Se denomina absceso hepático a una colección de material supurativo encapsulado y ubicado en el parénquima hepático, infectado generalmente por bacterias, como también por parásitos u hongos1.
La coledocolitiasis es la obstrucción de salida de la bilis por un lito en el conducto colédoco, y se presenta como una complicaciones de la colelitiasis o litiasis biliar2.
Dentro las complicaciones descritas de la litiasis biliar se describen, por ejemplo: la coledocolitiasis (10-20%), la pancreatitis aguda, y la colangitis aguda (0,2%)2, esta última se define por ser una infección del líquido biliar y de sus conductos, estos que, en condiciones normales, son estériles debido a diversos mecanismos defensivos, mecánicos e inmunológicos. Sin embargo, la colangitis aguda ascendente puede comprometer no solo los conductos biliares sino también el parénquima hepático formando abscesos hepáticos colangiolares, progresando a una infección severa, sepsis o choque séptico2,3.
Se ha descrito diferentes métodos diagnosticos, o de presunción diagnóstica, para colangitis aguda, entre ellos: para diagnosticar la colangitis, entre ellos: la triada de Charcot, que consiste en la presencia de dolor en hipocondrio derecho, fiebre e ictericia de piel y mucosas, la pentada de Reynols, que suma a los tres parámetros clínicos previos hipotensión y alteración del sensorio, y los criterios de Tokio actualizados en 2018, que emplea parámetros clínicos, laboratoriales e imagenológicos que permiten a la vez establecer la severidad de la enfermedad2.
En pacientes con sospecha de coledocolitiasis o ante la sospecha de obstrucción de la vía biliar se pueden emplear diferentes métodos diagnósticos, entre ellos la colangiopancreatografía retrograda endoscópica (CPRE) permite no solo realizar su diagnóstico sino también tratar la obstrucción y permeabilizar la vía biliar3. No obstante, cuando no se corrige la obstrucción de forma oportuna la progresión de la enfermedad puede provocar no solo daño estructural y funcional de la vía biliar extrahepática sino también de la intrahepática.
A continuación, se presenta el caso clínico de una paciente mujer, joven, con un cuadro de coledocolitiasis, muy compatible clínicamente con colangitis aguda.
Descripción del caso clínico
Paciente femenino de 35 años de edad, de raza mestiza, sin antecedentes patológicos ni quirúrgicos previos, acude al servicio de emergencias del Instituto de Gastroenterología Boliviano Japonés de la ciudad de Cochabamba, Bolivia, refiriendo cuadro clínico de 5 días de evolución con dolor abdominal en epigastrio e hipocondrio derecho, de tipo espasmódico de moderada a gran intensidad, acompañado de ictericia progresiva de piel y mucosas, coluria, prurito, náuseas, vómitos, escalofríos y alzas térmicas no cuantificadas, negando otro tipo de sintomatología.
Al ingreso la paciente se encontraba en regular estado general, conciente, orientada, taquicardica, taquipneica, afebril, con piel y mucosas ictericas y moderadamente secas, presentando un abdomen semigloboso a expensas de tejido celular subcutáneo, ruidos hidroaereos (RHA) positivos normoactivos, blando, moderadamente doloroso a la palpación profunda en epigastrio e hipocondrio derecho, con puño percusión hepática positiva, signo de Murphy negativo y sin datos de irritación peritoneal, con el resto del examen físico por sistemas conservado.
En la analítica de laboratorios al ingreso presentaba leucocitosis de 26 500/ml, con neutrofilia del 93% y presencia de cayados en 1%, anemia moderada de 9.5 g/dl normocitica normocromica, trombocitopenia leve de 140 000/ml, hipoglicemia de 58 mg/dl, perfil de pruebas hepáticas con patrón obstructivo y colestasico con GOT 26, GPT 31, Bilirrubina total 9,4, Bilirrubina directa 6,6, Bilirrubina indirecta 2,8, FAL 367, GGTP 166, con resto de analítica de coagulograma, función renal, electrolitos, amilasa y lipasa dentro de parámetros normales.
