SciELO - Scientific Electronic Library Online

 
vol.30 número3ANESTESIA EN PACIENTE CARDIÓPATA PARA CIRUGÍA NO CARDIACA: REPORTE DE CASO Y REVISIÓN DE LA LITERATURAASPECTOS ÉTICOS EN LA ATENCIÓN MÉDICA AL FINAL DE LA VIDA índice de autoresíndice de materiabúsqueda de artículos
Home Pagelista alfabética de revistas  

Servicios Personalizados

Revista

Articulo

Indicadores

Links relacionados

  • No hay articulos similaresSimilares en SciELO

Compartir


Revista Médica La Paz

versión On-line ISSN 1726-8958

Rev. Méd. La Paz vol.30 no.3 La Paz  2024  Epub 30-Dic-2024

 

CASOS CLÍNICOS

EVENTRACION DIAFRAGMÁTICA IZQUIERDA; PRESENTACIÓN DE CASO Y REVISIÓN DE LA LITERATURA

LEFT DIAPHRAGMATIC EVENTRATION; CASE PRESENTATION AND LITERATURE REVIEW

Víctor Zotes Valdivia1 
http://orcid.org/0000-0002-7147-4954

Mauricio Vicente Aguila Gómez2 
http://orcid.org/0009-0000-3777-1595

Laura Andrea Conde Flores3  * 
http://orcid.org/0009-0008-0938-8415

1Especialista en Cirugía General y Laparoscópica. Sub Especialista en Cirugía Torácica y Videotoracoscopia Avanzada. Miembro Titular de la Sociedad Boliviana de Cirugía Cardiotorácica

2Especialista en Cirugía General y Laparoscópica Avanzada. Miembro titular de la Sociedad Boliviana de Cirugía General capitulo La Paz. Docente cátedra de cirugía UNIFRANZ Sede La Paz - El Alto

3Medico Residente de Cirugía General. Caja de Salud de la Banca Privada, La Paz.


RESUMEN

El objetivo de este artículo es relatar un caso de eventración diafragmática izquierda, observado en la Clínica de la Caja de Salud de La Banca Privada, La Paz- Bolivia, en una paciente femenina de 36 años. Esta patología es una entidad poco frecuente y se presenta en la mayoría de los casos como diagnostico incidental tras la realización de exámenes complementarios. Además, se expondrá no solo los medios diagnósticos, sino sus causales, el cuadro clínico y la terapéutica actualizada y/o estandarizada, que implica tomar en cuenta en esta patología una vez diagnosticada.

Palabras claves: hernia; diafragma; malla

ABSTRACT

The aim of this article is to report a case of left diaphragmatic eventration, observed in a 36-year-old female patient at the Hospital-Clinic of the Caja de Salud de La Banca Privada, La Paz, Bolivia.This pathology is a rare entity and presents in most cases as an incidental diagnosis after complementary examinations. In addition, not only the diagnostic means will be exposed, but also its causes, the clinical picture and the updated and/or standardized therapy, which implies taking into account this pathology once diagnosed.

Key words: hernia; diaphragm; mesh

INTRODUCCION

La eventración diafragmática (ED) es una forma especial de hernia diafragmática “sin separación muscular de las fibras tendinosas del diafragma”, no se produce disrupción entre el diafragma y los márgenes costales; esta primera descripción fue realizada por Petit en 17901.

Se define como la elevación anormal y permanente de una parte o de todo el diafragma sin presentar defectos de continuidad con desplazamiento ascendente del contenido abdominal. No se tiene una incidencia exacta, pero oscila entre 1 en 10.000 pacientes, frecuente en el sexo masculino y una mortalidad del 18%2.

Dentro sus causas se consideran 2 grupos3,4: a) congénito: atrofia o deficiencia congénita del diafragma, hepatomegalia, secuestro pulmonar lobar, deficiencia de la parrilla torácica. b) adquirido: parálisis del nervio frénico, absceso subfrenico, traumatismo del diafragma.

