Paciente masculino de 55 años de edad, acude a control por mancha en quinto ortejo derecho de tres meses de evolución. Al examen físico presenta macula pigmentada policroma de color negro intenso, marrón oscuro y áreas marfil blanquecinas de bordes irregulares que se extiende de manera asimétrica desde cara interna, hacia la región lateral del quinto ortejo de pie derecho, de superficie plana, sin ulceración visible, costras o sangrado. No se evidencia afectación de lamina ungueal.
Al examen dermatoscopico ambas imágenes muestra: Patron global multicomponente sugestivo de melanoma, estructura asimetrica en ambos ejes con bordes irregulares y mal definidos. La imagen de la izquierda muestra policromia con predominio de coloracion negro oscuro con areas marrones, grisaceas y zona central blanquecina. Globulos y puntos irregulares distribuidos de manera asimetrica. Zona central con velo azul-blanco tipico de melanoma avanzado.
La imagen de la derecha muestra policromía marron claro, marron oscuro, negro y gris irregularmente distribuidos. Globulos marrones y negro de tamaño y forma variable irregularmente distribuidos.
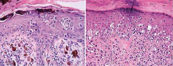
El estudio histopatológico de biopsia de piel lesionada muestra:
En epidermis con acantosis moderada, se aprecia crestas epidérmicas alargadas e irregulares. En la unión dermo-epidermica se identifica melanocitos atípicos alineados a lo largo de manera basal.
Podemos apreciar que en la imagen de la izquierda se observa mayor aumento nidos de melanocitos atípicos y regueros en el epitelio. El estroma muestra melanofagos e infiltrados de linfocitos.
En la imagen de la derecha se evidencia acantosis con zonas de papilomatosis corta, presencia de melanocitos atípicos de núcleos pleomórfico en la basa y para basal. El estroma presenta melanocitos atípicos dispersos.
















