SciELO - Scientific Electronic Library Online

 
vol.30 número2RELACION ENTRE LOS SISTEMAS AKIN Y KDIGO EN EL DIAGNÓSTICO DE LESION RENAL AGUDA ASOCIADA A SEPSIS "S-AKI”SINDROME DE TAKOTSUBO ASOCIADO A CARDIOPATIA ISQUÉMICA Y SÍNDROME METABÓLICO, MANEJO MULTIDISCIPLINARIO índice de autoresíndice de materiabúsqueda de artículos
Home Pagelista alfabética de revistas  

Servicios Personalizados

Revista

Articulo

Indicadores

Links relacionados

  • No hay articulos similaresSimilares en SciELO

Compartir


Revista Médica La Paz

versión On-line ISSN 1726-8958

Rev. Méd. La Paz vol.30 no.2 La Paz  2024  Epub 30-Sep-2024

 

CASOS CLÍNICOS

CARCINOMA RENAL DE CÉLULAS CLARAS CON DIFERENCIACIÓN SARCOMATOIDE A PROPÓSITO DE UN CASO

CLEAR CELL RENAL CELL CARCINOMA WITH SARCOMATOID DIFFERENTIATION IN A CASE REPORT

Germán Palenque Rocabado1  * 
http://orcid.org/0009-0004-8694-2089

1Médico Especialista en Anatomía Patológica. Jefe de Servicio de Patología. Hospital Obrero N° 6 “Dr. Jaime Mendoza” Sucre - Chuquisaca


RESUMEN

Los carcinomas de células renales con patrón sarcomatoide es una entidad infrecuente el carcinoma renal de células claras con diferenciación sarcomatoide.

Se presenta un paciente de sexo masculino de 57 años de edad, que acude al servicio de emergencias por presentar una sintomatología de 3 días de evolución y que después de una valoración tanto de los hallazgos clínicos, como de laboratorio y de gabinete se decide realizar una intervención quirúrgica. Después del examen de anatomía patológica se concluye con el diagnóstico de cáncer de riñón Tipo histológico de células claras con extensas áreas de diferenciación sarcomatoide. Grado nuclear 4 de Fuhrman.

Es esencial el diagnóstico histológico certero, donde se observó presencia de áreas sarcomatoides, en algunos campos se observó células claras, pero lo que predomina mas es las áreas de necrosis. Siendo que existen entidades patológicas que se debe plantear el diagnóstico diferencial como: fibrohistiocitoma maligno, hemangiopericitoma, fibrosarcoma, angiosarcoma y rabdomiosarcoma pleomórfico, es esencial la complementación con estudios de inmunohistoquimica, que en el presente caso no se realizó en el presente caso no se lo realizo.

Palabras claves: Carcinoma de células claras; sarcoma renal; cáncer renal

ABSTRACT

Renal cell carcinomas with sarcomatoid pattern are a rare entity, olear cell renal cell carcinoma with sarcomatoid differentiation. We present a 57-year-old male patient who went to the emergency service with symptoms that had been developing for 3 days and after evaluating the clinical, laboratory and office findings, it was decided to perform an surgical intervention. After the pathological examination, the diagnosis of kidney cancer was concluded. Histological type of clear cells with extensive areas of sarcomatoid differentiation. Fuhrman nuclear grade 4. An accurate histological diagnosis is essential, where the presence of sarcomatoid areas was observed, in some fields clear cells were observed, but what predominates most are the areas of necrosis. Since there are pathological entities that must be differentially diagnosed, such as: malignant fibrohistiocytoma, hemangiopericytoma, fibrosarcoma, angiosarcoma and pleomorphic rhabdomyosarcoma, it is essential to complement them with immunohistochemistry studies, which were not performed in the present case.

Keywords: Clear cell carcinoma; renal sarcoma; renal cancer

INTRODUCCIÓN

Los carcinomas de células renales (CCR) representan el 3% de todas las neoplasias(1). Se pueden distinguir 3 variedades histológicas: el de células claras (80-90 % de los casos), el papilar (10-15 %) y el cromófobo (4-5 %)(2). Actualmente, la presentación de un patrón sarcomatoide no se considera una afección distinta, ya que puede formar parte de todos los tipos histológicos mencionados hasta en un 5-7%(3); debido a esto, la mayoría de los casos con patrón sarcomatoide son tumores con histología de células claras, con un alto grado nuclear. El término sarcomatoide, descrito por primera vez por Farrow en 1968, no se considera un subtipo patológico sino una característica histológica específica y se caracteriza por presentar componentes epiteliales y mesenquimales(2).

