Servicios Personalizados
Revista
Articulo
Indicadores
-
Citado por SciELO -
Accesos
Links relacionados
-
Similares en
SciELO
Compartir
Revista de la Sociedad Boliviana de Pediatría
versión On-line ISSN 1024-0675
Rev. bol. ped. v.43 n.2 La Paz jun. 2004
ACTUALIZACION
Derrame pleural paraneumónico en niños
Pleural fluid parapneumonic in children
Dr.: Carlos Max Luna Valdez*
* Pediatra. Residente Cirugía Pediátrica. Hospital Materno Infantil C.N.S.
Introducción
El derrame pleural es una entidad frecuente en edad pediátrica y mucho mas si es producto de una infección neumónica adyacente, cuyo diagnóstico tiene pautas bien definidas y el manejo conductas establecidas. La presente revisión tiene como fin recordar la pautas de manejo del derrame pleural en edad pediátrica.
Anatomía y fisiología
Es necesario realizar un breve recuerdo anatómico y fisiológico para comprender la patología.
La pleura se origina del mesodermo. Existen dos hojas; la visceral, la cual esta en intimo contacto con los pulmones y la parietal, que cubre costillas, diafragma y mediastino. Las dos pleuras forman un espacio virtual por la que se encuentra una pequeña cantidad de liquido (aprox. 1-5ml) que permite el movimiento de las superficies pleurales durante la respiración.(1-3) El paso de líquidos a través de la pleura depende de un fino equilibrio de presiones hidrostáticas y oncóticas entre ambas pleuras. La más importante diferencia entre la pleura parietal y visceral es que los capilares de la pleura visceral tiene la presión hidrostática de la circulación pulmonar, por lo que la presión neta de la pleura visceral es menor, lo que favorece al paso o absorción de liquido pleural hacia la pleura visceral, cualquier daño en el equilibrio lleva a cantidades variables de liquido pleural.(4)
Aspectos generales
La neumonía es una de la afecciones más frecuente en niños y esta se asocia de manera variable a derrame pleural en rango que oscila desde 36% hasta un 57%.(5)Cualquier derrame pleural asociado a neumonía bacteriana, absceso pulmonar o bronquiectasia se denomina derrame paraneumónico. La demora en la terapia apropiada es la responsable del aumento de la morbimortalidad.(6-9)
Alrededor del 50% de niños con derrame pleural paraneumónico son menores de 2 años, la mayor parte se presenta antes de los 10 años y el mayor índice de letalidad se encuentra en lactantes.(10)
Factores predisponentes
Según estudios de Lewis y colaboradores, se menciona que la mayor parte de los pacientes con derrame pleural estuvieron previamente sanos, sin embargo existen condiciones que influyen en el desarrollo de derrame pleural: niños con tendencia de cuadros aspirativos, niños con parálisis cerebral infantil, dismotilidad esofágica, hipogamaglobulinemia, enfermedades granulocitarias, etc.(7-9)
Microbiología
Actualmente el agente causal más frecuente en la producción de neumonía es el Streptococcus pneumoniae que se asocia a derrame pleural hasta un 40%. El Staphylococcus aureus causa el 10% de los derrames pleurales en el primer año de vida y es el que mayores complicaciones ocasiona. Aproximadamente un 10% de los paciente con neumonías causadas por H. Influenzae llegan al empiema, aunque actualmente el numero de casos se redujo debido a la vacunación universal contra este germen. El Micoplasma pneumoniae puede ser causa importante de derrame pleural especialmente en niños mayores de 8 años.(11)
Cuando se aísla S. Aureus meticilino resistente son generalmente pacientes con antecedentes de hospitalización, cirugía previa o presencia de catéteres centrales.(12)
Es importante recordar que por lo general los niños son tratados con uno o más antibióticos, por lo que el diagnostico bacteriológico definitivo es posible solo en un 60% en centros altamente especializados.(13)
Clasificación
Se clasifican en dos tipos: complicado y no complicado. Los no complicados son aquellos en los cuales se acumula liquido en el espacio pleural que se reabsorbe rápidamente una vez iniciada la terapia antibiótica; en los complicados el liquido acumulado en espacio pleural tiende a organizarse y requiere drenaje pleural para resolver la infección.
