Services on Demand
Journal
Article
Indicators
-
Cited by SciELO -
Access statistics
Related links
-
Similars in
SciELO
uBio
Share
Cuadernos Hospital de Clínicas
Print version ISSN 1562-6776
Cuad. - Hosp. Clín. vol.53 no.1 La Paz 2008
EDUCACIÓN MÉDICA CONTÍNUA
¿ Cuál es su diagnóstico ?
Dra. Ruth Fernández Hinojosa*, Dra. Astrid Riveros Morón **, Dr. Delfo Carballo Montesinos ***
RESUMEN
PRESENTACION CLÍNICA
Niño de 8 años de edad que consulta por presencia de nodulaciones en región cervical izquierda de 6 meses de evolución, que aumentaron de tamaño progresivamente y se hicieron bilaterales. Sin antecedentes familiares ni personales de importancia. La ecografía informa nodulaciones en la cadena cervical posterior izquierda.
Al internarse para la toma de biopsia, se describe un paciente en buen estado general, se palpan adenopatías que siguen el trayecto de ambas cadenas cervicales, de predominio en la región cervical posterior izquierda, no dolorosas y adheridas a planos profundos. Signos vitales dentro de parámetro normales, con 25 kilos de peso, menor en 1 Kg al peso ideal. El hemograma muestra hematocrito 0,38 L/L, leucocitos 7.0 x 109/L con predominio de linfocitos 50 % y la presencia de 2 a 4 células atípicas; la serie roja con hipocromía y anisocitosis y VES de 34 mm la primera hora. La radiografía de tórax muestra hilios cargados y leve ensanchamiento del mediastino superior. La TAC de abdomen descubre una imagen hipodensa y redondeada en hígado. Se realizó aspirado de médula ósea que resultó normal.
DESCRIPCIÓN MACROSCÓPICA
Ganglio linfático de consistencia firme, ligeramente ovalado, bien encapsulado, de color amarillento, mide 1,5 x 1,5 x 1 cm. Al corte es blanquecino y homogéneo.
DESCRIPCIÓN MICROSCÓPICA
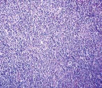
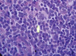
Histológicamente se observa un ganglio linfático con arquitectura totalmente alterada por proliferación interfolicular y paracortical, que borra los folículos y los cordones medulares. Esta proliferación está formada por eosinófilos, linfocitos pequeños, células plasmáticas y macrófagos, además de células grandes mononucleadas, binucleadas y polinucleadas. En estas últimas, los núcleos son grandes con cromatina laxa casi vesiculares con un nucléolo prominente acidófilo. Las células binucleadas presentan núcleos frente a frente, mostrando una imagen en espejo. No se observa necrosis y la cápsula es delgada pero infiltrada por linfocitos.
Fig 1.Ganglio linfático a menor aumento proliferación celular difusa

Fig 2.- Célula binucleada con nucléolos acidófi los prominentes y eosinófi los en la parte superior.

Fig 3.- Inmunohistoquímica positiva en la membrana y el citoplasma de las células binucleadas y otras mononucleares grandes

