Services on Demand
Journal
Article
Indicators
-
Cited by SciELO -
Access statistics
Related links
-
Similars in
SciELO
uBio
Share
Cuadernos Hospital de Clínicas
Print version ISSN 1562-6776
Cuad. - Hosp. Clín. vol.62 no.1 La Paz June 2021
ARTÍCULOS ORIGINALES
Valoración funcional postquirúrgico en fracturas de humero diafisiario acceso anterogrado versus retrogrado
Postsurgical functional assessment in diaphysiary humerus fractures retrograde vs. Anterograde access
Ossio-Ortube Alvaro X.1, Monasterios-Terán Eduardo A.2, Sagarnaga-Alcoreza Hugo D.3
1. Cirujano Ortopedista Traumatólogo - Sub Especialidad Cirugía Articular Reconstructiva Hombro Cadera Rodilla - Cirugía Reconstructiva colgajos Miembro superior Miembro Inferior - Traumatología Lesiones Deportivas - Servicio Traumatología Ortopedia - Complejo Hospitalario Miraflores "Hospital Clínicas" - La Paz Bolivia
2. Residente de Tercer año - Servicio Traumatología Ortopedia - Complejo Hospitalario Miraflores "Hospital Clínicas" - La Paz Bolivia 3. Cirujano Ortopedista Traumatólogo - Jefe de Servicio de Servicio Traumatología Ortopedia Complejo Hospitalario Miraflores "Hospital Clínicas" - La Paz Bolivia
Autor para correspondencia: Dr. Alvaro Xavier Ossio Ortube, Telf.(wup) 76547295, Dirección: Calle 19 Calacoto N°1250, La Paz - Bolivia correo: xalvos_med@hotmail.com
Recibido 14/05/2020 Aceptado: 10/06/2021
RESUMEN
INTRODUCCIÓN: Las fracturas de humero corresponden del 1 % al 2% de todas las fracturas en todo el cuerpo. La fractura de la diáfisis plantea problemas radicalmente distintos de los derivados de una fractura epifisaria. El hueso esponjoso diafisario es compacto, cuya consolidación se produce a través de mecanismos que contribuyen a la formación de callo de origen a la vez perióstica y endóstica. La reducción de una fractura epifisaria requiere gran precisión, mientras que el tratamiento de una fractura diafisaria debe tratar de respetar la longitud y los ejes del hueso y evitar cualquier desviación rotacional.
OBJETIVO: El objetivo de la investigación es determinar cuál es la vía de acceso en el enclavado endomedular de las fracturas diafisiarias que presente una mejor recuperación funcional y vuelta a los rangos de movimientos normales de la articulación comprometida en el acceso quirúrgico intraoperatorio.
MÉTODOS: Se realizó un estudio en 20 pacientes que cumplieron con los criterios de inclusión, siendo un estudio de tipo transversal, descriptivo, observacional, no experimental. Que tiene como delimitación temporal marzo 2018 hasta diciembre de 2019.Se usó la escala DASH para realizar la valoración funcional post quirúrgica comparando los resultados de los pacientes tratados por el acceso anterógrado o retrogrado.
RESULTADOS: Comparando ambas técnicas en el postoperatorio una vez consolidada la fractura mediante la escala DASH, la encuestada realizada a los pacientes mostró mayor discapacidad en el grupo anterógrado con puntuación de 38, el grupo retrogrado presento una puntuación de 15,2. Significancia asintótica 0,350 > 0,005.
PALABRAS CLAVES: Fractura, húmero, retrogrado, anterógrado, abordaje.
ABSTRACT
INTRODUCTION: Humeral fractures correspond to 1% to 2% of all fractures in the body. Diaphysis fracture poses radically different problems from epiphyseal fracture. The diaphyseal cancellous bone is compact, the consolidation of which occurs through mechanisms that contribute to the formation of callus of both periosteal and endosteal origin. The reduction of an epiphyseal fracture requires great precisión, while the treatment of a diaphyseal fracture should try to respect the length and axes of the bone and avoid any rotational deviation. The main objective of the research is to determine which is the access route in the endomedullary nailing of diaphyseal fractures that presents a better functional recoven/ and return to the normal ranges of movements of the compromised joint in intraoperative surgical access.
