Services on Demand
Journal
Article
Indicators
-
Cited by SciELO -
Access statistics
Related links
-
Similars in
SciELO
Share
Revista de la Sociedad Boliviana de Pediatría
On-line version ISSN 1024-0675
Rev. bol. ped. vol.53 no.1 La Paz 2014
CASO CLINICO
Quiste coloide del tercer ventrículo en un niño. A propósito de un caso
Colloid cyst. Report of a case in a child
Drs.: Jorge Sejas Escalera *, Diego Salinas Encinas **
* Neurocirujano. Hospital del Niño "Dr. Ovidio Aliaga Uría".
** Residente en Pediatría. Hospital del Niño "Dr. Ovidio Aliaga Uría".
Correspondencia: Dr. Diego salinas, correo electrónico: diegosalen1@gmail.com
Conflicto de intereses: el presente trabajo no tiene conflicto de intereses.
Artículo aceptado para su publicación el 4/03/14.
Resumen
Los quistes coloides son lesiones congénitas e infrecuentes, con una frecuencia del 0,2 al 2 % de todos lo tumores intracraneales. Se presentan en adultos jóvenes y tiene predominio en varones. Normalmente esféricos u ovoides, tienen un tamaño que varía desde pocos milímetros hasta tres o cuatro centímetros de diámetro. Comienzan a ser sintomáticos en la adolescencia o edad adulta temprana. Las manifestaciones clínicas pueden ser intermitentes y poco específicas. Deben ser considerados entre los diagnósticos diferenciales de cefalea en niños y adultos jóvenes, puede ser causa temprana de hidrocefalia aguda y síntomas neurológicos inespecíficos. El tratamiento recomendado es su extirpación quirúrgica temprana. Se presenta este caso por su presentación ocasional y extraordinaria en edad pediátrica.
Palabras claves:
Rev Soc Bol Ped 2014; 53 (1): 17-20: Cefalea, quiste coloide, tercer ventrículo, hidrocefalia.
Abstract
The colloid cysts are infrequent congenital lesions of the brain. They are more frequent in adolescent and young adults, who present different clinical manifestation. The shape and size is variable. They should be considered in adolescent and young adults, it is common the early and acute presentation of hydrocephaly. We describe this case, because the unusual presentation in a child. The recommended treatment is the early surgical removal of the cyst.
Keywords:
Rev Soc Bol Ped 2014; 53 (1): 17-20: Headache, colloid cyst, third ventricle, Hydrocephaly
Introducción
Los quistes coloides son lesiones intracraneales congénitas originadas por tejido mal desplazado en la porción antero-superior del tercer ventrículo que interrumpen el libre flujo del líquido cefalorraquídeo (LCR) al obstruir de forma intermitente o prolongada el agujero de Monro. Son lesiones benignas e infrecuentes, suponen del 0,2 al 2% de todos los tumores intracraneales y representan del 15 al 20% de todas las masas intraventriculares1. Con una incidencia de tres personas por un millón en un año2. Se presentan en adultos jóvenes (entre los 20 y 40 años); tiene predominio en varones.
Normalmente esféricos u ovoides, tienen un tamaño que varía desde pocos milímetros hasta tres o cuatro centímetros de diámetro. Tienen cápsula fibrosa, con una cubierta epitelial y su crecimiento obedece a la acumulación del líquido proveniente de la actividad secretora de dicha capa epitelial, o de su descamación. Derivados del endodermo, algunos quistes coloides son enteramente quísticos y otros tienen una composición heterogénea compuesta por hemorragia antigua, cristales de colesterol y varios iones1.
La mayoría de los pacientes afectados permanecen asintomáticos2. Estos quistes comienzan a ser sintomáticos en la adolescencia o edad adulta temprana. Las manifestaciones clínicas que produce pueden ser intermitentes y poco específicas, y van desde una cefalea hasta signos evidentes de hipertensión intracraneal. En ocasiones pueden, en el curso de una hidrocefalia aguda, llevar a la muerte súbita1-3.
Los antecedentes de cefalea y el cambio en la semiología de la enfermedad, con manifestaciones de hipertensión intracraneal fluctuante, permite sospechar un quiste pediculado que obstruye de forma intermitente el agujero de Monro al actuar como un mecanismo de válvula1.