Etapas fisiopatológicas
Todo se inicia con la aspiración de microorganismos a los alvéolos subpleurales, donde se produce activación del macrófago alveolar, el cual fagocita el germen, lo procesa y expresa en su superficie, el complejo principal de histocompatibilidad luego comienza a producir factor de necrosis tumoral alpha (FNTa), interleucina 1 y 8 que es la que favorece la migración y adherencia de los polimorfonucleares al endotelio adyacente mediante moléculas de adhesión, estos comienzan la liberación de peróxidos y superoxidos, factor de necrosis tumoral, constituyentes granulares y fosfolípidos de membrana los cuales dañan el endotelio con aumento de la permeabilidad vascular. Esto ocasiona que la producción de liquido exceda a la reabsorción linfática pulmonar.
Los derrames pleurales atraviesan por tres etapas evolutivas que son:
Etapa exudativa. Respuesta inmediata en 48 a 72 horas, caracterizada por un exudado estéril, rico en proteínas con baja concentración de polimorfonucleares y que es secundario a un aumento de la permeabilidad capilar. El aspecto del líquido pleural es claro, seroso y fluye con facilidad.
Etapa fibrinopurulenta. Se caracteriza por una intensa inflamación pleural y proliferación bacteriana; se incrementa la acción de los polimorfonucleares con mayor producción de factor de necrosis tumoral e interleucina 8 la cual es mayor factor quimiotáctico.(12) La glucosa comienza a descender por aumento de la glucolisis por la fagocitosis de los polimorfonucleares, llegando a relación glucosa pleural /sérica inferior a 0,5. A consecuencia de los productos finales de la glucosa (CO2 y ácido láctico) el pH cae usualmente a menos de 7,0. La lisis celular produce incremento de valores de DHL hasta 1.000U/I. En esta etapa el liquido pleural se vuelve coagulable.
Etapa de organización o Empiema. Tanto la fibrina como el colágeno convierten el líquido pleural en compartimentos, sin tratamiento, la migración de fibroblastos continuara, el líquido de empiema se convierte en un coagulo purulento con abundantes detritus celulares y abundante deposito de fibrina. Si no es tratado en esta etapa (drenaje torácico), el empiema puede drenar a través de la pared torácica o hacia pulmón (fístula broncopleural).
El principio racional del manejo es identificar la etapa fisiopatológica e intervenir a tiempo y en forma adecuada para prevenir la progresión hacia el empiema.
Diagnóstico
Cuadro clínico. Los signos más comunes son: fiebre y dificultad respiratoria que se puede asociar con escalofríos, vómitos, anorexia y postración. En niños mayores puede encontrarse dolor torácico en la inspiración o con accesos de tos. En el examen físico; a la inspección se evidenciara dificultad respiratoria, a la palpación signo de Hoover (disminución de la expansibilidad del lado afectado), disminución de vibraciones vocales; a la percusión se detecta la curva de Damasou (matidez en la región afectada); a la auscultación egofonía (cambio de E por A) y soplos pleurales.
No existen patrones clínicos específicos para diferenciar un derrame pleural complicado de uno no complicado.
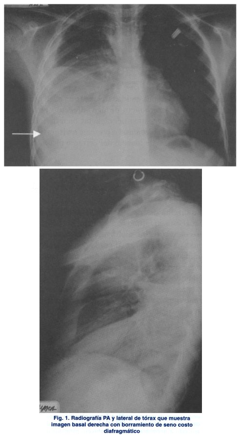
Radiología. Las proyecciones solicitadas deben ser antero-posterior y lateral. El primer hallazgo es el borramiento del ángulo costo frenico, en los niños se requiere mas de 40cm3 de líquido para que pueda verse radiológicamente. Con las proyecciones en decúbito lateral se pueden revelar pequeñas cantidades de líquido pleural, no visibles en proyecciones frontales.
Ultrasonido toráxico. Puede indicarnos las características del líquido pleural. Las imágenes complejas indican liquido pleural purulento y presencia de detritos celulares, también es de gran utilidad en caso de la existencia de tabicaciones para facilitar la toracocentesis.
Tomografía computarizada. Ha sido reemplazada por la ultrasonografía como procedimiento de imagen de elección en el niño con derrame pleural.
Laboratorio. El análisis del liquido pleural sigue siendo la prueba diagnóstica más útil para identificar el estadio de la efusión paraneumónica.