METHODS: A studywasconductedin 20 patientswhomet the inclusión criteria, being a cross-sectional, descriptive, observational, non-experimental study The time limit was March 2018 to December2019. The DASH scale was used to perform the post-surgical functional assessment comparing the results of patients treated by antegrade or retrograde access.
RESULTS: Comparing both techniques in the postoperative period, once the fracture was Consolidated using the DASH scale, the survey applied to the patients showed greater disability in the antegrade group with a score of 38, the retrograde group presented a score of 15.2. Asymptotic significance 0.350> 0.005.
KEY WORDS: Fracture, humerus, retrograde, antegrade, approach.
CONFLICTO DE INTERESES
Los autores declaran no tener ningún conflicto de intereses.
CONFIDENCIALIDAD
Los autores declaran que se obtuvo el consentimiento escrito de todos los pacientes, así mismo no se refleja el nombre de ningún paciente en el artículo.
INTRODUCCIÓN
Las fracturas de humero corresponden del 1% al 2% de todas las fracturas en todo el cuerpo1, las cifras mencionadas se relacionan con la presentación de este tipo de fracturas en nuestro Hospital. Tiene ciertas particularidades en la elección del tratamiento ya que, al no ser un hueso de carga, buena vascularización debido a los grupos musculares que lo rodean hacen que se pueda tolerar ciertos grados de deformidades los cuales no tienen influencia en la funcionalidad post-consolidación23.
Sin embargo, el largo proceso de consolidación y recuperación hace optar por el tratamiento quirúrgico en nuestro Hospital, para que de esta manera el paciente pueda retOmar a efectuar actividades deportivas, recreativas, intervenir en actividades sociales y sobre todo actividades laborales de manera precoz. La elección de la misma va en relación con la afinidad del cirujano por el implante y la experiencia.
El presente artículo de investigación tiene como objetivo principal evaluar cual acceso quirúrgico transoperatorio da una mejor valoración funcional post quirúrgica sobre la articulación en la que fue realizada el acceso; sea retrógrado o anterogrado.
Para conseguir este objetivo el cirujano ortopedista se enfrenta día a día con la decisión de que implante usar; placa o clavo.
La importancia del presente artículo da a conocer los resultados funcionales de nuestro servicio optando por el tratamiento de reducción a través del enclavado endomedular, dando a conocer como esta opción de tratamiento brinda una mejor rehabilitación del paciente con fracturas de humero diafisario añadiendo como influye el acceso quirúrgico en la recuperación post quirúrgica. Tomando en cuenta que el clavo tiene las ventajas técnicas de reducción a foco cerrado, mantiene intacto el periostio y presenta propiedades biomecánicas de carga compartida, lo que nos da como resultado una reducción biológica de la fractura.
La pregunta y/o problema principal del trabajo es: ¿Cuál sería la vía de ingreso que de mejores resultados funcionales post quirúrgicos?
El límite del presente trabajo se dirige a evaluar principalmente el resultado clínico/funcional en el posoperatorio de fracturas del eje humeral comparando ambas técnicas; tanto el ingreso anterogrado y retrogrado, así como complicaciones, dificultades, tiempo quirúrgico, dolor postoperatorio y balance articular. Se incluirán en el trabajo paciente a quienes se les realizo dicho procedimiento quirúrgico en el periodo comprendido entre marzo de 2018 y diciembre 2019. Para lo cual, realizamos un estudio no experimental, descriptivo, transversal, prospectivo, evaluando tanto la evolución y funcional mediante la utilización de la escala discapacidad del brazo-hombro-mano (DASH) una vez consolidada la fractura.
Los resultados obtenidos tienen como propósito final es establecer cuál es la mejor opción (técnica quirúrgica) para el paciente y de esta manera contribuir a la sociedad científica de ortopedia y sirva como guía en la decisión del cirujano de nuestro servicio u otros servicios al momento de planificar la cirugía tomando en cuenta los resultados postoperatorios de los pacientes que forman parte de este trabajo.
