INTRODUCCIÓN
El Angiolipoma es una neoplasia benigna del tejido adiposo maduro y una variante histológica del Lipoma1),(2. Su localización más frecuente es a nivel subcutáneo de las regiones torácicas y de las extremidades; siendo su presentación menor a nivel de la cabeza y el cuello o de la región maxilofacial3),(4. Estas neoplasias benignas se clasifican en angiolipomas infiltrantes y no infiltrantes, las primeras se caracterizan por carecer de una cápsula, en contraste de las no infiltrantes que cuentan con una envoltura capsular que las separa de los tejidos vecinos5. En menor medida, su aparición se asocia a traumatismos masticatorios a nivel de la mucosa yugal de pacientes adultos; sin embargo, la mayoría de los casos reportados no han determinado una principal etiología para este tumor benigno en la región maxilofacial6),(7. Histopatológicamente está constituido por tejido adiposo maduro, acompañado de numerosos capilares sanguíneos con trombos de fibrina, envueltos por una capa de tejido fibroconectivo6),(8. La ultrasonografía, la punción y la aspiración con aguja fina, la tomografía computarizada contrastada y la resonancia magnética son medios utilizados para establecer el diagnóstico7),(8. El tratamiento de los angiolipomas localizados en la región maxilofacial consiste en la escisión quirúrgica intraoral, siendo la vía extraoral poco practicada por el defecto estético que deja en el rostro. Otras alternativas terapéuticas son la ablación por microondas, la liposucción y el láser con CO2 o KTP9),(10),(14.
Debido a que esta patología es poco frecuente en la región maxilofacial en la población pediátrica y asociada al cuerpo adiposo de Bichat, se presenta el caso clínico y se hace una revisión de la literatura.
DESCRIPCIÓN DEL CASO
Se trata de una paciente de 4 años de edad, sin antecedentes patológicos de importancia. Acude acompañada de su madre a la consulta de Cirugía Maxilofacial del Hospital del Niño “Dr. Ovidio Aliaga Uría” de la Ciudad de La Paz, por presentar cuadro clínico de 6 meses de evolución, caracterizado por la presencia de aumento de volumen en región geniana izquierda, que altera la estética facial.
Al examen físico, la paciente se encuentra en regular estado general, a nivel de la región geniana izquierda se evidencia un aumento de volumen, cuyos bordes son poco definidos y sin cambios de color y textura de la piel suprayacente, de consistencia blanda y no dolorosa a la palpación (Figura 1). A nivel de la mucosa yugal izquierda se observa un aumento de volumen con las mismas características extraorales, y el orificio de desembocadura del conducto parotídeo permeable (Figura 2).
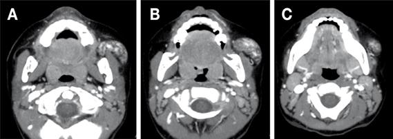
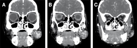
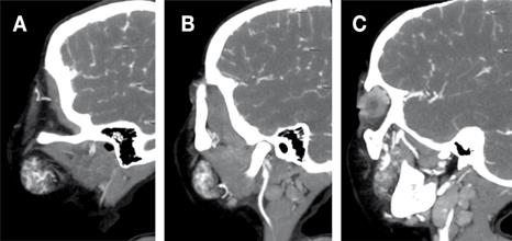
En la tomografía computarizada con contraste se evidenció en la región geniana izquierda, además de las regiones maseterina y pterigomaxilar, una lesión de densidad heterogénea, de predominio hipodenso, sugiriendo componente adiposo, de bordes definidos y delimitados por la fascia de los tejidos blandos vecinos, mide aproximadamente en su porción externa 32 x 17 x 29 mm (región geniano-maseterino) y su porción interna 18 x 13 x 28 mm (región pterigomaxilar), con un elemento vascular central importante, procedente principalmente de la arteria maxilar interna (Figura 3, 4 y 5).

Figura Nº3 . Vista axial de TAC que muestra masa heterogénea en las regiones geniana y maseterina izquierdas, anterior y lateral al músculo buccinador (A), lateral al músculo masetero (B) y que llega hacia abajo hasta el nivel del arco dentario mandibular (C).

Figura Nº4 . Vista coronal de TAC que muestra masa heterogénea en las regiones geniana y maseterina izquierdas, lateral al músculo buccinador que se extiende a la región pterigomaxilar (flecha).

