INTRODUCCIÓN
El síndrome de Herlyn-Werner-Wunderlich (HWWS), una rara malformación de origen mülleriano y mesonéfrico, fue inicialmente descrito en 19221. La frecuencia de este síndrome es incierta debido a que muchas pacientes no presentan síntomas; no obstante, se estima que la incidencia general de anomalías müllerianas es del 2-3%, y el síndrome de Herlyn-Werner-Wünderlich constituye aproximadamente entre un 0,1% y 3,5% de estas anomalías2.La etiología del SHWW implica desarrollos anormales de los conductos de Müller y Wolff, afectando la fusión central y el contacto con el seno urogenital, resultando en agenesia renal unilateral y útero bicorpóreo con hemivagina obstruida1. Desde el punto de vista clínico, las mujeres afectadas suelen experimentar dolor pélvico crónico, dismenorrea y masa abdominal indican hematometra/hematocolpos. El tratamiento es una vaginoplastia para eliminar obstrucciones y prevenir complicaciones como endometriosis e infertilidad4.
El diagnóstico del síndrome de Herlyn-Werner-Wunderlich presenta desafíos clínicos e imagenológicos. La ecografía es comúnmente utilizada, pero la resonancia magnética se considera la modalidad más precisa para revelar detalladamente la anatomía y detectar hematómetra y hematocolpos, indicados inicialmente por la presencia de una masa quística en la pelvis5.
Este artículo presenta el caso de una adolescente de 13 años con el Síndrome de Wünderlich, intervenida quirúrgicamente en el Hospital Roberto Galindo Terán de Cobija, Pando, Bolivia. El objetivo es describir la presentación inicial, la intervención quirúrgica y la evolución postoperatoria, destacando aspectos diagnósticos y terapéuticos para contribuir al conocimiento médico de esta rara condición. Se busca proporcionar información relevante para la comunidad médica y científica.
PRESENTACIÓN DEL CASO
Se presenta el caso de una paciente femenina (MHD) de 13 años de edad de procedencia rural del municipio de porvenir- Pando que acude al Hospital Roberto Galindo Teran de la ciudad de Cobija con cuadro clínico de aproximadamente 7 días de evolución caracterizado por presentar dolor abdominal en región de hipogastrio y fosa iliaca derecha (FID) irradiado hacia flanco homolateral de moderada intensidad de tipo cólico que se exacerba con la movilización.
Al examen físico dolor tipo urente a la palpación superficial y profunda en FID sugestivo de masa palpable.
Antecedentes Gineco-Obstétricos:
GOB: G:0; C:0; A:0
Menarca: 13 años inició en Febrero de 2022 FUM: 11 de Noviembre de 2022 (en escasa cantidad a referencia de la madre)
RITMO: 5 días irregular
MAC: Ninguno
PAP: No realizó
FLUJO GENITAL: No refiere
NO INICIO RELACIONES SEXUALES
Ecografía abdominal de urgencias reporta:
- Datos de agenesia renal derecha con aumento compensatorio fisiológico del riñón izquierdo en relación a monoreno.
- Esplenomegalia homogénea leve de etiología a determinar.
- Útero aparentemente bicorne septado aumentado de volumen y tamaño de aspecto heterogéneo. Se sugiere estudio dirigido ecografía ginecológica.
- Colección ecogénica en cavidad uterina en probable relación a hematómetra y hematocolpos.
- Ambos ovarios no visualizados.
- Líquido libre escaso en FID en probable relación a datos de proceso inflamatorio apendicular. Se sugiere correlacionar con clínica y laboratorios.
Impresión diagnóstica de emergencia: Abdomen agudo quirúrgico.

