de una conducta irracional al igual que retracción severa y marcada de la pared torácica (supraesternal e intercostal) y una disminución del murmullo vesicular.6,8,18 El paciente debe ser hospitalizado y recibir de inmediato oxígeno por mascarilla. De otra parte, si no recibió previamente, administrar epinefrina y dexametasona endovenosa a 0.6 mg/kg,11 si es necesario, repetir esta dosis (figura. 1). El corticoide sistémico disminuye la necesidad de intubación.6,18

Si no hay mejoría, pese a la administración del corticoide y epinefrina, el paciente es candidato a intubación endotraqueal (con un tubo más pequeño que el utilizado habitualmente para su edad).5 Luego de dos a tres días, se realiza la extubación cuando se verifica la salida de aire alrededor del tubo endotraqueal, previo tratamiento con dexametasona de 1 a 2 mg/kg, en dosis divididas cada 6 horas, 12 a 24 horas antes del procedimiento.28-29 Debe considerarse efectuar una broncoscopia cuando los síntomas sean atípicos, prolongados o recurrentes y no respondan al tratamiento médico o en aquellos pacientes que presenten LT fuera del rango de edad.5

El paciente con LT e insuficiencia respiratoria inminente presenta tos perruna o de foca con frecuencia no prominente debido a la fatiga, estridor audible en reposo o no audible o difícil de escuchar, retracción no marcada de la pared torácica (supraesternal e intercostal), letargia o disminución del nivel de conciencia y con cianosis si no recibe suplemento de oxígeno.8 En estos casos realizar intubación endotraqueal, corticoides y epinefrina.

En resumen, podemos señalar que la característica clave que distingue una LT leve de una moderada es el estridor en reposo; la ausencia de signos de hipoxemia permanente distingue la LT moderada de una grave; la ausencia de letargía o cianosis distingue la LT grave de la insuficiencia respiratoria inminente.8

¿Cuáles son las medidas de prevención más recomendadas?

Una adecuada prevención de la enfermedad, requiere medidas que atenúen la contaminación ambiental, (vg. exposición a humo de tabaco o combustión de carbón u otros productos afines), aseo escrupuloso de manos por el personal de salud, uso de barbijos en salas con riesgo de infección nosocomial y medidas educativas en la población infantil para evitar transmitir Infecciones respiratorias altas a sujetos sanos. También, es útil respaldar la inmunización universal contra el sarampión bajo programas vigentes.18

Aislamiento del paciente hospitalizado: además, de las precauciones estándar, se recomienda mientras dure la enfermedad efectivizar las precauciones de contacto para evitar la transmisión a lactantes y niños de corta edad hospitalizados. Los niños inmunocomprometidos internados en un nosocomio, deben ser aislados para evitar la diseminación de la enfermedad.12

REFERENCIAS

1. Smith DK, McDermott AJ, Sullivan JF. Croup: diagnosis and management Am Fam Physician 2018;97(9):575-80. [ Links ]

2. Cherry JD. Croup (laryngitis, laryngotraqueitis, spasmodic croup, laryngotracheobronquitis, bacterial tracheitis, and laryngotracheobronchopneumonitis) and epiglottitis (supraglottitis). In: Feigin and Cherry's Textbook of Pediatric Infectious Diseases, 7a ed. Philadelphia:Elsevier Saunders;2014: vol 2:241-61. [ Links ]

3. Virbalas J, Smith L. Upper airway obstruction. Pediatr Rev 2015;36 (2):62-72. [ Links ]

4. Johnson DW. Croup. BMJ Clin Evid. 2014; 348:0321. [ Links ]

5. Leung AD, Ellner JD Johnsosn DW. Viral croup: a current perspective. J Pediatr Health Care 2004;18:297-301. [ Links ]

6. Fitzgerald DA. The assessment and management of croup. Pediatr Resp Rev 2006;7:73-81. [ Links ]

7. Petrocheilou A, Tanou K, Kalampouka E, Malakasioti G, Giannios C, Kaditis AG. Viral croup: diagnosis and a treatment algorithm. Pediatr Pulmonol 2014;49(5): 421-9. [ Links ]

8. Bjornson CL, Johnson DW. Croup in children. CMAJ. 2013; 185(15): 1317-23. [ Links ]

9. Lee DR, Lee CH, Won YK, Suh DI, Roh SE, Lee MH, et al. Clinical characteristics of children and adolescents with croup and epiglottitis who visited 146 emergency departments in Korea. Korean J Pediatr 2015; 58(10): 380-5. [ Links ]

10. Cherry JD. Clinical practice. Croup. N Engl J Med 2008;358(4):384-91. [ Links ]

11. Bower J, McBride JT. Crup en la infancia (laringotraqueobronquitis aguda). En: Bennett JE, Dolin R, Blaser MJ, ed. Mandell, Douglas y Bennett's Enfermedades Infecciosas Principios y Práctica, 8va ed. Barcelona: Elsevier España, 2016; vol 1:789-93 [ Links ]

12. American Academy Pediatrics. Parainfluenza viral infections. In: Kimberlin DW ed. 2015 Red Book: Report of the Committee on Infectious Diseases 30th ed. Elk Grove Village, IL: American Academy of Pediatrics 2015:pp:586-8. [ Links ]