¿CUÁL ES SU DIAGNÓSTICO?
1.- Linfadenitis inespecífica 2.- Linfadenopatía por parásitos 3.- Linfoma de Hodgkin 4.- Linfoma no Hodgkin de células grandes
DIAGNOSTICO: LINFOMA DE HODGKIN CLASICO, VARIEDAD CELULARIDAD MIXTA
COMENTARIO
El linfoma de Hodgkin es una neoplasia que afecta generalmente a varones, con dos picos importantes por la edad, entre la primera y segunda década de la vida, 9 a 11 años, y en adultos jóvenes, 40 años aproximadamente1. En nuestro medio, la presentación en niños es más temprana, 4 a 5 años2, siendo extremadamente rara en niños menores de 2 años y constituye el 20 a 30 % de todos los linfomas3. Se prefiere la denominación de linfoma, pues es una verdadera proliferación neoplásica monoclonal, de células B originadas en las células centrofoliculares, que se acompaña también de una proliferación no neoplásica de polimorfonucleares, especialmente eosinófilos, linfocitos maduros pequeños, células plasmáticas e histiocitos4.
Generalmente se inicia con adenopatías cervicales en 60 a 80 % de los casos, siendo las presentaciones mediastinales y abdominales menos frecuentes; la presentación extraganglionar es extremadamente rara. Si existen síntomas estos son fiebre, sudor nocturno y pérdida de peso1.
Si antes se pensaba que existía un factor epidemiológico que lo hacía transmisible, actualmente se sabe que en una proporción hasta del 85 %, las personas con linfoma de Hodgkin tienen infección por virus de Epstein-Barr, especialmente en la variedad celularidad mixta5.
La clasificación también cambió en los últimos años y hoy se consideran dos variedades: el linfoma de Hodgkin predominantemente linfocítico nodular y el linfoma de Hodgkin clásico, este último continúa con los 4 subtipos: predominio linfocítico, esclerosis nodular, celularidad mixta y depleción linfocitaria6,7. El linfoma de Hodgkin con celularidad mixta se caracteriza por presentar una cápsula delgada, sin fibrosis ni en los septos internos, proliferación difusa de eosinófilos, linfocitos, células plasmáticas, polimorfonucleares e histiocitos, con células neoplásicas mononucleares o células de Hodgkin, células binucleadas típicas o de Reed-Sternberg, presente en la Fig 2, y escasas células lacunares con abundante citoplasma claro. Para el diagnóstico, es imprescindible encontrar la célula de Reed-Sternberg.
INMUNOHISTOQUIMICA
Para confirmar el diagnóstico, se realizaron tinciones de inmunohistoquímica con CD15, que es positivo en casi todos los casos de linfoma de Hodgkin, en la membrana y el citoplasma de las células de Hodgkin y las de Reed-Sternberg, así como el CD 30 que también tiñe las células de Reed-Sternberg. Si se hacen tinciones para células B, son positivas las poblaciones centrofoliculares y en alto porcentaje se puede confirmar la infección por EBV con el anticuerpo específi co LMP8.
REFERENCIAS
1. Warnke RA, Weiss LM, Chan JK, Cleary M, Dorfman RF. Tumors of the lymph nodes and spleen. Armed Forces Institute of Pathology. Electronic fascicle 2.0. Washington; 2003 [ Links ]
2. Base de datos. Laboratorio de anatomía patológica del Hospital del Niño, La Paz 1984-2007 [ Links ]
3. Dehner LP. Pediatric surgical pathology. 2nd ed. Baltimore: Williams & Wilkins; 1987; p.833-41 [ Links ]
4. H.Stein, Delsol G, Pileri S, Siad J, Mann R, Poppema S, et al. Hodgkin lymphoma. In: Jaffe ES, Harris NL, Stein H, Vardimen J, editors. Pathology & genetics. Tumours of Haematopoyetic and lymphoid tissues. World Organization Classifi cation of tumours. Lyon: IAR; 2001. p. 237-53
5. Chang KL, Albujar PF, Chen YY, Johnson R.M., Weiss LM. High prevalence of Epstein-Barr virus in the Reed-Sternberg cells of Hodgkin disease occurring in Perú. Blood 1993; 83; 496-501 [ Links ]
6. Harris NL, Jaffe ES, Stein H, Banks PM, Chan JK, Cleary ML, Delsol G, et al. A revised European-American Classifi cation of lymphoid neoplasms: a proposal from the International Lymphoma Study Group. Blood 1994; 84: 1361-92 [ Links ]
7. Anagnostopoulos I, Hansmann ML, Franssila K, Harris M, Harris NL, Jaffe ES, et al. European Task Force on Lymphoma proyect on lymphocyte predominance Hodgkin disease: histologic an inmunohistologic analysis of submitted cases reveals 2 types of Hodgkin disease with a nodular growth pattern and abundant lymphocytes. Blood 2000; 96: 1889-1899 [ Links ]
8. Marafi oti T, Hummel M, Foss HD, Laumen H, Korbjuhn P, Anagnostopoulus I, et al. Hodgkin and Reed-Sternberg cells represent an expansion of a single clone originating from a germinal center B-cell with functional immunoglobulin gene rearrangements but defective immunoglobulin transcription. Blood, 2003; 95: 1443-50 [ Links ]













