INTRODUCCIÓN
La enfermedad de Paget vulvar es sumamente rara, representando menos del 1% de las neoplasias vulvares. Generalmente tiene un curso crónico y es altamente recurrente. La cirugía es el estándar de tratamiento; sin embargo, los decepcionantes resultados del tratamiento quirúrgico y la alta morbilidad, han llevado a buscar otras alternativas de tratamiento incluyendo radioterapia, vaporizaciones con láser de CO2 y quimioterapia entre otros. Todas ellas con resultados prometedores, aunque hay una necesidad de estudios prospectivos para explorar estos enfoques.
PRESENTACIÓN DEL CASO
Paciente de sexo femenino de 70 años, con antecedente de Enfermedad de Paget extramamaria a nivel vulvar desde el 2016 tratada inicialmente de manera alternativa con vaporizaciones en múltiples ocasiones, en total 8, sin éxito. En la consulta de primera vez con neoformación eritematosa, plana , en un área de 25 cm, que inicia en monte de venus y se extiende a ambos pliegues inguinales, afecta labios mayores y menores hasta la región interglútea, asociada a lesiones ulceradas, las mismas que se extienden a vagina y canal endocervical.
Los paraclínicos iniciales con Hb:13,8 g/dL, leucocitos 3300 mm3, plaquetas 161000 mm3, creatinina:0.6 mg/dl, Albumina 3,6 d/dL, proteínas totales 7.6 g/dL, DHL:107. La TAC inicial con engrosamiento cutáneo de los labios mayores, así como estriación de la grasa subcutánea, ganglios inguinales bilaterales menores de 10 mm. Cavidad uterina con lesión sésil de 23 mm en relación a mioma. La revisión de patología confirma enfermedad de Paget con focos de carcinoma invasor.
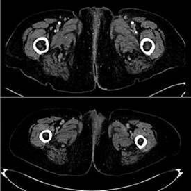
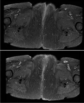
Se ofrece manejo local con radioterapia externa 50 Gy mas braquiterapia endocavitaria total 48 Gy. Presenta recurrencia local a los 7 meses de tratamiento siendo la misma irresecable. (fig 1) por lo que se inicia tratamiento sistémico con carboplatino AUC de 5 y paclitaxel a 175 mg/m2 . Tras 6 ciclos de tratamiento con respuesta parcial y disminución de más del 50% (figura 2B). La RNM con disminución de más del 80% de la lesión vulvar. (Fig. 2). Actualmente se encuentra en vigilancia, con mejoría clínica del dolor y la ulceración.
REVISIÓN DE LA LITERATURA
La enfermedad de Paget fue descrita por primera vez en 1874 por Sir James Paget como una neoplasia intraepitelial rara de la piel de la areola de la mama con asociación a adenocarcinoma ductal invasivo subyacente, presente en mujeres postmenopáusicas. El mismo autor sugirió que cambios similares también podrían verse en otros sitios intraepiteliales extramamarios . (1,2)
La primera descripción de enfermedad de Paget extramamaria (EMP) es ampliamente atribuido a Henry Radcliffe Crocker. En 1889 se informó lesiones en la piel en el escroto y pene con histopatológico casi idéntico como en la enfermedad de Paget mamaria. (8)
Histológicamente , la enfermedad de Paget evidencia células de Paget que típicamente son redondas, de citoplasma claro y contiene grandes núcleos pleomórficos, siendo el doble de tamaño de los queratinocitos circundantes. Se disponen individualmente, en nidos o glándulas dentro de la epidermis. Con pocas excepciones, las células de Paget tienen una alta proporción de mucina que se puede ver con PAS o la mancha azul Alcian dependiendo la composición de los mucopolisacáridos.(3,8)
Si las células Paget solamente se encuentran de manera intraepidermica, o en el epitelio de los anexos, es considerado como un carcinoma in situ. Si hay penetración de la membrana basal, el tumor es considerado un carcinoma anexial.(8) La histogénesis de EMP aún no ha sido completamente aclarada. Por estudios microscópicos parece indicar un origen glandular de las células de Paget (por ejemplo: aparatos de Golgi y gran numerosas mitocondrias, así como la presencia de microvellosidades y vacuolas secretoras). Por inmunohistoquímica, se caracterizan por ser positivos para: CEA (antígeno carcinoembrionario) y citoqueratinas de bajo peso molecular, como CK 7, PKK 1, GR 53 - 35 y Beta H 11 , lo que indica un origen glandular de Paget. Diferenciación con anticuerpos que marcan estructuras glandulares apocrinas, pero no ecrinas también es posible. Por lo que se incluyen positividad para AEA ( antígeno epitelial apocrino), HMFG 1 (glóbulos de grasa de la leche humana 1), y GCDFP 15 (proteína de enfermedad quística 15). Esto también apunta un posible origen en glándulas sudoríparas. Sin embargo, no se descarta la posibilidad de que las células de Paget se originen a partir de células madre pluripotentes. (8)
Se ha descrito también que alrededor de un 30% de los casos puede sobreexpresar el receptor del factor de crecimiento epidérmico HER2 Neu, sobre todo en pacientes que tuvieron una recaída después de la terapia.(8)
La enfermedad de Paget extramamaria se presenta sobre todo en vulva, seguido de la región perianal, perineal, escroto y pene. Menos frecuentemente la axila, nalgas, muslos, párpados y conducto auditivo externo.
