SciELO - Scientific Electronic Library Online

 
vol.31 número2¿POR QUÉ LA PSIQUIATRÍA CONTEMPORÁNEA DEBERIA REVISITAR A OTTO KERNBERG?REPARACIÓN ENDOSCÓPICA PRE-APONEURÓTICA (REPA) PARA DIÁSTASIS DE RECTOS: SERIE INICIAL DE CASOS Y ANÁLISIS CLÍNICO índice de autoresíndice de materiabúsqueda de artículos
Home Pagelista alfabética de revistas  

Servicios Personalizados

Revista

Articulo

Indicadores

Links relacionados

  • No hay articulos similaresSimilares en SciELO

Compartir


Revista Médica La Paz

versión On-line ISSN 1726-8958

Rev. Méd. La Paz vol.31 no.2 La Paz  2025  Epub 31-Dic-2025

 

CASOS CLÍNICOS

METACONDROMATOSIS - HAY QUE CONOCERLA PARA PODER IDENTIFICARLA

METACHONDROMATOSIS - YOU HAVE TO KNOW IT TO BE ABLE TO IDENTIFY IT

Dr. José Antonio Lagos Monasterios* 

Tutor: Dr. Hugo Luis Ledezma Ruiz** 

*MR II Radiología Hospital de Clínicas - La Paz.

**Medico Radiólogo Hospital de Clínicas Universitario-La Paz y el Centro médico de diagnóstico por imágenes (CEMED).


RESUMEN

La metacondromatosis es una enfermedad genética autosómica dominante rara, asociada a una mutación del gen PTPN11. Se caracteriza por la presencia simultánea de lesiones tipo osteocondroma y encondroma, localizadas en sitios distintos a los descritos en la exostosis hereditaria múltiple y en la encondromatosis múltiple, que constituyen los principales diagnósticos diferenciales de esta entidad. Se reportó el caso clínico de una paciente de 14 años, evaluada en el Centro Médico de Diagnóstico por Imágenes (CEMED), quien presentaba radiográficamente múltiples osteocondromas en huesos largos y encondromas en manos y pies. Además, se evidenció acortamiento y deformidad ósea, hallazgos que no son frecuentes en la metacondromatosis. El diagnóstico se estableció con base en la evolución clínica, el examen físico, los hallazgos radiológicos, el estudio histopatológico y la exclusión de diagnósticos diferenciales, sustentado en una revisión bibliográfica actualizada sobre esta rara entidad.

Palabras clave: metacondromatosis; osteocondromatosis múltiple; encondromatosis múltiple; tumores óseos

ABSTRACT

Metachondromatosis is a rare autosomal dominant genetic disorder associated with a mutation in the PTPN11 gene. It is characterized by the simultaneous presence of osteochondroma and enchondroma lesions, located in sites different from those described in hereditary multiple exostosis and multiple enchondromatosis, which are the main differential diagnoses for this condition. We report the case of a 14-year-old female patient, evaluated at the CEMED Diagnostic Imaging Center, who presented radiographically with multiple osteochondromas in long bones and enchondromas in the hands and feet. In addition, bone shortening and deformity were evident, findings that are not common in metachondromatosis. The diagnosis was established based on the clinical course, physical examination, radiological findings, histopathological study, and exclusion of differential diagnoses, supported by an updated literature review on this rare condition.

Keywords: metachondromatosis; multiple osteochondromatosis; multiple enchondromatosis; bone tumors

INTRODUCCIÓN

La metacondromatosis es una enfermedad genética autosómica dominante rara, perteneciente al gran grupo de las encondromatosis, que se acompaña de lesiones tipo osteocondroma y encondroma. (1),(2)

El diagnostico diferencial incluye la osteocondromatosis (exostosis múltiple hereditaria) y la encondromatosis múltiple (enfermedad de Ollier). (1)

Los osteocondromas son los tumores cartilaginosos benignos más frecuentes localizados a nivel metafisario (son principalmente una parte de la placa de crecimiento que se separa y continúa creciendo de forma independiente, sin una epífisis asociada, generalmente lejos de la articulación cercana) típicos de los huesos largos (húmero proximal, tibia y fémur distal). Suelen crecer como lesiones pedunculadas o sésiles compuestas de tejido cortical y con tejido óseo medular cubierto por una capa cartilaginosa cubierta por periostio. (3),(4)

Los encondromas son el segundo tumor cartilaginoso benigno más frecuente después del osteocondroma, son neoplasias intramedulares de cartílago hialino localizados dentro de los huesos del esqueleto apendicular (más frecuentes en las manos que en los pies, particularmente en las falanges). (5),(6)

La metacondromatosis se refiere a la rara combinación de: encondromatosis múltiple y osteocondromatosis.