La elección del tipo de ingreso para el enclavado intramedular sigue siendo controvertido, especialmente para el posible deterioro residual del hombro y del codo, y depende del tipo de fractura, el tipo de clavo, así como la preferencia del cirujano4.
En enclavado retrógrado, que es totalmente extraarticular, ha obtenido excelentes resultados en términos de codo y la función del hombro5.
El enclavado por abordaje Anterógrada no es extra-articular, y su principal desventaja es que atraviesa el manguito de los rotadores y el cartílago articular de la cabeza del húmero6. Varios autores informan de resultados negativos con deterioro en la función del hombro cuando se utiliza el ingreso tradicional en el que el clavo se inserta en la unión entre el cartílago humeral y la tuberosidad mayor7. La incisión del manguito de los rotadores se produce en una zona con poca vascularización donde la reparación es difícil y donde el acceso al canal medular es menos lineal, lo que implica un mayor riesgo de fracturas iatrogénicas de la tuberosidad mayor8. Flinkkila et al. empleo abordaje anterógrado, observado resultados insatisfactorios a largo plazo para la función del hombro en el 37% de los casos9 y Riemer et al. observó deterioro de la función del hombro en 5 (41%) de 12 pacientes que se sometieron a anterógrado10.
ESCALA DASH
El sistema discapacidad del brazo-hombro-mano (DASH) evalúa los síntomas y el estado funcional de todo el brazo lesionado. Surge como iniciativa conjunta de la Academia Americana de Cirujanos Ortopédicos (AAOS), el Consejo de Sociedades de la especialidad musculoesqueléticos (OMSS), y el Instituto de trabajo y Salud (Toronto, Ontario)11, 12, 13.
El índice DASH es un instrumento válido y fiable para evaluar la recuperación después de múltiples lesiones de la extremidad superior14. Las puntuaciones DASH y Constant-Murley fueron evaluados por Mahabier et al. de fiabilidad, validez y sensibilidad. Ambos sistemas se caracterizaron como instrumentos válidos para evaluar los resultados en pacientes con una fractura de diáfisis humeral. Sin embargo, el sistema DASH fue encontrado superior, ya que mostró una mayor fiabilidad15.
En nuestro servicio la incidencia de fracturas diafisiarias de humero concuerda con la literatura, donde resulta de importancia hacer hincapié en el manejo de las fracturas de diáfisis humeral. Al no ser un hueso de carga tolera grados importantes de deformidad y acortamiento por lo que en muchos casos se propone el tratamiento conservador.
Sin embargo, en nuestro medio las necesidades independientes de cada paciente en sus actividades de la vida diaria, la importancia de requerimientos y recuperación funcional de la extremidad superior significa un punto importante para retOmar a entornos laboral de nuestros pacientes. Donde en relación a esto la opción de rehabilitar precozmente y un retorno del paciente a sus actividades de la vida diaria inclina la balanza hacia el tratamiento quirúrgico.
Existen muchas opciones en el tratamiento quirúrgico; reducciones abiertas, cerradas, técnicas mínimamente invasivas, así como utilización de placas o clavos intramedulares16. Teniendo este último ventajas como técnica de inserción cerrada, reducción biológica y propiedades mecánicas de carga compartidas hacen al enclavado intramedular la primera opción de tratamiento en nuestro servicio17.
Por lo cual resulta indispensable realizar un estudio el cual compare el enclavado endomedular humeral mediante el ingreso anterogrado y retrogrado, llegando a valorar los resultados clínico, funcional, factores intraoperatorios y complicaciones.
No existen estudios en nuestro medio que nos puedan orientar a la elección de la vía de ingreso del clavo teniendo en cuenta las ventajas y desventajas, por lo cual nace la inquietud de realizar este trabajo con el fin de contribuir la planificación y elección de la técnica operatorio que de mejores resultados postoperatorios a los pacientes con este tipo de fractura que son tratados en el servicio de Ortopedia y Traumatología de nuestro Hospital.
MÉTODOS
El objetivo general fue Identificar que vía de ingreso da mejores resultados funcionales en pacientes tratados con clavo endomedular en fracturas de diáfisis humeral.
