Servicios Personalizados
Revista
Articulo
Indicadores
-
Citado por SciELO -
Accesos
Links relacionados
-
Similares en
SciELO
Compartir
Revista Científica Ciencia Médica
versión impresa ISSN 2077-3323
Rev Cient Cienc Méd vol.22 no.2 Cochabamba 2019
Imágen Médica
SARCOMA SINOVIAL DE MUSLO COMO CAUSA DE OBSTRUCCIÓN INTESTINAL
THIGH SINOVIAL SARCOMA AS A CAUSE OF INTESTINAL OBSTRUCTION
Jorge Luna-Abanto1
1Departamento de cirugía oncológica, Instituto Nacional de Enfermedades Neoplásicas. Lima, Perú. Escuela de postgrado, Universidad Peruana Cayetano Heredia. Lima, Perú
Correspondencia a: Jorge Luna-Abanto
Correo: jorgelunaabanto@gmail.com
Teléfono: 01 2016500
Procedencia y arbitraje: no comisionado, sometido a arbitraje externo.
Recibido para publicación: 26 de marzo de 2018
Aceptado para publicación: 17 de noviembre de 2019
Citar como: Luna-Abanto J. Sarcoma sinovial de muslo como causa de obstrucción intestinal. Rev Cient Cienc Med 2019; 22 (2): 60-61
Palabras Clave: Obstrucción intestinal, Sarcoma Sinovial, Abdomen agudo
Key Words: Intestinal Obstruction, Synovial sarcoma, Acute abdomen
DESARROLLO
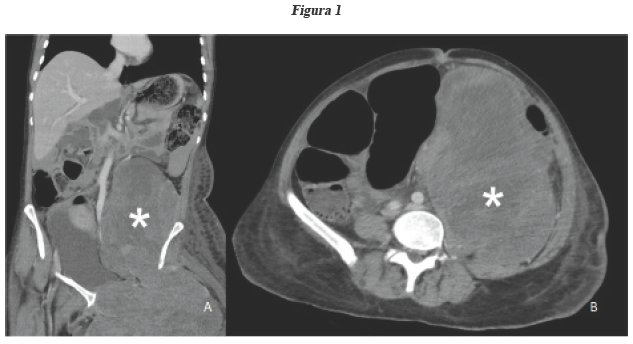
Se trata de una paciente mujer de 45 años procedente de Perú, portadora de Sarcoma Sinovial (SS) monofásico de muslo izquierdo, sin seguimiento después de mala respuesta a la quimioradioterapia. Ingresó 6 meses después, por un cuadro compatible con obstrucción intestinal. Al examen físico, se encontró un abdomen distendido y doloroso a la palpación, a nivel de tercio superior de muslo izquierdo una extensa tumoración de bordes irregulares, de 30 cm que ocupa la totalidad del compartimiento anterior. La tomografía de abdomen mostró una extensa tumoración que compromete el músculo ilíaco izquierdo y condiciona obstrucción intestinal, asociado a edema del miembro inferior izquierdo (ver Fig. 1). La paciente negó el tratamiento quirúrgico.
El SS es una neoplasia de tejidos blandos que puede ocurrir a cualquier edad y suele comprometer las extremidades distales en adultos jóvenes1,2. Se han descrito 3 tipos histológicos de SS: monofásico, que contiene predominantemente células fusiformes; bifásicas, que contiene células de huso y de tipo epitelial; y mal diferenciadas, que pueden caracterizarse por necrosis, mitosis extrañas, alta celularidad y atipia nuclear1.
Existen múltiples factores de riesgo estudiados, entre ellos, el tipo histológico, la localización del tumor y el tamaño tumoral (>5cm), este último se ha fuertemente asociado con la sobrevida de estos pacientes1. Cuando la enfermedad se presenta de forma avanzada, el tratamiento multimodal (cirugía, radioterapia y quimioterapia) es el estándar de tratamiento2. Sin embargo, a pesar de estas terapias, el pronóstico es sombrío y se caracteriza por una rápida progresión de la enfermedad y muerte en un promedio de 11 meses desde el diagnóstico3.
La sintomatología que acompaña a estos pacientes se debe al efecto de masa de estas tumoraciones, ulceración y sangrado1. La aparición de obstrucción intestinal es un hallazgo poco común debido a su localización. Sin embargo, se han reportado casos de obstrucción intestinal e intususcepción por SS intestinales o metastásicos2-4. En este caso, la extensa tumoración dependiente de partes blandas del muslo izquierdo alcanzó un extenso tamaño, infiltrando estructuras intrabdominales condicionando obstrucción intestinal extrínseca.
REFERENCIAS
1. El Beaino M, Araujo DM, Lazar AJ, Lin PP. Synovial Sarcoma: Advances in Diagnosis and Treatment Identification of New Biologic Targets to Improve Multimodal Therapy. Ann Surg Oncol. 2017 Aug;24(8):2145-2154. [ Links ]
2. Eid Y, Dupont-Lucas C, Orbach D, Ravasse P, Rod J. Synovial sarcoma presenting as colonic intussusception in a child. Pediatr Blood Cancer. 2017 Jan;64(1):207-208. [ Links ]
3. Sista F, Penna AD, Abruzzese V, Leardi S, Amicucci G. Intestinal Intussusception by Monophasic Synovial Sarcoma: Case Report and Literature Review. Chirurgia (Bucur). 2015 Jul-Aug;110(4):391-5. [ Links ]
4. Lee YF, Cleary RK. Synovial sarcoma of the transverse colon: a rare cause of intussusception. BMJ Case Rep. 2018 Mar 30;2018. [ Links ]