Suele aparecer en la infancia o pubertad y no aparecen nuevas lesiones después de la maduración esquelética. En algunos casos suele aparecer en la vida adulta, pero de forma incidental. (7),(8)

Su etiología se relaciona con la mutación del gen PTPN11 (proteína tirosina fosfatasa no receptora tipo 11) (8),(10), a diferencia de la osteocondromatosis donde hay mutación de “genes EXT1 y EXT2”. (3),(4)

En su mayoría son asintomáticos. No suelen producir deformaciones ni acortamiento de los huesos largos ni fracturas patológicas. Producen compromiso neurológico o vascular, formación de bursa y raramente tienen transformación maligna. (7),(8),(9)

En general, el diagnóstico definitivo de la metacondromatosis requiere una combinación de hallazgos clínicos, radiográficos, histopatológico y estudios genéticos moleculares. (1),(9)

El manejo es quirúrgico cuando ocasionan sintomatología tales como irritación persistente con bursitis, compromiso neurovascular o necrosis de la cabeza femoral. (9),(10)

CASO CLÍNICO

Se presenta un caso de una paciente de 14 años de edad, procedente y residente de la ciudad de Uyuni, Potosí, que presentó un cuadro clínico de 6 meses de evolución caracterizado por presentar masas tumorales en brazos, antebrazos y piernas de crecimiento lento y progresivo. Indica también que algunas lesiones disminuyeron de tamaño.

Refiere que su abuelo materno presento estás lesiones en manos y pies, cuando era niño, pero desaparecieron espontáneamente en su adolescencia. Además, se explica que presentaba una deformidad angular en su dedo índice derecho. No sé pudo evidenciar dicha deformidad debido que el familiar falleció.

Al examen físico, se palpa tumoraciones en región proximal de ambos brazos, antebrazos y piernas, de consistencia dura, no dolorosas a la palpación, sin cambio de temperatura ni color. Se evidenció deformidad angular en antebrazo izquierdo. Además, presentaba acortamiento de ambas manos. Se solicita radiografías de las regiones comprometidas y se describe las siguientes características. La paciente fue evaluada en el Centro Médico de Diagnóstico por Imágenes CEMED, donde se solicitaron radiografías de las regiones comprometidas.

Fuente: Cortesía del Dr. Ledezma, CEMED.

Figura 1: 

Proyección AP de ambas manos muestra lesiones líticas intramedulares (encondromas) radiolúcidas de márgenes definidos, con zona de transición estrecha, patrón de destrucción geográfico, que respetan la cortical sin reacción perióstica y levemente expansivas, la lesión más representativa está localizada en la tercera falange proximal de la mano izquierda, en su extremo proximal.

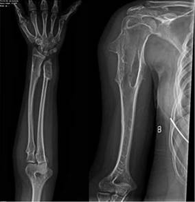
Fuente: Cortesía del Dr. Ledezma, CEMED.

Figura 2: 

(A) Proyección AP de antebrazo izquierdo muestra osteocondromas sésiles en las 1ra, 2da, 3ra y 4ta falanges proximales. Exostosis sésil en extremo proximal y exostosis pediculada en extremo distal del radio. Luxación de la articulación radio-cubital distal.

Lesión lítica expansiva en cabeza de cubito que desplaza los tejidos blandos suprayacentes acompañado de acortamiento longitudinal del mismo. Ligera angulación dorsal de la diáfisis del radio y cubito, incremento del espacio interóseo y configuración triangular de la primera hilera de los huesos del carpo (Sugerente de deformidad de Madelung).

(B) En proyección AP de brazo derecho se evidencia osteocondroma sésil en extremo proximal de húmero que desplaza los tejidos blandos suprayacentes (sin observarse reacción perióstica), que al examen físico del paciente se evidenciaba como un bulto palpable e indoloro en extremo superior de brazo derecho.

Fuente: Cortesía del Dr. Ledezma, CEMED.