Se realizó un estudio descriptivo - analítico, transversal, no experimental en pacientes operados en el Servicio Traumatología Ortopedia - Complejo Hospitalario Miraflores "Hospital Clínicas" - La Paz Bolivia mediante enclavado endomedular, los cuales cumplan y estén de acuerdo en ser parte del trabajo de investigación. Se maneja como "hipótesis nula" que existen diferencias funcionales según la vía de ingreso del clavo y como "hipótesis alterna" que no existen diferencias funcionales con el tratamiento ya mencionado.
El instrumento utilizado fueron las tablas impresas DASH que se realizó la lista de chequeo para determinar el puntaje obtenido, así mismo se usó en la exploración goniómetro para determinar los valores en grados de los rangos de movilidad de las articulaciones.
El método utilizado para obtener la población se basó en un muestreo no probabilístico, no aleatorio debido a que nuestra muestra son pacientes de ortopedia traumatología específicos con antecedente de fractura diafisaria de humero tratados mediante enclavado endomedular.
Los criterios de inclusión de la muestra se tomaron en cuenta edad mayor a 15 años, ambos sexos, aceptar participar del trabajo de investigación, pacientes con fractura de diáfisis humero (AO 12A1-12C3/), pacientes que fueron operados mediante enclavado endomedular, sin lesión neurológica pre quirúrgica. La muestra consta de pacientes con fractura de diáfisis humeral en el servicio de Ortopedia y Traumatología del Hospital de Clínicas que cumplan con los criterios de inclusión, en el periodo comprendido entre marzo de 2018 hasta diciembre 2019 que se les realizo tratamiento mediante enclavado endomedular.
La especificación del procedimiento se basó en la recolección de información tomada de los registros de consulta externa y de sala de internación, posteriormente se llamó o cito a los pacientes post operados para realizar la valoración funcional, instrumentos para realizar la valoración funcional.
Los instrumentos de información fueron historia clínica, protocolos operatorios, registros de anestesiología, pacientes hospitalizados en el servicio de Ortopedia y Traumatología.
Los resultados de la escala funcional de DASH, radiografías y la entrevista con pacientes siguieron la norma técnica del protocolo que se debe seguir al realizar la escala funcional.
Para el análisis de datos y resultados obtenidos se usó programa de análisis estadístico SPSS Tras hallar los resultados se los describirá mediante utilización de gráficos y cuadros.
TÉCNICA QUIRÚRGICA
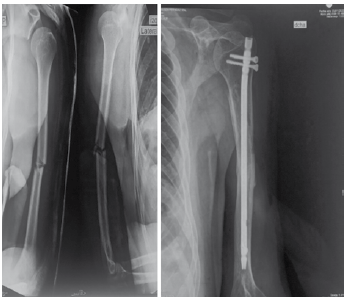
La técnica osteosíntesis indirecta a través del clavo endomedular para húmero UHN, con dos vías de inserción anterógrada y retrógrada; en ambos se determinó preoperatoriamente la longitud y diámetro del clavo. Técnica quirúrgica anterógrada: Se realiza abordaje lateral al acromion, disección de fibras del deltoides, se identifica tendón supraespinoso, incisión longitudinal del tendón, inserción de aguja de Kirschner y punzón iniciador hasta abrir cavidad medular, se introduce clavo previa reducción por maniobras externas del foco de fractura. Se procede a bloqueo distal a manos libres con control fluoroscópico y bloqueo proximal con guía de arco de inserción. Y reparación de músculo supraespinoso18. (Figura N° 1)
Figura N° 1. Radiografía con proyección anteroposterior y lateral donde se visualiza Fractura Humero diafisario izquierdo (imagen izquierda) Reducción indirecta mediante técnica de enclavado endomedular vía anterógrada. (imagen derecha)
Fuente: Propia
En la técnica por vía retrógrada se hace incisión en la parte posterior del codo a nivel de fosa olecraneana, disección roma de fibras del tríceps, perforaciones con broca 3.2 a 2.5 mm por arriba del borde superior de la fosa olecraneana y se amplían posteriormente con broca 4.5 en ángulo de 30°, posteriormente con fresa cónica, se procede a introducir clavo sólido humeral previa reducción por maniobras externas de la fractura, bloque proximal a manos libres bajo control fluoroscópico y bloqueo distal con guía de arco de inserción19 (Figura N° 2).