13. Zoorob R, Sidani M, Muray J. Croup: an overview. Am Fam Physician 2011;83(9):1067-73. [ Links ]

14. Hiebert JC, Zhao YD, Willis EB. Bronchoscopy findings in recurrent croup: a systematic review and meta-analysis. Int J Pediatr Otorhinolaryngol 2016; 90: 86-90. [ Links ]

15. Ottolini MG, Porter DD, Blanco JC, Prince GA. A cotton rat model of human parainfluenza 3 laryngotracheitis:virus growth, pathology, and therapy. J Infect Dis 2002;186(12):1713-7. [ Links ]

16. Cherry JD. State of the evidence for standard-of-care treatments for croup: are we where we need to be? Pediatr Infect Dis J 2005;24:S198-S202. [ Links ]

17. Malhotra A. Viral croup. Pediatr Rev 2001;22:5-12. [ Links ]

18 18. Parada O. Laringotraqueobronquitis. En: Rada J, Cordero D, Parada O, López M, eds. Infecciones respiratorias en niños. Diagnóstico y tratamiento. La Paz: Artes Gráficas Latina; 1996.p.50-9. [ Links ]

19. Fitzgerald DA, Kilham HA. Croup: assessment and evidenced based management. Med J Aust 2003;179:372-7. [ Links ]

20. Weinberg GA, Hall CB, Iwane MK, et al. Parainfluenza virus infection of young children: estimates of the population-based burden of hospitalization. J Pediatr 2009;154:694-9. [ Links ]

21. Williver RC. Croup: continuing controversy. Semin Pediatr Infect Dis 1995;6:90-5. [ Links ]

22. Knutson D. Viral croup. Am Fam Physician 2004;69:535-40. [ Links ]

23. Brown JC. The management of croup. Br Med Bull 2002;61:189-202. [ Links ]

24. Powell CVE, Atokell RA. Changing hospital management of croup: what does this mean for general practice?. Aust Fam Physician 2000;29:915-19. [ Links ]

25. Folland DS. Treatment of croup: sending home an improved child and relieved parents. Postgrad Med 1997;101:271-8. [ Links ]

26. Fox DP, Ongkasuwan J. Safety and usefulness of direct laryngoscopy and bronchoscopy in patients hospitalized with croup. Ear Nose Throat J 2018;97(8): E25 - E30. [ Links ]

27. Grief SN. Upper respiratory infections. Prim Care Clin Office Pract 2013;40:757-70. [ Links ]

28. Loftis L. Acute infectious. Upper Airway obstructions in children. Semin Ped Infec Dis 2006;17:5-10. [ Links ]

29. Hammer J. Acquired upper airway obstruction. Pediatr Resp Rev 2004;5;25-33. [ Links ]

30. Welliver RC, Wong DT, Middleton Jr E, Sun M, McCarthy N, Ogra PL. Role of parainfluenza virusspecific IgE in pathogenesis of croup and wheezing subsequent to infection. J Pediatr 1982;101:889-96. [ Links ]

31. Wald EL. Croup: common syndromes and therapy. Pediatr Ann 2010;39(1):15-21. [ Links ]

32. Stechenberg BW. Diphtheria. In: Feigin and Cherry's Textbook of Pediatric Infectious Diseases, 7a ed. Philadelphia:Elsevier Saunders;2014: vol 1:1301-11. [ Links ]

33. Brioso N. Differentiating stridor in children at triage: its not always croup. J Emerg Nur 2005;31:503-5. [ Links ]

34. Gates A, Johnson DW, Klassen TP. Glucocorticoids for croup in children JAMA Pediatrics 2019;173(6):595-6. [ Links ]

35. Dobrovoljac M, Geelhoed G. How fast does oral dexamethasone work in mild to moderately severe croup? A randomized doubleblinded clinical trial. Emerg Med Australas 2012;24:79-85. [ Links ]

36. Johnson DW, Jacobson S, Edney P, et al. A comparison of nebulized budesonide, intramuscular dexamethasone, and placebo for moderately severe croup. N Engl J Med 1998;339:498-503. [ Links ]

37. Geelhoed GC, Macdonald W. Oral and inhaled steroids in croup: a randomized, placebo-controlled trial. Pediatr Pulmonol 1995;20: 355-61. [ Links ]

38. Klassen TP, Craig WR, Moher D. Nebulized budesonide and oral dexamethasone for treatment of croup: a randomized controlled trial. JAMA 1998;279:1629-32. [ Links ]

39. Peltola V, Heikkkinen T, Ruuskanen O. Clinical courses of croup caused by influenza and parainfluenza viruses. Pediatr Infect Dis J 2002;21:76-8. [ Links ]

40. Russell K, Wiebe N, Saenz A, et al. Glucocorticoids for croup. The Cochrane Database of Systematic Reviews 2004 Issue I. Art N°: CD001955.pub2. DOI: 10.1002/14651858.CD001955.pub2 [ Links ]

Creative Commons License Este es un artículo publicado en acceso abierto bajo una licencia Creative Commons