Dentro los exámenes complementarios se realizó ecografía abdominal que reportó: “hallazgos sugerentes de coledocolitiasis que condiciona dilatación de la vía biliar intra y extrahepatica, vesícula con barro biliar y esteatosis hepática moderada”, describiendo un colédoco dilatado hasta 17,9 mm.
Tras la obtención de estos exámenes complementarios y con la impresión diagnostica de colangitis aguda se realiza colangiopancreatografia retrograda endoscópica (CPRE) la cual reporta (Figura 1): “coledocolitiasis, esfinterotomia endoscópica, litotripsia mecánica y extracción de fragmentos”. Dentro de la descripción del procedimiento se indica que el débito biliar era claro sin aparentes datos de colangitis por visión endoscópica.

Fuente: examen de la paciente realizado en el Departamento de Endoscopia del IGBJ. Cochabamba, Bolivia.
Figura 1. CPRE con extracción mecánica de fragmentos de cálculos tras litotripsia mecánica
Dentro la evolución del cuadro clínico la paciente presentó una evolución estacionaria, persistiendo con taquicardia, y taquipnea, además de leucocitosis de 19 200 con neutrofolia de 95%, a pesar de haber removido la causa de la obstrucción (coledocolitiasis) y haberse administrado antibióticos (ceftriaxona 1 g EV cada 12 horas y metronidazol 500 mg EV cada 8 horas) durante 72 horas. Es así, que se realiza nueva ecografía abdominal (Figura 2) la cual reportó: “microabscesos hepaticos?, dilatación de vía biliar extrahepática hasta 18 mm y vesícula con barro biliar”, por lo que tras ser valorada por el servicio de medicina interna se decide realizar tomografía axial computarizada (TAC) de abdomen con contraste y en el contexto de una sepsis de foco abdominal por probables microabscesos hepáticos se decide rotar el esquema de tratamiento antibiótico a meropenem 1 g EV cada 8 horas, descontinuando ceftriaxona, y continuando metronidazol 500 mg EV cada 8 horas. En misma fecha se realiza TAC de abdomen con contraste (Figura 3 y 4) la cual reporta: “hepatomegalia, innumerables microabscesos hepáticos, dilatación de vía biliar intra y extrahepatica, a descartar engrosamiento de la pared lateral izquierda de la vesícula biliar, ganglios periportales de etiología por determinar (origen inflamatorio vs metastásico) y mínimo derrame pleural bilateral”. Posteriormente, se solicitan marcadores tumorales de CA 19.9, CA 125, AFP y CEA, todos ellos con resultados dentro de parámetros normales.

Fuente: examen de la paciente realizado en el Departamento de Imagenología del IGBJ. Cochabamba, Bolivia.
Figura 2. Ecografía abdominal que evidencia imágenes hipoecogenicas de diferentes tamaños en lóbulo hepático derecho compatibles con microabscesos (derecha) y persistencia de colédoco dilatado (izquierda).

Fuente: examen de la paciente realizado en centro de imagen extrainstitucional.
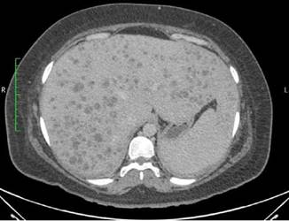
Figura 3. Tomografía axial computarizada de abdomen con contraste (corte axial) que evidencia la presencia de múltiples microabscesos distribuidos en ambos lóbulos hepáticos.

Fuente: examen de la paciente realizado en centro de imagen extrainstitucional.
Figura 4. Tomografía axial computarizada de abdomen con contraste (corte axial) que evidencia la presencia de múltiples microabscesos distribuidos en ambos lóbulos hepáticos.