Fuente: Hospital Roberto Galindo Teran, Pando-Cobija
Figura 1 a y b: Ecografías Pélvicas donde se observan en ambas imágenes en un corte longitudinal derecho un útero en AVF. Aparentemente Didelfo bicorne asimétrico y/o subseptado aumentado de volumen y tamaño de aspecto heterogéneo donde se evidencia líquido anecoico en cavidad endometrial derecha probable colección obstruida sugestivo de Malformación Mulleriana tipo III- IV en estudio.
Informe de Tomografía simple de abdomen que reporta:
- Datos tomográficos compatibles con agenesia renal derecha con hipertrofia renal izquierda compensatoria, (monorreno izquierdo) asociado a malformación Mülleriana uterina con dilatación difusa de la cavidad (hematometra) en probable relación a utero didelfo con aparente cuerno rudimentario derecho y obstrucción parcial de la vagina con hematocolpos todo como anomalía congénita del tracto urogenital altamente sugestivo del sindrome de Herlyn - Werner Wunderlich tambien llamado Sdr. OHVIRA. Se sugiere complementar con estudios de contrastado de TC y/o IRM de abdomen y pelvis. .
- Engrosamiento difuso de la pared vesical en relación a probable cistitis se sugiere correlacionar con clínica y laboratorios.
- Datos sugestivos de colecistitis aguda alitiasica a evaluar con ecografía.
- Esplenomegalia homogénea leve grado I.

Fuente: Hospital Roberto Galindo Teran, Pando-Cobija
Figura 2: Ecografía abdominal, Lo más llamativo se evidencia la ausencia del riñón derecho en relación a agenesia renal con aumento morfológico fisiologico compensatorio del riñón izquierdo. En cavidad pélvica se observa nuevamente aumento de la colección anecoica en cavidad endometrial y vaginal derecha sugestivo de hematocolpos (vagina obstruida ipsilateral) ambos correspondientes a probable OHVIRA. (malformación uterina caracterizada por útero didelfo, hemivagina ciega total o parcial y agenesia renal ipsilateral). Escaso liquido libre en FID sin visualización del apéndice cecal a corroborar con clínica y laboratorios

Figura 3: a)Tomografía Computada de abdomen simple en proyecciones axial, sagital, coronal y reconstrucción volumétrica donde se corrobora la agenesia renal derecha con riñón izquierdo compensatorio incrementado de morfología en sus diámetros mayores en relación a monoreno. En cavidad pélvica se observa útero incrementado de tamaño con contenido hipodenso en cavidad endometrial a predominio derecho en relación a hematocolpos. b) Tomografía de abdomen simple en plano coronal donde se observa agenesia renal derecha con hipertrofia fisiológica compensadora del riñón izquierdo incrementado de morfología en sus diámetros longitudinal y anteroposterior mide 122,3 x 68,4mm. en relación a monorreno

Fuente: Hospital Roberto Galindo Teran, Pando-Cobija
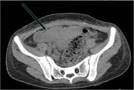
Figura 4: Tomografía de pelvis simple en proyección axial donde se observa útero en AVF de aspecto irregular incrementado de tamaño con dilatación de la cavidad endometrial y vaginal contenido hipodenso líquido, con aparente forma bicorne con cuerno rudimentario hacia anexo derecho en probable relación a obstrucción (hematómetra y hematocolpos)se evidencia además escaso liquido libre periapendicular y estriaciones de la grasa peritoneal sugestivo de proceso inflamatorio apendicular