El quiste coloide es fácilmente detectado por una resonancia magnética craneal y por una tomografía computarizada, por su localización, forma o estructura. Un aumento del contraste es raramente visto en la tomografía computarizada, dado que el quiste es usualmente isodenso o hiperdenso. La densidad del quiste coloide depende del incremento de la viscosidad. La densidad del quiste es importante para planear la cirugía. El acercamiento estereotáxico o los procedimientos endoscópicos, no deberían ser la elección para quistes de gran viscosidad. Un quiste coloide puede presentar hipointensidad, isointensidad o hiperintensidad en la secuencia T1 de la resonancia magnética. Estas imágenes del quiste coloide dependen de la cantidad de sangre, hemosiderina, cristales de colesterol, fluido cerebroespinal e iones paramagnéticos dentro del quiste.
Caso clínico
Paciente de 7 años de edad, de sexo masculino, procedente y residente de la cuidad de La Paz.
Antecedentes perinatales, producto del primer embarazo, realizó controles prenatales, parto institucional eutócico, producto de 3.500 g y 52 cm talla. Desarrollo psicomotor adecuado.
Cuadro clínico de 3 días de evolución, caracterizado por cefalea frontal, de tipo pungitivo, vómitos gástricos al inicio, posteriormente de características sanguinolentas, secundarios a episodios de cefalea.
Al examen físico; Regular estado general, activo, reactivo, hidratado, normotérmico, piel y mucosas levemente pálidas. Cabeza normocéfalo, perímetro craneal adecuado para la edad, eminencias y depresiones fisiológicas conservadas, ojos simétricos, pupilas isocóricas, fotoreactivas al estímulo luminoso. Neurológico: activo, reactivo, sensibilidad superficial y profunda conservada. Sin rigidez de nuca, sin focalización. Resto de examen físico normal.
Fue internado con el diagnóstico de cefalea en estudio, síndrome emético y masa ocupativa intracraneana?
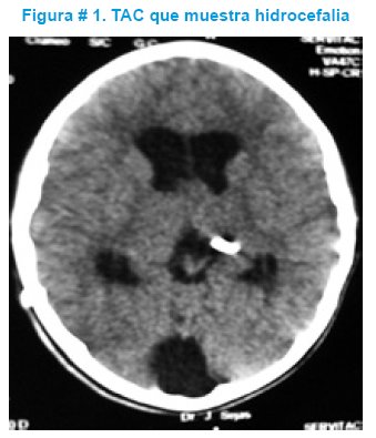
Los exámenes de laboratorio de rutina fueron normales. La TAC simple de cráneo informó hidrocefalia aguda severa, la misma que fue resuelta por una derivación ventrículo peritoneal, con evolución posterior favorable y fue dado de alta al 5to día post operatorio. Ver figura # 1.

Paciente realizó controles periódicos por consultorio externo, sin ninguna intercurrencia.
Aproximadamente dos años después presentó 8 días de cefalea holocraneana, de tipo opresivo, no irradiado, vómitos en proyectil, que no cedieron al tratamiento. Se solicitó TAC de cráneo que demostró hidrocefalia aguda y disfunción valvular. Llamó la atención la presencia de una imagen iso-densa sobre el III ventrículo, por ello se solicitó resonancia magnética nuclear de cerebro que mostró la presencia de un tumor en región frontal del ventrículo lateral a nivel septal, de bordes definidos, circular, que separaba ambas hojas del septum pellucidum y obliteraba los agujeros de Monro. Ver figura # 2.

Se planificó craneotomía frontal, con resección del tumor por vía frontal y transventricular y un post operatorio sin complicaciones.
El estudio informó: "material coloide, amarillo parduzco, sin evidencia de malignidad", confirmando el diagnóstico preoperatorio de quiste coloide del tercer ventrículo.
Fue dado de alta en buenas condiciones generales y neurológicas
Se presenta este caso por su presentación ocasional y lo extraordinario de su presentación en edad pediátrica.
Discusión
El quiste de coloide localizado en el tercer ventrículo fue descrito por primera vez por Wallman en 19581, durante el examen postmorten de un paciente que tenía incontinencia y perturbación en la marcha.