Light el año 1972 formuló pautas para clasificar a los derrames pleurales en: exudados y trasudados. Estas pautas se conocen como criterios de Light:
a) Relación proteínas pleura/proteínas plasma >0.5.
b) Relación DHL pleura/DHL sérica >0.6.
c) Glucosa pleural > 2/3 de la glucosa sérica.
Los principales indicadores a tomar en cuenta son:
- Recuento de leucocitos: cuando hay más de 10.000 leucocitos puede pensarse en derrame pleural paraneumónico.
- DHL que indica el grado de inflamación de la pleura, no sirve para diagnóstico diferencial, si es exudado, la DHL sugiere que es paraneumonico o maligno.
- Glucosa sirve para el diagnóstico diferencial de exudado, cuado se encuentran valores bajos se deben a consumo excesivo por parte del metabolismo celular o bacteriano. En los derrames paraneumonico complicados, valores menores de 40mg/dl son indicadores de drenaje.
- Amilasa cuando los valores están elevados indican enfermedad pancreática, rotura esofágica o neoplasia.
- El pH bajo, incluso por debajo de 7.2 en derrames paraneumónicos complicados, cuando es menor a 7.1 es indicación de drenaje.
- Adenosin deaminasa (ADA) es útil en el diagnóstico de tuberculosis aunque las colagenopatias pueden incrementar los niveles.
- Se deben realizar estudios microbiológicos de rutina en todo líquido pleural obtenido, que incluyan tinción Gram y cultivos.
- Colesterol suele ser mayor de 60mg/dl en los exudados.
Tratamiento
Antibióticos. Se administrarán antibióticos dependiendo de la epidemiología de cada agente etiológico; ya sea penicilinas si se sospecha de neumococos sensibles, cefalosporinas de tercera generación en sospecha de H. Influenzae y en caso de stafilococcus Aureus usar cloxacilina. Se deberá valorar uso de vancomicina en infecciones por stafilococcus meticilino resistente o pneumococo resistente.
En caso de empiemas la elección de antibiótico debe basarse según la sensibilidad del agente causal, identificado por cultivo. La infección por neumococo responde habitualmente a penicilinas, cefotaxima o ceftriaxona, pero puede ser necesario el uso de vancomicina en caso de resistencia; el H. Influenzae responde habitualmente a cefotaxime, ceftriaxona, ampicilina o cloranfenicol.(10-12) El uso de aminoglucósidos no esta indicado por que puede ser inactivado por la presencia de exudado; que produce acidosis del líquido pleural o PO2 baja, además que la penetración al espacio pleural es muy escaso. Sin embargo tiene su excepción en empiemas por Pseudomonas en las cuales asociado a una cefalosporina como ceftazidime son el esquema adecuado.
El paciente con empiema debe recibir tratamiento antibiótico prolongado; no menor a 21 días.(13) No es preciso instilar antibióticos directamente al espacio pleural, pues se alcanzan niveles terapéuticos adecuados luego de su administración sistémica.
Toracocentesis. Debe realizarse toracocentesis en todo derrame pleural que acompañe a una neumonía; puesto que el manejo dependerá de las características del líquido pleural. El sitio de toracocentesis elegido será el 3er y 5to espacio intercostal, línea axilar anterior, aunque en caso de derrames loculados la toracocentesis debe dirigirse al sitio donde por percusión o estudio radiológico se evidencien signos de derrame.
Debe intentar extraerse la mayor cantidad de líquido posible.
Si el liquido pleural tiene un pH superior a 7.2 y la glucopleura es mayor a 40mg/dl, no precisa drenaje pleural y la evolución será a la resolución con uso de antibióticos adecuados.
Drenaje toráxico. Se toma la decisión de drenar el espacio pleural cuando el análisis bioquímico del liquido pleural es compatible con exudado con pH menor a 7.2, glucosa menor a 40mg/dl, DHL mayor a 1.000 U y existe dificultad respiratoria. Si el líquido pleural es purulento, el diagnostico de empiema esta establecido y requerirá drenaje pleural. En ocasiones se presentan situaciones menos claras, en las que el pH oscila entre 7.09 y 7.2 con DHL elevada y glucopleura mayor a 40mg/dl, en las cuales el tratarla o no como derrames complicados o no depende del pH. Si este es cercano a 7.09 se debería tratar de inmediato como derrame complicado, si es más próximo a 7.2, se debe realizar una nueva determinación pasadas las 24 horas. Si la tinción Gram o cultivo son positivos la actitud es similar a la del empiema; aunque el líquido pleural no sea claramente purulento.