Fuente: Servicio De Imagenologia Hospital Roberto Galindo Teran Pando-Cobija
Figura 5: Tomografía de abdomen simple corte sagital con malformación Mulleriana tipo 4. Utero didelfo de aspecto irregular aumentado de tamaño con obstrucción hipodenso de la cavidad uterina y canal vaginal.(hematómetra y hematocolpos)
PROTOCOLO QUIRÚRGICO: Se realiza procedimiento de laparotomía exploratoria.
Una vez abierta cavidad abdominal se visualiza liquido libre en cavidad de aspecto citrino en cantidad de 30 cc con epiplón vascularizado con placas de fibrina con impregnación de color rojo achocolatado friable se observa utero bicorne deformando a su anatomía que mide aproximadamente 20 x 15 cm de color rosado que deforma cara anterior y posterior. Ambos ovarios y trompas de características conservadas para la edad.
Durante el transoperatorio se realiza omentectomía parcial y apendicectomía.
Al ser paciente núbil y siendo valorado por ginecología previo consentimiento informado de la madre se realiza examen con espéculo transoperatorio donde se observa dificultad por la deformación de las paredes vaginales con protrusión y abombamiento anterior y lateral tenso no reductible que dificulta la visualización del cérvix. Al tacto vaginal cavidad ocupada por abombamiento del útero distendido tenso no reductible que dificulta la exploración vaginal e identificación de la permeabilidad del cérvix.
A nivel de útero se realiza incisión corporal de 1 cm con posterior evacuación de contenido hemático (hematometra) mediante aspirado manual transuterina con jeringa de Karman y canula N° 5 y N°6 con obtención de 700cc contenido hemático a la revisión de cavidad uterina se evidencia septo uterino medial delgado mismo que se diseca , se evidencia cavidades uterinas.
Se realiza lavado de cavidad con solución salina atemperada de 500cc con posterior aspirado y secado prolijo del mismo con revisión de correderas parietocolicas y fondo de saco de Douglas con verificación de hemostasia conforme.
Verificado de lecho quirúrgico con buena hemostasia.
DISCUSIÓN
El síndrome de HWW es una anomalía infrecuente que se distingue por la tríada de útero didelfo, hemivagina obstruida y alteraciones renales en el mismo lado. Por lo que Mursal Amini (2023) sugiere que, aunque la incidencia exacta del síndrome aún no se conoce con certeza, se ha registrado en un rango que varía entre 1 de cada 2000 a 1 de cada 28.000 mujeres7.
Además de los síntomas clínicos convencionales, como dismenorrea, dolor pélvico, sangrado intermenstrual y presencia de una masa pélvica, también es posible que se manifieste con síntomas inusuales relacionados con el tracto gastrointestinal y urinario. En su estudio del año 2022, Abdul Malik Hayat señala que se han registrado complicaciones inusuales, como adenocarcinoma y carcinoma de células claras en el lado obstruido del cuello uterino y de la vagina8.
En nuestro caso clínico, la paciente presentaba una malformación mülleriana tipo 4. La clasificación de malformaciones, según la Sociedad Estadounidense de Fertilidad, la Sociedad Europea de Reproducción Humana y Embriología, y la Sociedad Europea de Endoscopia Ginecológica, abarca diversas categorías. La Clase 1/U5bC4V4 comprende la agenesia o hipoplasia del útero y la vagina; la Clase 1/U5aC4V4 implica hipoplasia cervical, asociada a agenesia vaginal total o parcial; la Clase 2/U4 señala útero unicorne; la Clase 3/ U3bC2V1 o Clase 3/U3bC2V2 describe útero didelfo; la Clase 4/U3C0 representa útero bicorne; la Clase 5/U2 refleja útero septado; la Clase 6 designa útero arqueado; la Clase 7/ U1 identifica la malformación inducida por dietilestilbestrol, manifestada como un útero en forma de T; y la V3 se refiere al tabique vaginal transverso9.
El diagnóstico del SHWW se respalda en la ecografía transvaginal, que destaca por su accesibilidad y capacidad para proporcionar imágenes detalladas sin exposición a radiación. Según Oscar Octalivar (2021), el diagnóstico imagenológico se realiza mediante resonancia magnética y ecografía, ya que ambos son métodos reconocidos como más confiables para identificar el síndrome de Herlyn-Werner-Wunderlich1. Se subraya la importancia de la detección temprana y la intervención quirúrgica. Además, en su estudio de 2021, Kinga Wdowiarz sugiere la laparoscopia como una opción adicional en casos en los que los resultados de la resonancia magnética no son concluyentes10.
CONCLUSIÓN
El caso presenta de manera concluyente el Síndrome de Herlyn-Werner-Wunderlich (HWWS), evidenciando la tríada característica de útero didelfo, hemivagina obstruida y anomalías renales ipsilaterales (agenesia renal derecha con hipertrofia compensatoria fisiológica renal izquierda). Además, se confirma la presencia de una malformación mülleriana tipo 4, con un útero bicorne parcialmente obstruido que generó hematometra y hematocolpos, resuelto mediante evacuación transuterina.
Se recomienda un enfoque integral y multidisciplinario en el manejo de casos de HWWS. La colaboración de especialistas entre ginecólogos, cirujanos y principalmente radiólogos es fundamental para un diagnóstico certero y la planificación de intervenciones quirúrgicas inmediatas específicas.













