INTRODUCCIÓN
El carcinosarcoma es un tumor maligno bifásico con componentes epiteliales y sarcomatosos de alto grado, el componente sarcomatoso se deriva del componente cancerígeno como resultado de la metaplasia / transdiferenciación (transición epitelial a mesenquimatosa), se lo denomina también: Tumor Mülleriano maligno mixto, tumor mesodérmico mixto o carcinoma metaplásico.1,4
Características esenciales; se trata de una neoplasia poco frecuente y agresiva que ocurre generalmente en mujeres posmenopáusicas, con mayor frecuencia en el cuerpo uterino2
La estadificación es similar a los carcinomas de endometrio según la Federación Internacional de Ginecología y Obstetricia (FIGO) y el American Joint Committee on Cancer (AJCC)5,6
Etiología; casi todos son esporádicos, el uso de tamoxifeno y la radioterapia pélvica se han relacionado con un aumento de la incidencia, otros factores predisponentes son la exposición crónica a los estrógenos, la nuliparidad, la diabetes y la obesidad4
Características clínicas; El sangrado vaginal, la masa abdominal y el dolor pélvico son los síntomas de presentación habituales, el 10 % de los pacientes presentan metástasis a distancia en el momento de la presentación. La diseminación extrauterina en hasta el 45% de las pacientes en el momento de la presentación.3,4
Tratamiento; el tratamiento puede ir desde una Histerectomía abdominal total y salpingooforectomía bilateral con linfadenectomía pélvica y/o Radioterapia y quimioterapia o quimioterapia sola.7,8
CASO CLINICO
Se trata de una paciente de 61 años de edad, procedente de Cochabamba y residente de la cuidad de Warnes, que acude al Instituto Oncológico del Oriente Boliviano por presentar cuadro de sangrado genital anormal desde diciembre de 2023, acudió de forma particular a un centro de salud donde se realiza la toma de un Papanicolau el cual reportaba Lesión Intraepitelial de Alto Grado (LIE AG) y una biopsia cervical con diagnostico de Carcinoma escamoso in situ (CA in situ), cervicitis crónica activa con signos sugerentes por HPV.
Antecedentes Gineco obstétricos: Gestas: 2 Partos: 2 Menarca:13 años Menopausia: 52 años PAP: nunca había realizado, no tenía antecedentes quirúrgicos, es diagnosticada de Hipertensión arterial desde enero 2024 y en tratamiento con Losartan 50 mg VO cada día.
Realizada su evaluación en el servicio de Oncología Ginecológica se solicitan estudios complementarios, los mismos que dan cuenta de un aumento de volumen uterino. Teniendo imágenes de ecografía transvaginal y TAC C/C de Pelvis que evidencia un engrosamiento endometrial importante de 44mm y el PAP que reportaba un LIE-AG se decide realizar un cono LEEP y una Legrado Uterino Instrumental (LUI) programado.
Los resultados por cono LEEP: NIC 3 con compromiso glandular, el LUI informa de: Fragmentos de epitelio endometrial sin atipias y fragmentos de tejido necrótico.
La paciente persistía con sangrado genital después de la realización de ambos procedimientos por lo que se realiza un nuevo examen clínico e imagenológico, al examen físico la paciente se presenta con un Karnofsky (K)70% ECOG 1, en regular estado general, piel y mucosas pálidas, no se palpan adenopatías periféricas, abdomen globoso a expensas de TCSC, blando, depresible, se palpa tumoración en hueco pélvico de más o menos 15 x 12 cm poco móvil, vulva de aspecto normal, vagina de paredes lisas con fondos de saco libres, cérvix conizado epitelizado con escaso sangrado que impresiona de cavidad, útero aumentado de volumen, doloroso a la movilización y al tacto rectal parametrios libres
Se solicita una tomografía de control evidenciando útero aumentado en dimensiones (Imagen 1), múltiples adenopatías en cadena iliaca primitiva, iliaca externa bilateral y obturatriz izquierda, la de mayor dimensión de 18x 15 y la de menor tamaño 12x10mm. En los laboratorios de control se evidencia una anemia severa (Hb 6 g/dl Hto 19 %) por lo que se presenta a Comité de Tumores de Oncología Ginecológica decidiendo su Intervención quirúrgica más biopsia por congelación.
Se procedió a realizar una Histerectomía total, salpingooforectomia bilateral, omentectomía parcial y linfadenectomía selectiva, en el transoperatorio el resultado de la biopsia por congelación reportó un Tumor maligno indiferenciado polipoide con compromiso de la superficie externa. (Imagen 2)
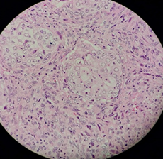
El diagnostico histopatológico definitivo fue de un Carcinosarcoma o Tumor Mulleriano mixto maligno EC IIIC2ii (pT3a pN2a M0) y se solicitó Inmunohistoquimica. (Imagen3)
Debido al tipo histológico de alto riesgo y características propia de este tipo de tumor la paciente fue derivada a los servicios de Radioterapia y oncología clínica para tratamiento adyuvante.
DISCUSIÓN
Los carcinosarcomas uterinos (anteriormente llamados tumores malignos mixtos de Müller) son cánceres raros y agresivos que son carcinomas desdiferenciados (metaplásicos) compuestos por elementos carcinomatosas y sarcomatosos que surgen de un solo clon epitelial maligno.6,9 Pueden representar una alteración estable de la transición epitelial mesenquimal.10,11 Se consideran una variante de alto riesgo del adenocarcinoma endometrial porque los carcinosarcomas comparten similitudes epidemiológicas, factores de riesgo y comportamiento clínico más estrechamente con el carcinoma endometrial que con los sarcomas uterinos.9,10
Las mujeres con carcinosarcomas uterinos pueden presentar una tríada clínica clásica de dolor, sangrado y un útero que se agranda rápidamente. De estos, el sangrado vaginal es el signo de presentación más común para las mujeres con carcinosarcoma signo que se presento en el caso reportado.4,10
Más del 10% de las pacientes con carcinosarcoma presentarán enfermedad metastásica y el 60% tendrán enfermedad extrauterina en las exploraciones de estadificación datos que se pudieron comprobar en la exploración quirúrgica y resultados de anatomía patológica tanto en el reporte diferido y por congelación de nuestra paciente.8,10
El pronóstico general del carcinosarcoma uterino es malo, incluso con los mejores cuidados, debido a su comportamiento agresivo.4,5 El estadio quirúrgico es el factor pronóstico más importante, y la invasión miometrial profunda y la extensión extrauterina predicen un mal pronóstico.9,10 La supervivencia a 5 años es del 60-75% para la enfermedad confinadamente al útero, del 40-60% para la enfermedad en estadio temprano (I y II) y del 15-30% para la enfermedad en estadio tardío, con una mediana de supervivencia general de menos de 2 años.7,9,10
CONCLUSIONES
En resumen, en este artículo se reporta un caso raro de Carcinosarcoma uterino, teniendo en cuenta la naturaleza altamente invasiva de los Carcinosarcomas uterinos, la detección oportuna de este cáncer mediante hallazgos característicos de imagen y patología es de extrema importancia para mejorar la supervivencia de la paciente.











uBio 