La elección del diámetro del tubo será el que se adecue al tamaño del espacio intercostal de manera que no comprima el paqueta vasculonervioso intercostal. Puede realizarse bajo anestesia local o general. El sitio de inserción recomendado el tercer al 5to espacio intercostal y línea axilar anterior. La introducción deber ser rápida y firme, dirigiendo el tubo hacia el vértice pulmonar y colocarse a un sistema de sello de agua con uno o dos frascos. Succión negativa de 10 a 20 cmH2O aplicados a sistema cerrado de tubo torácico facilita el drenaje en presencia de pus densa.(14)
La remoción del tubo se realiza cuando: el líquido es seroso, el estudio radiológico muestra una evacuación mayor a 95% del derrame con expansión adecuada del pulmón , la eliminación de líquido es menor 20-40ml por día, la oscilación del tubo es menor a 2cm (niños mayores), no hay burbujeo en el frasco de colección y lo más importante cuando hay mejoría clínica.
Debridación toracoscopía. La toracoscopía, es terapéutica; para el empiema, es uno de los avances en cirugía, existe poca experiencia en niños. Los pacientes sometidos a esta técnica, comparado con los sometidos a decorticación permanecen menos tiempo con tubo pleural y la recuperación post-operatoria es menor.(15-18).
Drenaje abierto y decorticación: son procedimientos muy agresivos que tienen sus indicaciones precisas(17):
a. Persistencia de dificultad respiratoria.
b. Sepsis pleural persistente.
c. Estadio de organización o empiema loculado.
d. Estadio fibrinopurulento mantenido.
e. Fístula broncopleural de bajo gasto que se prologa más de 3 semanas.
f. Fístula broncopleural de alto gasto.
Existen factores predictivos que identifican la severidad de la enfermedad pleural descritos por Neblet(18) y col., y son:
- Disminución del pH y glucosa pleural con relación al pH de ingreso.
- Presencia de escoliosis severa a moderada.
- Paquipleuritis severa o atrapamiento de parénquima pulmonar (encarcelamiento pulmonar) demostrado por estudio radiológico.
La neumonía en niños esta fuertemente influenciada por la virulencia bacteriana. La toracotomia de tubo y una terapia antibiótica apropiada siguen siendo efectivas en neumonías sensibles, efusiones pleurales y empiemas simples. Los derrames pleurales complejos, mas frecuentemente en pacientes con resistencia bacteriana a antibióticos de primera línea , son tratados efectivamente con cirugía precoz.(19)
Instilación de fibrilinoliticos intrapleurales
En la ultima década se han utilizado instilación de agentes fibrinoliticos. Los primeros reportes fueron de Tillett y Sherry en 1949, con poca experiencia en pacientes pediátricos. Se utilizan urokinasa y estreptokinasa a 100.000 UI y 250.000 UI respectivamente diluidos en 100 ml de solución salina, y utilizado cuando existe falla de drenaje por tubo pleural. Impide la necesidad de toracotomia en un 80% de los pacientes con empiemas loculados que tradicionalmente requieren terapia quirúrgica.(20)
Otro esquema utiliza urokinasa 40.000 UI diluida en 40 ml de solución salina aplicada cada 12 horas por 3 a 5 días con buenos resultados, y además con reducción de los días de internación.(21)
El tratamiento con fibrinolisis intrapleural es una alternativa al drenaje quirúrgico. Existen reacciones adversas como fiebre (28%), no existen reportes de anafilaxia. La absorción sistémica y subsecuentes efectos hemorrágicos no aparecen a dosis usuales.(22-24)
Se realizan estudios en los cuales la administración temprana de activador tisular de plasminógeno tiene un seguro y potencial efecto positivo en el tratamiento de derrame pleural complicado.(25-27)
Referencias
1. Posada R: Derrames pleurales y empiema. En: Correa J, Gómez J, Posada R. Enfermedades infecciosas y respiratorias. Medellín: Corporación para investigaciones biológicas; 1994. 978-84.