La enfermedad de Paget de la vulva es una entidad clínica extremadamente rara que representa sólo el 1% de las neoplasias vulvares.(1) Muchos de sus aspectos clínicos y patológicos son controvertidos. Las principales controversias asociadas con la enfermedad de la vulva de Paget son la prevalencia de adenocarcinoma vulvar concurrente, la prevalencia de la enfermedad invasiva de Paget, y la recurrencia después de la escisión quirúrgica. Aunque los libros de texto citan rutinariamente una tasa de asociación a adenocarcinoma vulvar subyacente en el 15 a 20%; en muchas series de casos no se menciona ningún caso de adenocarcinoma concurrente a Paget. (4) También hay una asociación con otros tumores malignos en el 25% de los casos, sobre todo cáncer de mama, genitourinario, rectal, células basales y cáncer de cuello uterino.(5) De allí que las pacientes con enfermedad de Paget vulvar deben someterse a una búsqueda de otros tumores malignos, incluyendo al menos una colonoscopia, mamografía y Papanicolaou. Cualquier síntoma sospechoso de otros tumores malignos debe guiar una evaluación adicional.
Clínicamente, la enfermedad de Paget se presenta como un área eccematoide rosa con las islas blancas de hiperqueratosis que se acompaña de prurito en el 70% de los pacientes (1).
Muchas pacientes experimentan un retraso significativo en el diagnóstico, el intervalo promedio es de 20 meses a partir del inicio de los síntomas y el diagnóstico. Este retraso se produce con más frecuencia hasta que la lesión ha aumentado de tamaño y la gran mayoría de las pacientes son tratadas primero como una posible infección por hongos o vulvovaginitis atrófica antes de realizar una biopsia. (3)
La escisión quirúrgica es aceptada como la modalidad estándar de tratamiento para la enfermedad de Paget de la vulva. Históricamente, la cirugía consistía en una vulvectomía radical debido al riesgo de recurrencia y el riesgo de un adenocarcinoma subyacente.
Sin embargo, este tipo de cirugía extensa se asocia con desfiguración significativa y una persistente tasa de recurrencia (21-60%). Por lo tanto, muchos autores creen que hay poca ventaja de este tipo de cirugía y abogan por un enfoque más conservador.
Métodos de tratamiento no quirúrgicos, incluyen 5-fluorouracilo tópico, vaporización con láser de CO2, radioterapia, y aplicación tópica de Imiquimod al 5%, se han evaluado, con resultados mixtos . Aunque recientes informes de casos relacionados con el uso de tratamiento no quirúrgico son prometedores, hay una necesidad de estudios prospectivos para explorar estos enfoques .(1)
Aunque el papel de la radioterapia en la enfermedad de Paget es incierto, la radioterapia puede servir como una opción de tratamiento alternativo en pacientes seleccionados: pacientes con enfermedad recurrente que no son candidatos para la cirugía adicional, o para aquellos que ya han experimentado múltiples recurrencias.(3)
La vaporización con láser CO2 ha sido utilizado en algunos casos con éxito , pero tiene la desventaja de carecer de diagnóstico tisular, y se asocia con dolor post-operatorio prolongado significativo y altas tasas de recurrencia.(3)
El uso de 5-fluorouracilo tópico fue inicialmente exitoso, sin embargo, posteriormente se documentaron recurrencias después de la terapia. (8)
Imiquimod induce apoptosis en células de carcinoma de células basales. Sin embargo, el mecanismo de acción en la enfermedad de Paget extramamaria no ha sido explicado aún. En reportes de casos imiquimod es capaz de inducir respuestas completas y parciales tanto en la enfermedad de Paget vulvar primaria como recurrente. (6) Sin embargo, se requieren estudios prospectivos y aleatorizados con gran serie para confirmar los hallazgos.