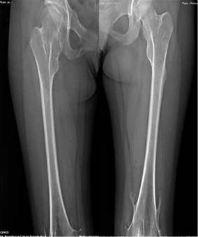
Figura 3: 

(C) Proyección AP de fémur izquierdo muestra una exostosis sésil en borde lateral de extremo proximal y dos exostosis pediculadas que surgen de la región metadiafisiaria distal.

(D) Proyección AP de fémur derecho muestra espacio articular coxofemoral incrementado en altura en relación con una subluxación articular, ángulo cérvico diafisario de 150 grados (coxa valga), exostosis pediculada en epífisis distal.

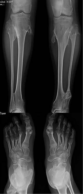
Fuente: Cortesía del Dr. Ledezma, CEMED.

Figura 4: 

(E) Proyección AP de ambas piernas muestra múltiples exostosis sésiles y pediculadas que surgen de las regiones metadiafisiarias femoral, tibial y peronea de forma bilateral.

(F) Proyección AP de ambos pies muestra lesiones líticas intramedulares ligeramente expansivas (los más representativos localizados en el extremo distal del tercer y cuarto metatarsiano derecho), además de acortamiento del tercer metatarsiano derecho. Exostosis sésiles en extremo proximal de la 2da falange proximal derecha y la 4ta falange proximal izquierda.

Proyección oblicua de pie izquierdo muestra exostosis pediculada que se origina de región metafisiaria de la tibia produciendo un efecto de masa que comprime el extremo distal del peroné deformando su estructura, además de dos lesiones líticas en cabeza del tercer y cuarto metatarsiano.

Fuente: Cortesía del Dr. Ledezma, CEMED.

Figura 5: 

Ante los hallazgos radiológicos sugestivos de una lesión cartilaginosa, se procedió con la toma de biopsia.

El estudio histopatológico evidenció fragmentos de tejido óseo que contienen nódulos de cartílago hialino maduro, de arquitectura lobulada, hipocelular y sin atipias citológicas, hallazgos compatibles con encondroma. En las áreas exofíticas se observaron estructuras osteocondrales conformadas por hueso y cartílago con zonación histológica preservada y osificación endocondral activa, características compatibles con osteocondroma.

Tras la correlación clínica, radiológica e histológica, los hallazgos son diagnósticos de metacondromatosis.

Se recomienda seguimiento clínico y radiológico periódico para monitorizar la evolución de las lesiones.

DISCUSIÓN

En el caso clínico presentado, la paciente muestra características radiológicas de metacondromatosis, donde se evidencian múltiples osteocondromas en las regiones de extremos proximales de ambos húmeros, extremo distal del cúbito y del radio, y extremo distal de ambos fémures, además de múltiples encondromas en manos y pies. Si bien se ha sugerido que las deformidades no ocurren en la metacondromatosis, en nuestro caso se evidenció una deformidad angular del antebrazo izquierdo, luxación de la articulación radio cubital distal e hipoplasia asociada a acortamiento de las manos. El estudio histopatológico corroboró los hallazgos radiológicos, confirmando el diagnóstico de metacondromatosis.

La integración de estos hallazgos, sumada a la correlación clínico-radiológica de lesiones mixtas y la historia documentada de regresión espontánea de algunas lesiones, resulta altamente sugerente de metacondromatosis.

Es posible realizar un diagnóstico diferencial con la osteocondromatosis múltiple o exostosis múltiple hereditaria, en donde la predilección de esta patología es en huesos largos, además de que la lesión se aleja de la epífisis, al contrario de la metocondromatosis, en donde la lesión se acerca y la misma se presenta en manos y pies. Además, como en el caso de la paciente, algunos osteocondromas disminuyeron de tamaño, a diferencia de los osteocondromas convencionales, en donde su principal tratamiento es quirúrgico. También se evidencio deformidad angular de antebrazo izquierdo, que no es una complicación frecuente, pero puede presentarse en casos raros, al igual que la deformidad angular en dedos. La diferenciación de la metacondromatosis de la exostosis múltiple es importante para el paciente debido a la probable regresión de las exostosis, deformidad residual mínima o nula, y a la probable transformación maligna en caso de osteocondromatosis múltiple.

Otras patologías como la enfermedad de Ollier y de Maffucci (encondromatosis asociada a hemangiomas de tejidos blandos), se localizan en los huesos apendiculares y tienen mayor riesgo de malignizacion en un 50%, a diferencia de la metacondromatosis donde su malignización es insignificante.