Al revisar literatura acerca del quiste coloide del III ventrículo, se hallan casos esporádicos aislados. Un informe realizado en cuba, el año 2009, por Sánchez Lozano A, presenta un caso de una paciente femenina de 18 años de edad, con cefalea de 2 años de evolución, cuya sintomatología fue empeorando sumándose datos de hipertensión endocraneana y ocasionalmente parestesias en miembros superiores. Al examen fondoscópico se evidenció papiledema bilateral1.
Estos datos no se correlacionan con el caso expuesto, dado que nuestro paciente es de sexo masculino, escolar, con sintomatología diferente a la descrita.
Un informe en Turquía del 2007, indica la asociación de quiste coloide con agenesia de septum pellucidum, en un varón de 37 años de edad, clínicamente presentó cefalea repentina y vómitos, la conciencia se deterioró hasta llegar al estupor y al examinarse el fondo de ojo, se evidenció papiledema. En este informe indican que los quistes no tratados pueden llevar al deterioro neurológico y a la muerte. Correlacionamos datos con un informe de una revista oncológica del Reino Unido, donde refiere el mismo desenlace en una paciente femenina de 17 años de edad, donde se diagnosticó el quiste coloide en la autopsia. Esta paciente adolecía cefaleas intermitentes por 2 años, y una noche después de presentar dolor en región media de la cabeza, se la encontró al día siguiente sin respuesta, sin respiración ni pulso. Durante la biopsia lo más relevante encontrado en el sistema nervioso central, fue un sistema ventricular dilatado, por aparentemente bloqueo del III ventrículo por un quiste coloide amarillo parduzco, que medía 1 cm en su máxima dimensión3. Otro caso fatal descrito en el American Journal of Neuroradiology, donde se reporta la presencia de un quiste coloide en un varón de 36 años de edad. Lo relevante del caso fue la historia de cefalea por 10 años, asociado a la presencia de luces brillantes en todos los campos visuales6.
Por lo expuesto, la signo-sintomatología del quiste coloide es variada haciendo difícil su detección.
Otros informes relatan impedimento del habla, paresias unilaterales, cefalea, hipertensión arterial y deterioro del estado de conciencia, crisis convulsivas tónico clónicas generalizadas, etc 3-6.
En resumen el quiste coloide del III ventrículo es infrecuente, pero debe ser considerado entre los diagnósticos diferenciales de cefalea en niños y adultos jóvenes aparentemente sanos. Recordar que puede ser una causa de hidrocefalia y otros síntomas inespecíficos asociados. Por lo tanto, el reconocimiento de los hallazgos clínicos se debe corroborar con exámenes imagenológicos, sobre todo la resonancia magnética nuclear. El diagnóstico temprano evita secuelas posteriores e inclusive la muerte.
Referencias
1. Sánchez A, Rodríguez MO, Rojas JO. Quiste coloide del tercer ventrículo. Presentación de un caso. Medisur 2009; 7: 52-5 [ Links ]
2. Carrasco R, Pascual JM, Medina-López D, Burdaspal-Moratilla A. Acute hemorrhage in a colloid cyst of the third ventricle: A rare cause of sudden deterioration. Surg Neurol International 2012; 3: 24 [ Links ]
3. Saravia GE, Criales JL, Martín CB. Quiste Coloide del tercer ventrículo. Gac Méd Méx 2004; 140: 563-5. [ Links ]
4. Shaktawat SS, Salman WD, Twaij Z, Al-Dawoud A. Unexpected death after headache due to a colloid cyst of the third ventricle. World J Surgi Oncol 2006; 4: 47-9. [ Links ]
5. Konya D, Gerçek A, Özgen S, Pamir NM. Colloid cyst with septum pellucidum agenesis: a case report and review of the literature. Marmara Med J 2007; 20:110-3. [ Links ]
6. Mamourian AC, Cromwell LD, Harbaugh RE. Colloid Cyst of the Third Ventricle: Sometimes More Conspicuous on CT than MR. Am J Neuroradiol 1998; 19: 875-8. [ Links ]