La evolución subsecuente fue favorable, tras concluir 7 días de esquema antibiótico con meropenem, y 12 días con metronidazol EV, presentándose la paciente asintomática, con signos vitales dentro de parámetros normales, con buena tolerancia a la dieta por vía oral, y con controles de laboratorios de hemograma y pruebas hepáticas en remisión hacia valores normales. En ese momento, se solicita nuevo control de ecografía abdominal que reportó: “dilatación de vía biliar intra y extrahepática hasta 15 mm y coledocolitiasis?”, sin persistencia de imágenes sugestivas de microabscesos hepáticos, por lo que se realiza nuevo procedimiento de CPRE que reporta: “esfinterotomía previa permeable y dilatación de la vía biliar”. Al mismo tiempo, se obtuvo resultados de cultivos solicitados previamente, todos ellos sin desarrollo de gérmenes bacterianos (hemocultivo x 2, urocultivo, coprocultivo, cultivo de esputo). Con todo ello, y tras la evolución favorable, se emitió el alta hospitalaria con los diagnósticos de: “Sepsis a foco abdominal resuelto, Microabscesos hepáticos colangiolares, Colangitis aguda no supurativa, Coledocolitiasis resuelta por CPRE, Barro biliar, Anemia moderada secundaria y Mínimo derrame pleural bilateral resuelto”, y se emitió medicación antibiótica ambulatoria de: cefixima 400 mg VO cada día por 7 días y metronidazol 500 mg VO cada 8 horas por 9 días, además de omeprazol 20 mg VO cada 12 horas, con indicación estricta de control por consulta externa en 10 días; sin embargo, la paciente no retornó al mismo.
Discusión
El caso clínico presenta a una paciente mujer que cursa varios días con la conocida clínica de triada de Charcot4 (dolor en hipocondrio derecho, ictericia y fiebre) sugestiva de colangitis aguda, secundaria a probable proceso obstructivo de la vía biliar (coledocolitiasis). Por lo que, en torno a ello, se realizó una CPRE evidenciando la presencia de cálculos biliares en colédoco, estos que tras su importante tamaño requirieron el empleo de instrumentos para litotripsia mecánica (canastillo de Dormia) extrayéndose varios fragmentos de cálculos amarillos. Destacar que, en el informe de CPRE no describe el hallazgo de bilis de aspecto lechoso o purulento, hallazgo típico y reconocido por la literatura como dato irrefutable de colangitis5, por lo que no se lo documenta en su momento como diagnóstico. Sin embargo, la parcial respuesta clínica y laboratorial condujo a revalorar el cuadro y realizar una nueva ecografía abdominal que reportó hallazgos muy compatibles con microabscesos hepáticos, corroborados posteriormente con tomografía abdominal, y es que, se concluyó que dichos abscesos pudieran haberse formado tras el flujo retrogrado de bilis, previamente infectada, ante su colapso en el árbol biliar extrahepático, por la obstrucción que producía un cálculo. En mención a ello, al igual que menciona la literatura reciente6, no debiera descartarse la presencia de una colangitis aguda microscópica, o no supurativa, y por tanto no detectable a la visión endoscópica. Bajo este razonamiento, se cataloga el cuadro como: “sepsis a foco abdominal secundario a colangitis aguda por coledocolitiasis, con formación de microabscesos hepáticos colangiolares”.
La triada de Charcot puede ser un método de presunción diagnostica precoz en sospecha de colangitis aguda, que permite el inicio temprano del tratamiento en esta enfermedad de alta mortalidad2,7. Mencionar que, la misma tiene tiene baja sensibilidad (26,4%) pero alta especificidad (95,9%) pero baja sensibilidad (26,4%)7. No obstante, una de sus grandes ventajas es que contempla parámetros netamente clínicos, siendo de gran aplicabilidad y practicidad en los servicios de emergencia.