Figura Nº5 . Vista sagital de TAC que muestra masa heterogénea localizada por debajo de la órbita (A), anterior al músculo masetero (B) y con importante vascularización por la arteria maxilar interna (C).
Posterior a la valoración de los datos clínicos e imagenológicos se decide su tratamiento mediante escisión quirúrgica bajo anestesia general, abordando la lesión mediante una incisión horizontal de 2.5 cm de longitud a nivel de la mucosa yugal izquierda, casi paralela a la línea de oclusión dentomaxilar y a 1 centímetro por debajo del orificio de desembocadura del conducto de Stenon. Seguidamente, se identificó al músculo buccinador para su posterior disección en el mismo sentido de la incisión mucosa, llegando a exponer la masa tumoral para su correspondiente exéresis, previa identificación del pedículo vascular procedente de la zona posterior (región pterigomaxilar), mismo que se liga. Luego del control de la hemostasia se concluye el procedimiento con puntos simples de sutura del plano muscular y mucoso (figura 6).
La recuperación postoperatoria de la paciente transcurrió sin incidentes y no se presentaron complicaciones como el sangrado postoperatorio, lesión de ramas del nervio facial, ni del conducto parotídeo.
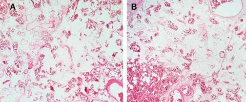
Histopatológicamente, la lesión estaba constituida por tejido adiposo maduro sin alteraciones de maduración ni diferenciación, sus células formaban grupos que eran interrumpidos por la presencia de bandas pequeñas de colágeno, onduladas, en grupos dispersos en toda la muestra. Los capilares también se encontraban dispersos junto a las células adiposas. No observaron criterios de malignidad. Por lo tanto, los hallazgos histopatológicos fueron compatibles con ANGIOLIPOMA (Figura 7).

Figura Nº7 . (H y E, 10 y 40x) Fotomicrografía panorámica (A) y acercamiento (B) observándose tejido adiposo maduro vascularizado.
Se realizó seguimiento de la paciente mediante la valoración clínica de la región intervenida, evidenciándose la ausencia de signos clínicos de recurrencia hasta la fecha (Figura Nº 8).
DISCUSIÓN
El Angiolipoma es una variante histológica del Lipoma. Su frecuencia es en las regiones del tronco y las extremidades en edades juveniles, siendo poco frecuente a nivel de la cabeza y el cuello10),(11.
No se ha reportado que los angiolipomas presenten una transformación maligna. Según estudios realizados, los angiolipomas se clasifican en encapsuladas (no infiltrantes) y no encapsuladas (infiltrantes), estos últimos se localizan en diferentes sitios anatómicos con tejido adiposo (79%) y con mayor frecuencia en niños y adolescentes, en tanto que los angiolipomas de tipo no infiltrante se presentan más comúnmente en pacientes mayores de 30 años de edad. Ambos tipos están caracterizados histopatológicamente por la presencia de adipocitos maduros y tejido angiomatoso con numerosos trombos, además de una cápsula que está presente en el tipo no infiltrante12, mismas características que encontramos en nuestra operatoria.
La causa de un angiolipoma se desconoce en la actualidad; sin embargo, el traumatismo es uno de los factores asociados, ya sea por el prolapso que sufre el tejido adiposo a través de la fascia adyacente luego del trauma o por la presencia de un hematoma, secundario a un golpe en el tejido blando con la diferenciación y proliferación de preadipositos mediadas por citoquinas6),(7),(126,7,12. En nuestro caso no se logró identificar una etiología traumatológica.
La ultrasonografía y/o aspiración con aguja fina permite el diagnóstico de esta patología según algunos autores; sin embargo, la tomografía computarizada contrastada o la resonancia magnética presentan mejores resultados diagnósticos; logrando evidenciar una lesión de densidad heterogénea con predominio hipodenso característico del tejido adiposo y una zona hiperdensa que representa al componente vascular del angiolipoma10),(13, con datos similares encontrados en el estudio tomográfico de la paciente.
El tratamiento es la escisión quirúrgica para ambos tipos de angiolipomas maxilofaciales (infiltrante y no infiltrante). Los abordajes intraorales son la mejor alternativa para lesiones localizadas en la región maxilofacial, asociada al cuerpo adiposo de Bichat. Existen otras alternativas terapéuticas como la liposucción y el láser con CO2 para lesiones múltiples y con láser KPT para procedimientos a través de la mucosa oral10),(14. Se ha reportado abordajes extraorales en angiolipomas intramaseterinas y en región parotídea15.
CONCLUSIÓN
La presentación del angiolipoma en la población infantil es poco frecuente y existe un número reducido de casos clínicos reportados a nivel maxilofacial. Además, se destaca la importancia de los estudios de imagen en el diagnóstico y tratamiento de estas lesiones, permitiendo identificar las relaciones de proximidad con las estructuras vasculares importantes con el fin de evitar posibles complicaciones transoperatorias.











uBio 