Figura N° 2. Radiografía con proyección Anteroposterior y lateral de humero donde se visualiza fractura Humero diafisario izquierdo (imagen izquierda) Reducción indirecta mediante técnica de enclavado endomedular vía retrograda (imagen derecha)
Fuente: Propia
Según el tipo de fractura y los hallazgos transoperatorio se puede utilizar el dispositivo de compresión20.
RESULTADOS
Los resultados muestran como primer punto los indicadores sociodemográficos en el total de pacientes 20, el mayor porcentaje corresponde al sexo masculino, teniendo una media de edad de 42 años, el lado más afectado fue el izquierdo.
Como antecedente se presentó el traumatismo indirecto en un 79% y traumatismo directo 21 %.
Por acceso anterógrado se trató en total 11 pacientes y por acceso retrogrado se trató 9 pacientes. Mediante vía anterógrada se decidió abrir el foco de fractura en 2 pacientes por preferencia del cirujano, el grupo anterógrado presento ausencia de consolidación (n=1), el mejor tiempo operatorio se inclinó hacia el procedimiento anterógrado. De los pacientes tratados 1 caso postoperatorio de lesión nerviosa periférica; vía anterógrada que en el control a sus 6 meses tuvo resolución del cuadro neurológico.
En la valoración funcional se inició cuando el paciente pase las 8 semanas post quirúrgicas para iniciar el protocolo.
Los resultados del objetivo es comparar ambas técnicas y tomando en cuenta las vías de abordaje de cada una por la escala DASH , observamos que existe mayor limitación articular mediante el ingreso anterógrado donde en promedio arcos movilidad articular alcanzado es de 94,8 grados de abducción de hombro (Sig. Asintótica 0,075 > 0,005) En contraste al grupo retrogrado se observó Arcos de movimiento articular completos (146,8 grados de flexión de codo) (Figura 3,4) (Cuadro 1)
Figura N° 3. Rangos de movimiento codo flexión y extensión post quirúrgico en paciente que se realiza abordaje retrogrado.
Fuente: Propio
Figura N° 4. Rangos de movimiento hombro abducción y flexión post quirúrgico en paciente que se realizó abordaje anterogrado.
Fuente: Propio
Cuadro N° 1. Arcos de movilidad de hombro y codo por ambas vías de abordaje en su post quirúrgico.

Fuente: Propia
Comparando ambas técnicas en el postoperatorio una vez consolidada la fractura mediante la escala DASH, la encuestada realizada a los pacientes mostró mayor discapacidad en el grupo anterogrado con puntuación de 38, el grupo retrogrado presento una puntuación de 15,2. Significancia asintótica 0,350 > 0,005.
Cuadro N° 2. Escala funcional DASH. Comparando ambos abordajes en su post quirúrgico al consolidar la fractura.

Fuente: propia
Los tratamientos utilizados son los adecuados y siguiendo los protocolos de manejo de las fracturas de humero diafisario.
DISCUSIÓN
La literatura en cuanto al enclavado endomedular tiene sus ventajas y desventajas al momento de realizar la osteosíntesis de la fractura, elegir la vía de ingreso del clavo depende del canal medular, el tipo de fractura, la posición de la fractura y, habilidad y experiencia del Cirujano Ortopedista. Sin embargo ¿Cuál es la vía de acceso que da mejores resultados funcionales para el paciente?
En el estudio que realizamos en pacientes de nuestra institución con fracturas ya consolidadas evidenciamos mejores resultados funcionales mediante el enclavado retrogrado según la escala DASH, de igual forma a la mensuración de arcos de movilidad en hombro vimos que los pacientes tratados por vía anterógrada tenían abducción del hombro en grados medios, en contraste a los con ingreso por el codo no presentaban limitación funcional. Lo encontrado demuestra que si existe diferencias funcionales descriptivamente y también estadísticamente donde los resultados concuerdan con la hipótesis nula.