Los estudios imagenológicos sirven para determinar el diagnóstico2 pero también nos permiten valorar la respuesta al tratamiento empleado. Es así, que en nuestro caso clínico se evidencia la progresión a microabscesos hepáticos por ecografía, corroborados posteriormente con tomografía, tras dos días de evolución intrahospitalaria estacionaria y el antecedente de 5 días previos con coledocolitiasis no tratada. Así también sirvieron para evidenciar la buena respuesta al tratamiento después del rote del tratamiento antibiótico, no evidenciando imágenes sugerentes de abscesos en el estudio de control al concluir el esquema con meropenem,
Resulta de gran valía, como en toda enfermedad, el definir correctamente el diagnostico, ya que tras ello se pudo orientar el cambio empírico de antibióticos, que a pesar de en un inicio ofrecer buena cobertura para gérmenes gram negativos y anaerobios8, (cefalosporinas de tercera generación y nitroimidazoles), evidenció marcada respuesta clínica tras el uso de carbapenemicos1,3,6,7. Cabe destacar, que según la literatura el esquema de tratamiento antibiótico para esta enfermedad debería, idealmente, ajustarse al antibiograma local9, y es que en nuestra región al momento solo existe un único trabajo publicado que habla de esta enfermedad, y recomienda el uso de carbapenemicos como mejor opción antibiótica, de acuerdo a sus resultados obtenidos tras cultivos de líquido biliar6, remitiéndonos a éste de forma retrospectiva para justificar nuestro cambio de antibióticos.
Dentro la revisión de la literatura, se encuentra un caso publicado por Ordoñez M y Moscoso E10 de un paciente varón de 50 años en el que, tras la sospecha de colangitis aguda supurativa, se realiza CPRE encontrando cálculos en colédoco, extrayéndose los mismos ademas de débito purulento, muy compatible con colangitis según la literatura7. Este paciente recibió tratamiento antibiótico con ampicilina/sulbactam, fármacos descritos en la literatura como de utilidad en cuadros de colangitis9. La diferencia de este paciente en comparación al nuestro es que este presentaba datos compatibles con litiasis intrahepatica según un estudio de colangio-resonanciamagnética, por lo que fue intervenido quirúrgicamente realizándose una hepatectomia, con resultados anatomopatologicos de colangiocarcinoma intrahepatico, que tras completar estudios de TAC y marcadores tumorales fue etapificando como T1N0M0, y derivado posteriormente a oncología para terapia adyuvante, pero se desconoce el seguimiento. Nuestra paciente, en contraste, recibió el mismo manejo con CPRE, estudio catalogado como de primera elección en sospecha de colangitis aguda7, extrayendo cálculos del colédoco, e incluso se realizó una segunda CPRE por sospecha de coledocolitiasis residual. Al mismo tiempo, se solicitaron marcadores tumorales ante la sospecha de un proceso neoplásico sugerente tras el reporte de tomografía, todos ellos con resultados dentro de parámetros normales. Esto nos lleva a rememorar la importancia de la litiasis biliar y sus complicaciones, al investigar la presencia y/o evolución a procesos inflamatorio-infecciosos o neoplásicos2.
Conclusiones
La presencia de abscesos hepáticos obliga a buscar e identificar la causa y origen de los mismos, con un abordaje integral y de acuerdo al contexto del paciente. Una causa probable de los microabscesos hepáticos resulta la presencia de colangitis aguda, tras el flujo retrogrado de la bilis infectada secundario a un proceso obstructivo de la vía biliar. La sospecha de colangitis puede surgir tras la valoración clínica de la triada de Charcot, la cual es rápida, practica y fácil de aplicar en los servicios de emergencia. De ahí en adelante, y tras un diagnóstico adecuado, se podrá enfocar el tratamiento subsecuente, que además del manejo general, incluirá el uso empírico de antibióticos y el drenaje oportuno de la vía biliar, ambos determinantes para la buena evolución de la enfermedad.