Microscópicamente esta neoplasia presenta células fusiformes que tienden a tener un carácter infiltrante, dando un comportamiento local y metastásico agresivo(4).

El pronóstico en este tipo de neoplasias es sombrío y la supervivencia es menor de doce meses asociándose a metástasis donde los sitios más frecuentes son hueso, el hígado, pulmón y sistema nervioso central(5).

Siendo una entidad infrecuente el carcinoma renal de células claras con diferenciación sarcomatoide, motivo a la presentación de este trabajo para su publicación.

CASO CLÍNICO

Paciente masculino de 57 años de edad, acude al servicio de emergencias del Hospital Jaime Mendoza de la Caja Nacional de Salud en la ciudad de Sucre por presentar un cuadro clínico de 3 días de evolución caracterizado por pérdida de fuerza en ambos miembros inferiores, malestar general, astenia, adinamia, dolor lumbar, hematuria y pérdida de peso, síntomas que se van exacerbando con el paso de los días.

Dentro de los antecedentes personales patológicos es diagnosticado de diabetes el 2005 con tratamiento en base a insulina 30 U/día.

Al examen físico en regular estado, piel mucosas pálidas, cardiopulmonar sin hallazgos patológicos, a nivel de abdomen, presenta dolor a la palpación profunda entre epigastrio y mesogastrio, donde se percibe la presencia de una masa móvil de aproximadamente 3x3 cm, sin videncia de datos de peritonismo; además de puño percusión positiva en lado derecho y puntos uretrales negativos.

Por los hallazgos se decide realizar estudios complementarios tanto laboratoriales como imagenologicos.

Ultrasonografía. Riñón derecho: reporta posible NEO riñón derecho (FIGURA 1).

Fuente: propia

FIGURA 1: Ecografía abdominal: Presencia de NEO en riñón derecho 

Tomografía axial computada no contrastada (TAC): Muestra imagen de tumoración renal derecha dependiente de polo superior (FIGURA 2).

Fuente: propia

FIGURA 2: TAC con corte coronal se observa lesión tumoral en polo superior de riñón derecho 

Exámenes de laboratorio: biometría hemática. Glóbulos Rojos 3.32L x 106/Ul, Hemoglobina: 9.3gr/dL, hematocrito: 22.70%, leucocitos: 11,120uL, plaquetas 560,000uL, tiempo de protrombina: 35.7 segundos, creatinina 1,0 mg/dl, Urea 22mg/dl, glucosa: 90mg/dL y electrólitos (K 3.5meq/L, Na 137meq/L, Ca 3.95meq/L, Cl 103meq/L). Examen general de orina: sin hallazgos patológicos.

Después de la valoración tanto de los hallazgos clínicos, laboratoriales e imagenologicos, el paciente es internado en el servicio de urología, programándose la intervención quirúrgica, encontrándose dentro de los hallazgos transoperatorios: Riñón derecho con tumoración de +/-10cm de diámetro coloración amarillenta, bordes irregulares de consistencia dura; por lo que se decide realizar nefrectomía radical derecha, enviándose la pieza operatoria al servicio de anatomía patológica. El paciente presento una evolución favorable posterior a la intervención quirúrgica siendo dado de alta al tercer día post operatorio. Se continuo con seguimiento por consulta externa de urología.

Recibida la pieza en el servicio de patología se evidencia: El examen macroscópico de la pieza operatoria muestra un riñón de 14 x 7 x 4 cm. Y peso de 350 gramos, mismo que ante la inspección externa muestra presencia de tumoración a nivel de borde externo, adyacente a uno de los polos, mismo que no es identificado en quirófano. La masa tumoral mide 8x6x4 cm. de tamaño, mismo que es de color amarillento, de bordes bien definidos, y donde se aprecia áreas solidas entremezcladas con áreas quísticas (FIGURA 3).