El cuadro clínico puede tener dos directrices: a)sintomatología gastrointestinal: dispepsia o epigastralgia, saciedad temprana, meteorismo, náuseas y vómitos; hasta cuadros severos de reflujo y/o obstrucción intestinal alta. b)Sintomatología respiratoria: palpitaciones, disnea, taquipnea, ortopnea, cianosis, llevando a cuadros de neumonías.

PRESENTACIÓN DE CASO

Paciente femenina de 36 años de edad, referida del servicio de gastroenterología, con cuadro clínico de dolor abdominal postprandial, en epigastrio de moderada intensidad, cólico, irradiado a región costal izquierda, además de disnea de grandes esfuerzos; por lo que asume posición antialgica en decúbito lateral izquierdo con extensión superior de miembro superior derecho; distensión abdominal progresiva, náuseas y vómitos alimenticios no cuantificados. Hiporexia y malestar general. Sintomatología que se exacerba 1 semana previa a consulta, acudiendo en 2 oportunidades a la emergencia.

Antecedente quirúrgico: 2016 cirugía extra institucional antireflujo , internada en UTI por 3 meses y sala de cirugía por 1 mes, no refiere más datos de la misma. Refiere internación por Covid-19 asociada a neumonía complicada el 2020. Niega alergias. Al examen físico en regular estado, piel mucosas hidratadas, pálidas, Signos vitales: F.C.: 95lat./min, P.A.: 90/60mmHg, F.R.: 20resp./min., T: 38°C., Peso: 54Kg. Talla: 1.65mts.

En hemitórax izquierdo se observa 2 cicatrices quirúrgicas de 1cm de diámetro, cardiopulmonar normal abdomen se evidencia cicatriz quirúrgica mediana supra umbilical y cicatrices en flancos aparente de drenajes, con RHA (+) blando no doloroso Blumberg (-), resto de examen semiológico normal, Glasgow 15/15.

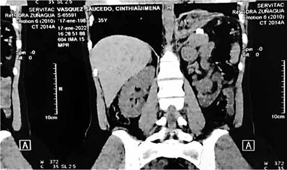
Cuenta con exámenes imagenologicos: Serie contrastada esófago gastroduodenal: se observa ascenso de fondo gástrico por encima del margen diafragmático izquierdo (FIGURA 1). TAC toracoabdominal contrastada donde evidencia elevación diafragmática con retracción hacia caja torácica izquierda de fondo gástrico (FIGURA 2). Además, cuenta con laboratorios sanguíneos alterados (TABLA 1).

FUENTE: PROPIA, HISTORIAL CLINICO

FIGURA 1: Serie esofagogastroduodenal evidencia ascenso fondo gástrico 

TABLA 1: laboratorios secuenciales 

FUENTE: PROPIA, HISTORIAL CLINICO

FUENTE: PROPIA, HISTORIAL CLINICO

FIGURA 2: TAC toracoabdominal contrastada 

Tras la revisión clínico/semiológica e imagenologica además de laboratorial, se llega a los diagnósticos de: eventración diafragmática izquierda, anemia secundaria, desnutrición calórica proteica.

Se llamó a junta médica: Jefatura médica, Gestión de Calidad, Cirugía Torácica, Cirugía General y Gastroenterología. Tras análisis de caso, se considera patología compleja que requiere manejo multidisciplinario y conducta quirúrgica a corto plazo; plan de acción operatorio abordaje torácico. Se realizó junta devolutiva a paciente y familiares para información de tratamiento a seguir.

Se internó a paciente y se inició tratamiento: dieta hiperproteica hipercalórica, nutrición parenteral parcial, complejos vitamínicos y oligoelementos además de inhibidores de la bomba de protones y antieméticos. Se solicitó interconsultas para corrección de medio interno. Hematología reporta anemia carencial, indica medicación en base a hierro vía oral y transfusión de 2 unidades de paquete globular. Cardiología reporta riesgo cardiológico Goldman II/IV, con recomendación de mejora de medio interno.

