INTRODUCCIÓN
El pulmón es uno de los órganos más frecuentemente afectados por metástasis. Estas suelen tener un origen hematógeno y son típicamente secundarias a carcinomas como el de células renales y el coriocarcinoma; entre los tumores primarios menos comunes se encuentran los de próstata, endometrio, sarcoma sinovial y carcinoma suprarrenal(1).
Los hallazgos radiológicos asociados incluyen múltiples nódulos periféricos de tamaño variable (metástasis hematógenas), así como engrosamiento difuso del intersticio (linfangitis carcinomatosa). Existen signos imagenológicos característicos, como el signo de balas de cañón, referido a múltiples metástasis pulmonares grandes, bien definidas y redondas, que recuerdan visualmente balas de cañón. En francés, este patrón se denomina “envolée de ballons”, lo cual también se traduce como “liberación de globos” (1),(2).
A continuación, se describe el caso clínico de un paciente con derrame pleural donde se observó incidentalmente el signo de balas de cañón o suelta de globos, orientador hacia metástasis pulmonar. Tras completar estudios de imagen y patología, se confirmó el diagnóstico de carcinoma de células claras de riñón, por lo que se derivó al servicio de oncología-cuidados paliativos.
DESCRIPCION DEL CASO
Paciente masculino de 75 años, comerciante, con antecedente quirúrgico prostático por patología benigna. Acudió por un cuadro clínico de un mes de evolución caracterizado por dolor en la punta del costado izquierdo, asociado a disnea grado 2 que progresó a grado 3. Al examen físico, se encontraba en regular a mal estado general, Karnofsky de 30%. Signos vitales: PA: 80/40 mmHg, FC: 113 lpm, FR: 26 rpm, SatO2: 84% con FiO2: 0.24. Al examen pulmonar, murmullo vesicular abolido en hemitórax izquierdo, con soplo pleurítico en “e”.
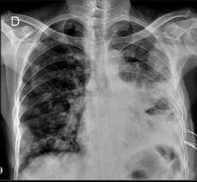
Se realizó radiografía simple de tórax que mostró imágenes compatibles con el signo de “suelta de globos” en todos los campos pulmonares, junto con derrame pleural izquierdo (Figura 1).

FIGURA Nro.1: Placa de rayos x de tórax que evidencia signo suelta de globos, de balas de cañón o signo de escopetazo, múltiples nódulos pulmonares bien definidos de distribución bilateral y aleatoria, de diferentes tamaños, es muy sugerente de metástasis pulmonares.
Posteriormente se realizó toracocentesis diagnóstica, cuyo resultado fue compatible con exudado hemorrágico. El cultivo fue negativo. El citológico mostró componente inflamatorio linfocitario predominante y presencia de células neoplásicas.
La química sanguínea, hepatograma y coagulograma estuvieron dentro de límites normales. Los marcadores tumorales no revelaron alteraciones.
Se completó el estudio con ecografía abdominal, que evidenció múltiples nódulos hepáticos (Figura 2). La ecografía renal y vesical mostró una lesión medular derecha de aproximadamente 7 cm, sugestiva de proceso neoplásico (Figura 3).

FIGURA Nro.2: Ecografía de rastreo abdominal que muestra hígado de tamaño normal con varias lesiones focales hiperecogénicas redondeadas de hasta 2,5 cm de diámetro, incidentalmente se observa implantes pleurales metastásicos.

FIGURA Nro.3: Ecografía renal que muestra a nivel de riñón derecho a nivel de seno renal una masa tumoral de limites mal definidos de aspecto infiltrativo que mide 7 cm aproximadamente con presencia de flujo Doppler color, vejiga replecionada.
Durante la internación, el paciente presentó hematuria, por lo que se interconsulta con Urología. Se solicitó tomografía abdominopélvica que confirmó tumor renal derecho de aproximadamente 9 cm comprometiendo el seno renal. Posteriormente se realiza la biopsia, la cual confirma un carcinoma renal de células claras, ante estos hallazgos, se derivó el caso a oncología-cuidados paliativos con diagnóstico carcinoma de células claras de riñón metastásico (estadio clínico IV).
En resumen, se trata de un paciente con metástasis de carcinoma de células claras de riñón, que acude al hospital por cuadro clínico de derrame pleural donde se realiza una radiografía de tórax donde incidentalmente se observan imágenes en suelta de globos, se completa protocolo diagnóstico y se confirma la neoplasia metastásica.
DISCUSIÓN
Un signo radiológico es aquel hallazgo cuyas características permiten ubicar una lesión y facilitar un diagnóstico diferencial preciso. Si bien no siempre indican una enfermedad específica, son fundamentales para identificar procesos patológicos y llegar a un diagnóstico certero (1).
Múltiples nódulos pulmonares bilaterales, de tamaño variable y distribución aleatoria, conforman el signo de suelta de globos o balas de cañón (Figura 1). Este patrón es altamente sugestivo de metástasis pulmonares, principalmente secundarias al carcinoma de células renales (2).
El cáncer de riñón representa el 5% de las neoplasias malignas y es el sexto cáncer más común en hombres (3). El carcinoma de células renales (CCR) se origina en las células epiteliales tubulares renales y constituye más del 90% de los cánceres renales. Es el cáncer urogenital más letal, con tasas de mortalidad entre 30 y 40%, superando a los cánceres de vejiga y próstata. Suele presentarse entre los 60 y 70 años, como en nuestro caso.
Los síntomas clásicos del CCR incluyen hematuria, dolor lumbar y masa abdominal palpable, aunque estos síntomas solo están presentes en el 4 al 17% de los casos (3). Las metástasis más frecuentes afectan pulmones, huesos y cerebro, aunque también pueden involucrar glándulas suprarrenales, riñón contralateral e hígado. En nuestro caso, se evidenciaron metástasis pulmonares y hepáticas.
Este tipo de cáncer tiene un crecimiento rápido y tiende a diseminarse a ganglios linfáticos (hasta en un 15%), pulmones, hígado y huesos. Más del 50% de los casos se detectan accidentalmente (3),(4). De hecho, si el paciente no hubiera presentado derrame pleural, probablemente no habríamos descubierto el signo de suelta de globos.
Muchas masas renales permanecen asintomáticas y no palpables hasta bien avanzado el curso natural de la enfermedad. En la actualidad, más del 50% de los CCR se detectan de manera incidental (4).
El CCR se clasifica en tres subtipos principales:
En este caso, el paciente fue diagnosticado con carcinoma de células claras en etapa avanzada, ingresó en mal estado funcional y con pronóstico reservado.
Los nódulos pulmonares múltiples, en ausencia de causas aparentes, suelen corresponder a metástasis de tumores malignos (8). Otros diagnósticos diferenciales del patrón de suelta de globos incluyen otras entidades malignas como el tumor testicular (9), o enfermedades benignas como la nocardiosis pulmonar, especialmente en pacientes inmunodeprimidos o con condiciones predisponentes (10).
CONCLUSIÓN
Es fundamental reconocer el signo imagenológico de “suelta de globos” o “balas de cañón” y su asociación con el carcinoma de células claras de riñón, una de las neoplasias urogenitales malignas más comunes en hombres de edad avanzada. La mayoría de los casos se diagnostican de manera incidental, como ocurrió en este paciente, quien acudió por derrame pleural. El hallazgo radiográfico del signo de suelta de globos nos alertó sobre la posible existencia de una neoplasia subyacente, destacando la relevancia del análisis cuidadoso de las imágenes en la práctica clínica.