Fuente: propia

FIGURA 3: Pieza macroscópica de riñón: se observa lesión tumoral en polo superior 

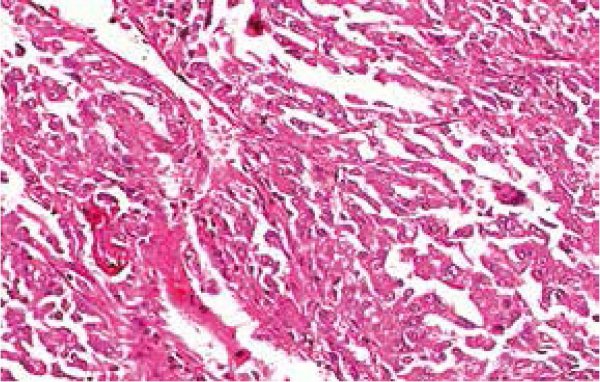
Al examen microscópico muestra una masa tumoral con 80% de material necrótico,y20% muestraunaproliferación tumoral de tipo sarcomatoide, con núcleos discarioticos, pleomorficos; en sectores se observa láminas de células epiteliales de abundante citoplasma claro, núcleos irregulares, de cromatina fina; tejido conectivo con moderado infiltrado inflamatorio linfoplasmocitario; esta formación tumoral se encuentra separada de la fascia de Gerota, no se observa células neoplásicas, sin embargo se identifican permeaciones linfovasculares (FIGURA 4).

Fuente: propia

FIGURA 4: Microfotografía 400x: Se observa a mayor detalle la presencia de células tumorales con cambios anaplasicos de los núcleos. 

Los cortes histológicos del uréter renal muestran epitelio de transición normotipico sin infiltración tumoral; el hilio renal se identifica arteria renal sin compromiso tumoral.

Con todos estos hallazgos se concluye con el diagnóstico de cáncer de riñón (volumen tumoral: 8 x 6 x 4 cm.) Tipo histológico de células claras con extensas áreas de diferenciación sarcomatoide. Grado nuclear 4 de Fuhrman.

DISCUSIÓN

En el pasado el carcinoma renal con patrón sarcomatoide era considerado como un subtipo histológico independiente(6). Sin embargo en la actualidad este término hace referencia a una diferenciación de los subtipos histológicos que cualquiera de los carcinomas renales pueda adquirir, aspecto que es reflejado en la última clasificación de la OMS de los tumores renales considerándolo como un tipo de diferenciación morfológica fusocelular de alto grado citológico que generalmente se expresa junto a uno de los patrones clásicos de carcinoma y que en aislados casos se constituye en el único subtipo histológico, presentando la neoplasia un aspecto sarcomatoso. En cualquier caso es indudable el comportamiento agresivo y de mal pronóstico que se asocia a estos tumores, lo cual condiciona la asignación invariable de un grado IV de Furhman. Se trata de neoplasias con gran agresividad local y un alto potencial metastatizante(7).

El carcinoma renal de células claras con diferenciación sarcomatoide es una neoplasia muy agresiva, que además muy sintomático y que en muchos casos en el momento del diagnóstico muestra metástasis(8).

El paciente descrito manifestó dolor lumbar, hematuria y pérdida de peso, que es frecuente en este tipo de tumores. Se constató metástasis en la glándula suprarrenal ipsilateral e infiltración tumoral a la cápsula renal, vasos intrarrenales y grasa perirrenal.

La etiología de este trastorno todavía sigue siendo desconocida; existen varias hipótesis pero hoy en día la teoría más aceptada como se menciono es que se trata de una des diferenciación o transformación subclonal de un componente carcinomatoso incidente(2).

Como en cualquier neoplasia es esencial el diagnóstico histológico certero(9). En el presente caso la exploración histológica evidencio un patrón histológico de crecimiento transformador de neoplasia epitelial en células en forma de huso, con bastante pleomorfismo nuclear.

Una característica importante en lo que respecta a estas neoplasias es la presencia de necrosis tumoral(10). En el caso revisado se encontró presencia de necrosis en un 80% de la neoplasia, mostrando una característica más de su agresividad.