Se realiza nuevo control laboratorial preoperatorio (TABLA 1).

Se programa cirugía electiva con equipo multidisciplinario (cirugía torácica, cirugía general, anestesiología, terapia intensiva):

  • Paciente en decúbito lateral derecha bajo anestesia general. Toracotomía lateral, se evidencia gran proceso adherencial liberación de sinequias con maniobras romas (FIGURA 3-A). Se identifica adherencia gastropulmonar firme, liberación de la misma pero durante proceso se produce perforación accidental de fondo gástrico reparación mediante sutura en 2 planos con vicryl 3-0 surget continuo primera hilera y la segunda Lembert.

  • Por excesiva fibrosis, falta de plano de clivaje y lasitud de diafragma, se procede a plicacion con prolene 1 puntos simples (FIGURA 3-B), instalación de malla de polipropileno y tubos de pleurostomia izquierdos (FIGURA 3-C). Fin de procedimiento sin complicaciones, paciente pasa a UTI (FIGURA 3-D)

FUENTE: PROPIA

FIGURA 3: Hallazgos intraoperatorios 

Durante PO inmediato y mediato no hubo eventualidades; pasó a sala de cirugía posterior a estar 3 días en UTI. Se mantuvo manejo endovenoso de medicación además de controles laboratoriales con gran mejoría; se inicia dieta al 5to día PO, además de RX de tórax de control sin hallazgos patológicos. Se efectuó interconsulta con fisioterapia quien inicia terapia ventilatoria tanto activa como pasiva. Es dada de alta 7mo día en buenas condiciones (FIGURA 4).

FUENTE: PROPIA EXPEDIENTE CLINICO

FIGURA 4: Evolución post operatoria 

Se realizó TAC de control a 2 meses con evidencia de rectificación de cúpulas diafragmáticas (FIGURA 5) y seguimiento por 6 meses sin intercurrencias.

FUENTE: PROPIA EXPEDIENTE CLINICO

FIGURA 5: TAC contrastada de control 

DISCUSION

La ED es una patología infrecuente y se diagnostica de forma incidental al realizar RX de tórax en síndrome de dificultad respiratoria o cuadros respiratorios, que conlleva a que el paciente acuda a consulta5.

Fisiopatológicamente, se produce debilidad del componente muscular diafragmático. La mayoría de los pacientes son asintomáticos, otro grupo debido a sinequias entre el pulmón y el diafragma, se manifiestan como elevación anormal del hemidiafragma afectado, limitando el proceso de la respiración y el proceso mecánico de amplexion/amplexacion, de forma continúa generando síntomas respiratorios, al existir esta elevación sostenida, genera tracción de órganos abdominales como el estómago o intestinales, produciendo sintomatología gastrointestinal6.

La imagenologia es de utilidad, Rx de tórax, fluoroscopia y TAC contrastada muestran elevación del hemidiafragma, ángulos, o la repleción del contraste administrado por encima de la cúpula diafragmática.

Los diagnósticos diferenciales son: enfisema lobar congénito y en caso de presentarse en el lado derecho, efusión pleural derecha, tumores o quistes hepáticos.

A pesar de la baja morbimortalidad, el tratamiento es discutido, ya que la decisión dependerá del paciente y del cirujano tratante; algunos optan por no operar si el paciente es asintomático. Pero en pacientes sintomáticos, el manejo quirúrgico, reporta en los casos publicados, altas expectativas de resolución completa, ya que busca estabilizar el diafragma y evitar movimientos paradójicos que conllevan a síntomas respiratorios o digestivos. La técnica quirúrgica descrita en la literatura es variada, que va desde técnicas mini invasivas como VATS hasta técnicas tradicionales a cielo abierto. Pero todas tienen la misma finalidad la cual es la plicacion diafragmática con o sin malla.