Los mejores resultados se hallaban en el enclavado retrogrado, sin embargo, demuestra que es una técnica más exigente técnicamente, que requiere una curva de aprendizaje mayor al anterógrado para evitar complicaciones trans y postquirúrgicas.
Quizás los hallazgos obtenidos se deban a la lesión del manguito rotador, el ingreso articular que tiene el clavo en el hombro, y como se trata de lesión de un grupo muscular importante muchas veces los pacientes no realizan la rehabilitación postoperatoria adecuada.
Los mismos resultados funcionales se pueden encontrar en la bibliografía que en el acceso retrogrado al no dañar estructuras blandas como el manguito rotador no produce en la rehabilitación dolor ni limitación funcional, pero el riesgo de una fractura iatrogénica en el acto operatorio es mayor y que presenta más complicaciones posteriores.
Las limitaciones o dificultades que se presentaron durante el estudio radican en el no retorno de los pacientes a sus controles postoperatorios donde no se pudo tomar en cuenta a un pequeño número de pacientes. Cabe recalcar que el grupo anterógrado fueron operados por cirujanos del servicio y en el grupo retrogrado por un cirujano lo cual podría tener variaciones durante la técnica quirúrgica.
La importancia de hacer resaltar la funcionalidad de las articulaciones afectadas durante el acceso del clavo endomedular, sirve para individualizar el tipo de tratamiento de cada paciente. Por ejemplo, en un paciente que tiene una actividad funcional demandante y joven, puede decidirse en usar el abordaje anterógrado; que por su calidad ósea resistiría mejor ante posibles fracturas iatrogénicas así mismo no presentaría la limitación funcional en el hombro. Pero al tener un paciente adulto mayor donde la demanda funcional no es exigente se puede emplear el acceso anterógrado teniendo en cuenta que exista un dolor remanente en el hombro que puede tratarse con rehabilitación. Estos tips o resultados pretendemos que ayude a futuros colegas en la toma de decisiones en el manejo de este tipo de patología.
Las investigaciones futuras deberían centrarse en los beneficios que pesa contra las tasas de complicaciones de ambas técnicas, comparar los resultados funcionales con mayor seguimiento en el tipo y mayor número de pacientes para que de esta manera el estudio pueda servir como ayuda al momento de elegir cual sería la vía de ingreso que de mejores resultados funcionales para nuestros pacientes que son atendidos e intervenidos quirúrgicamente en el servicio de Ortopedia y Traumatología del Hospital de Clínicas.
CONCLUSIONES
Evidenciamos mejores resultados funcionales mediante el enclavado retrogrado según la escala DASH.
Los arcos de movilidad en hombro en pacientes tratados por vía anterógrada la abducción a grados medios resulta ser limitada, en contraste ingreso retrogrado no presentaban limitación funcional.
En la valoración funcional medida por la escala si existen diferencias funcionales, descriptivamente en los rangos de movimiento al realizar la valoración a través del acceso retrogrado vuelven a sus rangos normales en menor tiempo a diferencia del abordaje anterógrado.