Esta entidad neoplásica puede plantear diagnóstico diferencial con otros tumores como: fibrohistiocitoma maligno, hemangiopericitoma, fibrosarcoma, angiosarcoma y rabdomiosarcoma pleomórfico, sarcomas que coinciden en su presentación histológica presentando localización renal y tener un patrón histológico fusiforme predominante imposible de distinguir morfológicamente del patrón sarcomatoide. En tales casos las técnicas inmunohistoquímicas serán de gran valor para realizar un diagnóstico correcto pues únicamente el carcinoma sarcomatoide mostrará inmunotinción con queratinas. Se debe dar una gran atención al diagnóstico diferencial con el sarcoma sinovial el cual en muy raros casos puede mostrar una localización renal; en tales casos la distinción morfológica e inmunohistoquímica no es posible, siendo necesario recurrir al estudio genético para demostrar la translocación t(X,18) (p11.2,q11.2) la cual está presente en el sarcoma sinovial y no en el carcinoma sarcomatoide.

CONCLUSIONES

Es recomendable realizar estudios de inmunohistoquímica complementario, para una mejor caracterización en relación a este tipo de neoplasias, pero es dependiente de la disponibilidad de los recursos laboratoriales en la institución.

REFERENCIAS

1 Acosta E, et al. Carcinoma de células renales. Rev Med Inst Mex Seg Soc [Internet]. 6 de marzo del 2015 [consultado el 12 de noviembre de 2023]; 53(4): 454-465.Links ]

2 Almeida Y, Piñón K, De Zayas L. Carcinoma renal de células claras con diferenciación sarcomatoide. Rev Cien Méd, 2021;25(3): 1561-94.Links ]

3 Cortés Y, Cortés A, Priego A, Fernández E, Silva F, Gutiérrez Cl. Carcinoma renal de células claras con patrón sarcomatoide asociado a metástasis gingival. Reporte de caso y revisión de la literatura. Rev Cir, 2020; 88(1): 54-8.Links ]

4 Vásquez., Balcazar A., Arce Y., Allemant R., Carcinoma renal con cuadro clínico de infeccion urinaria recurrente en paciente joven, An Fac med. 2019; 80(1):60-3.Links ]

5 Rivero J; Reyes BM, Martínez D, et al. Carcinoma renal sarcomatoide e hidronefrosis izquierda. Rev Cub Uro, 2017; 6(2):93-9Links ]

6 Ordoñez N. Tracto urinario. En J. Rosai y Ackerman Patología Quirúrgica. 11 ed. Bogota: Amolka; 2019: 1101-1246.Links ]

7 Eble J, Grignom D, Young R. Tumores del Tracto urinario. En Fletcher Chr. Diagnostico histopatologico de tumores. 4 ed. Bogota: Almolca; 2016: 559-602.Links ]

8 Chacón L, Moreira M. Carcinoma de células renales: descripción de casos. Acta med. Cost, 2015; 57(3): 113-16.Links ]

9 Alevizakos M, Gaitanidis A, Nasioudis D, Msaouel P, Appleman LJ. Sarcomatoid Renal Cell Carcinoma: Population-Based Study of 879 Patients. Clin Genitourin Cancer, 2019; 17(3):447-53Links ]

10 Queipo F, Panizo A., Sola J, Beorlegui C, Velis J, Dolezal P, Pardo-Mindán J., Carcinomas renales con rasgos sarcomatoides y rabdoides: estudio clínico-patológico de 74 casos. An Sist San Nav, 2018; 41(2): 191-99Links ]

CENTRO DONDE SE REALIZO EL ESTUDIO: SERVICIO DE PATOLOGIA HOSPITAL OBRERO N°6 DR. JAIME MENDOZA. SUCRE - CHUQUISACA

CONFLICTO DE INTERESES Los autores declaran que la investigacion se llevo a cabo en ausencia de cualquier relacion comercial o financiera que pudiera interpretarse como un posible conflicto de intereses.

*Correspondencia a: Germán Palenque Rocabado Correo electrónico: palenque.german@usfx.bo Telf. y celular: 73072050 • Orcid: https://orcid.org/0009-0004-8694-2089

Creative Commons License Este es un artículo publicado en acceso abierto bajo una licencia Creative Commons