Al ser una patología compleja, el tratamiento debe ser razonado, sistematizado, individualizado y multidisciplinario, sobre todo en cuadros con desenlace quirúrgico7,8,9.

El pronóstico en general es bueno, y las probables complicaciones son: infección pulmonar crónica, ruptura diafragmática, úlceras y vólvulo de estómago 10 11.

En relación a nuestra paciente la causa de ED fue adquirida aparentemente post traumática, en relación a la sintomatología cursaba con datos gastrointestinales y respiratorios; los exámenes imagenologicos fueron los que guiaron en el diagnóstico final. El manejo fue multidisciplinario ya que por los antecedentes se debía de tomar la mejor conducta y tras la cirugía que fue la plicacion mas malla de polipropileno, existió remisión total del cuadro clínico que la aquejaba.

AGRADECIMIENTOS:

A la paciente y familiares por autorizarnos para poder compartir información de esta rara y poco frecuente patología. Al comité editorial por difundir las experiencias científicas vividas día a día en la labor medica.

REFERENCIAS

1) Souza L., Centellas S., Parra M., Fregoso L., García J., Rosales E., Zaragoza J. Romero T. Eventración diafragmática en el adulto reporte de un caso. Rev Fac Med UNAM 2016;59(3):17-21.Links ]

2) Sanchez P., Criales J. Eventración diafragmática. Presentación de un caso. Gac Méd Méx 2004;140(3):353-54.Links ]

3) Malo R., Herranz X., Maestre J., Carrasco M., Rossell A. Eventración diafragmática izquierda en un adulto con síntomas de fallo cardiaco derecho reporte de un caso raro. Rev Esp Casos Clin Med Intern (RECCMI) 2019;4(1):30-2.Links ]

4) Groth S, Andrade R. Diaphragm pllication for eventration or paralysis: a review of the literature. Ann Thorac Surg. 2010;89(6):S2146-50.Links ]

5) Guzmán C., Hernández R., Soto M.,Hinojos L. Eventración diafragmática congénita en un paciente de nueve meses: presentación de caso clínico y revisión, de la literature. Neumol Cir Torax, 2017;76,(1):24-9.Links ]

6) Lau-Gary TE, To-Andrew CY. Eventration of the right hemidiaphragm with resultant right atrial compression: a rare finding. Echocardiography. 2016;33(9):1432-143.Links ]

7) Ortega P., Facy O., Cheynel N., Rat P. Tratamiento quirúrgico de las eventraciones diafragmáticas. Rev EMC Tec Quir Ap Digest 2018;34(3):1-7.Links ]

8) Rombola C., et al. Tratamiento de la eventración diafragmática en adultos mediante plicatura diafragmática asistida por videotoracoscopia. ¿Es una técnica difundida en nuestro medio? Revisión de la literatura, resultados de una encuesta nacional. Rev Cir Esp, 2014;92(7):453-62.Links ]

9) Ruggeri M., Valiente R., Amicucci R., Lucilli N. Eventracion diafragmática una enfermedad poco frecuente. Rev Argent Cirug 2014;106(4):241-3.Links ]

10) Gazala S, Hunt I, Bedard E. Diaphragmatic plication offers functional improvement in dyspnoea and better pulmonary function with low morbidity. Interact Cardiovasc Thorac Surg. 2012;15:505-8.Links ]

11) López F. Presentación de un paciente con eventración diafragmática. Rev CCM, 2014;18(3): 557-63.Links ]

CENTRO DONDE SE REALIZO EL TRABAJO DE INVESTIGACION: SERVICIO DE CIRUGIA GENERAL Y TORACICA. CLINICA CAJA DE SALUD DE LA BANCA PRIVADA LA PAZ - BOLIVIA

*Responsable: Dra. Laura Andrea Conde Flores E-mail: condefloreslaura1994@gmail.com Celular: 72569099

CONFLICTO DE INTERES

Los autores declaran no tener conflicto de interés.

Creative Commons License Este es un artículo publicado en acceso abierto bajo una licencia Creative Commons