Los resultados de la quimioterapia para enfermedad metastásica diseminada han sido decepcionantes, aunque un número limitado de informes de casos sugieren la eficacia de múltiples fármacos combinados de quimioterapia. (9)
En un reporte de 66 casos de enfermedad de Paget vulvar, la quimioterapia sistémica se utilizó como tratamiento de rescate para pacientes con metástasis a distancia. Esto incluyó la combinación de cisplatino (CDDP) + fluorouracilo, mitomicina C + tegafur /uracil y CDDP + epirubicina + paclitaxel. Aunque remisiones parciales se observaron en una minoría , todos los pacientes desarrollaron nuevas metástasis durante la quimioterapia. (8)
Recientemente se ha demostrado que docetaxel solo o en combinación produce remisión de metástasis ganglionares que habían fallado a múltiples regímenes de quimioterapia.(8)
La detección de HER2 / Neu en un subgrupo de los pacientes con EMP, similar a la terapia de HER2 / Neu de mama positivo cáncer, podría proporcionar un nuevo punto de partida para la terapia antiher, aunque no existen estudios al respecto. (8)
Las recurrencias de la enfermedad de Paget vulvar son elevadas (entre 21 a 60%). La recurrencia se define como la documentación histológica de enfermedad de Paget a los 12 meses o más después de la resección; persistencia de la enfermedad se define como documentación histológica en menos de 12 meses después de la cirugía. (3)
Los factores que influyen en la recurrencia son: localización de la enfermedad, asi enfermedad de Paget que implica el perineo lleva a un aumento de la tasa de recurrencia (p:0,044) y menor tiempo hasta la recurrencia (p = 0,018). Así, los pacientes que son diagnosticados con la enfermedad de Paget perineal debe ser considerado para un seguimiento más estrecho. El curso general de la enfermedad no se vio afectada por la presencia de invasión mínima o Frank. Sin embargo, las muertes registradas por enfermedad tiene la invasión del estroma profundo (3)
Existe una gran controversia sobre la influencia de márgenes quirúrgicos en la tasa de recurrencia. Algunos estudios encontraron que los márgenes positivos se correlacionan con una mayor tasa de recurrencia ,(4,5) conclusión que otros no llegaron (6,7). Sin embargo se sabe que pacientes con márgenes quirúrgicos negativos tienden a tener periodos libres de enfermedad más largos y menores tasas de recurrencia.(3)
El pronóstico de la enfermedad de Paget vulvar es generalmente favorable, aunque puede depender de la duración de la enfermedad y de la profundidad de invasión. De acuerdo a un análisis multivariado, el nivel de invasión fue el factor más importante asociado con una menor supervivencia. Con respecto a las características clínicas, la presencia de nódulos en la lesión primaria también se asoció con un corto tiempo de supervivencia. En contraste con la invasión, el tamaño del tumor no se asoció con un mal pronóstico.(9)
La tasa de mortalidad asociada a estos tumores es 13-18% y la supervivencia a los 5 años es del 72%.(8)
CONCLUSIÓN
La enfermedad de Paget vulvar es una entidad rara , a menudo diagnosticada de manera tardía por lo que siempre debe considerarse en el diagnóstico diferencial de pacientes con prurito vulvar e irritación.
El tratamiento estándar es la cirugía, sin embargo, debido a las altas tasas de recurrencia, nuevas modalidades de tratamiento se han ensayado, entre ellas: vaporización laser con CO2, radioterapia, terapia tópica con imiquimod y quimioterapia. Todas ellas con resultados prometedores, aunque hay una necesidad de estudios prospectivos para explorar estos enfoques.