También se puede realizar diagnóstico diferencial con la displasia epifisaria hemimélica, caracterizada por un sobrecrecimiento cartilaginoso principalmente localizado en las extremidades inferiores de un lado del cuerpo.

En el caso clínico presentado por Blasco A, et al. en la Unidad de Ortopedia Pediátrica, Sao Paulo-Brasil, las lesiones tipo osteocondroma se evidenciaron en manos (falange distal) y la lesión encondroma alrededor de la cresta ilíaca y las regiones metafisarias de los huesos largos. A diferencia que en nuestro caso no se localizaban las lesiones en los mismos lugares.

CONCLUSIÓN

En conclusión, la metacondromatosis es una enfermedad rara en nuestro medio, por lo que es importante conocer sus características, tanto clínicas como radiológicas. Ya que se puede llegar a confundir con otras patologías que, sí son frecuentes. Además, su diagnóstico oportuno permitirá que el paciente reciba un tratamiento adecuado y así evitar futuras complicaciones.

RECOMENDACIONES

Se recomienda realizar seguimiento del paciente con resonancia magnética para observar la evolución de las lesiones.

También se recomienda realizar exámenes genéticos, para ver si la paciente presenta mutación genética, ya que esta patología es autosómica dominante, por lo que si presentara esta alteración habría que realizar seguimiento a sus familiares.

REFERENCIAS

1 1. Blasco A, Salom M, Giner F, Baixauli E and Baixauli F. Metachondromatosis: A Confusing Disease. Rev Bras Ortop (Sao Paulo). 2021; 59(1): 26–30. [ Links ]

2 2. Halaby KZ, Jimenez EM, Maradei SJ, Junis JJ, Arteaga CE. Metacondromatosis: diagnóstico clínico, radiológico y diagnóstico diferencial case reports. Rev. Unal. 2016; 2(1): 7-16. [ Links ]

3 3. Guerrero Tamayo P, Garoz Fonseca JE, Duandy Almira JF. Osteocondromatosis múltiple. Caso clínico. Multime. 2020; 24(3). [ Links ]

4 4. Fowler J, Takayanagi A, Siddiqi I, Ghanchi H, Siddiqi J, Veeravagu J, et al. Cervical osteochondroma: surgical planning. Spinal Cord Ser Cases. 2020 May 28;6(1): 1038-1394. [ Links ]

5 5. Afonso PD, Isaac A, Villagrán JM. Chondroid tumors as incidental findings and differential diagnosis between enchondromas and low-grade chondrosarcomas. Semin Musculoskelet Radiololgy. 2019 ;23(1): 3-18. [ Links ]

6 6. Zhang H and Alman B. Enchondromatosis and growth plate development. Published in final edited form as: Curr Osteoporos Rep. 2021 Feb; 19(1): 40–49. [ Links ]

7 7. Jamshidi K, Shooshtarizadeh T, Bahrabadi M. Chondrosarcoma in Metachondromatosis: A Rare Case Report. Acta Med Iran. 2017 Dec;55(12):793-799. [ Links ]

8 8. Rydzanicz M, Glinkowski W, Walczak A, Koppolu A, Kostrzewa G, Gasperowicz P, et al, mosaicism of a novel PTPN11 mutation in monozygotic twins discordant for metachondromatosis. Am J Med Genet A. 2022 May;188(5):1482-1487. [ Links ]

9 9. Wang Z, Zou Y, Chen Y, Chen Y. Multiple unexpected lesions of metachondromatosis detected by technetium-99m methylene diphosphonate SPECT/CT. Medicine (Baltimore). 2018 Apr;97(17): e0512. Disponible: 10.1097/MD.0000000000010512. [ Links ]

10 10. Mansor N, Saisu T, Kakizaki J, Oikawa Y, Kamegaya M. Arthroscopic resection of femoral neck osteochondroma: Report of a pediatric case of metachondromatosis. J Orthop Sci. 2022 May;27(3):739-742. [ Links ]

11 11. Fisher T, Metachondromatosis: more than just multiple osteochondromas, J Child Orthop. 2013. Sep 21;7(6):455–464. [ Links ]

Creative Commons License Este es un artículo publicado en acceso abierto bajo una licencia Creative Commons