2. Wag N. Anatomy of the pleura. Clin Chest Med 1998; 9: 229-40. [ Links ]
3. Sanabria A. Empiema pleutral postptraumatico: una entidad diferente. Rev Colomb Cir 1998; 13 (4):207-214. [ Links ]
4. Fishman AP. Pulmonary diseases and disorders. New York: Mc Graw Hill 1980. [ Links ]
5. De Meester TR, La Fontaine E. The pleura. En: Sabiston DC, Spencer FC, editores. Surgery of the chest. Filadelfia: PA, Saunder; 1990.p.44-497.
6. Ligth R, Macgregor I, Luchsinger. Pleural effusions: the diagnostic separation of of transudates and exudates. Ann Intern Med 1972; 77 (4): 507-13. [ Links ]
7. Ligth R, Rodríguez M: Management of parapneumonic effusions. Clin Chest Med 1998; 19(2): 373-382. [ Links ]
8. Ligth R, Mac Gregor I, Ball W, Luchginger P. Diagnostic singnificance of pleural fluid pH and PCO2. Chest 1973; 64 (5): 591-6. [ Links ]
9. Ligth R, Girand W, Jenkinson S, George R. Parapneumonic effisions. Am J Med 1980; 69 (4): 507-12. [ Links ]
10. Richard B, Weinstein L. Derrame pleural. En: Feigin R, Cherry J. Tratado de infecciones en Pediatría. Tercera Edición. Vol. 1 1996. 346-51.
11. Merino J, et al. Tuberculous pleural effusion in children. Chest 1999;115:26-30. [ Links ]
12. Sahn S. Management of complicated parapneumonic effusion. Am Rev Resp Dis 1993:148:813-817. [ Links ]
13. Shohet J, et al. Pharmacokinetics and therapeutic efficacy of gentamicin in an experimental empiema rabbit model. Antimicrob Agent Chemoter 1994;31:982-985. [ Links ]
14. Niederman M, et al. Serial thoracocentesis in parapneumonic effusions. N Engl J Med 1981;304:7. [ Links ]
15. Kern J, Rodgers B. Thoracoscopy in the management of empyema in children. J Pediatr Surg 1993;28:1128-32. [ Links ]
16. Ridley P, et al. Thoracoscopic debridement and pleural irrigation in the management of empyema thoracis. Am Thorac Surg 1994;51:461-4. [ Links ]
17. Kosloske A, et al. Early decortication for empyema in children. J Pediatr Surg 1990;15:4442-9. [ Links ]
18. Neblet, et al. Surgical management of pulmonary infections. Sem Ped Infect Dis 1995;6:201-8. [ Links ]
19. Chan PWK, Crawford O, Wallis C, Dinwiddie R. Treatment of pleural empyema. J Paediatr Child Health 2000;36: 375-7. [ Links ]
20. Kilic N, Selebi S, Gürpinar A, et al. Management of thoracic empyema in children. Pediatr Surg Int 2002;18:21-3. [ Links ]
21. Hilliard TN, Henderson AJ, Langton SC. Management of parapneumonic efusión and empyema. Arch Dis Child 2003: 915-7.
22. Cochran J, Tecklenburg F, Turner R. Intrapleural instillation of fibrinolytic agents for treatment of pleural empyema. Pediatr Crit Care Med 2003;4:39-43. [ Links ]
23. Thomson AH, Hull J, Kumar MR, Wallis C, Balfour IM, et al. Randomised trial of intrapleural urokinase in the treatment of chilhood empyema. Thorax 2002;57: 342-7. [ Links ]
24. Weinstein M, Restrepo R, Chait P, Connolly B, et al. Effectiveness and safety of Tissue Plasminogen Activator in the management of complicated parapneumonic effusions. Pediatrics 2004;113: e182-e185.
25. Rubenstein J. Treatment of complicated empyema-Perspectives on perspective. Pediatr Crit Care Med 2003;4: 122-3. [ Links ]
26. Buckingram S, King M, Miller M. Incidence and etiologies of complicated parapneumonic effusions in children, 1996 to 2001. Pediatr Infect Dis J 2003; 22: 499-504. [ Links ]
27. Margenthaler J, Weber T, Keller M. Predictors of surgical outcome for complicated pneumonia in children:Impact of bacterial virulence. World J Surg 2004; 28: 87-91. [ Links ]