REFERENCIAS
1. Rockwood and Green's Fractures in Adults, 9na Edición, Editorial Wolters Kluwer Health,2019 [ Links ]
2. George Bentley(Editor), European Surgical Orthopaedics and Traumatology, 1ra edición, editorial Springer-Verlag Berlín Heidelberg,2014 [ Links ]
3. Richard E. Buckley, Christopher G. Moran, Theerachai Apivatthkakul, AO Principies of Fracture Management, 3ra Edición,editorial Thieme, 2019 [ Links ]
4. Dr. DV Prasad, Dr. Parminder Singh, Dr. Nikhil M Ingle, et al, Comparative study of retrograde versus Antegrade nailing in humeral diaphyseal fractures, International Journal of Orthopaedics Sciences 2017; 3(4): 544-547 [ Links ]
5. Ivan Bencic, Tomislav Cengic, Jakov Preñe, et al, Humeral nail: comparison of the antegrade and retrograde application, Acta Clin Croat 2016; 55:110-116 [ Links ]
6. J. Blum, H. Janzing, R. Gahr, et al, Clinical Performance ofa New Medullary Humeral Nail: Antegrade Versus Retrograde Insertion, Journal of Orthopaedic Trauma 2001, Vol. 15, No. 5, pp. 342-349 [ Links ]
7. Christos Garnavos, Diaphyseal humeral fractures and intramedullary nailing: Can we improve outeomes?, Indian Journal of Orthopaedics, May 2011 \ Vol. 45, Issue 3 [ Links ]
8. Hao-Ren Cheng, MD, and Jinn Un, MD, PhD, Prospective Randomized Comparative Study of Antegrade and Retrograde Locked Nailing for Middle Humeral Shaft Fracture ,J Trauma. 2008;65:94-102. [ Links ]
9. Mayur Raí K, Vinay Vasu Bangera, Abhilash, Clinical Comparison of Antegrade and Retrograde Nailing in Fracture Humerus, Annals of International Medical and Dental Research 2017, Vol. 3, Issue 3 [ Links ]
10. Francesco Pogliacomi,Andrea Devecchi, Cosimo Costantino, et al Functional long-term outcome of the shoulder after antegrade intramedullary nailing in humeral diaphyseal fractures, SAPRINGER VERLAG Chir Organi Mov (20 Ikpeme JO: Intramedullary interlocking nailing for humera/fractures: experiences with Russell-Taylor humeral nail. Injury1994; 25(7): 447-445. [ Links ]
11. Hervás J, Collado MJN, Moreno SP, Pérez JLR, Matéu PL, Tello IM. Versión española del cuestionario DASH. Adaptación transcultural, fiabilidad, validez y sensibilidad a los cambios. Med Clínica. 2006;127(2):441-7. https:/ldoi.org/10.1157/13093053 [ Links ]
12. Eggers IM, Mennen U. The EFFUL (Evaluation of Function in the Flail Upper Limb) system. A ranking score system to measure improvement achieved by surgical recon-struction and rehabilitation. J Hand Surg Edinb Scotl. 1997;22(3):388-94. URL. [ Links ]
13. Hudak PL, Amadio PC, Bombardier C. Development of an upper extremity outcome measure: the DASH (disabilities of the arm, shoulder and hand) [corrected]. The Up-per Extremity Collaborative Group (UECG). Am J Ind Med. 1996;29(6):602-8. [ Links ]
14. Martínez AA, Herrera A, Cuenca J: Good results with unreamed nail and bone grafting for humeral nonunion: a retrospective study of21 patients. Act Orthop Scand 2002; 73(3):273-276. [ Links ]
14. MüllerME, AllgówerM, Schneider R, WillenegerH: Manual de Osteosíntesis. Tercera edición 1993 pp. 1-78, 42-445.
15. Orozco R, Sales JM, Videla M: Atlas de osteosíntesis fracturas de los huesos largos. 1a Edición 1998 pp. 9-27.
16. Robinson CM, Bell KM, et al: Locked nailing of humeral shaft Fractures Expeñence in Edinburgh over two-yearperiod. J Bone Joint Surg 1992; 74-B(4): 558-562.
17. Rommens PM, Blum J et al: Retrograde Nailing of humeral shaft fractures. Clin Orthop 1998; (350): 26-39.
18. Scheerlinck T, Hardelberg F: Functional outcome after intramedullary nailing of humeral shaft fractures: comparison between retrograde Marchetti-Vicenzi and undreamed AO antegrade nailing. J Trauma 2002; 52(1): 60-71.
19. SchmidtAH, Tampleman DC et al: Antegrade intramedullary nailing of the humerus complicated by heteropic ossificationof the deltoid: a case report. J Orthop Trauma 2001; 15(1): 69-80.
20. Ingman AM, Waters OH: et al: Locked Intramedullary Nailing of Humeral Shaft Fractures. Implant desing, surgical technique, and clinical results J Bone Joint Surg 1994; 76(1): 23-29

















